A multifactorial impact on respiratory morbidity in people of reproductive age and effectiveness of natopherine- and andropherine-containing odorants regarding a non-specific resistance of the nasal mucosa and lowered morbidity of respiratory infections
- Authors: Bedareva A.V.1, Shabaldina E.V.2, Astaf'eva E.2,3, Chuyanova A.A.1, Shabaldin A.V.1
-
Affiliations:
- Kemerovo State University
- Kemerovo State Medical Academy of Ministry of Health of Russia
- Institute of Human Ecology, Federal Research Center of Coal and Coal Chemistry, Siberian Branch of the Russian Academy of Sciences
- Issue: Vol 13, No 4 (2023)
- Pages: 723-734
- Section: ORIGINAL ARTICLES
- Submitted: 18.03.2023
- Accepted: 02.05.2023
- Published: 24.10.2023
- URL: https://iimmun.ru/iimm/article/view/8048
- DOI: https://doi.org/10.15789/2220-7619-AMI-8048
- ID: 8048
Cite item
Full Text
Abstract
Prevention of respiratory infections during epidemic periods is an important task of modern health care in Russia and worldwide. One of such approach may rely on use of volatile substances capable of activating nonspecific resistance of the nasal mucosa. Long-term application of synthetic analogues of female pheromones to young males leads to lowered morbidity of respiratory diseases, increased levels of secretory immunoglobulins, as well as decrease peripheral blood of eosinophilia levels in subjects with allergic diseases. Based on this, the aim of the study was set to study an impact of anamnesis factors and indicators reflecting the functioning of nasal mucosal immunity, its nonspecific resistance, on emerging frequent respiratory morbidity; as well as to evaluate effectiveness of natopherine- and andropherine-containing odorants regarding dynamics of such indicators and to reduce incidence of respiratory infections in young subjects. Materials and methods. There were examined 46 apparently healthy boys and girls aged 18 to 22 years. The frequency of respiratory morbidity, anamnesis factors, and the results of non-invasive studies (cytokine concentrations in the nasopharyngeal aspirate and rhinocytograms). Within 30 days, all young subjects were applied to the nasolabial fold synthetic analogues of male (andropherine) and female (natopherine) pheromones (andropherine — for young female, natopherine — for young male). A re-examination with the above mentioned studies was carried out on day 14 and day 30 of the study. The incidence of respiratory infections was reassessed one year after the onset. Results. The study showed identified a number of predictors and protectors of frequent and long-term respiratory morbidity in young subjects. The predictors of this condition were presented by catamnestics markers of allergic anomalies of the constitution, behavioral factors (smoking), as well as immune indicators of allergy (IL-4) and mucociliary clearance deficiency. A monthly course of odorant applications on the skin of the nasolabial fold using synthetic analogues of male and female pheromones (steranes) has a positive effect both on the nonspecific resistance of the nasal mucosa as well as on the immune parameters. After a month of using steranes, the nasal mucosa is completely decontaminated from coccal microorganisms, and over the next 12 months, the frequency of respiratory infections decreases. This indicates about a prominent clinical effect of the odorants applied.
Full Text
Введение
Частая респираторная заболеваемость во взрослой популяции людей остается значимой проблемой современной медицины. Особую актуальность это явление приобрело при пандемии новой коронавирусной инфекции (Covid-19), которая, являясь высоко вирулентной, определила повышенную смертность в 2020–2021 гг. как в России, так и в мире [3]. В 2022 г. уровень респираторной инфекционной заболеваемости не снижался и был обусловлен вирусом гриппа, при котором также имела место высокая смертность от вторичных пневмоний [2, 6]. С этих позиций профилактика респираторных инфекций в эпидемические периоды является важной задачей современного здравоохранения.
В течение последних двадцати лет проведено большое количество научно-исследовательских работ, продемонстрировавших влияние половых феромонов на изменение свойств иммунной системы мелких лабораторных животных (мышей), с приобретением ими устойчивости к инфекционным агентам [6]. Было показано, что у самцов мышей, которым предъявляли запах самок, усиливался спонтанный синтез иммуноглобулинов, а также уменьшалась смертность от ранений в результате столкновений с соседями по клетке. Более того, показано, что предъявление запаха самок перед заражением самцов вирусом гриппа активирует неспецифическую иммунную реакцию, тем самым защищая самцов мышей от заражения верхних дыхательных путей и снижая их смертность [12].
Результаты ранее выполненных работ свидетельствуют о положительном эффекте воздействия половых феромонов на организм человека. В частности, показано влияние женского феромона на функциональное состояние молодых мужчин [5]. Установлено, что длительная аппликация синтетических аналогов женских феромонов молодым мужчинам приводит к снижению частоты респираторных заболеваний, повышению уровня секреторных иммуноглобулинов, а у лиц с аллергическими заболеваниями — к снижению уровня эозинофилии в периферической крови [5]. Кроме того, доказано, что женские феромоны могут оказывать значительное воздействие на эмоциональное и физическое состояние пожилых мужчин, снижая концентрацию кортизола и повышая уровень тестостерона [14].
В то же время эффект женских и мужских феромонов на состояние мукозального иммунитета носоглотки, в частности цитокинового профиля, и неспецифическую резистентность слизистой оболочки носа не исследован.
Исходя из вышесказанного была поставлена цель исследования — изучить влияние факторов анамнеза и показателей, отражающих функционирование мукозального иммунитета слизистой оболочки носа, ее неспецифической резистентности, на формирование частой респираторной заболеваемости, а также оценить эффективность одорантов с натоферином и андроферином в отношении динамики этих показателей и снижения частоты респираторных инфекций у молодых людей в возрасте от 18 до 22 лет (ранний репродуктивный период).
Материалы и методы
Для достижения поставленной цели было проведено пилотное проспективное исследование на 46 условно здоровых юношах и девушках (расчет мощности выборки выполнен с помощью on-line калькулятора https://clincalc.com/stats/samplesize.aspx), обучающихся в Кемеровском государственном университете. Возрастной интервал — от 18 до 22 лет; было обследовано 28 юношей и 18 девушек.
Все молодые люди перед началом исследования прошли анкетирование для изучения анамнеза. Анкеты включали несколько разделов, отражающих социальное поведение испытуемых, в том числе особенности питания, их медицинский и наследственный анамнез, наличие вредных привычек, а также вопросы, связанные с половым опытом и наличием постоянных сексуальных отношений.
Перед началом эксперимента от всех испытуемых были получены назофарингеальные смыва по разработанной ранее методике [7]. Также были проведены щеточная микробиопсия слизистой оболочки носа [11] и взятие образцов слюны. Повторно эти же биологические материалы забирались на 14 и на 30 день эксперимента.
В назофарингеальном смыве исследовались концентрации следующих цитокинов: интерлейкин 1 бета (IL-1b), фактор некроза опухоли альфа (TNFa), интерлейкин 4 (IL-4), интерлейкин 6 (IL-6), интерлейкин 10 (IL-10) по описанной ранее методике [1] с использованием коммерческих наборов для проведения иммуноферментного анализа (ЗАО «Вектор-Бест»).
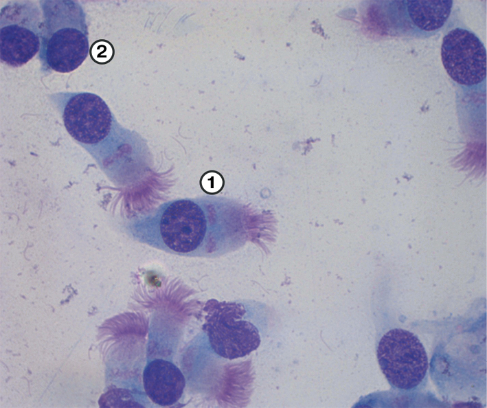
Щеточная микробиопсия позволяла оценивать воспаление на слизистой оболочке носа и состояние ее функционального эпителия (рис. 1 и 2, III обложка).
Figure 1. Brush microbiopsy of the nasal mucosa. Normal manifestations of cellular reactions on the nasal mucosa. Functional epithelial cells (1), squamous epithelial cells (2)
На каждом этапе исследования была собрана слюна для определения гормонов (тестостерона и эстрадиола). Образцы слюны были центрифугированы на скорости 3000 об/мин в течение 15 мин. По 1 мл каждого образца помещалось в пробирки типа эппендорф и хранилось при температуре –20°C. В образцах иммуноферментным методом с помощью коммерческого набора («Стероид ИФА-эстрадиол» и «Стероид ИФА-тестостерон», Хема-Медика), обладающего достаточной чувствительностью, определяли содержание тестостерона и эстрадиола. Особенности исследования тестостерона и эстрадиола в слюне описаны ранее [5].
Для изучения воздействия половых феромонов противоположного пола юношам в течение месяца предъявляли натоферин, девушкам — андроферин. Натоферин является коммерциализированым синтетическим аналогом женского феромона копулина (номер свидетельства о регистрации 449477), изготовленного европейской лабораторией и распространяемого на территории России фирмой Parfume-Prestige M (ООО «АртБьюти»). В соответствии с информацией, представляемой компаниями, данное вещество состоит преимущественно из производных изовалериановой и масляной кислот [13]. Андроферин — синтетический аналог мужского полового феромона андростенона (номер свидетельства о регистрации 449476). Согласно этим регистрационным свидетельствам, данные продукты могут длительно наноситься на кожу человека.
В ходе исследования молодые люди наносили ежедневно на поверхность кожи над верхней губой раствор синтетического феромона и дипропиленгликоля в концентрации, рекомендованной производителем (0,12% раствор), в течение одного месяца.
Учет частоты респираторных заболеваний был выполнен за 1 год до начала эксперимента и через 1 год после его окончания. Согласно данным клинических рекомендаций респираторную заболеваемость считали частой при повторении ОРВИ 4 и более раза в год.
Статистическая обработка данных проводилась в пакетах программ Statistica for Windows» фирмы StatSoft Inc., версия 10.0, и MedCalc 17.5.3. по правилам вариационной статистики. Для поиска предикторов частой респираторной заболеваемости была использована логистическая пошаговая регрессия (статистический метод классификации с использованием линейного дискриминанта Фишера). Зависимой переменной была частота респираторных инфекций за 1 год (от 0 до 10 случаев), а независимыми переменными — все пункты анкеты (социальные, наследственные, медицинские факторы, а также концентрации цитокинов в назофарингеальном смыве, результаты щеточной микробиопсии слизистой оболочки носа). Коэффициенты, полученные для выявленных значимых предикторов и протекторов, указывали на степень ассоциации с частой респираторной заболеваемостью, а знак (– или +) перед переменной указывал на положительную или отрицательную связь. Положительная связь показывала, что фактор является предиктором частой респираторной заболеваемости, отрицательная указывала на его протективность. Полученная при этом анализе логистическая функция с весовыми коэффициентами для каждого предиктора отражает взаимодействие и интегральное влияние сочетания факторов в реализации эффекта. Эффективность логистической функции оценивалась по показателю площади под кривой (AUC) из ROC-анализа ставшего, фактически, стандартом для оценки качества бинарной классификации. Поиск логистических функций выполнен как для частой респираторной заболеваемости до начала эксперимента, так и через 1 год после его завершения. Для сравнения отдельных показателей в трех точках исследования (до начала, на 14 и 30 день эксперимента) использовали U-критерий Манна–Уитни (имелось асимметричное распределение). Количественные данные были представлены в виде медианы (Ме), 25-го и 75-го процентилей (Р25 и Р75). Вероятность ошибки первого рода была принята за 5%, второго рода — за 20%, уровень статистической значимости выявлялся при p < 0,05, что соответствует стандартным требованиям.
Результаты и обсуждение
Проведенная пошаговая логистическая регрессия для зависимого фактора — частота ОРВИ за один год, и независимых переменных — анамнеза, иммунных и цитологических показателей, отражающих регуляцию мукозального иммунитета и неспецифической резистентности слизистой оболочки носа — показала ряд положительных и отрицательных ассоциаций, которые совместно определяют частую респираторную заболеваемость (табл. 1). Необходимо отметить, что полученные в классификаторе β-коэффициенты отражают относительное влияние предиктора на зависимую переменную, а B-коэффициенты показывают прогностическую значимость предиктора и могут быть использованы в уравнении, описывающем логистическую функцию. Кроме того, можно оценивать и влияние отдельных предикторов (со знаком «+» или в таблице просто без знака перед коэффициентом) и протекторов (со знаком «–») на частоту респираторной заболеваемости у лиц раннего репродуктивного периода.
Таблица 1. Результаты логистической регрессии с зависимым фактором (частота ОРВИ за 1 год) и независимыми переменными анамнеза и показателей слизистой оболочки носа на момент начала наблюдения
Table 1. The results of logistic regression with a dependent factor, a one-year morbidity of acute respiratory viral infections and independent variables of catamnesis as well as nasal mucosa indicators at the onset of observation
Независимые переменные Independent variables | β | Std. Err β | B | Std.Err B | p-level |
Отрезок Section | 0,376 | 0,056 | 0,005 | ||
Возраст Age | 0,154 | 0,002 | 0,210 | 0,003 | 0,010 |
Обструктивный бронхит, ларингит в анамнезе Obstructive bronchitis, laryngitis in history | 0,680 | 0,002 | 3,818 | 0,009 | 0,002 |
Атопический дерматит в анамнезе Atopic dermatitis in history | 1,029 | 0,003 | 8,004 | 0,023 | 0,002 |
Удельный вес лимфоцитов в NCG Lymphocyte percentage in the NCG | –0,172 | 0,003 | –1,336 | 0,020 | 0,009 |
Удельный вес нейтрофилов NCG neutrophil percentage | –0,660 | 0,004 | –0,024 | 0,000 | 0,004 |
Концентрация IL-10 в НФС IL-10 concentration in NPS | – 0,814 | 0,005 | – 0,969 | 0,005 | 0,004 |
Концентрация TNFa в НФС TNFa concentration in NPS | 0,245 | 0,004 | 0,452 | 0,008 | 0,011 |
Удельный вес цилиндрического эпителия в NCG Percentage of cylindrical epithelium in NCG | –0,917 | 0,003 | –0,050 | 0,000 | 0,002 |
Выраженность лейкоцитарных реакций в NCG Magnitude of leukocyte reactions in NCG | 0,209 | 0,004 | 0,478 | 0,009 | 0,012 |
Концентрация IL-1 в НФС IL-1 concentration in NPS | –0,631 | 0,003 | –0,480 | 0,002 | 0,003 |
Концентрация IL-4 в НФС IL-4 concentration in NPS | 0,801 | 0,003 | 0,407 | 0,002 | 0,002 |
Выраженность экссудативных реакций в NCG Magnitude of exudative reactions in NCG | –0,677 | 0,003 | –1,545 | 0,008 | 0,003 |
Перенесенный COVID-19 Convalescent COVID-19 | 0,449 | 0,002 | 1,343 | 0,007 | 0,003 |
Удельный вес плоского эпителия в NCG Percentage of squamous epithelium in NCG | 0,614 | 0,004 | 0,074 | 0,000 | 0,004 |
Выраженность цилиндрического эпителия в NCG Magnitude of cylindrical epithelium in NCG | –0,313 | 0,003 | –0,670 | 0,006 | 0,005 |
Курение Smoking | 0,282 | 0,005 | 0,466 | 0,008 | 0,011 |
Пол (женский 2 балла, мужской 1 балл) Gender (female 2 points, male 1 point) | –0,128 | 0,004 | –0,399 | 0,013 | 0,021 |
Примечание. Представлены только значимые ассоциации. NCG — назоцитограмма; НФС — назофарингеальный смыв; В-коэффициенты, выделенные жирным шрифтом, отражают предикторные свойства переменной; В-коэффициенты, не выделенные жирным шрифтом, отражают протекторные свойства переменной.
Note. Only significant associations are presented. NCG — nasocytogram; NPS — nasopharyngeal smear; B-coefficients highlighted in bold reflect the predictor properties of the variable; B-coefficients in regular reflect the protective properties of the variable.
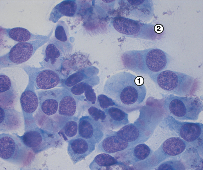
Как видно из табл. 1, значимыми предикторами повторяющихся респираторных инфекций являлись возраст обследованных, наличие у них в анамнезе обструктивных бронхитов, ларингитов, атопических дерматитов, курения и перенесенной новой коронавирусной инфекции COVID-19. Из лабораторных показателей предикторами оказались выраженность лейкоцитарных реакций по данным назоцитограммы (щеточная микробиопсия слизистой оболочки носа), удельный вес плоского нефункционального эпителия по назоцитограмме, а также концентрации TNFa и IL-4 в назофарингеальном смыве. Эти результаты вполне логичны и указывают на тот факт, что частая респираторная заболеваемость формируется на фоне аллергического эндотипа или аллергической аномалии конституции (термин используется в отечественной медицине), при которой имеют место стенозирующие ларингиты, обструктивные бронхиты, атопические дерматиты и повышение уровня IL-4. С другой стороны, эти молодые люди имеют сниженную неспецифическую резистентность слизистой оболочки носа, отраженную в высоком удельном весе у них нефункционального плоского эпителия (рис. 2Б, III обложка).
Figure 2. Brush microbiopsy of the nasal mucosa. High cellular responses to the nasal mucosa, dominated by squamous epithelium cells (1). Single functional cylindrical ciliated epithelium (2)
Кроме того, выраженность лейкоцитарных реакций по данным щеточной микробиопсии слизистой оболочки носа указывает на гиперреактивность мукозального клеточного иммунитета, в том числе за счет клеточного типа аллергических реакций, о чем указывает и повышенный синтез преимущественно клетками слизистой оболочки носа TNFa.
Отрицательно ассоциированными с частой респираторной заболеваемостью были мужской пол, а также цитологические и иммунологические показатели слизистой оболочки носа, представленные в табл. 1. Как видно из таблицы, это были показатели назоцитограммы: выраженность и удельный вес цилиндрического эпителия (рис. 2А, III обложка), удельный вес нейтрофильный лейкоцитов и лимфоцитов, а также выраженность эксудативных реакций. Это результаты также вполне объяснимы. Так, в исследовании участвовали обучающиеся университета, которые постоянно находятся в больших коллективах и имеют высокую антигенную нагрузку на слизистую оболочку носа и всего респираторного тракта. В то же время, благодаря активному функционированию мерцательного эпителия, развитию эксудативных и клеточных реакций они защищены от повторения респираторных инфекций.
Из табл. 1 также видно, что особое значение в протекции респираторных инфекций имеют IL-10 и IL-1, синтезируемыми, преимущественно, лимфоидными и эпителиальными клетками слизистой оболочки носа. Согласно классификации функциональности цитокинов IL-10 относится в противовоспалительным интерлейкинам, а IL-1 — к провоспалительным. β-коэффициент, отражающий относительное влияние предиктора на зависимую переменную, был по модальному показателю значимо выше у IL-10, чем у IL-1. Таким образом, противовоспалительные цитокина доминировали над провоспалительными и, возможно, влияли на них.
Рисунок 3. ROC-анализ определения эффективности логистической функции для оценки комплексного влияние предикторов и протекторов на частоту респираторных инфекций у лиц раннего репродуктивного возраста по показателю AUC
Figure 3. ROC-analysis assessing effectiveness of the logistic function to analyze a multi-prong effect of predictors and protectors on morbidity of respiratory infections in subjects of early reproductive age by using AUC
Линейный регрессионный анализ позволяет оценивать сочетанное влияние всех выявленных предикторов и протекторов на зависимую переменную, в частности на частоту респираторных инфекций. Это совокупное влияние описывается логистическим уравнением, где в формуле используются B-коэффициенты каждого значимого предиктора и протекторы.
В данном случае уравнение расчета комплексного влияния факторов катамнеза, цитологических и иммунологических показателей слизистой оболочки носа на формирование частой респираторной заболеваемости у лиц раннего репродуктивного возраста представлено следующей формулой:
,
где
Z = (0,38+0,21 × X1+3,82 × X2+8,01 × X3–1,34 × X4–0,02 × X5+0,97 × X6+0,42 × X7–0,05 × X8+0,48 × X9–0,48 × X10+0,41 × X11–1,55 × X12+1,34 × X13+0,07 × X14–0,67 × X15+0,47 × X16–0,41 × X17);
Y — комплексное влияние на формирование частой респираторной заболеваемости у людей раннего репродуктивного возраста (в %);
X1 — возраст человека (в годах); X2 — обструктивный бронхит и ларингит в анамнезе (0 — нет, 1 — есть); X3 — атопический дерматит в анамнезе (0 — нет, 1 — есть); X4 — удельный вес лимфоцитов по NCG (%); X5 — удельный вес нейтрофилов по NCG (%); X6 — концентрация IL-10 по НФС (пг/мл); X7 — концентрация TNFa по НФС (пг/мл); X8 — удельный вес цилиндрического эпителия по NCG (%); X9 — выраженность лейкоцитарных реакций по NCG (0, 1, 2, 3 — балла); X10 — концентрация IL-1 по НФС (пг/мл); X11 — концентрация IL-4 по НФС (пг/мл); X12 — выраженность эксудативных реакций по NCG (0, 1, 2, 3 — балла); X13 — COVID-19 в анамнезе (0 — нет, 1 — есть); X14 — удельный вес плоского эпителия по NCG (%); X15 — выраженность цилиндрического эпителия по NCG (0, 1, 2, 3 — балла); X16 — курение (0 — нет, 1 — есть); X17 — пол (1 — мужской, 2 — женский).
Как видно из уравнения, вклад предикторов и протекторов в формирование частой респираторной заболеваемости в раннем репродуктивном периоде можно оценить с использованием сбора анамнеза, а также дополнительных исследований цитокинов в НФС и назоцитограммы.
Необходимо пояснить, что логарифмический характер управления говорит о том, что если коэффициент стремится к 50%, то риск сохранения частой респираторной заболеваемости равновероятен; если коэффициент стремится к нулю, то риск дальнейшего прогрессирования частых ринитов и фарингитов маловероятен; и, наоборот, при коэффициентах, близких к 100%, риск развития этой патологии у лиц раннего репродуктивного периода становится высоким. Оценка эффективности уравнения была выполнена в ROC-анализе (рис. 3), который показал высокую специфичность и чувствительность.
Тем самым многофакторный анализ анамнеза, цитоморфологических и иммунных показателей слизистой оболочки носа выявил ряд предикторов частой и длительной респираторной заболеваемости у молодых людей раннего репродуктивного периода. Предикторами явились анамнестические маркеры аллергической аномалии конституции (атопический дерматит, обструктивный бронхит и стенозирующий ларингит), факторы поведения (курение), а также иммунные показатели аллергии (IL-4) и дефицита мукоцилиарного клиренса (высокий удельный вес плоского нефункционального эпителия).
На следующем этапе исследования было проведено изучение роли одорантов натоферина (синтетический аналог женского феромона копулина) и андроферина (синтетический аналог мужского феромона андростендиона) в отношении неспецифической резистентности слизистой оболочки носа и снижения частоты респираторных инфекций.
Эти соединения имеют стерановый каркас и являются летучими метаболитами стероидных гормонов. Они могут взаимодействовать с большой группой рецепторов к стеранам, в том числе на клетках слизистой оболочки носа, и оказывать плейотропное влияние на общее состояние здоровья и локальную резистентность. Соответствующие одоранты (женские — юношам и мужские — девушкам) наносились шариковым дезодорантом в виде одной полоски на кожу носогубной складки в течении 30 дней. За это время ни у одного из обследованных не было проявлений локального дерматита и изменения пигментации кожи.
Сравнение цитологических и иммунологических показателей слизистой оболочки носа до начала эксперимента, на 14 и на 30 день показало значимые изменения, представленные в табл. 2.
Таблица 2. Сравнение показателей, отражающих резистентность слизистой оболочки носа до начала наблюдения, в течение его и после его окончания
Table 2. Comparison of indicators reflecting resistance of the nasal mucosa before, during and after observation
Показатели | Начало эксперимента Onset of study | 14 день эксперимента Day 14 | Окончание эксперимента (30 день) End of study | P1,2 | P1,3 | ||||||
Me | P25 | P75 | Me | P25 | P75 | Me | P25 | P75 | |||
Удельный вес цилиндрического эпителия по NCG, % Percentage of cylindrical epithelium in NCG, % | 86,07 | 58,38 | 113,77 | 83,44 | 47,82 | 119,08 | 94,82 | 75,74 | 113,89 | 0,31 | 0,04 |
Удельный вес плоского эпителия по NCG, % Percentage of the squamous epithelium in NCG, % | 6,52 | –5,94 | 18,97 | 1,74 | –1,73 | 5,21 | 1,48 | –0,73 | 3,69 | 0,04 | 0,03 |
Удельный вес нейтрофилов по NCG, % Percentage of neutrophils in NCG, % | 21,82 | –19,79 | 63,42 | 29,59 | –16,88 | 76,07 | 44,37 | –6,18 | 94,92 | 0,09 | 0,001 |
Концентрация IL-6 по НФС, пг/мл IL-6 concentration according to NPS, pg/ml | 2,53 | –0,89 | 5,95 | 3,17 | –9,01 | 15,36 | 1,07 | –1,30 | 4,63 | 0,57 | 0,04 |
Концентрация IL-10 по НФС, пг/мл IL-10 NPS concentration, pg/ml | 3,199 | 1,943 | 4,456 | 3,592 | 0,620 | 6,564 | 4,029 | –0,582 | 8,388 | 0,482 | 0,047 |
Примечание. Представлены только показатели, для которых получено хотя бы одно значимое различие с показателем в начале наблюдения. NCG — назоцитограмма; НФС — назофарингеальный смыв; жирным шрифтом выделены значимые различия.
Note. Only indicators for which at least one significant difference was obtained at the onset of observation are presented. NCG — nasocytogram; NPS — nasopharyngeal flush; significant differences are highlighted in bold.
Как видно из табл. 2, через 30 дней эксперимента у обследованных значимо увеличился удельный вес цилиндрического функционального мерцательного эпителия и значимо уменьшался удельный вес плоского нефункционального эпителия от начала эксперимента к 14 и 30 дням . Эти данные показывают увеличение клеток эпителия, участвующих в эффективном мукоцилиарном клиренсе и, тем самым, отражают увеличение неспецифической резистентности слизистой оболочки носа у лиц, применяющих одоранты на основе синтетических аналогов феромонов.
Другие значимые изменения по данным назоцитограммы касались удельного веса нейтрофилов в лейкоцитарной формуле: их количество увеличилось к 30 дню эксперимента. Первый этап исследования показал, что удельный вес нейтрофилов в назоцитограмме является протектором частой респираторной заболеваемости у молодых людей в больших коллективах. Тем самым увеличение этих иммунных клеток после месячного воздействия одорантов на основе синтетических аналогов феромонов является проявлением усиления врожденного клеточного иммунитета слизистой оболочки носа.
Особо необходимо отметить изменения концентрации интерлейкинов назофарингеального смыва за один месяц эксперимента. Так, уровень IL-6 в назофарингеальном смыве через 30 дней после начала нанесения одоранта значимо снизился, а концентрация IL-10, напротив, увеличилась. Выше указывалось, что по своим доминирующим функциональным свойствам IL-6 относится к провоспалительным цитокинам, а IL-10 — к противовоспалительным. Соответственно месячное воздействие синтетических аналогов феромонов (стеранов) на слизистую оболочку носа снижает ее провоспалительный потенциал и, напротив, повышает противовоспалительный.
Таблица 3. Сравнение показателей экспрессии микрофлоры и процента часто болеющих людей до начала наблюдения и после него
Table 3. Comparison of microflora expression indicators and the percentage of frequently ill people before and after observation
Параметр | До эксперимента | После эксперимента | P | ||
абс./abs. | % | абс./abs. | % | ||
Часто болеющие лица (0 — болеет ОРВИ не часто, 1 — болеет ОРВИ часто) Frequently ill persons (0 — SARS is not often ill, 1 — SARS is often ill) | 4 | 14,81 | 0 | 0 | 0,038 |
Наличие кокковой флоры по NCG (0 — не обнаружена, 1 — обнаружена) Presence of coccoid flora according to NCG (0 — not detected, 1 — detected) | 4 | 14,81 | 0 | 0 | 0,038 |
Выраженность кокковой флоры по NCG (0 — отсутствует, 1 — присутствует незначительно, 2 — присутствует значительно, 3 — выраженное присутствие, сплошь) The severity of coccal flora according to NCG (0 — absent, 1 — slightly present, 2 — significantly present, 3 — pronounced presence, entirely) | 10 | 12,35 | 0 | 0 | 0,047 |
Примечание. Частая респираторная заболеваемость (более 4 раз в год) оценивалась через 1 год после окончания эксперимента. NCG — назоцитограмма; жирным шрифтом выделены значимые различия.
Note. Frequent respiratory morbidity (more than 4 times a year) was assessed 1 year after the end of the study. NCG — nasocytogram; significant differences are highlighted in bold.
В табл. 3 представлены результаты непараметрического сравнения с помощью критерия хи-квадрат частоты респираторной заболеваемости за один год до эксперимента и через 1 год после него.
Как уже отмечалось в разделе «Материалы и методы», критерием частой респираторной заболеваемости было принято количество 4 раза за один год. Так, к частоболеющим людям относили тех обследованных, у которых частота респираторных эпизодов была больше 4 за 12 месяцев. Анализ по этому критерию показал, что через 1 год в исследуемой группе не было ни одного часто и длительно болеющего молодого человека (юношей и девушек).
Другими критериями, по которым проводилась оценка с помощью критерия хи-квадрат, были наличие кокковой микрофлоры в назоцитограмме и ее проявление, оцененное в баллах. Как видно из табл. 3, после окончания эксперимента ни у одного из испытуемых кокковая микрофлоры в назоцитограммах не обнаруживалась. Это указывает на значимый асептический эффект одорантов на основе синтетических аналогов феромонов человека.
Таким образом, можно говорить о том, что месячный курс нанесения на кожу носогубной складки одорантов на основе синтетических аналогов мужских и женских феромонов (стеранов) оказывает положительный эффект как на неспецифическую резистентность слизистой оболочки носа (увеличение удельного веса мерцательного функционального эпителия и уменьшение процента плоского эпителия), так и на иммунные показатели в ее функционировании (увеличение уровня нейтрофильных лейкоцитов в назоцитограмме, концентрации в назофарингеальном смыве противовоспалительного IL-10 и, напротив, снижение концентрации провоспалительного IL-6). Кроме того, через месяц применения данных одорантов происходит полная деконтаминация слизистых оболочек носа от условно-патогенных микроорганизмов коккового фенотипа. И наконец в течении 12 месяцев после эксперимента частота респираторных инфекций у всех обследованные была ниже 4 раз. Это указывает на значимый клинический эффект применяемых одорантов. Также в эксперименте не было ни одного обследованного с проявлениями дерматита и изменениями пигментации на участках аппликации одоранта.
На заключительном этапе исследования была проведена оценка с помощью пошаговой логистической регрессии вклада факторов анамнеза, а также цитологических и иммунных показателей (в трех точках эксперимента), в динамику респираторных заболеваний до начала эксперимента и через один год после его завершения (табл. 4).
Таблица 4. Результаты логистической регрессии с зависимым фактором изменения частоты ОРВИ до наблюдения и через 1 год после него и всеми независимыми переменными анамнеза и исследования показателей слизистой оболочки носа (представлены только значимые ассоциации)
Table 4. Results of logistic regression with a dependent factor frequency dynamics of ARVI before and 1 year after observation and all independent variables of catamnesis and examination of nasal mucosa indicators (only significant associations are presented)
Независимые переменные | b | Std. Err. b | B | Std. Err. B | p-level |
Отрезок Section | 4,049 | 0,175 | 0,000 | ||
Удельный вес цилиндрического эпителий по NCG на 14 день наблюдения The percentage of cylindrical epithelium in NCG on day of observation | 0,211 | 0,016 | 0,017 | 0,001 | 0,000 |
Атопический дерматит в анамнезе Atopic dermatitis in history | 0,591 | 0,016 | 4,608 | 0,129 | 0,000 |
Удельный вес эозинофилов по NCG на момент окончания наблюдения Percentage of eosinophils by NCG at the end of observation | –0,356 | 0,017 | –1,387 | 0,066 | 0,000 |
Удельный вес цилиндрического эпителия по NCG на момент начала наблюдения The percentage of the cylindrical epithelium according to the NCG at the time of the start of observation | –0,457 | 0,013 | –0,025 | 0,001 | 0,000 |
Избирательность в пище Selectivity in food | –0,373 | 0,015 | –0,681 | 0,028 | 0,000 |
Использование парфюмерии The use of perfumes | –0,391 | 0,023 | –1,233 | 0,074 | 0,000 |
Концентрация IL-1 в НФС на момент окончания наблюдения IL-1 concentration in NPS at the end of observation | –0,450 | 0,025 | –0,432 | 0,024 | 0,000 |
Удельный вес плоского эпителия по NCG на момент начала наблюдения Percentage of the squamous epithelium in NCG at the onset of observation | –0,374 | 0,015 | –0,045 | 0,002 | 0,000 |
Концентрация тестостерона после окончания наблюдения Concentration of testosterone after the end of observation | 0,338 | 0,023 | 0,700 | 0,047 | 0,000 |
Концентрация IL-6 по НФС на момент начала наблюдения IL-6 concentration according to NPS at the time of the start of observation | –0,081 | 0,019 | –0,037 | 0,009 | 0,002 |
Обструктивный бронхит и ларингит в анамнезе Obstructive bronchitis and laryngitis in history | 0,250 | 0,026 | 1,409 | 0,144 | 0,000 |
Удельный вес нейтрофилов по NCG на 14 день наблюдения Percentage of neutrophils in NCG on day 14 of observation | 0,124 | 0,025 | 0,004 | 0,001 | 0,001 |
Выраженность цилиндрического эпителия по NCG на 14 день наблюдения Magnitude of cylindrical epithelium in NCG on day 14 of observation | 0,209 | 0,021 | 0,371 | 0,036 | 0,000 |
Концентрация TNFa в НФС на момент окончания наблюдения TNFa concentration in NPS at the end of observation | 0,125 | 0,020 | 0,067 | 0,011 | 0,000 |
Примечание. NCG — назоцитограмма; НФС — назофарингеальный смыв; В-коэффициенты, выделенные жирным, отражают предикторные свойства переменной; В-коэффициенты, не выделенные жирным, отражают протекторные свойства переменной.
Note. NCG — nasocytogram; NPS — nasopharyngeal smear; B-coefficients highlighted in bold reflect the predictor properties of the variable; B-coefficients in regular reflect the protective properties of the variable.
Данные, представленные в табл. 4, необходимо трактовать следующим образом. Положительное значение указывает на существенный вклад параметра в уменьшение числа ОРВИ за один год (ассоциирован с большой разницей между первичной частотой ОРВИ и частотой ОРВИ при повторной оценке), а отрицательное значение отражает протекторные свойства фактора, выражающиеся в уменьшении количества ОРВИ через 1 год после эксперимента. Также надо отметить, что все эти предикторы и протекторы снижения числа ОРВИ необходимо интерпретировать с позиции месячного воздействия на слизистую оболочку носа одорантов на основе синтетических аналогов феромонов человека.
Как видно из табл. 4, такие ранее проявленные факторы катамнеза, как атопический дерматит, обструктивный бронхит и стенозирующий ларингит в анамнезе, были предикторами снижения частоты респираторных инфекций у молодых людей, получавших аппликации синтетических аналогов феромонов человека. И хотя эти факторы были предикторами частой респираторной заболеваемости, они же проявились и в чувствительности к ее снижению под воздействием исследуемых аппликационных одорантов.
Значимое положительное влияние на снижение частоты респираторных инфекций после месячного курса натоферином и андроферином оказывало повышение к 14 дню аппликаций удельного веса мерцательного функционального цилиндрического эпителия и нейтрофильных лейкоцитов.
Необходимо отметить повышение к окончанию эксперимента TNFa в назофарингеальном смыве как предиктора снижения частоты респираторных заболеваний через 1 год. Эти результаты требуют дальнейшего изучения, но вполне вероятно, что именно этот цитокин, совместно с нейтрофильными лейкоцитами, усиливает противобактериальную и антивирусную защиту.
Другим важным результатом является положительная ассоциация высоких концентраций тестостерона к моменту окончания эксперимента со значимым снижением частоты респираторных инфекций у молодых лиц через 1 год после аппликации атоферина и андроферина. Об ассоциациях между повышением тестостерона и снижением респираторных заболеваний неоднократно сообщалось различными исследовательскими группами [5, 10, 15]. Возможно, что активация противовирусной защиты в настоящем исследовании также была связана с повышением тестостерона.
Показателями, которые значимо тормозили уменьшения частоты респираторной заболеваемости через один год после эксперимента, были такие факторы анамнеза, как использование парфюмерии и наличие пищевых предпочтений. Эти результаты могут отражать негативное влияние парфюмерии на слизистую оболочку носа и дефицит витаминов и микроэлементов при ограничении пищевого рациона.
Дефицит функционального мерцательного цилиндрического эпителия при начале эксперимента является протектором в уменьшении частоты респираторных заболеваний. Это еще раз указывает на значимость этого показателя назоцитограммы. Тот факт, что исследуемые стераны влияют именно на этот показатель, определяет их значимость в профилактике ОРВИ и повышении неспецифической резистентности слизистой оболочки носа.
Одними из протекторов ограничения респираторной заболеваемости у лиц молодого возраста являются высокий удельный вес эозинофильных лейкоцитов (по данным назоцитограммы) и повышенная концентрация IL-1 в назофарингеальном смыве на момент окончания эксперимента. Эти данные еще раз подтверждают, что отдельные типы конституционально закрепленных аллергических реакций (клеточный тип) могут поддерживать повторение респираторных заболеваний [9].
По схожей патогенетической схеме реализуется протекторный эффект высоких концентраций провоспалительного цитокина IL-6 [8, 15] в назофарингеальном смыве в начале эксперимента на снижение частоты респираторной заболеваемости у лиц раннего репродуктивного периода.
Таким образом, умеренная респираторная заболеваемость поддерживается особенностями иммунной конституции молодых людей (склонность к аллергическим реакциям, прежде всего по клеточному типу, высокий первичный провоспалительный потенциал слизистой оболочки носа), а также поведенческие факторы (использование косметики, наличие пищевых предпочтений).
Заключение
Таким образом, многофакторный анализ катамнеза, цитоморфологических и иммунных показателей слизистой оболочки носа выявил ряд предиктором и протекторов частой и длительной респираторной заболеваемости у молодых людей раннего репродуктивного периода. Предикторами этого состояния явились катамнестические маркеры аллергической аномалии конституции (атопический дерматит, обструктивный бронхит и стенозирующий ларингит), факторы поведения (курение), а также иммунные показатели аллергии (IL-4) и дефицита мукоцилиарного клиренса (высокий удельный вес плоского нефункционального эпителия).
Месячный курс нанесения на кожу носогубной складки одорантов на основе синтетических аналогов мужских и женских феромонов (стеранов) оказывает положительный эффект как на неспецифическую резистентность слизистой оболочки носа (увеличение удельного веса мерцательного функционального эпителия и уменьшение процента плоского эпителия), так и на иммунные показатели ее функционирования (увеличение уровня нейтрофильных лейкоцитов в назоцитограмме, концентрация в назофарингеальном смыве противовоспалительного IL-10 и, напротив, снижение концентрации провоспалительного IL-6). Кроме того, через месяц применения данных одорантов происходит полная деконтаминация слизистых оболочек носа от условно-патогенных микроорганизмов коккового фенотипа, а в течении последующих 12 месяцев частота респираторных заболеваний у молодых людей значимо снижается. Это указывает на выраженный клинический эффект применяемых одорантов.
На снижение частоты респираторных инфекций после месячного курса одорантами на основе синтетических аналогов мужских и женских феромонов отрицательно влияют: особенности иммунной конституции молодых людей, склонность к аллергическим реакциям по клеточному типу, высокий первичный провоспалительный потенциал на слизистой оболочке носа, а также поведенческие факторы (использование косметики, наличие пищевых предпочтений).
About the authors
Alena V. Bedareva
Kemerovo State University
Author for correspondence.
Email: Leona511@mail.ru
ORCID iD: 0000-0002-6068-5473
SPIN-code: 3191-4662
Scopus Author ID: 37076769100
ResearcherId: J-9959-2015
PhD (Biology), Associate Professor, Department of Genetics and Fundamental Medicine
Russian Federation, 650000, Kemerovo, Krasnaya st., 6Elena V. Shabaldina
Kemerovo State Medical Academy of Ministry of Health of Russia
Email: weit2007@yandex.ru
ORCID iD: 0000-0002-0450-2767
SPIN-code: 5870-4408
Scopus Author ID: 44061916900
DSc (Medicine), Associate Professor, Head of the Department of Otorhinolaryngology
Russian Federation, KemerovoEvgenia Astaf'eva
Kemerovo State Medical Academy of Ministry of Health of Russia; Institute of Human Ecology, Federal Research Center of Coal and Coal Chemistry, Siberian Branch of the Russian Academy of Sciences
Email: astafeva.evgenia@yandex.ru
ORCID iD: 0000-0002-5841-6311
SPIN-code: 9814-4382
ResearcherId: AEQ-6964-2022
Assistant Professor, Department of Morphology and Forensic Medicine, Engineer-Technologist, Laboratory of Cytogenetics
Russian Federation, Kemerovo; KemerovoAnna A. Chuyanova
Kemerovo State University
Email: mog-anna@yandex.ru
ORCID iD: 0000-0002-3010-1895
SPIN-code: 8551-4984
Scopus Author ID: 56841552600
ResearcherId: H-7678-2017
PhD (Biology), Associate Professor
Russian Federation, 650000, Kemerovo, Krasnaya st., 6Andrey V. Shabaldin
Kemerovo State University
Email: weit2007@yandex.ru
ORCID iD: 0000-0002-8785-7896
SPIN-code: 5281-0065
Scopus Author ID: 57212696654
DSc (Medicine), Associate Professor, Professor of the Department of Genetics and Fundamental Medicine
Russian Federation, 650000, Kemerovo, Krasnaya st., 6References
- Ахтямов Д.Р., Шабалдина Е.В., Гривцова С.В., Апалько С.В., Шабалдин А.В. Иммуномодулирующий эффект аденотомии у детей раннего и дошкольного возраста с высокими степенями гипертрофии глоточной миндалины и повторяющимися назофарингитами // Российская оториноларингология. 2022. Т. 21, № 1. С. 27–41. [Akhtyamov D.R., Shabaldina E.V., Grivtsova S.V., Apal’ko S.V., Shabaldin A.V. Immunomodulatory effect of adenoidectomy in infants and preschool children with high degrees of adenoid hypertrophy and recurrent nasopharyngitis. Rossiiskaya otorinolaringologiya = Russian Otorhinolaryngology, 2022, vol. 21, no. 1, pp. 27–41. (In Russ.)] doi: 10.18692/1810-4800- 2022-1-27-41
- Гольдштейн Э.М. Факторы, влияющие на смертность от новой коронавирусной инфекции в разных субъектах Российской Федерации [Gol’dshtein E.M. Factors affecting mortality from a new coronavirus infection in different regions of the Russian Federation] COVID19-preprints.microbe.ru. 2020. doi: 10.21055/preprints-3111909
- Данилова И.А. Заболеваемость и смертность от COVID-19. Проблема сопоставимости данных // Демографическое обозрение. 2020. Т. 7, № 1. С. 6–26. [Danilova I.A. Morbidity and mortality from COVID-19. The problem of data comparability. Demograficheskoe obozrenie = Demographic Review, 2020, vol. 7, no. 1, pp. 6–26. (In Russ.)] doi: 10.17323/demreview.v7i1.10818
- Капранов С.В., Фролова Е.С., Округин Ю.А., Тарабцев Д.В. Оценка связи заболеваемости населения острыми респираторно-вирусными инфекциями, пневмониями, COVID-19 и смертности от COVID-19 и пневмоний // Экологический вестник Донбасса. 2022. № 6. С. 9–18. [Kapranov S.V., Frolova E.S., Okrugin Yu.A., Tarabtsev D.V. Assessment of the relationship between the incidence of acute respiratory viral infections, pneumonia, COVID-19 and mortality caused by COVID-19 and pneumonia. Ekologicheskii vestnik Donbassa = Ecological Bulletin of Donbass, 2022, no. 6, pp. 9–18. (In Russ.)]
- Литвинова Н.А., Бедарева А.В., Зубрикова К.Ю. Влияние женского феромона на функциональное состояние молодых мужчин // Acta Biomedica Scientifica. 2019. Т. 4, № 1. С. 50–58. [Litvinova N.A., Bedareva A.V., Zubrikova K.Yu. The effect of female pheromone on the functional state of young men. Acta Biomedica Scientifica, 2019, vol. 4, no. 1, pp. 50–58. (In Russ.)] doi: 10.29413/ABS.2019-4.1.8
- Мошкин М.П., Герлинская Л.А., Евсиков В.И. Иммунная система и реализация поведенческих стратегий размножения при паразитарных прессах // Журнал общей биологии. 2003. Т. 64, № 1. С. 23–44. [Moshkin M.P., Gerlinskaya L.A., Evsikov V.I. The role of the immune system in behavioural strategies of reproduction under parasitic pressure. Zhurnal obshchei biologii = Biology Bulletin Reviews, 2003, vol. 64, no. 1, pp. 23–44. (In Russ.)]
- Патент № 2013146333 Российская Федерация, МПК G01N 33/48 (2006.01), G01N 33/53 (2006.01). Способ определения провоспалительных и проаллергических интерлейкинов в назальном секрете у детей раннего и дошкольного возраста для диагностики этиологии рецидивирующих острых ринофарингитов и аденоидитов: № 2013146333/15; заявлено 16.10.2013: опубликовано 20.11.2015 / Тюменев А.В., Шабалдина Е.В., Шабалдин А.В., Симбирцев А.С., Рязанцев С.В. Патентообладатель: Тюменев А.В., Шабалдина Е.В., Шабалдин А.В., Симбирцев А.С., Рязанцев С.В. 11 с. [Patent No. 2013146333 Russian Federation, Int. Cl. G01N 33/48 (2006.01), G01N 33/53 (2006.01). Method of determining proinflammatory and proallergic interleukins in nasal secretion in infants and preschool children for diagnostics of aetiology of recurring acute rhinopharyngitis and adenoiditis. No. 2013146333/15; application: 16.10.2013: date of publication 20.11.2015 / Tjumenev A.V., Shabaldina E.V., Shabaldin A.V., Simbirtsev A.S., Rjazantsev S.V. Proprietors: Tjumenev A.V., Shabaldina E.V., Shabaldin A.V., Simbirtsev A.S., Rjazantsev S.V. 11 p.]
- Симбирцев А.С. Цитокины: классификация и биологические функции // Цитокины и воспаление. 2004. Т. 3, № 2. С. 16–22. [Simbirtsev A.S. Cytokines: classification and biological functions. Tsitokiny i vospalenie = Cytokines and Inflammation, 2004, vol. 3, no. 2, pp. 16–22. (In Russ.)]
- Симбирцев А.С. Иммунофармакологические аспекты системы цитокинов // Бюллетень сибирской медицины. 2019. Т. 18, № 1. С. 84–95. [Simbirtsev A.S. Immunopharmacological aspects of the cytokine system. Byulleten’ sibirskoi meditsiny = Bulletin of Siberian Medicine, 2019, vol. 18, no. 1, pp. 84–95. (In Russ.)] doi: 10.20538/1682-0363-2019-1-84-95
- Суринов Б.П., Исаева В.Г., Карпова Н.А. Иммуностимулирующая хемосигнализация у животных при вторичных иммунодефицитных состояниях // Доклады Академии наук. 2008. Т. 418, № 2. C. 282–285. [Surinov B.P., Isaeva V.G., Karpova N.A. Immune stimulating chemosignalling system in animals with secondary immune deficiency. Doklady Akademii Nauk, 2008, vol. 418, no. 2, pp. 282–285. (In Russ.)]
- Шабалдина Е.В., Шабалдин А.В. Аллергический ринит: учебное пособие. Кемерово: КемГМУ, 2022. 81 c. [Shabaldina E.V., Shabaldin A.V. Allergic rhinitis: a textbook. Kemerovo: KemGMU, 2022. 81 p. (In Russ.)]
- Litvinova E.A., Goncharova E.P., Zaydman A.M., Zenkova M.A., Moshkin M.P. Female scent signals enhance the resistance of male mice to influenza. PLoS One, 2010, vol. 5, no. 3: e9473. doi: 10.1371/journal.pone.0009473
- Kirk-Smith M., Booth D., Canol D., Davies P. Human sexual attitudes afected by androstenol. Research Communicatios in Psychology, Psychiatry, and Behavior, 1978, vol. 3, no. 4: 379.
- Tamagawa A., Gerlinskaya L.A., Nagatomi R., Moshkin M.P. Female pheromone and physical exercise improve endocrine status in elderly japanese men. Anti-Aging Medicine, 2008, vol. 5, no. 6, pp. 57–62. doi: 10.3793/jaam.5.57
- White T.L., Cunningham C. Sexual Preference and the Self-Reported Role of Olfaction in Mate Selection. Chem. Percept., 2017, vol. 10, pp. 31–41. doi: 10.1007/s12078-017-9223-9
Supplementary files






