Improving safety of oil adjuvant-based vaccines
- Authors: Skupnevskii S.V.1, Pukhaeva E.G.1, Badtiev A.K.1, Rurua F.K.1, Batagova F.E.1, Farnieva Z.G.1
-
Affiliations:
- Institute of Biomedical Investigations — the Affiliate of Vladikavkaz Scientific Centre of RAS
- Issue: Vol 12, No 5 (2022)
- Pages: 953-962
- Section: ORIGINAL ARTICLES
- Submitted: 10.03.2022
- Accepted: 11.05.2022
- Published: 16.11.2022
- URL: https://iimmun.ru/iimm/article/view/1897
- DOI: https://doi.org/10.15789/2220-7619-ISO-1897
- ID: 1897
Cite item
Full Text
Abstract
High adjuvant reactogenicity is the main limitation for increasing the effectiveness of vaccine therapy. The aim was to reduce the immunotoxicity effects of complete Freund’s adjuvant (CFA) in warm-blooded animals. Materials and methods. The study examined Wistar rats by dividing animals into negative control (solvents); positive control (single subcutaneous CFA injection of 0.1 ml/200 g body weight (b.w.)); the “minimum” and “maximum” (per os administration of 1:4 citric and succinic acids in ratio of 17 and 88 mg/kg b.w. during 4 weeks after immunization of CFA) experiment. Body weight, hematological (complete blood count) and biochemical (hydroperoxides, malondialdehyde, catalase activity, mitochondrial dehydrogenase activity) parameters were dynamically investigated. At the end of the experiment, necropsy was performed and the relative internal organ mass coefficients were calculated. The spleen and connective tissue (knee joint) were examined histologically. The median, C25–C75 quartiles, Mann–Whitney U-test were calculated. Results and discussion. it was found that parameters examined were within normal range in animals of negative control group. Immunization of warm-blooded animals with CFA was accompanied by transition of acute-to- chronic inflammatory reaction (week 3 and week 7, respectively). The total leukocyte count increased from 12.5 × 109 (negative control) up to 26.6 × 109/L (P = 0.01) on week 3 followed by its decline down to 19.2 × 109/L (P = 0.01) by week 7. Platelet count also increased significantly: from 506 × 109 (negative control) up to 656 × 109/L (P = 0.01, week 3) followed by decrease down to 610 × 109/L by week 7 (P = 0.01). Activation of lipid peroxidation was manifested by malondialdehyde (MDA) level elevated by 55.8–61.8% (P = 0.01); the general CFA-related toxic effect resulted in 11.7% weight loss (P = 0.01), spleen swelling and thymus reduction. Administration of antioxidant acids led to a dose-dependent decline in inflammation (leukocyte count at the minimum dosage — 19.6 × 109–20.9 × 109/L; at the maximum 16.6 × 109–16.0 × 109/L), as well as normalized the “platelet/leukocyte” index up to 29.5–36.3 (positive control 24.6, negative control 40.5). The acid-related protective effect was also manifested as maintained body weight, activated catalase and inhibited lipid peroxidation. The therapeutic effect in alleviated degenerative changes in the spleen and connective tissue were revealed: reduced hemorrhagic focuses and swelling as well as preserved histoarchitectonics. Conclusion. The use of citric and succinic acids contributes to profoundly lowered CFA toxicity due to increased total antioxidant status, inhibited lipid peroxidation, improved mitochondrial metabolic activity, which ultimately lead to a decline in general systemic inflammation and allows to recommend such acids as immunoprotectors from oil adjuvant-coupled effects.
Full Text
Введение
В фундаментальной монографии по вакцинотерапии [20] S. Plotkin отмечает, что влияние вакцинации на здоровье людей в мировом масштабе огромно: за исключением улучшения качества питьевой воды, ничто другое не способствовало столь значительному снижению смертности и росту населения планеты, — включая антибиотики. По экспертным оценкам, благодаря вакцинации во всем мире ежегодно удается предотвратить порядка 6 млн смертей, сохранить 386 млн лет жизни и 96 млн лет, скорректированных по индексу нетрудоспособности DALY [17]. Повышение эффективности и безопасности современных вакцин напрямую связано с успехами в области разработки адъювантных технологий, которые берут свое начало с 1916 г., когда авторами работы [11] впервые было установлено, что эмульсия минеральных масел может значительным образом усиливать иммунный ответ организма на вводимый антиген. Дальнейшие эксперименты по иммунизации животных позволили выявить адъювантные свойства у целого ряда химических соединений и сформулировать общие теоретические принципы их функционирования. В настоящее время эти знания легли в основу классификации адъювантов по механизму действия: активные иммуностимуляторы (оказывают непосредственное воздействие на антигенпрезентирующие клетки), системы доставки (осуществляют депонирование, адресную доставку и модификацию антигена), комбинированные адъюванты (так называемые адъюванты нового поколения, призванные сочетать в себе преимущества первых двух групп) [3]. Тем не менее характер иммунного ответа, видовые и индивидуальные особенности организма, способы и схемы эффективной иммунизации до сих пор во многом определяются эмпирически [1], а в каждую из трех указанных групп могут входить адъюванты, различающиеся по своим физико-химическим свойствам: минеральные, масляные, корпускулярные и комбинированные.
После солей алюминия, долгое время являвшихся единственным общеупотребимым адъювантом, в последние десятилетия значительное распространение при производстве вакцин получили масляные эмульсии, которые применяются для профилактики сезонного и пандемического гриппа, гепатита В, папилломавирусных инфекций, немелкоклеточного рака легких и других широко распространенных заболеваний человека [12, 14]. Применение эмульсий типа «масло в воде» и «вода в масле» оправдано также в педиатрической практике [12], пациенты которой составляют одну из наиболее уязвимых групп населения. Преимуществом масляных адъювантов (МА) является медленное (в случае липосом — контролируемое) высвобождение антигенов из депо, а также активация гуморального и клеточного звеньев иммунной системы, что обусловливает их эффективность. Основу молекулярно-клеточного механизма действия МА составляет выделение в местах ввода вакцины молекулярных паттернов, ассоциированных с повреждением собственных клеток организма. Высвобождение аутологичных ДНК, РНК, полипептидов и других макромолекулярных фрагментов в результате дестабилизации клеточных мембран, обусловленной в том числе и липофильными свойствами масляных адъювантов [15, 19], обеспечивает потенцирующий эффект презентируемых антигенов и определяет высокую биологическую активность вакцин на их основе. Несмотря на достигнутые успехи в области создания вакцин на основе МА, для них продолжают оставаться актуальными вопросы купирования системной и локальной реактогенности.
Целью работы являлось снижение иммунотоксических эффектов, обусловленных введением полного адъюванта Фрейнда теплокровным животным.
Материалы и методы
Исследования были проведены на крысах-самцах линии Wistar (n = 32) с массой тела 420±20 г в возрасте 24 месяца, полученных из ФГУП «Питомник лабораторных животных «Рапполово», Ленинградская область. Условия содержания животных отвечали стандартам, предъявляемым для вивариев 1. Световой режим в помещениях для содержания животных был 12:12; доступ к воде — свободный. На период введения тестируемых веществ (смеси лимонной и янтарной кислот) с кормом осуществлялась пищевая депривация животных — кормление проводилось после полного потребления затравки, равномерно распределенной в кормовой смеси.
При работе с грызунами придерживались правил и этических норм, описанных в «Европейской конвенции о защите позвоночных животных, используемых для экспериментов или в иных научных целях» (Страсбург, 18 марта 1986 г.) и с разрешения этического комитета при Институте биомедицинских исследований РАН. В конце эксперимента эвтаназию крыс осуществляли в CO2-затравочном боксе.
Дизайн эксперимента. Животные были разделены на четыре равные группы. Манипуляции по введению растворов и отбору крови проводились под легким общим наркозом (Золетил, Франция). Крысам первой группы (негативный контроль) подкожно вводили изотонический раствор натрия хлорида в объеме 0,1 мл на 200 г массы тела (м.т.). Иммунизацию крыс второй группы (позитивный контроль) осуществляли подкожным введением полного адъюванта Фрейнда в объеме 0,1 мл на 200 г м.т. (Freund’s Complete Adjuvant, Difco Laboratories, США). Животным третьей и четвертой групп («Опыт минимально (мин.)» и «Опыт максимально (макс.)» соответственно) после однократного подкожного введения ПАФ в объеме 0,1 мл на 200 г м.т. осуществляли профилактику иммунотоксического действия смесью лимонной и янтарной кислот, взятых в массовом соотношении 1:4. Для этого карбоновые кислоты предварительно нейтрализовывали минеральной водой до рН 7,0–7,5 и полученным раствором равномерно смачивали экструдированные гранулы, которые после просушивания скармливали животным. Введение антиоксидантов осуществляли на протяжении 4 недель в дозировках 17 мг/кг (мин.) м.т. и 88 мг/кг (макс.) м.т. После этого животных переводили на стандартный рацион и режим питания.
По истечении 3-х и 7-ми недель у животных из сердца отбирали кровь для гематологических и биохимических исследований.
Методики проведения исследований. Измерение массы тела животных проводили в динамике с интервалами в 2–3 недели. По окончании эксперимента осуществляли некропсию и измерение массы внутренних органов; на основании полученных результатов рассчитывали массовые коэффициенты внутренних органов (г/кг массы тела). Гематологические показатели определяли с помощью автоматического гематологического анализатора Mythic 22 (Польша), лейкоцитарную формулу для повышения точности рассчитывали микроскопией мазка.
Содержание гидроперекисей (ГП) в плазме крови определяли по Гаврилову, используя наборы фирмы ООО «Агат-Мед» (Россия). В отмытых холодным изотоническим раствором эритроцитах измеряли стандартным методом содержание малонового диальдегида по реакции с тиобарбитуровой кислотой [2]. Активность каталазы в гемолизированных эритроцитах измеряли по методу T. Beutler [4], основанном на расчете кинетики распада перекиси водорода по результатам спектрофотометрического анализа.
Для гистологических исследований образцы селезенки и соединительной ткани (коленный сустав) помещали в нейтральный 10% раствор формалина и фиксировали не менее 72 часов. Парафиновые срезы окрашивали гематоксилин-эозином и анализировали при увеличении 10×10 и 10×40.
Для анализа выборок рассчитывали медиану (Мe), 25-й и 75-й процентили (С25–С75). Выбор нулевой или альтернативной гипотез осуществляли на основе U-критерия Манна–Уитни с помощью онлайн калькулятора [18]. Значимыми считались различия при p < 0,05.
Результаты
Введение животным полного адъюванта Фрейнда приводит к срыву иммунной толерантности и запуску каскада патологических процессов, выявляемых на различных уровнях — от организменного до клеточного (табл. 1–5, рис. 1, 2, III обложка). На основе анализа интегрального показателя — изменения массы тела животных — можно заключить, что гиперактивация иммунной системы компонентами ПАФ приводит к общему дисбалансу в системе пластического обмена и сопровождается снижением веса (табл. 1)
Таблица 1. Динамика показателей массы тела у крыс
Table 1. Dynamics of body weight in rats
Группы животных Groups of animals | Стат. критерии Stat. criteria | Сроки обследования (в неделях) Timepoints of examination (weeks) | |||
0 | 2 | 5 | 7 | ||
Негативный контроль Negative control | Ме | 467,50 | 475,00 | 482,50 | 490,00 |
С25–С75 | 430,00–500,00 | 438,75–498,75 | 450,00–501,25 | 465,00–506,25 | |
Позитивный контроль Positive control | Ме | 461,88 | 419,06 | 419,06 | 407,67 |
С25–С75 | 447,76–470,99 | 398,56–448,67 | 408,81–456,64 | 397,42–446,39 | |
P* | н/д | ID | 0,05 | 0,05 | 0,01 | |
Опыт «мин.» “Min.” experiment | Ме | 444,00 | 430,50 | 445,00 | 432,50 |
С25–С75 | 429,25–508,50 | 411,50–470,00 | 422,50–487,50 | 396,25–456,25 | |
P** | н/д | ID | н/д | ID | н/д | ID | н/д | ID | |
Опыт «макс.» “Max.” experiment | Ме | 480,00 | 455,00 | 467,50 | 450,00 |
С25–С75 | 452,50–521,25 | 420,00–482,50 | 440,00–491,25 | 428,75–472,50 | |
P*** | н/д | ID | н/д | ID | н/д | ID | н/д | ID | |
Примечание. * — позитивный контроль относительно негативного; ** — опытная «мин.» относительно позитивного контроля; *** — опытная «макс.» относительно позитивного контроля; н/д — недостоверные отличия.
Note. * — positive vs. negative control; ** –”min.” experiment vs. positive control; *** — “max.” experiment vs. positive control; ID — insignificant differences.
В группе позитивного контроля к окончанию второй недели статистически значимое (относительно негативного контроля) снижение массы составило 9,1% и после относительной стабилизации в течение последующих трех недель (5-я неделя) регистрируемый показатель дополнительно снизился (к 7-й неделе). Итоговая потеря в весе составила 11,7% относительно исходного значения. В условиях профилактического воздействия смеси лимонной и янтарной кислот, вводимых в режиме «доза-эффект», проявилась качественно иная закономерность: менее выраженное (3,1–5,2%) снижение массы к окончанию второй недели и затем ее (2,6–3,4%) прирост в период введения антиоксидантов (пятая неделя). Последующая отмена антиоксидантов приводит к повторному снижению массы на 3,0–3,6%, что в сумме дает ее конечное уменьшение от исходного уровня на 2,7–6,25% (при существенном (до 9%) прибавлении на фоне животных позитивного контроля).
У животных из группы негативного контроля отмечен стабильный прирост массы в соответствии с физиологическими закономерностями, характерными их возрасту [9].
По окончании эксперимента в результате некропсии значимых аномалий в топографии, структуре, форме и цвете органов у животных опытных и контрольных групп не выявлено. Изучение индексов массы внутренних органов (относительно массы тела) позволило вскрыть отдельные патологические изменения, затронувшие организм животных, подвергнутых воздействию адъюванта Фрейнда (табл. 2).
Таблица 2. Массовые коэффициенты внутренних органов (г/кг массы тела) крыс
Table 2. The relative internal organ mass coefficients (g/kg body weight) in rats
Группы животных Groups of animals | Стат. критерии Stat. criteria | Масса тела, г Body weight, g | Печень Liver | Почки Kidney | Селезенка Spleen | Тимус Thymus |
Негативный контроль Negative control | Ме | 490,00 | 38,05 | 6,39 | 2,13 | 1,62 |
С25–С75 | 465,00–506,25 | 36,02–40,06 | 5,52–7,05 | 1,97–2,43 | 1,32–1,71 | |
Позитивный контроль Positive control | Ме | 407,67 | 36,70 | 6,29 | 2,67 | 1,02 |
С25–С75 | 397,42–446,39 | 34,19–37,44 | 6,22–6,53 | 2,49–2,69 | 0,95–1,17 | |
P* | 0,01 | н/д | ID | н/д | ID | 0,01 | 0,01 | |
Опыт «мин.» “Min.” experiment | Ме | 432,50 | 35,45 | 6,32 | 3,74 | 1,00 |
С25–С75 | 396,25–456,25 | 32,28–37,37 | 5,66–8,49 | 2,64–4,05 | 0,98–1,05 | |
P** | н/д | ID | н/д | ID | н/д | ID | н/д | ID | н/д | ID | |
Опыт «макс.» “Max.” experiment | Ме | 450,00 | 36,97 | 5,93 | 2,22 | 1,25 |
С25–С75 | 428,75–472,5 | 35,67–41,16 | 5,54–6,01 | 1,78–2,73 | 1,18–1,43 | |
P*** | н/д | ID | н/д | ID | 0,05 | н/д | ID | 0,05 |
Примечание. Обозначения те же, что и в табл. 1.
Note. For legend see Table 1.
Из таблицы видно, что статистически значимые изменения у животных из группы позитивного контроля выявляются прежде всего в органах иммунной системы — селезенке и вилочковой железе. При этом относительная масса селезенки увеличилась на 25,3%, а тимус, наоборот, оказался редуцирован на 37,0%. Протективное действие карбоновых кислот в максимальной дозировке проявилось сохранением лимфоэпителиального органа с коэффициентом защиты 25% (относительно позитивного контроля), а расчеты по критерию Манна–Уитни показали, что массив полученных данных составляет единую выборку с животными негативного контроля.
Ключевые гематологические показатели теплокровных представлены в табл. 3.
Таблица 3. Динамика основных гематологических показателей у крыс
Table 3. Dynamics of major rat hematological parameters
Группы животных Groups of animals | Стат. критерии Stat. criteria | Лейкоциты, × 109/л White blood cells, × 109/L | Эритроциты, × 1012/л Red blood cells, × 1012/L | Гемоглобин, г/л Hemoglobin, g/L | Тромбоциты, × 109/л Platelets, × 109/L | ||||
3 нед. week 3 | 7 нед. week 7 | 3 нед. week 3 | 7 нед. week 7 | 3 нед. week 3 | 7 нед. week 7 | 3 нед. week 3 | 7 нед. week 7 | ||
Негативный контроль Negative control | Ме | 12,5 | 13,2 | 8,5 | 9,2 | 145,0 | 147,5 | 506,0 | 519,0 |
С25–С75 | 11,8–16,2 | 11,8–14,4 | 8,1–8,9 | 9,0–9,5 | 142,2–147,5 | 144,7–151,5 | 474,0–562,7 | 481,0–573,5 | |
Позитивный контроль Positive control | Ме | 26,6 | 19,2 | 8,7 | 9,5 | 144,0 | 151,5 | 656,0 | 610,5 |
С25–С75 | 23,6–30,9 | 17,8–21,2 | 8,2–8,9 | 9,3–9,6 | 140,2–147,0 | 149,7–158,0 | 640,5–700,5 | 591,0–657,5 | |
P* | 0,01 | 0,01 | н/д | ID | н/д | ID | н/д | ID | н/д | ID | 0,01 | 0,01 | |
Опыт «мин.» “Min.” experiment | Ме | 19,6 | 20,9 | 8,9 | 8,9 | 147,0 | 147,0 | 579,0 | 550,5 |
С25–С75 | 14,2–23,3 | 16,9–25,8 | 8,8–9,4 | 8,5–9,1 | 144,0–149,0 | 140,8–150,8 | 534,5–629,5 | 470,8–629,0 | |
P** | 0,05 | н/д | ID | н/д | ID | 0,05 | н/д | ID | н/д | ID | 0,05 | н/д | ID | |
Опыт «макс.» “Max.” experiment | Ме | 16,6 | 16,0 | 9,3 | 9,5 | 149,5 | 155,0 | 603,5 | 567,5 |
С25–С75 | 14,3–19,9 | 14,9–16,1 | 8,7–9,5 | 9,4–9,8 | 142,8–153,7 | 148,8–159,2 | 513,5–665,0 | 494,3–645,8 | |
P*** | 0,01 | 0,01 | н/д | ID | н/д | ID | н/д | ID | н/д | ID | н/д | ID | н/д | ID | |
Примечание. Обозначения те же, что и в табл. 1.
Note. For legend see Table 1.
Из таблицы видно, что в ходе проведения общего клинического анализа крови у животных негативного контроля исследуемые параметры изменяются незначительно и остаются в пределах колебаний нормы [21]. После введения ПАФ у теплокровных отмечается острая воспалительная реакция, выявляемая повышением уровня лейкоцитов. Так, в группе позитивного контроля общее количество клеток белой крови на третьей неделе эксперимента увеличилось относительно негативного контроля в 2,1 раз (статистически значимо). В условиях профилактики карбоновыми кислотами степень лейкоцитоза статистически значимо и дозозависимо снижается: с минимальной концентрацией на 26,3%, с максимальной — на 37,6%. При этом также отмечается другая положительная тенденция — сужение размаха выборки: в первом случае (опыт «мин.») разница между верхним и нижним квартилями составляет 64%, а во втором — не превышает 40% (опыт «макс.»).
К окончанию всего эксперимента (7-я неделя) степень выраженности воспалительных реакций у крыс из группы позитивного контроля снижается на 27,8%, у опытных животных на фоне изначального купирования лейкоцитоза существенных колебаний общей численности клеток белой крови не выявлено.
Состояние системы эритропоэза в условиях проводимого эксперимента остается достаточно стабильным: у всех животных общее количество эритроцитов и содержание в них гемоглобина колеблется незначительно и сохраняется в пределах нормы.
В мегакариоцитарном ростке в условиях иммунизации ПАФ отмечаются статистически значимые патологические сдвиги: количество тромбоцитов относительно животных негативного контроля оказывается повышенным на 20,6–29,6%. Коррекция тромбоцитоза на фоне приема антиоксидантов способствовала 9,8–11,7%-ному снижению содержания кровяных пластинок даже при минимальной дозировке.
О протективном действии карбоновых кислот в отношении ПАФ-индуцированного воспаления свидетельствуют также расчеты отношения «тромбоциты/лейкоциты» (Т/Л). Для животных негативного контроля данный параметр колеблется незначительно и сохраняется в пределах 39,5–40,6. На фоне введения ПАФ (позитивный контроль) к третьей неделе отношение Т/Л значительно снижается, достигая значения 24,6, а к седьмой неделе — 31,8. Наиболее выраженное защитное действие антиоксидантов проявилось в максимальной дозировке, способствуя поддержанию рассчитываемого индекса в пределах 35,3–36,3.
Воздействие ПАФ и антиоксидантов на отдельные субпопуляции лейкоцитов отражено в табл. 4.
Таблица 4. Лейкоцитарная формула экспериментальных животных
Table 4. Leukocyte count in experimental animals
Группы животных Groups of animals | Стат. критерии Stat. criteria | П/я нейтрофилы, % Band cells | С/я нейтрофилы, % Segmented neutrophils | Эозинофилы, % Eosinophils | Лимфоциты, % Lymphocytes | Моноциты, % Monocytes | |||||
3 нед. 3 weeks | 7 нед. 7 weeks | 3 нед. 3 weeks | 7 нед. 7 weeks | 3 нед. 3 weeks | 7 нед. 7 weeks | 3 нед. 3 weeks | 7 нед. 7 weeks | 3 нед. 3 weeks | 7 нед. 7 weeks | ||
Негативный контроль Negative control | Ме | 2,00 | 1,5 | 22,00 | 26,00 | 4,00 | 2,00 | 67,5 | 62,50 | 4,00 | 5,00 |
С25–С75 | 1,75–3,25 | 0–2,25 | 20,5–24,25 | 22,50–28,25 | 2,00–5,25 | 2,00–5,25 | 62,75–69,25 | 59,00–67,75 | 2,75–5,00 | 4,75–6,00 | |
Позитивный контроль Positive control | Ме | 1,5 | 1 | 24,00 | 19,00 | 4,00 | 3,00 | 65,00 | 75,00 | 4,00 | 3,00 |
С25–С75 | 1–1,25 | 0–1 | 19,00–32,50 | 16,25–20,00 | 0–6,25 | 2,75–4,00 | 62,00–68,25 | 72,50–80,75 | 3,00–5,50 | 1,00–3,00 | |
P* | н/д | ID | н/д | ID | н/д | ID | 0,05 | н/д | ID | н/д | ID | н/д | ID | 0,05 | н/д | ID | 0,01 | |
Опыт «мин.» “Min.” experiment | Ме | 2,5 | 1,5 | 14,00 | 25,50 | 3,00 | 2,00 | 74,00 | 65,50 | 7,50 | 5,50 |
С25–С75 | 0–3,25 | 1–2,25 | 12,50–15,25 | 14,00–34,75 | 2,00–6,50 | 0–2,25 | 67,75–75,75 | 53,75–77,00 | 5,50–8,50 | 5,00–6,00 | |
P** | н/д | ID | 0,05 | 0,01 | н/д | ID | н/д | ID | 0,05 | н/д | ID | н/д | ID | 0,05 | 0,01 | |
Опыт «макс.» “Max.” experiment | Ме | 0,5 | 1 | 25,50 | 15,00 | 1,00 | 2,00 | 64,50 | 76,50 | 3,00 | 3,50 |
С25–С75 | 0–2,25 | 1–1 | 22,75–36,25 | 14,00–24,50 | 0,75–2,00 | 2,00–3,25 | 56,50–70,25 | 63,50–79,00 | 2,00–5,00 | 2,00–5,50 | |
P*** | н/д | ID | н/д | ID | н/д | ID | н/д | ID | н/д | ID | н/д | ID | н/д | ID | н/д | ID | н/д | ID | н/д | ID | |
Примечание. Обозначения те же, что и в табл. 1.
Note. For legend see Table 1.
Согласно полученным результатам, регистрируемые колебания в показателях крови у крыс негативного контроля незначительны и не выходят за границы нормы [17]. При иммунизации животных в лейкоцитарной формуле выявляются определенные сдвиги, затрагивающие преимущественно лимфобластный и миелобластный ростки крови. Так, у крыс позитивного контроля статистически значимые изменения отмечаются на 7-й неделе: относительное содержание зрелых нейтрофилов снижается на 7% (относительно негативного контроля), а лимфоцитов — повышается на 12,5%. Воздействие карбоновых кислот на лейкопоэз носит дозозависимый характер и проявляется по-разному: нейтропения (и соответственно лимфоцитоз) при сравнении с позитивным контролем у опытных животных с минимальной концентрацией на третьей неделе, а с максимальной — на седьмой.
В других клеточных звеньях системы лейкона существенных различий между сравниваемыми группами не выявлено.
Изменения, затронувшие систему перекисного окисления липидов и общую дыхательную (дегидрогеназную) активность лимфоцитов в условиях коррекции аутоиммунных реакций карбоновыми кислотами, отражены в табл. 5.
Таблица 5. Динамика биохимических показателей крови у крыс
Table 5. Dynamics of rat blood biochemical parameters
Группы животных Groups of animals | Стат. критерии Stat. criteria | Гидроперекиси, мкмоль/л Hydroperoxides, µmol/L | МДА, мкмоль/л MDA, µmol/L | Каталаза, × 104 МЕ/г Нb Catalase, × 104 IU/g Hb | Дегидрогеназная активность, у.е. Dehydrogenase activity, c.u. | ||||
3 нед. 3 weeks | 7 нед. 7 weeks | 3 нед. 3 weeks | 7 нед. 7 weeks | 3 нед. 3 weeks | 7 нед. 7 weeks | 3 нед. 3 weeks | 7 нед. 7 weeks | ||
Негативный контроль Negative control | Ме | 4,79 | 5,09 | 30,45 | 28,97 | 3,99 | 5,15 | 4,81 | 3,67 |
С25–С75 | 4,62–5,00 | 4,71–6,41 | 28,97–32,05 | 26,03–29,55 | 3,69–4,07 | 4,95–5,58 | 4,56–5,39 | 2,91–3,78 | |
Позитивный контроль Positive control | Ме | 5,12 | 4,65 | 49,27 | 45,13 | 4,38 | 4,98 | 3,03 | 1,30 |
С25–С75 | 4,85–5,39 | 4,57–4,82 | 46,96–50,79 | 44,42–45,83 | 4,10–4,52 | 4,75–5,30 | 2,75–3,15 | 1,09–1,61 | |
P* | н/д | ID | н/д | ID | 0,01 | 0,01 | 0,05 | н/д | ID | 0,01 | 0,01 | |
Опыт «мин.» “Min.” experiment | Ме | 4,72 | 5,12 | 43,73 | 37,56 | 4,44 | 5,59 | 2,68 | 1,91 |
С25–С75 | 4,12–5,29 | 4,72–5,62 | 40,85–44,68 | 35,90–40,32 | 4,35–4,53 | 5,52–5,72 | 2,50–3,76 | 1,77–2,15 | |
P** | н/д | ID | н/д | ID | 0,01 | 0,05 | н/д | ID | 0,01 | н/д | ID | 0,01 | |
Опыт «макс.» “Max.” experiment | Ме | 5,92 | 5,38 | 43,98 | 42,31 | 4,56 | 5,37 | 2,79 | 1,86 |
С25–С75 | 5,52–6,15 | 4,99–5,85 | 42,79–44,86 | 40,26–43,46 | 4,33–4,78 | 5,01–5,55 | 2,53–3,09 | 1,70–2,01 | |
P*** | н/д | ID | 0,05 | 0,05 | 0,05 | н/д | ID | 0,05 | н/д | ID | 0,01 | |
Примечание. Обозначения те же, что и в табл. 1.
Note. For legend see Table 1.
Из таблицы видно, что существенных изменений в содержании первичных продуктов ПОЛ — гидроперекисей не отмечается. Единственным значимым событием явилось 15%-ное увеличение ГП в плазме животных опытной группы с максимальной дозировкой антиоксидантов к 7-й неделе (при сравнении с группой позитивного контроля). Уровень вторичных продуктов ПОЛ, в виде маркера — МДА — изменился статистически значимо у всех экспериментальных животных, затравленных ПАФ. Так, в группе позитивного контроля содержание МДА при сравнении «негативный/позитивный» контроли возросло на 55,8–61,8%. Введение органических кислот даже в минимальной дозировке способствовало снижению интенсивности реакций окислительной деструкции мембран на 11,2–16,8% (p = 0,01–0,05).
Анализ каталазной активности позволяет заключить, что иммунизация адъювантом привела к компенсаторному увеличению ферментного звена системы антиоксидантной защиты. Уже к третьей неделе оцениваемый параметр у теплокровных из группы позитивного контроля возрос на 9,8% (статистически значимо). Смесь лимонной и янтарной кислот позволила еще более повысить эффективность антирадикальной защиты, способствуя росту энзиматической активности каталазы на 1,4–4,1% к третьей неделе с момента антигенной стимуляции и на 7,8–12,2% (статистически значимо) к окончанию эксперимента.
Наиболее существенные изменения в дегидрогеназной активности митохондрий лимфоцитов отмечены к 7-й неделе: у животных из группы позитивного контроля регистрируемый параметр статистически значимо уменьшился в 2,8 раза (в сравнении с негативным контролем); введение антиоксидантов — субстратов цикла трикарбоновых кислот позволило повысить общую дыхательную активность иммунокомпетентных клеток на 43,1–46,9%.
Изменения на клеточном уровне, обусловленные воздействием ПАФ и карбоновых кислот на ткани селезенки, представлены на рис. 1 (см. III обложку).
Рисунок 1. Микрофотографии селезенки крыс (увеличение 10×40)
Figure 1. Rat spleen histology microimages (magnification 10×40)
Примечание. А) негативный контроль; Б) позитивный контроль; В) опыт «мин.»; Г) опыт «макс.».
Note. A) negative control; B) positive control; C) “min.” experiment; D) “max.” experiment.
Гистоархитектоника селезенки животных из группы негативного контроля (рис. 1А, III обложка) не нарушена, в отдельных случаях отмечается венозное полнокровие. У животных позитивного контроля отмечены следующие дегенеративные изменения в ткани: в красной пульпе очаги кровоизлияний с гемосидерозом, в ряде случаев — по всей плоскости среза; синусы расширены. Сосудистая стенка артерий и вен — в состоянии отека. Отмечается уменьшение общей площади лимфоидных узелков, просветление герменативных центров, частичное или полное стирание границ между зонами мантии, маргинальной зоной и красной пульпой, расширение межклеточных щелей. В лимфатических узелках и в красной пульпе нарушена структура ретикулярной сети с разрывами, расслоением и фрагментацией волокон. На фоне воздействия смеси лимонной и янтарной кислот (рис. 1В, 1Г, III обложка) степень дегенеративных изменений снижается: краевая и мантийная зоны четко очерчены, площадь лимфоидных узелков приближена к норме. Синусоиды расширены; отмечаются редкие и мелкофокальные очаги кровоизлияний, количество которых в группе с максимальной дозировкой незначительно.
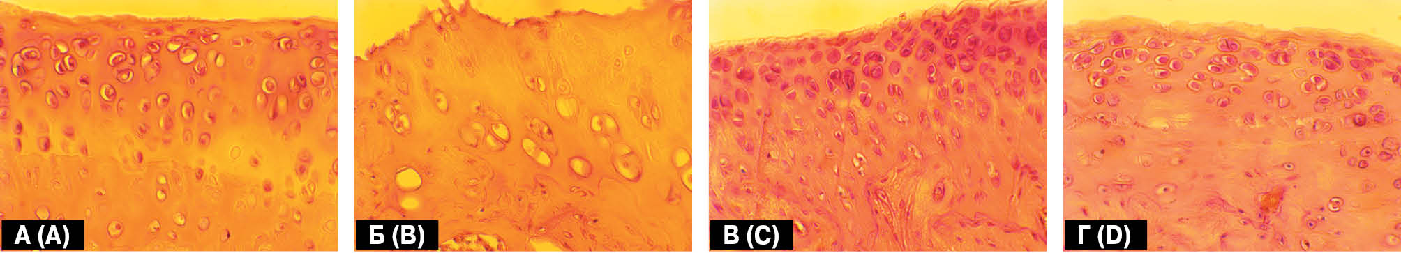
Одним из проявлений иммунотоксического действия ПАФ является индуцированная патология соединительной ткани и, как следствие, развитие аутоиммунного ревматоидного артрита [13]. Морфологические исследования суставного аппарата животных модельной группы (позитивный контроль) охарактеризованы изменениями различной степени тяжести (рис. 2, III обложка).
Рисунок 2. Микрофотографии суставного хряща зоны коленного сустава крыс (увеличение 10×40)
Figure 2. Microimages of rat knee articular cartilage (magnification 10×40)
Примечание. А) негативный контроль; Б) позитивный контроль; В) опыт «мин.»; Г) опыт «макс.».
Note. A) negative control; B) positive control; C) “min.” experiment; D) “max.” experiment.
На фоне введения ПАФ (рис. 2Б, III обложка) у животных отмечается пролиферация синовиоцитов, гиперплазия, отечность и утолщение слоев в синовиальной оболочке. В строме выявляются множественные очаги периваскулярного инфильтрата, представленного преимущественно лимфоцитами. Морфологическая картина надхрящницы свидетельствует о признаках дезорганизации соединительной ткани в виде истончения и разволокнения наружного и внутреннего слоев. При этом в наружном слое рыхлой волокнистой соединительной ткани характерным является умеренно выраженный периваскулярный отек, отмечаются единичные лимфоциты в сосудистой стенке, а также фокусы кровоизлияний. Для внутреннего слоя выявлены участки с относительным уменьшением клеточного состава. При гистологическом исследовании суставных поверхностей гиалинового хряща коленного сустава отмечаются дегенеративные изменения в виде истончения поверхностного слоя молодых хондроцитов, варьирующие от слабой до умеренной степени, очаговые кровоизлияния. В промежуточной зоне — изогенные группы хондроцитов с признаками дистрофических изменений и усилением базофилии территориальных участков межклеточного вещества, очаговая вакуолизация матрикса. В большинстве случаев в строении субхондральной кости гистоархитектоника не нарушена, однако, в единичных случаях отмечено истончение костной пластинки.
На фоне введения смеси лимонной и янтарной кислот (рис. 2В, 2Г, III обложка) общая степень дегенеративных изменений снижена. Это проявлялось снижением степени отечности в синовиальной оболочке, уменьшением или полным исчезновением очагов периваскулярного инфильтрата. Фиброзный и камбиальный слои надхрящницы с незначительными признаками истончения и разволокнения. Хондроциты гиалинового хряща крупные, овальной формы и образуют изогенные группы, ориентированные перпендикулярно поверхности хряща.
Обсуждение
Полный адъювант Фрейнда, представляющий собой водно-масляную эмульсию с термически инактивированными микобактериями туберкулеза, широко используется в практике лабораторного эксперимента и продолжает оставаться «золотым стандартом» в иммунологии [7]. Его введение животным приводит к росту в крови моноаминов [22], выполняющих роль медиаторов воспаления, и сопровождается высоким титром антител [8].
Согласно полученным результатам, гиперэргическое воспаление в ответ на введение ПАФ развивается к третьей неделе, после чего идет на спад и к седьмой неделе приобретает характер хронического процесса. На фоне смеси лимонной и янтарной кислот степень воспалительной реакции дозозависимо снижается, и при максимальной дозировке такие показатели воспаления, как уровень лейкоцитов и тромбоцитов становятся статистически неразличимыми при сравнении с группой негативного контроля, а отношение Т/Л приближается к норме, что, как указывается в работе [6], является чувствительным и информативным маркером воспаления.
О снижении воспалительного процесса под действием антиоксидантов свидетельствует и нормализация содержания в крови малонового диальдегида, повышенный уровень которого свидетельствует не только об оксидативном стрессе, но и отражает интенсификацию воспалительных реакций в организме [10].
Анализ ключевых параметров, диагностирующих общетоксическое действие ПАФ, — динамика массы тела и массовые коэффициенты органов — также свидетельствует о модифицирующем эффекте карбоновых кислот, особенно четко фиксируемом в максимальной дозировке действующих веществ. В работе [5] отмечается, что потеря массы тела приводит к снижению общего системного воспаления за счет уменьшения образования провоспалительных цитокинов, сокращения объемов выработки активных форм кислорода и увеличения эффективности энергетической продуктивности митохондрий.
Относительная стабилизация массы тела животных, получавших смесь лимонной и янтарной кислот на фоне ПАФ-индуцированной аутоиммунной патологии, может раскрывать возможный саногенетический механизм тестируемых веществ. Его основу составляют: непосредственный антиоксидантный (мембранопротекторный) эффекты и повышение общей дегидрогеназной активности митохондрий за счет участия цитрат- и сукцинат-ионов в цикле Кребса. На тканевом уровне защитное действие проявилось сохранением площади и структуры лимфатических фолликулов селезенки на фоне очаговой или тотальной делимфатизации в условиях ПАФ (позитивный контроль), а также значительным купированием признаков дегенеративных изменений в базовых элементах соединительной ткани: суставном хряще и синовиальной оболочке.
Заключение
Использование смеси лимонной и янтарной кислот позволяет существенным образом снизить токсические проявления полного адъюванта Фрейнда за счет повышения антиоксидантного статуса, ингибирования процессов липопероксидации, усиления метаболической активности митохондрий, что в конечном счете приводит к снижению общего системного воспаления и способствует сохранению гистоархитектоники органов-мишеней: селезенки и соединительной ткани.
1ГОСТ 33215-2014 «Руководство по содержанию и уходу за лабораторными животными. Правила оборудования помещений и организации процедур».
About the authors
S. V. Skupnevskii
Institute of Biomedical Investigations — the Affiliate of Vladikavkaz Scientific Centre of RAS
Email: dreammas@yandex.com
PhD, MD (Biology), Leading Researcher, Laboratory of Subcellular Structures, Department of Molecular and Cellular Mechanisms of Autoimmune Diseases
Россия, VladikavkazElena G. Pukhaeva
Institute of Biomedical Investigations — the Affiliate of Vladikavkaz Scientific Centre of RAS
Author for correspondence.
Email: medgenetika435@yandex.ru
Junior Researcher, Laboratory of Subcellular Structures, Department of Molecular and Cellular Mechanisms of Autoimmune Diseases
Россия, VladikavkazA. K. Badtiev
Institute of Biomedical Investigations — the Affiliate of Vladikavkaz Scientific Centre of RAS
Email: medgenetika435@yandex.ru
PhD (Biology), Researcher, Laboratory of Subcellular Structures, Department of Molecular and Cellular Mechanisms of Autoimmune Diseases
Россия, VladikavkazF. K. Rurua
Institute of Biomedical Investigations — the Affiliate of Vladikavkaz Scientific Centre of RAS
Email: medgenetika435@yandex.ru
Junior Researcher, Laboratory of Subcellular Structures, Department of Molecular and Cellular Mechanisms of Autoimmune Diseases
Россия, VladikavkazF. E. Batagova
Institute of Biomedical Investigations — the Affiliate of Vladikavkaz Scientific Centre of RAS
Email: medgenetika435@yandex.ru
Junior Researcher, Laboratory of Subcellular Structures, Postgraduate of the Department of Molecular and Cellular Mechanisms of Autoimmune Diseases
Россия, VladikavkazZh. G. Farnieva
Institute of Biomedical Investigations — the Affiliate of Vladikavkaz Scientific Centre of RAS
Email: medgenetika435@yandex.ru
Junior Researcher, Laboratory of Subcellular Structures, Postgraduate of the Department of Molecular and Cellular Mechanisms of Autoimmune Diseases
Россия, VladikavkazReferences
- Козлов В.Г., Ожерелков С.В., Санин А.В., Кожевникова Т.Н. Адъюванты в современной медицине и ветеринарии // Журнал микробиологии, эпидемиологии и иммунобиологии. 2014. № 1. С. 91–102. [Kozlov V.G., Ozherelkov S.V., Sanin A.V., Kozhevnikova T.N. Adjuvants in modern medicine and veterinary. Zhurnal mikrobiologii, epidemiologii i immunobiologii = Journal of Microbiology, Epidemiology and Immunobiology, 2014, no. 1, pp. 91–102. (In Russ.)]
- Методы клинических лабораторных исследований / Под ред. В.С. Камышникова. 8-е изд. М.: МЕДпресс-информ, 2016. 736 с. [Methods of clinical laboratory research. Ed. by V.S. Kamyshnikova. 8th ed. Moscow: MEDpress-inform, 2016. 736 p. (In Russ.)]
- Семакова А.П., Микшис Н.И. Адъювантные технологии в создании современных вакцин // Проблемы особо опасных инфекций. 2016. № 2. С. 28–35. [Semakova A.P., Mikshis N.I. Adjuvant technologies in the creation of modern vaccines. Problemy osobo opasnykh infektsii = Problems of Especially Dangerous Infections, 2016, no 2, pp. 28–35. (In Russ.)] doi: 10.21055/0370-1069-2016-2-28-35
- Справочник по лабораторным методам исследования / Под ред. Л.А. Даниловой. М.: Питер, 2003. 733 с. [Handbook of laboratory research methods. Ed. by L.A. Danilova. Moscow: Piter, 2003. 733 p. (In Russ.)]
- Bianchi V.E. Weight loss is a critical factor to reduce inflammation. Clin. Nutr. ESPEN, 2018, vol. 28, pp. 21–35. doi: 10.1016/ j.clnesp.2018.08.007.
- Chan A.S., Rout A. Use of neutrophil-to-lymphocyte and platelet-to-lymphocyte ratios in COVID-19. J. Clin. Med. Res., 2020, vol. 12, no. 7, pp. 448–453. doi: 10.14740/jocmr4240
- Dubé J.Y., McIntosh F., Zarruk J.G., David S., Nigou J., Behr M.A. Synthetic mycobacterial molecular patterns partially complete Freund’s adjuvant. Sci. Rep., 2020, vol. 10, no. 1: 5874. doi: 10.1038/s41598-020-62543-5
- Fontes J.A., Barin J.G., Talor M.V., Stickel N., Schaub J., Rose N.R., Čiháková D. Complete Freund’s adjuvant induces experimental autoimmune myocarditis by enhancing IL-6 production during initiation of the immune response. Immun. Inflamm. Dis., 2017, vol. 5, no. 2, pp. 163–176. doi: 10.1002/iid3.155
- Ghasemi A., Jeddi S., Kashfi K. The laboratory rat: age and body weight matter. EXCLI J., 2021, no. 20, pp. 1431–1445. doi: 10.17179/excli2021-4072
- Ito F., Sono Y., Ito T. Measurement and clinical significance of lipid peroxidation as a biomarker of oxidative stress: oxidative stress in diabetes, atherosclerosis, and chronic inflammation. Antioxidants (Basel), 2019, vol. 8, no. 3, 72 p. doi: 10.3390/antiox8030072
- Le Moignic and Pinoy. Les vaccins en emulsion dans les corps gras ou “lipo-vaccins”. Comptes Rendus de la Societe de Biologie, 1916, no. 79, pp. 201–203.
- Lin Y.J., Wen C.N., Lin Y.Y., Hsieh W.C., Chang C.C., Chen Y.H., Hsu C.H., Shih Y.J., Chen C.H., Fang C.T. Oil-in-water emulsion adjuvants for pediatric influenza vaccines: a systematic review and meta-analysis. Nat. Commun., 2020, vol. 11, no. 1: 315. doi: 10.1038/s41467-019-14230-x
- Noh A.S.M., Chuan T.D., Khir N.A.M., Zin A.A.M., Ghazali A.K., Long I., Ab Aziz C.B., Ismail C.A.N. Effects of different doses of complete Freund’s adjuvant on nociceptive behaviour and inflammatory parameters in polyarthritic rat model mimicking rheumatoid arthritis. PLoS One, 2021, vol. 16, no. 12: e0260423. doi: 10.1371/journal.pone.0260423
- Nuwarda R.F., Alharbi A.A., Kayser V. An overview of influenza viruses and vaccines. Vaccines (Basel), 2021, vol. 9, no. 9: 1032. doi: 10.3390/vaccines9091032
- Powell B.S., Andrianov A.K., Fusco P.C. Polyionic vaccine adjuvants: another look at aluminum salts and polyelectrolytes. Clin. Exp. Vaccine Res., 2015, vol. 4, no. 1, pp. 23–45. doi: 10.7774/cevr.2015.4.1.23
- Rodrigues C.M.C., Plotkin S.A. Impact of vaccines; health, economic and social perspectives. Front. Microbiol., 2020, vol. 11: 1526. doi: 10.3389/fmicb.2020.01526
- Siegel A., Walton R.M. Hematology and biochemistry of small mammals. Ferrets, Rabbits, and Rodents, 2020, pp. 569–582. doi: 10.1016/B978-0-323-48435-0.00039-3
- Statistics Kingdom. Mann Whitney U test calculator (Wilcoxon rank-sum). URL: https://www.statskingdom.com/170median_mann_whitney.html
- Tizard I.R. Adjuvants and adjuvanticity. Vaccines for Veterinarians, 2021, pp. 75–86. doi: 10.1016/B978-0-323-68299-2.00016-2
- Vaccines: Expert Consult (Vaccines (Plotkin)) 5th ed. Eds.: S.A. Plotkin, W. Orenstein, P.A. Offit. 1748 p.
- Washington I.M., Van Hoosier G. Clinical biochemistry and hematology. The Laboratory Rabbit, Guinea Pig, Hamster, and Other Rodents, 2012, pp. 57–116. doi: 10.1016/B978-0-12-380920-9.00003-1
- Zhang W., Lyu J., Xu J., Zhang P., Zhang S., Chen Y., Wang Y., Chen G. The related mechanism of complete Freund’s adjuvant-induced chronic inflammation pain based on metabolomics analysis. Biomed. Chromatogr., 2021, vol. 35, no. 4: e5020. doi: 10.1002/bmc.5020






