A rare сase of рulmonary сryptococcosis in a рatient with Wiskott–Aldrich syndrome infected with FLiRT COVID variant
- Authors: Alpidovskaya O.V.1
-
Affiliations:
- Chuvash State University after I.N. Ulyanova
- Issue: Vol 15, No 3 (2025)
- Pages: 592-596
- Section: FOR THE PRACTICAL PHYSICIANS
- Submitted: 09.01.2025
- Accepted: 18.05.2025
- Published: 15.09.2025
- URL: https://iimmun.ru/iimm/article/view/17846
- DOI: https://doi.org/10.15789/2220-7619-ARC-17846
- ID: 17846
Cite item
Full Text
Abstract
The new COVID FLiRT vs. previous variant does not pose a greater danger; on the contrary, the new strain has a lower pathogenicity, although it is highly contagious. The article describes a rare case of pulmonary cryptococcosis in a patient with Wiskott-Aldrich syndrome co-infected with the FLiRT strain. Case description. Patient G.P., 31 years old, was in hospital for several hours. He was admitted for emergency indications with complaints of inhale chest pain, dry cough, and body temperature increased to 38°C. It is known from the medical history that the patient had been ill for about two weeks. In the last few days, before hospitalization, he noted a rise in body temperature to 37.3–38.1°C, and his cough worsened. In this regard, he called an ambulance and was taken to the emergency room for diagnosis and treatment. In childhood, he was diagnosed with Wiskott-Aldrich syndrome. In recent years, he presented no complaints from the internal organs. According to the epidemiological history, it was revealed that the patient did not travel to endemic regions 2 weeks before the onset of the disease, nor contact with people suspected of being infected with SARS-CoV-2, or patients whose diagnosis was confirmed by laboratory tests. A general blood test revealed leukocytosis, lymphopenia, an increase in procalcitonin to 4 ng/ml. Computed tomography of the chest organs revealed signs of interstitial pneumonia and small foci (2–7 mm) in the surrounding lung parenchyma. Despite the treatment started, a cough with discharged pinkish sputum suddenly began and death occurred. Autopsy showed alternation of moderately airy alveoli with focal emphysematous alveoli. In the lumen of the alveoli, leukocyte infiltration, edematous fluid, foci of granulomas with cryptococci, lymphohistiocytes, macrophages and single multinucleated giant cells were determined, on the interalveolar septa. Conclusion. Based on the pathological examination and the description of one of the presented cases, it can be assumed that the new COVID FLiRT variant in combination with Cryptococcus neoformans can lead to a severe form of the disease.
Keywords
Full Text
Введение
После относительного уменьшения случаев заражения инфекцией в теплые месяцы, количество инфицированных SARS-CoV-2 [1, 2, 3, 4, 5, 6] снова увеличивается из-за штамма коронавируса из числа «Омикрона» — FLiRT. Новый подвид FLiRT не представляет собой большую опасность, чем предыдущие вариации коронавирусной инфекции, наоборот, новый штамм обладает более низкой патогенностью, хотя и отличается высокой степенью заразности [5], что связано с изменениями в структуре спайкового (S) белка, которые позволяют вирусу легче проникать в клетки организма и быстрее распространяться внутри него. Клинические признаки заболевания, обусловленного FLiRT, имеют сходство с симптомами ОРВИ. Тем не менее у людей, которые находятся в группе риска, оно нередко может протекать в тяжелой форме, особенно у некоторых пациентов с наследственными заболеваниями [1, 2, 3, 4]. Синдром Вискотта–Олдрича — редкое заболевание, проявляющееся недостаточностью гуморального и клеточного иммунитета [7]. Болезнь может протекать бессимптомно или проявлятся хроническими рецидивирующими микробными воспалительными заболеваниями, геморрагическим синдромом и экземой.
Криптококк (Cryptococcus neoformans) часто вызывает инвазивный микоз легких у взрослых с иммунодефицитными состояниями. Может поражать и здоровых взрослых людей, но гораздо реже и в менее тяжелой форме: у здоровых носителей могут отсутствовать симптомы или они могут быть слабо выраженными. В настоящей статье описан редкий случай криптококкоза легких у пациента с синдромом Вискотта–Олдрича на фоне заражения штаммом FLiRT.
Материалы и методы
Представлены данные истории болезни и результаты патологоанатомического исследования.
Описание клинического случая
Больной Г.П., 31 лет в течение нескольких часов находился на стационарном лечении в Бюджетном учреждении Чувашской Республики «Больница скорой медицинской помощи» Министерства здравоохранения Чувашской Республики.
Поступил по экстренным показаниям с жалобами на боль в груди при вдохе, сухой кашель, повышение температуры тела до 38°С.
Анамнез заболевания. Болен около двух недель. Пациента беспокоил незначительный сухой кашель. В амбулаторных условиях применял амброксол. В последние несколько дней, до госпитализации отмечал повышение температуры тела до 37,3–38,1°С, усиление кашля. В связи с этим вызвал скорую помощь и был доставлен в приемное отделение для диагностики и лечения.
Анамнез жизни. В детском возрасте на основании проведенного молекулярно-генетического анализа и выявления делеции гена WASP больному был поставлен диагноз «Синдром Вискотта–Олдрича» . Клинически была выявлена геморрагическая сыпь, в анализе крови — амегакариоцитарная тромбоцитопения. В детстве проходил лечение по основному заболеванию с положительной динамикой. В последние годы жалоб со стороны внутренних органов не предъявлял.
Эпидемиологический анамнез. Пациент за 2 недели до начала заболевания не выезжал в эндемичные регионы, не имел контакта с людьми, подозрительными на инфицирование SARS-CoV-2, или больными, у которых диагноз был подтвержден лабораторно.
Объективно: общее состояние тяжелое. При аускультации выслушивалось ослабленное дыхание, влажные мелкопузырчатые хрипы, число дыхательных движений — 24 в минуту, SaО2 — 56%. Сердечно-сосудистая система: тоны сердца приглушены, глухие, ЧСС — 90 ударов в минуту. АД — 110/70 мм рт. ст. Оценка состояния по шкале NEWS2 составляла — 11 баллов.
Проведенные обследования. Общий анализ крови: лейкоциты: 21,6 (3,39–8.86) × 109/л, нейтрофилы: 13 (1,50–5,00) × 109/л, лимфоциты: 0,5 (1,05–2,87) × 109/л, СОЭ: 56,0 (0,0–35,0) мм/час.
Коагулолограмма: D-димер: 477,00 (0,00–440,00) нг/мл, АЧТВ: 22 (23,0–34,7) с, Протромбиновый индекс: 126,4 (80,0–125,0)%, Фибриноген: 4,1 (1,6–4,0) г/л. Прокальцитонин: 4 (0–0,064) нг/мл.
По данным компьютерной томографии органов грудной клетки (КТ ОГК), в обоих легких на фоне диффузного снижения воздушности легочной паренхимы по типу «матового стекла» выявлены очаги инфильтрации (65%). В окружающей легочной паренхиме рассеянно определялись мелкие очаги (2–7 мм).
Диагноз COVID-19 был подтвержден при исследовании назофарингеального мазка методом ПЦР.
Несмотря на начатое лечение (моксифлоксацин и ванкомицин, криоплазменно-антиферментный комплекс (свежезамороженная плазма (1000 мл), гепарин (20 000 ЕД), ингибиторы протеаз (200 000 ЕД), ИВЛ внезапно начался кашель с выделением розоватой мокроты, клокочущее дыхание и наступил летальный исход.
Клинический диагноз: Основное заболевание: Новая коронавирусная инфекция (COVID-19), тяжелое течение. Осложнения основного заболевания: Двусторонняя интерстициальная пневмония (степень поражения — 65%). ОРДС. Отек легких. Сопутствующее заболевание: синдром Вискотта–Олдрича. Труп отправлен на секционное исследование.
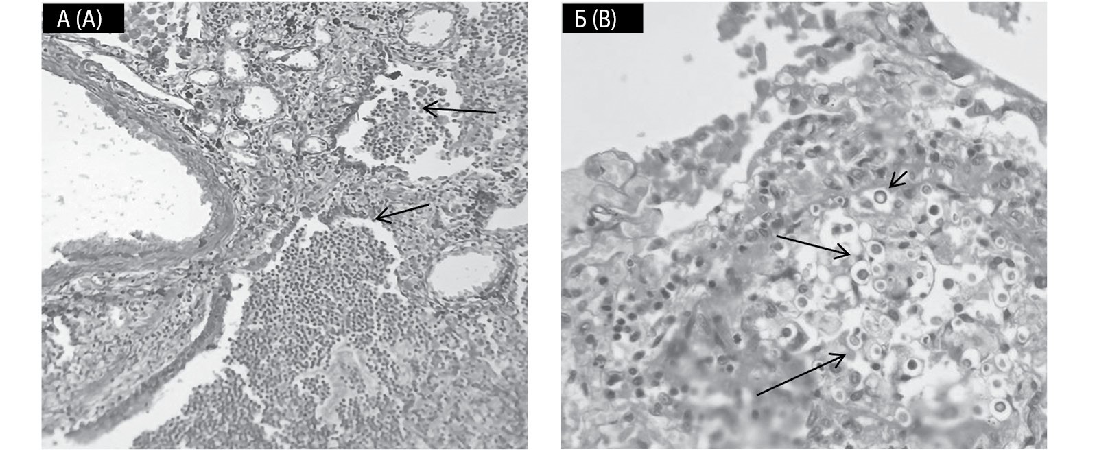
На аутопсии — легкие с наружной поверхности красно-серого цвета, тестовато-отечной консистенции. С поверхности разреза с обильным геморрагически-пенистым содержимым; в нижних отделах легкие темно-синюшно-красного цвета, плотные, с мелкими очагами в легочной паренхиме. При микроскопическом исследовании отмечалось чередование умеренно воздушных альвеол с очаговыми эмфизематозными альвеолами. Межальвеолярные перегородки неравномерно утолщены за счет полнокровия. В просвете альвеол очагово-распространенно лейкоцитарная инфильтрация (рис. 1А), отечная жидкость, гемосидерофаги; в единичных полях зрения на межальвеолярных перегородках фокусы гранулем с криптококками (рис. 1B), лимфогистиоцитами, макрофагами и единичными многоядерными гигантскими клетками. Сосуды полнокровные.
Рисунок. Микроскопические изменения в легких: А. В альвеолах скопление нейтрофильной инфильтрации (черные стрелки); Б. Гранулема с криптококками (черные стрелки). Окраска гематоксилином и эозином. Увеличение: А. ×100; Б. ×400
Figure. Microscopic changes in the lungs: A. Accumulation of neutrophilic infiltration in the alveoli (black arrows); B. Granuloma with cryptococci (black arrows). Stained with hematoxylin. Magnification: A. ×100; B. ×400
Результат вирусологического исследования секционного материала («Центр гигиены и эпидемиологии в Чувашской Республике-Чувашии». Лаборатория вирусологических исследований и диагностики особо опасных инфекций»): выявлен штамм FLiRT в ткани легких. Результат микробиологического исследования ткани легкого (лаборатория БУ «Городская клиническая больница № 1» Минздрава Чувашии): массивный рост Сryptococcus neoformans.
Патологоанатомический диагноз: Основное заболевание: Новая коронавирусная инфекция (COVID-19), тяжелое течение. Осложнения основного заболевания: Двусторонняя вирусная интерстициальная пневмония. Криптококковая инфекция с поражением легких. Осложнения основного заболевания: ОРДС. Отек легких. Сопутствующий: синдром Вискотта–Олдрича.
Обсуждение
Согласно данным литературы, степень тяжести иммунных нарушений у лиц с синдромом Вискотта–Олдрича вариабельна. В большинстве случаев формируется комбинированный иммунодефицит с недостаточностью Т-лимфоцитов [7], в редких случаях возможно благоприятное течение болезни. Частыми осложнениями являются отиты, синуситы, менингиты, а также инфекции, обусловленные H. simplex, CMV, EBV [7]. В 40–70% случаев развиваются аутоиммунные заболевания (гломерулонефрит, васкулит, аутоиммунная гемолитическая анемия, тромбоцитопения), у 13–22% больных — злокачественные новообразования (лейкоз, лимфома, EBV-ассоциированная опухоль головного мозга).
По мере накопления статистических данных о влиянии COVID-19 на организм человека ученые рассматривают новую коронавирусную инфекцию как системное заболевание, затрагивающее не только дыхательную, сердечно-сосудистую, желудочно-кишечную, кроветворную, но и иммунную системы. Согласно статистике, лимфопения при коронавирусе выявляется примерно у 83% пациентов. При этом стойкое снижение лимфоцитов после коронавируса в крови отмечается даже через 4–11 недель после выздоровления. По мнению ученых, вирус SARS-CoV-2 имеет сильное влияние на лимфоциты и приводит к длительным дисфункциям. Таким образом, коронавирусная инфекция ослабляет иммунитет на длительный срок, и даже после полного выздоровления от COVID-19 организм человека будет более восприимчив к различного рода инфекциям [8]. Вероятно, у пациента после заражения штаммом FLiRT присоединилось криптококковое поражение легких с формированием гранулем с наличием криптококков, лимфогистиоцитов, многоядерных гигантских клеток. Гигантские клетки инородных тел образуются под воздействием IL-4 и IL-13, выделяемых TH2, или Т-хелперами, и тучными клетками. Появление этих клеток указывает о развитии продуктивного воспаления с образованием гранулем.
На основании патологоанатомических исследований и описании одного из представленных случаев, можно предположить, что новый штамм FLiRT в сочетании с Сryptococcus neoformans способны привести к тяжелой форме заболевания.
Дополнительная информация
Конфликт интересов. Авторы заявляют об отсутствии конфликта интересов.
Финансирование отсутствует.
About the authors
Olga V. Alpidovskaya
Chuvash State University after I.N. Ulyanova
Author for correspondence.
Email: olavorobeva@mail.ru
PhD (Medicine), Associate Professor, Department of General and Clinical Morphology and Forensic Medicine
Россия, CheboksaryReferences
- Альпидовская О.В. Случай развития острого инфаркта миокарда правого желудочка с миомаляцией и тампонадой сердца после повторного инфицирования SARS-CoV-2 у пациента с синдромом Лоеса–Дитца // Профилактическая медицина. 2024. Т. 27, № 7. С. 73–76. [Alpidovskaya O.V. A case of acute myocardial infarction of right ventricle with myomalacia and tamponade development after SARS-CoV-2 re-infection in the Loeys–Dietz syndrome patient. Profilakticheskaya meditsina = Russian Journal of Preventive Medicine, 2024, vol. 27, no. 7, рр. 73–76. (In Russ.)] doi: 10.17116/profmed20242707173
- Альпидовская О.В. Острая расслаивающая аневризма аорты с разрывом у пациента с синдромом Нунана после повторного инфицирования SARS-CoV-2 // Профилактическая медицина. 2024. Т. 27, № 8. С. 73–75. [Alpidovskaya O.V. Acute dissecting aortic aneurysm with rupture in a patient with Noonan syndrome following SARS-CoV-2 re-infection. Profilakticheskaya meditsina = Russian Journal of Preventive Medicine, 2024, vol. 27, no. 8, рр. 73–75. (In Russ.)] doi: 10.17116/profmed20242708173
- Белых Н.А., Глотова И.А., Деева Ю.В., Пизнюр И.В. Семейный случай синдрома Вискотта–Олдрича // Вестник Авиценны. 2024. Т. 26, № 4. С. 700–709. [Belykh N.A., Glotova I.A., Deeva YuV., Piznyur I.V. A familial case of Wiskott–Aldrich syndrome. Vestnik Avitsenny = Avicenna Bulletin, 2024, vol. 26, no. 4, рр. 700–709. (In Russ.)] doi: 10.25005/2074-0581-2024-26-4-700-709
- Воробьева О.В., Ласточкин А.В. Патоморфологические изменения в органах при COVID-19 // Инфекция и иммунитет. 2020. Т. 10, № 3. С. 587–590. [Vorobeva O.V., Lastochkin A.V. Organ-specific pathomorphological changes during COVID-19. Infektsiya i immunitet = Russian Journal of Infection and Immunity, 2020, vol. 10, no. 3, pp. 587–590. (In Russ.)] doi: 10.15789/2220-7619-PCI-1483
- Коронавирус FLiRT: симптомы, последствия и лечение нового штамма // РБК Тренды. Дата публикации: 29.05.2024. [Coronavirus FLiRT: symptoms, consequences and treatment of the new strain. RBC Trends. Publication date: 29.05.2024. (In Russ.)] URL: https://trends.rbc.ru/trends/social/664f5eae9a79470647d28ee6
- Юсов А.А., Альпидовская О.В., Гималдинова Н.Е., Романова Л.П. Случай летального исхода у пациента с синдромом Элерса–Данло после повторного инфицирования COVID-19 // Профилактическая медицина. 2024. Т. 27, № 1. С. 7275. [Yusov A.A., Alpidovskaya O.V., Gimaldinova N.E., Romanova L.P. A fatal case in a patient with Ehlers–Danlo syndrome after re-infection with COVID-19. Profilakticheskaya meditsina = Russian Journal of Preventive Medicine, 2024, vol. 27, no. 1, рр. 7275. (In Russ.)] doi: 10.17116/profmed20242701172
- Hou X., Sun J., Liu C., Hao J. Case report: Wiskott–Aldrich syndrome caused by extremely skewed X-chromosome inactivation in a Chinese girl. Front. Pediatr., 2021, vol. 9: 691524. doi: 10.3389/fped.2021.691524
- New COVID Variant: FliRT. Continental Hospitals. Publication date: 17.05.2024. URL: https://continentalhospitals.com/blog/new-covid-variant-flirt
Supplementary files





