Клинический случай тяжелого течения COVID-19 у ребенка на фоне морбидного ожирения
- Авторы: Самойлов К.В.1, Ермолаева Ю.А.1, Пономарева Д.А.1, Худякова А.А.1, Проценко А.В.2
-
Учреждения:
- ФГБОУ ВО Сибирский государственный медицинский университет Минздрава России
- ФГБОУ ВО Новосибирский государственный медицинский университет Минздрава России
- Выпуск: Том 13, № 1 (2023)
- Страницы: 174-182
- Раздел: В ПОМОЩЬ ПРАКТИЧЕСКОМУ ВРАЧУ
- Дата подачи: 30.12.2022
- Дата принятия к публикации: 12.02.2023
- Дата публикации: 01.04.2023
- URL: https://iimmun.ru/iimm/article/view/2109
- DOI: https://doi.org/10.15789/2220-7619-CCO-2109
- ID: 2109
Цитировать
Полный текст
Аннотация
Пандемия коронавирусной инфекции характеризуется низким процентом осложнений и тяжелых форм у детей по сравнению со взрослым населением. Однако в литературе описаны случаи тяжелого течения COVID-19 у детей с коморбидными состояниями. К таким фоновым заболеваниям относится ожирение. Целью настоящего исследования стал анализ тяжелого течения новой коронавирусной инфекции на фоне морбидного ожирения у пациентки педиатрического профиля. Материалы и методы. Изучена вся сопроводительная медицинская документация пациентки. Результаты и обсуждение. Из анамнеза жизни известно, что больную длительное время беспокоил интенсивный прирост массы тела, по поводу которого неоднократно проходила обследования. В 2018 г. впервые диагностирован гипоталамический синдром пубертатного периода, по поводу которого пациентка принимала на постоянной основе гипогликемические и гипотензивные препараты, гепатопротекторы. В эпидемиологическом анамнезе установлен факт внутрисемейного контакта по COVID-19 с матерью. Основное заболевание началось остро, с подъема температуры тела до 39–39,5°C, кашля и слабости. На протяжении I недели болезни пациентка не обращалась за медицинской помощью и лечилась самостоятельно без должного эффекта. При измерении сатурации был отмечен низкий уровень кислорода (SpO2 71%). В связи с этим больной была выполнена компьютерная томография органов грудной клетки и выявлено двустороннее интерстициальное полисегментарное поражение легких с признаками консолидации. После экстренной госпитализации больной была назначена эмпирическая антибактериальная терапия, противоспалительное и антитромботическое лечение, а также оказана респираторная поддержка. В стационаре был получен положительный результат ПЦР мазка из зева и носа на SARS-CoV-2. В связи с плохим ответом на терапию больная была переведена в респираторный госпиталь. На момент поступления состояние было расценено как тяжелое за счет выраженной дыхательной недостаточности и наличия преморбидного фона. Комплекс лечебных мероприятий включал оксигенотерапию, антибактериальную и антикоагуляционную терапию, а также препараты сурфактанта и аналог нуклеозидов Ремдесивир. На фоне лечения отмечена положительная динамика, и через 6 дней госпитализации пациентка более не нуждалась в респираторной поддержке. По результатам повторной компьютерной томографии диагностирована двусторонняя интерстициальная полисегментарная пневмония с поражением легочной ткани до 95%. В последующие дни госпитализации состояние пациентки оставалось стабильным, признаки дыхательной недостаточности отсутствовали. На 20 день болезни больная была выписана из стационара с полным клиническим выздоровлением. Заключение. Данный клинический случай демонстрирует роль преморбидного фона в утяжелении клинической картины новой коронавирусной инфекции у ребенка. Тщательное изучение особенностей анамнеза является необходимым у пациентов любого возраста, даже с неосложненным течением болезни.
Ключевые слова
Полный текст
Введение
В декабре 2019 г. на территории китайского города Ухань впервые была зафиксирована вспышка заболевания, обусловленного вирусом SARS-CoV-2, который как и другие патогены из семейства Coronaviridae (SARS-CoV-1 и MERS-CoV), склонен вызывать острый респираторный дистресс-синдром [4, 7]. Однако такое течение заболевания остается уделом взрослого населения, в то время как развитие тяжелого варианта отмечается лишь в 1% всех случаев инфекции у детей, а госпитализации подлежат только до 10% заболевших [5]. По данным ВОЗ, смертность от COVID-19 среди детей от 5 до 14 лет составляет 0,1% от всех случаев, и несколько больший процент (0,4%) определен для группы старшего подросткового возраста [1]. Некоторыми авторами показано, что утяжеление клинических проявлений ассоциировано с определенными сопутствующими состояниями, играющими роль фоновой патологии [9]. Одним из таких заболеваний можно считать ожирение. В литературе накопилось достаточно информации о негативном влиянии избытка массы на течение COVID-19 у взрослых больных [2, 3], а по данным некоторых авторов — и у детей [6, 8]. Серьезный преморбидный фон может диктовать необходимость для расширения медикаментозной терапии с применением респираторной поддержки в данной группе больных.
Цель исследования — описать детали клинического случая пациентки с тяжелым течение COVID-19 на фоне морбидного ожирения.
Материалы и методы
Основными источниками информации о состоянии здоровья пациентки послужили данные медицинских карт стационарного больного (форма 003/у) за следующие периоды: с 03.11.2021 по 04.11.2021 (больная находилась в отделение реанимации и интенсивной терапии ОГАУЗ «Детская инфекционная больница им. Г.Е. Сибирцева») и с 04.11.2021 по 15.11.21 (последующее лечение в респираторном госпитале и инфекционном отделении ОГБУЗ «Медико-санитарная часть № 2»).
Дополнительно были изучены выписки из историй болезни за прошлые госпитализации в эндокринологическое отделение ОГАУЗ Детской больницы № 1 (за 2014 и 2018 г.) и соматическое отделение ОГАУЗ Детской городской больницы № 2 (за 2016 год), а также история развития ребенка (форма 112/у).
Результаты и обсуждение
Пациентка Е., 2003 г. рождения (17 лет). Из анамнеза жизни известно, что девушка росла и развивалась по календарному возрасту. Вакцинация проведена согласно Национальному календарю профилактических прививок за исключением иммунизации против гриппа. Пациентка не входила в категорию часто болеющих. В медицинской документации из хирургических вмешательств упоминалось только иссечение невуса шеи в 2020 г. В ходе расспроса удалось установить отягощенность генеалогического анамнеза — у родственников по материнской линии диагностирована гипертоническая болезнь. Среди детских инфекций была перенесена только ветряная оспа. Анализ истории развития ребенка показал отсутствие каких-либо аллергических заболеваний или риска их развития. Данные за туберкулез, гепатит, инфекции, передаваемые половым путем, и онкологические заболевания у пациентки отсутствовали.
Внимание привлек тот факт, что у больной отмечались большие прибавки в весе, начиная с раннего возраста. По поводу избытка массы тела в 2014 г. впервые прошла обследование и лечение в эндокринологическом отделении ОГАУЗ Детской больницы №1. По анамнестическим данным больная продолжала прибавлять в весе после выписки из стационара, в связи с чем и состояла на диспансерном учете у эндокринолога в поликлинике. При последующей госпитализации в ОГАУЗ «Детская городская больница № 2» в 2016 г. в ходе полного обследования был выставлен диагноз «Гипоталамический синдром». Несмотря на проведенный курс терапии, динамика заболевания носила отрицательный характер: за 2017 г. прибавка в весе составила 30 кг, а также появилось большое количество свежих стрий на теле и впервые зафиксировано повышение артериального давления до 150/90 мм рт.ст. Во время последней плановой госпитализации в эндокринологическое отделение ОГАУЗ Детская больница № 1 в 2018 г. был уточнен основной диагноз: «Гипоталамический синдром пубертатного периода средней степени тяжести на фоне морбидного ожирения (вес на момент выписки — 133 кг, ИМТ = 50,1, SDS ИМТ = +5.04). Осложнение: Стеатогепатоз, жировая инфильтрация поджелудочной железы, гиперинсулинизм, артериальная гипертензия». По поводу вышеописанных состояний больной была назначена строгая диета, а также прием следующих препаратов на постоянной основе: Фосфатидилхолин и Натрия глицирризинат (1 капсула, 3 раза в день), Фуросемид (40 мг каждые 3 дня, на 4 день — перерыв), Аспарагинат Магния и Калия (1 таблетка, 3 раза в день), Тиоктовая кислота (0,05 г, 3 раза в день), Метформин (850 мг, 1 раз в день, в вечернее время). Несмотря на данные клинической картины (морбидное ожирение эндокринного генеза) и высокий уровень инсулина (19,9 мкЕд/мл), результаты стандартного теста толерантности к глюкозе у больной были в пределах нормы (глюкоза до нагрузки — 4,6 ммоль/л; через 2 ч — 6,0 ммоль/л).
В эпидемиологическом анамнезе обращал на себя внимание внутрисемейный контакт по коронавирусной инфекции с матерью от 22.10.21. Пациентка училась в колледже, обучение проходило в дистанционном формате с начала 2020 г. За 14 дней до госпитализации (03.11.21) не выезжала за пределы Томской области.
В конце октября 2021 г. на территории Томска продолжал доминировать «сибирский» штамм COVID-19 (B.1.1.397+), что позволяет предположить его в качестве этиологического фактора.
Из анамнеза заболевания известно, что пациентка заболела остро 27.10, когда впервые поднялась температура тела до 39–39,5°C, появились кашель и вялость. За медицинской помощью не обращалась, самостоятельно начала прием Азитромицина (per os, по 500 мг 1 раз в день) и Умифеновира (дозировку назвать затрудняется) на фоне сохранявшейся температурной реакции. Начало второго дня болезни (28.10) сопровождалось фебрильной лихорадкой; сохранялись проявления интоксикационного синдрома в виде слабости и сонливости. С 29.10 (3 день болезни) впервые появилась одышка, больная обратила внимание на снижение аппетита и появление жидкого стул до 4 раз в сутки. Продолжала прием Азитромицина, за медицинской помощью не обращалась. Самостоятельно использовала per os Ибупрофен, Парацетамол и Дротаверин со слабым положительным эффектом в виде снижения температуры до 37°C. Жалобы больной со стороны дыхательных путей (одышка и кашель) и желудочно-кишечного тракта сохранялись в прежнем объеме на протяжении последующих 3 дней (с 30.10 по 02.11). Азитромицин и Умифеновир прекратила принимать 2.11 (длительность курса — 7 дней), так как не почувствовала ожидаемого клинического эффекта от препаратов. Динамика жалоб на 7 день болезни (03.11) оставалась неизменной. При измерении сатурации был получен низкий уровень кислорода (71%), в связи с чем больная самостоятельно выполнила спиральную компьютерную томографию органов грудной клетки, где диагностировано: двустороннее интерстициальное полисегментарное поражение легких с признаками консолидации, объем поражения более 76%; признаки легочной гипертензии 1–2 ст. В этот же день вызвала скорую медицинскую помощь и была доставлена в ОГАУЗ Детскую больницу № 1, где осмотрена дежурным врачом и перенаправлена для госпитализации в отделение реанимации и интенсивной терапии ОГАУЗ «Детская инфекционная больница им. Г.Е. Сибирцева».
На момент поступления больная предъявляла жалобы на слабость, повышение температуры тела до 39,0°C, одышку, усиливающуюся в положении лежа, жидкий стул до четырех раз за последние сутки.
При поступлении состояние пациентки расценено как тяжелое за счет проявлений катарального синдрома, двухсторонней пневмонии с дыхательной недостаточности II степени и наличия преморбидного фона (ожирение 4 степени).
На момент госпитализации температура тела 37,1°C, что могло быть обусловлено самостоятельным приемом антипиретиков. Больная находилась в сознании, была доступна для контакта. Положение вынужденное — ортопноэ, вызвано тяжелым поражением легких и избытком веса. Со стороны нервной системы отсутствовали очаговые симптомы и менингеальные знаки. Кожные покровы были умеренной влажности, acne vulgaris в большом количестве, обращал на себя внимание периорбитальный и периоральный цианоз, отмечались пигментные изменения по типу acanthosis nigritas в естественных складках кожи. В области груди, живота и плеч большое количество как светлых, так и розовых (лиловых) стрий. Ногтевые ложа с легким цианотичным оттенком, симптом «белого пятна» отрицательный (2 с). Подкожно-жировой слой был развит избыточно с неравномерным распределением по телу: «жировой фартук» на передней брюшной стенке, климактерический горбик в области седьмого шейного позвонка и «галифе» в зоне бедер. Масса тела пациентки по прибытии в стационар составила 150 кг (ИМТ = 55,8 при росте в 164 см). Слизистые оболочки влажные, розовой окраски, без явления энантемы. Язык розовый, суховат, обложен белым налетом. В зеве визуализировались умеренная гиперемия и зернистость задней стенки глотки как проявления катарального синдрома на фоне вирусной инфекции. Периферические лимфоузлы были доступны пальпации, размеры в пределах нормы, их свойства не изменены. Со стороны дыхательной системы наблюдались симптомы, характерные для дыхатель ной недостаточности: экскурсия грудной клетки симметричная, с легким участием вспомогательной мускулатуры; частота дыхательных движений увеличена до 26 в минуту. Однако перкуторный звук сохранял легочный оттенок и свою симметричность над разными отделами легких. Аускультация у пациентки была несколько затруднена — дыхание отчетливо прослушивалось только на верхушках, в остальных отделах выслушивалось плохо; хрипы не определялись. Наиболее вероятно, что жировая ткань, ухудшавшая проведение звука, маскировала настоящую аускультативную картину и не позволяла определить характерные для возможной пневмонии признаки. Показатели сатурации укладывались во II степень дыхательной недостаточности — 81–83%. Со стороны сердечно-сосудистой системы определялась тахикардия до 108 ударов в минуту; ритмичность тонов сердца была сохранена. Несмотря на данные анамнеза жизни, у пациентки на момент поступления оставалось нормальное артериальное давление (АД = 123/74 мм рт.ст.).
После осмотра врачом приемного покоя при поступлении пациентка была переведена в отделение реанимации и интенсивной терапии ОГАУЗ Детская инфекционная больница им. Г.Е. Сибирцева.
Пациентке сразу же был выполнен ряд лабораторных исследований с целью уточнения тяжести ее состояния и определения дальнейшей врачебной тактики.
В общем анализе крови (ОАК) от 04.11 выявлены неспецифические воспалительные изменения (WBC — 5,75 × 109 /л, сдвиг лейкоцитарной формулы влево за счет нейтрофилов: палочкоядерные — 11%, сегментоядерные — 62%; LYM — 22%; СОЭ — 50 мм/ч), анемия средней степени тяжести (RBC — 3,31 × 1012/л, HB — 93 г/л), некоторое уменьшение количества тромбоцитов (137 × 109/л) и снижение гематокрита (28,7%). Остальные показатели были в пределах нормы.
В биохимическом анализе крови (БАК) от 04.11 определялся повышенный уровень СРБ (24 мг/л) — маркер бактериального воспалительного процесса. Больная сдавала кровь после приема пищи, поэтому зафиксирована постпрандиальная гипергликемия (глюкоза — 6,1 ммоль/л). Прочие показатели были в пределах нормальных значений (креатинин — 82 мкмоль/л, АЛТ — 34 ЕД, АСТ — 36 ЕД).
В анализе свертывающей системы крови от 04.11 выявлена наклонность к гипокоагуляции (АЧТВ — 42 с, ПТИ — 80%, протромбиновое время — 20 с, фибриноген — 2,2 г/л, D-димер — отрицательный).
ПЦР мазка из зева и носа на SARS-CoV-2 (от 04.11) — обнаружена РНК COVID-19.
Принимая во внимание результаты общего и биохимического анализов крови, нельзя было исключить бактериальную инфекцию. Больной была назначена антибактериальная терапия — Цефтриаксон (2,0 г 1 раз в день, внутривенно). Учитывая результаты объективного осмотра и воспалительную реакцию крови, возникла необходимость добавить к терапии Дексаметазон (по 8 мг 2 раза в день, внутривенно) с противовоспалительной целью. Несмотря на то что у пациентки отмечалась гипокоагуляция, требовалось назначение Эноксапарина (40 мг, 2 раза в день, подкожно) согласно методическим рекомендациям по лечению заболевания, вызванного новой коронавирусной инфекцией у детей (Версия 2 от 03.07.2020), с целью профилактики тромбозов на период ограниченной двигательной активности в условиях нахождения в ОРИТ. Исходя из жалоб, дополнительно был назначен муколитик Амброксол (по 30 мг 3 раз в день, per os).
В отделении реанимации и интенсивной терапии начата неинвазивная вентиляция легких (НВЛ) в гемипрон-позиции — высокопоточная оксигенация (ВПО) flow — 25 л/мин, FiO2 — 50%. Полная прон-позиция была невозможна для выполнения из-за наличия у пациентки выраженного ожирения, в связи с чем больная находилась в гемипрон-позиции. На фоне респираторной поддержки достигнута SpO2 92%.
За первый день госпитализации в ОРИТ (04.11, 8 день болезни) на фоне проводимого лечения отмечалась отрицательная динамика состояния пациентки за счет нарастания клинических симптомов дыхательной недостаточности: активного участия вспомогательной мускулатуры в акте дыхания с втяжением межреберных промежутков и яремной ямки, выраженного тахипноэ до 36 в минуту. Однако уровень оксигенации оставался стабильным: на НВЛ — SpO2 92%, а при дыхании атмосферным воздухом SpO2 снижалась до 80%.
В связи с низкой эффективностью ранее проводимой респираторной поддержки больная была переведена на масочную вентиляцию в режиме SPONT PC Pi 10 см, ПДКВ — 5 см, ДО — 0,45, МВЛ — 12 л/мин, flow — 25 л/мин, FiO2 — 50%. На этом фоне была достигнута сатурация 97%. Однако, несмотря на высокопоточную оксигенотерапию (при потоке 45 л/мин и фракции О2 50%), во время приема пищи происходило снижение сатурации до 92%. В соответствии с вышеописанной картиной и положительным результатом мазка из зева и носа на наличие SARS-CoV-2 пациентка была переведена для дальнейшего лечения в респираторный госпиталь ОГБУЗ «Медико-санитарная часть № 2» с диагнозом «Новая коронавирусная инфекция COVID-19 (ПЦР мазка от 04.11.21 г. положительная) тяжелой степени, негладкое течение». Осложнение: «Двусторонняя интерстициальная полисегментарная пневмония (объем поражения более 76%). ДН II степени. Легочная гипертензия 1–2 ст.». Сопутствующие диагнозы: «Ожирение (морбидное) 4 степени (ИМТ = 58,7). Анемия средней степени, неуточненной этиологии».
При поступлении в ОГБУЗ «Медико-санитарная часть № 2» девочка была осмотрена врачом-анестезиологом и педиатром. На фоне проводимого лечения в объективном статусе прослеживалась отрицательная динамика за счет нарастания симптомов дыхательной недостаточности: в положении лежа аускультативно определялось жесткое дыхание, крепитация в нижних отделах, больше справа; ослабление дыхания в нижних отдела легких; приглушение тонов сердца.
В соответствии с имеющейся клинической картиной больной была назначена следующая терапия: Парацетамол в качестве антипиретика (500 мг при повышении температуры тела выше 38°С, per os), Дексаметазон с противовоспалительной целью в более высокой дозировке (20 мг в сутки, 2 раза в день, парентерально) в сочетании с Омепразолом (20 мг, 2 раза в день, per os), продолжена антибактериальная терапия Цефтриаксоном в том же объеме (2,0 г, 2 раза в сутки, внутримышечно), в качестве меры профилактики тромбообразования был назначен Эноксапарин (0,4 мл, подкожно, 2 раза в сутки). Учитывая степень поражения легочной ткани, больная получала препарат экзогенного сурфактанта по 75 мг 2 раза в день через небулайзер на протяжении 3 дней. Для увеличения неспецифической резистентности назначен Витамин С (4,0 г, растворенные в 0,9% 250 мл NaCl, внутривенно капельно). По решению врачебной комиссии в качестве противовирусного препарата был назначен Ремдесивир (200 мг, растворенные в 0,9% 100 мл NaCl в первые сутки; начиная со вторых суток — по 100 мг + NaCl 0,9% 100 мл). Продолжена аппаратная НИВЛ через лицевую маску в режиме SPONT: Ps 10 см вод.ст., РЕЕР 8 см вод.ст., Vt 510–550 мл, FiO2 — 70%. На этом фоне индекс оксигенации 204 мм рт.ст., SpO2 97%, ЧДД 20 в минуту.
На 05.11 (2 день в ОРИТ, 9 день болезни) состояние расценивалось как тяжелое, стабильное. Было отмечено повышение артериального давления до 146/75 мм рт.ст., в связи с чем в перечень получаемых препаратов был добавлен Эналаприл (2,5 мг, 2 раза в сутки). В этот же день были выполнены биохимический анализ крови (увеличение СРБ до 60 мг/л), анализ на ферритин (250 мкг/л) и прокальцитониновый тест (< 0,5 нг/мл) — результаты исследований не позволяли исключить бактериальную инфекцию. Положительный результат исследования крови на антитела IgM и IgG к COVID-19 (от 05.11) подтвердил роль данного патогена в качестве этиологического фактора у конкретной пациентки.
Начиная с 06.11 (3 день в ОРИТ, 10 день болезни) пациентка переведена на ВПО (в режим HFlow, flow — 30 л/мин, FiO2 — 35%) с сатурацией 97–98% и индексом оксигенации 207 мм рт.ст., а к 8.11 (5 день в ОРИТ, 12 день болезни) скорость потока увлажненного кислорода была уменьшена до 3–5 л/мин при респираторном индексе 405 мм рт.ст. и сатурации 97%. За 5 дней пребывания в ОРИТ (по 08.11) состояние пациентки было стабилизировано, отмечена положительная динамика в виде уменьшения клиники дыхательной недостаточности (снижение показателей респираторной поддержки, увеличение индекса оксигенации). Для последующего лечения пациентка переведена из реанимационного в инфекционное отделение ОГБУЗ «Медико-санитарная часть № 2».
В ОАК от 08.11 отмечено повышение гемоглобина (123 г/л), общее количество лейкоцитов было несколько выше порогового уровня, но выраженность воспалительной реакции снизилась (WBC — 9,7 × 109 /л, сдвиг формулы вправо за счет нейтрофилов — палочкоядерные не определялись, сегментоядерные — 72%; LYM — 20%; СОЭ — 20 мм/ч).
Положительная динамика клинической картины на фоне терапии четко прослеживалась с 9.11 (6 день госпитализации, 13 день болезни) преимущественно за счет уменьшения выраженности симптомов дыхательной недостаточности (отсутствовали жалобы на одышку, вспомогательная мускулатура в акте дыхания не участвовала, ЧДД 22 в минуту, SpO2 97% на атмосферном кислороде; в респираторной поддержке более не нуждалась).
В БАК от 10.11 (7 день госпитализации, 14 день болезни) отмечалось уменьшение активности белка острой фазы (снижение ферритина до 108 мкг/л), что сочеталось с динамикой клинической картины заболевания.
В лабораторных анализах от 08.11 и 10.11 обращало на себя внимание повышение уровня глюкозы (11,9 и 16,1 ммоль/л соответственно), которое, вероятно, связано с назначением глюкокортикоидов. В связи с эти была проведена коррекция доз Дексаметазона (снижение до 12 мг/сутки) и назначен инсулин короткого действия Актропид в течении суток с трехкратным введением (1 доза — 6 ЕД, 2 и 3 дозы — по 4 ЕД).
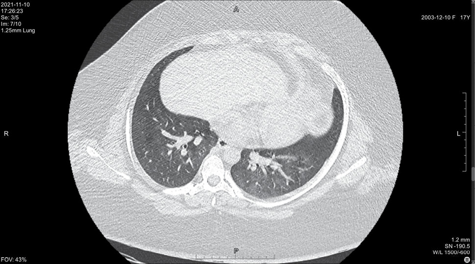
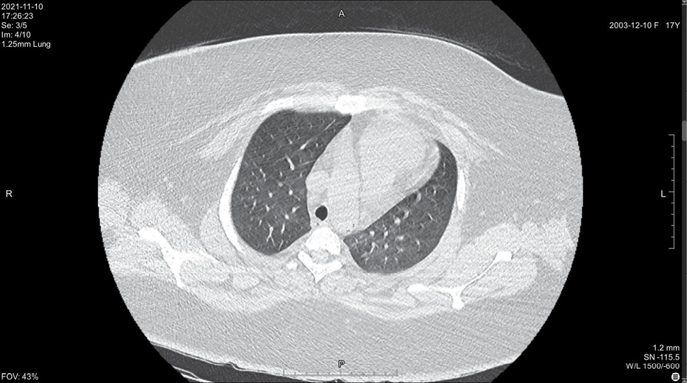
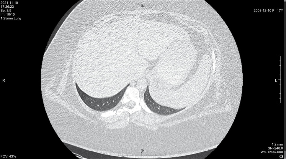
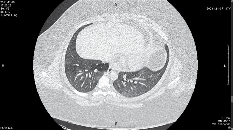
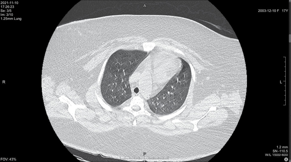
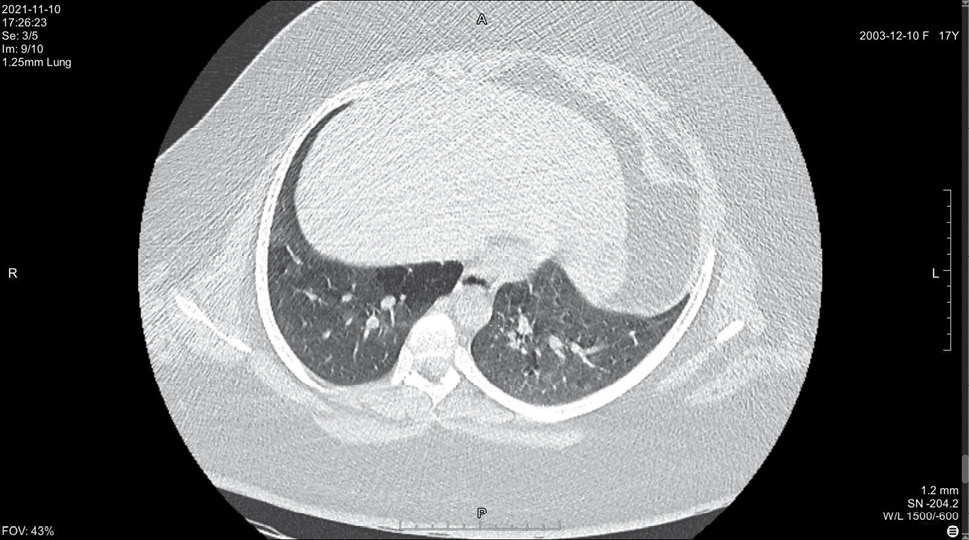
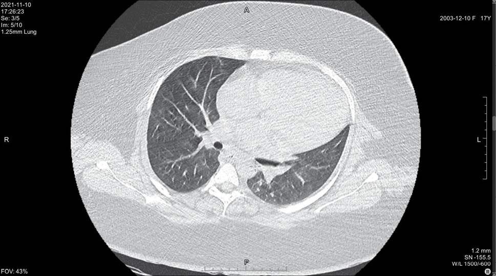
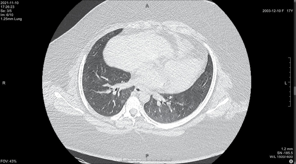
На 14 день болезни (10.11, 7 день госпитализации) была выполнена спиральная компьютерная томография грудной клетки, где выявлены признаки двусторонней интерстициальной полисегментарной пневмонии (рис. 1–8). Форма грудной клетки описана как обычная. Легочные поля расправлены. На томограммах бронхиальное дерево визуализировано до субсегментов: сами бронхи не деформированы, их просвет в пределах нормы, устья свободны, проходимость сохранена на всем протяжении. Во всех сегментах с обоих сторон определялись полиморфные, сливные участки уплотнения легочной ткани по типу матового стекла с участками консолидации. На этом фоне были видны просветы бронхов. Определялись фиброзные тяжи в проекции апикальной плевры обоих легких. Контуры диафрагмы четкие, синусы свободные, свободная жидкость в плевральной полости отсутствовала. Трахея обычной формы и размеров, карина острая. Сосудистые структуры верхнего средостения с четкими контурами и нормального диаметра, стенки сосудов без кальцинатов. Медиастинальные лимфоузлы и лимфоузлы корней обоих легких (без контрастного усиления) визуализированы единично, не увеличены. Сердце расположено обычно, размеры в пределах нормы. Выявлены умеренные дегенеративно-дистрофические изменения грудного отдела позвоночника. Мягкие ткани грудной клетки без особенностей. По заключению врача-рентгенолога, объем пораженной легочной паренхимы достигал 95%. Наиболее вероятно, что патологический процесс у пациентки имел вирусную природу.
Рисунок 1. Томограмма легких на уровне ThIII
Рисунок 2. Томограмма легких на уровне ThIV
Рисунок 3. Томограмма легких на уровне ThV
Рисунок 4. Томограмма легких на уровне ThVI
Рисунок 5. Томограмма легких на уровне ThVII
Рисунок 6. Томограмма легких на уровне ThVIII
Рисунок 7. Томограмма легких на уровне ThIX
Рисунок 8. Томограмма легких на уровне ThX
11.11 (16 день болезни, 8 день госпитализации) при определении РНК COVID-19 в мазках со слизистых оболочек методом ПЦР получен отрицательный результат.
В связи со стабилизацией клинической картины и положительной динамикой девушка была переведена в детское инфекционное отделение для дальнейшего лечения и наблюдения.
На момент перевода больная жалоб не предъявляла. При физикальном обследовании определялось жестковатое дыхание, хрипы отсутствовали, вспомогательная дыхательная мускулатура в дыхании не участвовала. Сатурация при дыхании атмосферным воздухом достигала 99%. Артериальное давление сохранялось в оптимальных пределах (125/75 мм рт.ст., на фоне отмены Эналаприла).
Со стороны лабораторных показателей крови (от 12.11) наблюдалось уменьшение интенсивности воспалительной реакции (уровень СРБ снизился до 12 мг/л), но по прежнему сохранялся нейтрофильный лейкоцитоз (WBC 15,31 × 109; палочкоядерные — 6%, сегментоядерные — 74%). Последний можно трактовать как стероидный лейкоцитоз на фоне приема Дексаметазона. Контроль гликемии показал удовлетворительные результаты (от 12.11 — 6,1 ммоль/л), инсулин в стационаре более не получала. Однако, учитывая весь анамнез больной, нельзя с полной уверенность исключить нарушения толерантности к глюкозе, поэтому необходимо провести дополнительное обследование в амбулаторных и госпитальных условиях. Параметры других лабораторных анализов и инструментальных обследований были в пределах нормы.
Больная была выписана из стационара 15.11 (20 день болезни, 12 день госпитализации) с клиническим выздоровлением и рекомендацией дальнейшего наблюдения у участкового педиатра.
Заключение
Описание данного клинического случая наглядно демонстрирует исключение из существующей тенденции к более легкому течению новой коронавирусной инфекции у пациентов педиатрического профиля. Однако причиной развития такой тяжелой формы, безусловно, является преморбидный фон больной, а именно выраженное ожирение в сочетании с артериальной гипертензией. Наличие в анамнезе последних диктует необходимость верно оценивать и прогнозировать тяжесть новой коронавирусной инфекции даже у пациентов с изначально гладким течением заболевания. Стоит отметить, что назначение некоторых препаратов «off-label» (в данной клиническом случае это был Ремдесивир, назначенный по решению врачебной комиссии) может вносить свой вклад в исход болезни у конкретных больных. В связи с вышеизложенным, требуется достаточно полно учитывать все особенности анамнеза жизни и клинической картины у пациентов любого возраста.
Об авторах
Кирилл Владимирович Самойлов
ФГБОУ ВО Сибирский государственный медицинский университет Минздрава России
Автор, ответственный за переписку.
Email: samoilov.krl@gmail.com
лаборант-исследователь кафедры инфекционных болезней и эпидемиологии
Россия, г. ТомскЮлия Александровна Ермолаева
ФГБОУ ВО Сибирский государственный медицинский университет Минздрава России
Email: euassmu@yandex.ru
к.м.н., доцент кафедры педиатрии с курсом эндокринологии
Россия, г. ТомскДарья Алексеевна Пономарева
ФГБОУ ВО Сибирский государственный медицинский университет Минздрава России
Email: samoilov.krl@gmail.com
к.м.н., доцент кафедры педиатрии с курсом эндокринологии
Россия, г. ТомскАнастасия Александровна Худякова
ФГБОУ ВО Сибирский государственный медицинский университет Минздрава России
Email: samoilov.krl@gmail.com
студентка VI курса педиатрического факультета
Россия, г. ТомскАнжелика Владимировна Проценко
ФГБОУ ВО Новосибирский государственный медицинский университет Минздрава России
Email: samoilov.krl@gmail.com
ординатор по специальности «Педиатрия»
Россия, г. НовосибирскСписок литературы
- ВОЗ. Заболевание COVID-19 у детей и подростков. Научная справка. 2021. 12 c. [WHO. COVID-19 disease in children and adolescents: Scientific brief. 2021. 12 p. (In Russ.)] URL: https://apps.who.int/iris/bitstream/handle/10665/345575/WHO-2019-nCoV-Sci-Brief-Children-and-adolescents-2021.1-rus.pdf
- Демидова Т.Ю., Волкова Е.И., Грицкевич Е.Ю. Особенности течения и последствия COVID-19 у пациентов с избыточным весом и ожирением. Уроки текущей пандемии // Ожирение и метаболизм. 2020. Т. 17, № 4. С. 375–384. [Demidova T.Yu., Volkova E.I., Gritskevich E.Yu. Peculiarities of the COVID-19 course and consequences in overweight and obese patients. Lessons from the current pandemic. Ozhirenie i metabolizm = Obesity and Metabolism, 2020. vol. 17, no. 4, pp. 375–384. (In Russ.)] doi: 10.14341/omet12663
- Канорский С.Г. COVID-19 и ожирение: что известно об особенностях патогенеза и лечения? // Южно-Российский журнал терапевтической практики. 2021. Т. 2, № 1. С. 17–23. [Kanorskii S.G. COVID-19 and obesity: what is known about the features of pathogenesis and treatment? Yuzhno-Rossiiskii zhurnal terapevticheskoi praktiki = South Russian Journal of Therapeutic Practice, 2021, vol. 2, no. 1, pp. 17–23. (In Russ.)] doi: 10.21886/2712-8156-2021-2-1-17-24
- Лобанова О.А., Трусова Д.С., Руденко Е.Е., Проценко Д.Д., Коган Е.А. Патоморфология новой коронавирусной инфекции COVID-19 // Сибирский журнал клинической и экспериментальной медицины. 2020. Т. 35, № 3. С. 47–52. [Lobanova A.O., Trusova D.S., Rudenko E.E., Protsenko D.D., Kogan E.A. Pathomorphology of a new coronavirus infection COVID-19. Sibirskii zhurnal klinicheskoi i eksperimental’noi meditsiny = The Siberian Journal of Clinical and Experimental Medicine, 2020, vol. 35, no. 3, pp. 47–52. (In Russ.)] doi: 10.29001/2073-8552-2020-35-3-47-52
- Особенности клинических проявлении и лечение заболевания, вызванного новой коронавирусной инфекцией (COVID-19) у детей: методические рекомендации. Версия 2 (03.07.2020). Министерство здравоохранения Российской Федерации. 73 с. [Features of clinical manifestations and treatment of the disease caused by a new coronavirus infection (COVID-19) in children: guidelines. Version 2 (07.03.2020). Ministry of Health of the Russian Federation. 73 p. (In Russ.)]. URL: https://static-0.minzdrav.gov.ru/system/attachments/attaches/000/050/914/original/03062020_%D0%B4%D0%B5%D1%82%D0%B8_COVID-19_v2.pdf
- Соколовская В.В., Литвинова А.А., Крикова А.В., Козлов Р.С. Влияние морбидного ожирения на исход COVID-19 у ребенка // Детские инфекции. 2022. Т. 21, № 3. С. 47–51. [Sokolovskaya V.V., Litvinova A.A., Krikova A.V., Kozlov R.S. The effect of morbid obesity on the outcome of COVID-19 in a child. Detskie infektsii = Children Infections, 2022, vol. 21, no. 3, pp. 47–51. (In Russ.)] doi: 10.22627/2072-8107-2022-21-3-47-51
- Gibson P.G., Qin L., Puah S.H. COVID-19 acute respiratory distress syndrome (ARDS): clinical features and differences from typical pre-COVID-19 ARDS. Med. J. Aust., 2020, vol. 213, no. 2, pp. 54–56. doi: 10.5694/mja2.50674
- Oliveira da Silva Kist M.L., Hanzen Andrades G.R., Drumond Costa C.A., Crestani F., Ramos Garcia P.C. Weight excess association with severity in children and adolescents with COVID-19: a systematic review. Clin. Nutr. ESPEN, 2022, no. 49, pp. 114–120. doi: 10.1016/j.clnesp.2022.04.005
- Oualha M., Bendavid M., Berteloot L., Corsia A., Lesage F., Vedrenne M., Salvador E., Grimaud M., Chareyre J., de Marcellus C., Dupic L., de Saint Blanquat L., Heilbronner C., Drummond D., Castelle M., Berthaud R., Angoulvant F., Toubiana J., Pinhas Y., Frange P., Chéron G., Fourgeaud J., Moulin F., Renolleau S. Severe and fatal forms of COVID-19 in children. Arch. Pediatr., 2020, vol. 27, no. 5, pp. 235–238. doi: 10.1016/j.arcped.2020.05.010
Дополнительные файлы












