A clinical case of SARS-CoV-2 infection complicated by nephrogenic pulmonary edema and COVID-associated pneumonitis, alveolitis
- Authors: Vorobeva O.V.1, Gimaldinova N.E.1, Romanova L.P.1
-
Affiliations:
- Chuvash State University after I.N. Ulyanova
- Issue: Vol 13, No 1 (2023)
- Pages: 183-190
- Section: FOR THE PRACTICAL PHYSICIANS
- Submitted: 21.06.2022
- Accepted: 11.02.2023
- Published: 01.04.2023
- URL: https://iimmun.ru/iimm/article/view/1985
- DOI: https://doi.org/10.15789/2220-7619-ACC-1985
- ID: 1985
Cite item
Full Text
Abstract
COVID-19 is a highly transmissible disease with severe course especially in patients with nephrogenic hypertensive disease and chronic kidney disease due to a higher incidence of all-type infections than in the general population. The aim of the study is to describe a clinical case of SARS-CoV-2 infection complicated by nephrogenic pulmonary edema and COVID-associated pneumonitis, alveolitis. Description of the case. Patient K.S., born in 1975, was hospitalized 24 hours after symptom onset at emergency hospital due to complaints of increased blood pressure up to 180–200/110–120 mm Hg, temperature up to 38.7°C, dry cough, feeling of heaviness in the chest, change in urine color. PCR smear for SARS-CoV-2 was positive. Computed tomography revealed a pattern of bilateral COVID-associated pneumonitis, alveolitis, with 75% involvement. The electrocardiogram revealed signs of left ventricular myocardial hypertrophy. Ultrasound examination showed numerous cysts in the kidneys. Urinalysis at admission: leukocytes — 499, erythrocytes — 386. Glomerular filtration rate (CKD-EPI: 29 ml/min/1.73 m2) and corresponds to stage IV of chronic kidney disease. Coagulogram: fibrinogen: 32.3 (1.6–4.0) g/l, D-dimer: 663 (0–250). Despite the treatment, the patient’s condition worsened, the phenomena of cardiopulmonary and renal insufficiency increased, which led to a fatal outcome. During a virological study of sectional material: SARS-CoV-2 coronavirus RNA was found in the lung and kidneys. Signs of bilateral COVID-associated pneumonitis, alveolitis with diffuse cellular infiltrates in combination with changes in the alveolar apparatus, signs of pulmonary edema were revealed. Heart-related signs — swelling of the interstitium, fragmented muscle fibers, some of them hypertrophied, a wave-like deformation of cardiomyocytes, blurring of the transverse striation. Arteries with thickened sclerosed walls. In the kidneys — diffuse damage to the proximal tubules of the nephron with areas of cortical and proximal necronephrosis, areas of fibrinoid swelling. Conclusion. The cause of death of a 45-year-old patient was a severe course of bilateral COVID-associated pneumonitis, alveolitis, which contributed to the development of renal medullary hypoxia and type 1 cardiorenal syndrome, which led to early nephrogenic pulmonary edema.
Keywords
Full Text
Введение
В настоящее время продолжается интенсивное изучение клинических и эпидемиологических особенностей коронавирусной инфекции, разработка новых средств его профилактики и лечения. Наиболее распространенным клиническим проявлением нового варианта коронавирусной инфекции является вирусный COVID-ассоциированный пневмонит, альвеолит, у 3– 4% пациентов зарегистрировано развитие острого респираторного дистресс-синдрома [4, 8]. У части больных развивается гиперкоагуляционный синдром с тромбозами и тромбоэмболиями, поражаются центральная нервная система, миокард, почки, печень, желудочно-кишечный тракт, эндокринная и иммунная системы [2, 3]. Однако основной и быстро достижимой мишенью SARS-CoV-2 являются альвеолярные клетки II типа легких, что определяет развитие диффузного альвеолярного повреждения [9, 10, 12].
Между почками и легкими имеется тесная функциональная взаимосвязь, которая делает их наиболее вовлеченными в синдром полиорганной недостаточности. Сочетание острого повреждения легких и почечной недостаточности приводит к смертности в 80% случаев. В результате острого повреждения почек (ОПП) происходит увеличение циркулирующих цитокинов, хемокинов, активированных врожденных иммунных клеток и их диффузия в другие органы, в том числе — в легкие. Эти факторы инициируют патологический каскад, который в конечном итоге приводит к острому повреждению легких в виде нефрогенного отека и острого респираторного дистресс-синдрома (ОРДС).
Наличие заболевания почек является не только фактором риска инфицирования SARS-CoV-2 вследствие высокой экспрессии ACE2 в различных отделах нефрона, но фактором осложненного течения данного вирусного заболевания. Одним из таких распространенных заболеваний почек является поликистоз. Он составляет около 12–15% среди всех урологических заболеваний. Кисты образуются из-за повышенной пролиферации и дифференцировки эпителия канальцев нефрона. Кисты в почке, как правило, возникают фокально, и из-за увеличения объема кист происходит сдавление соседних здоровых нефронов; постепенно почка теряет фильтрующую функцию. Помимо основного заболевания у больных с кистозной болезнью появляются нарушения со стороны сердечно-сосудистой системы в виде нефрогенной гипертензии [1, 5, 14].
Поражение почек при COVID-19 может рассматриваться как следствие действия комплекса механизмов, индуцированных вирусом SARS-CoV-2. Выделяют несколько патофизиологических механизмов. Первый включает цитопатический эффект SARS-CoV-2 на почечный эпителий с развитием острого тубулонекроза и иммуноопосредованного повреждения почечного интерстиция [7, 11]. Второй представляет собой синдром цитокинового шторма, возникающий как следствие гиперактивации иммунной системы с развитием острого почечного и мультиорганного воспалительного повреждения, чему сопутствуют гипоксия, гиперактивация каскада коагуляции и нарушения микроциркуляции. В связи с актуальностью и глобальностью проблемы, цель исследования — описание клинического случая осложненного течения инфицирования SARS-CoV-2 у пациента с поликистозом почек.
Описание случая
Больная К.С., 1975 г. рожд., доставлена бригадой скорой медицинской помощи в диагностическое отделение Больницы скорой медицинской помощи по экстренным показаниям. Жалобы при поступлении на повышение АД до 180–200/110–120 мм рт.ст., которое ощущалось в виде интенсивной головной боли, подъем температуры до 38,7°С, сухой кашель, преимущественно в ночные часы, чувство тяжести в грудной клетке, боли в поясничной области, изменение цвета мочи. Повышение АД стала отмечать в последние две недели до поступления в стационар, несмотря на постоянный прием физиноприла по 30 мг в сутки в 2 приема. До ухудшения состояния «нормальным» для себя считала АД в пределах 130/80–90 мм рт.ст. Была проведена компьютерная томография (КТ) органов грудной клетки, выявлены двусторонний диффузный COVID-ассоциированный пневмонит, альвеолит, процент поражения — 75; двусторонний гидроторакс. ПЦР мазка из носоглотки на коронавирусную инфекцию положительная.
Из данных анамнеза известно, что находилась на диспансерном наблюдении у терапевта по месту жительства по поводу поликистоза почек около 15 лет.
При объективном осмотре: в легких — дыхание ослабленное везикулярное с жестким оттенком, укорочение перкуторного звука, мелкопузырчатые хрипы. Частота дыхательных движений 32–36 в минуту. Со стороны сердечно-сосудистой системы. Ослаблен I тон сердца, выслушивался систолический шум на верхушке, частота сердечных сокращений 102 уд/мин, 1–2 экстрасистолы в минуту. Артериальное давление 160/100 мм рт. ст. Со стороны пищеварительной системы. Язык обложен белым налетом. Живот мягкий, при пальпации безболезненный. Печень на 3 см ниже края реберной дуги, безболезненная, край печени несколько уплотненный. Симптом поколачивания по области почек — определяется болезненность. Выявляются отеки голеней и стоп. Сатурация 40%.
Проведенные обследования при поступлении: в общем анализе крови отмечаются признаки лейкоцитоза и повышенное СОЭ (табл. 1, 2).
Таблица 1. Общий анализ крови при поступлении в стационар
Table 1. General blood analysis on admission to the hospital
Показатели Parameter | Лейкоциты Leukocytes | Эритроциты Erythrocytes | Гемоглобин Hemoglobin | Тромбоциты Platelets | Скорость оседания эритроцитов Sedimentation rate |
У пациентки In patient | 13,08 × 109/л | 4,03 × 109/л | 126 г/л | 346 × 109/л | 40 мм/ч |
Референсные Referenced | 3,80–8,76 | 4,54–6,00 | 120–147 | 173–360 | 2–8 |
Таблица 2. Лейкоцитарная формула при поступлении в стационар
Table 2. Leukocyte formula on admission to the hospital
Показатели Parameter | Нейтрофилы Neutrophils | Лимфоциты Lymphocytes | Моноциты Monocytes | Эозинофилы Eosinophils |
У пациентки In patient | 9,81 × 109/л | 11,70 × 109/л | 1,44 × 109/л | 0,13 × 109/л |
Референсные Referenced | 1,50–5,00 | 1,05–2,87 | 0,22–0,63 | 0,03–0,27 |
Биохимический анализ крови: мочевина — 12,1 ммоль/л, креатинин — 179,0 мкмоль/л, С-реактивный белок — 52 мг/л, кальций общий — 1,93 ммоль/л, альбумин — 25,5 г/л, ферритин — 376,9 нг/мл, лактатдегидрогеназа — 435,0 Ед/л.
Коагулограмма: протромбиновый индекс: 94,7%, фибриноген: 35,3 г/л, МНО: 1,03, АЧТВ: 23,6 с, протромбиновое время: 11,1 с, D-димер: 763.
Общий анализ мочи: лейкоциты: 499, эритроциты: 386, бактерии: ++++. Скорость клубочковой фильтрации (CKD-EPI): 29 мл/мин/1,73 м2, снижена и соответствует IV стадии ХБП.
Динамика изменений лабораторных показателей общего анализа крови и лейкоцитарной формулы на 2-е сутки представлена в табл. 3 и 4.
Таблица 3. Общий анализ крови на 2-е сутки пребывания в стационаре
Table 3. General blood analysis on the 2nd day of hospital stay
Показатели Parameter | Лейкоциты Leukocytes | Эритроциты Erythrocytes | Гемоглобин Hemoglobin | Тромбоциты Platelets | Скорость оседания эритроцитов Sedimentation rate |
У пациентки In patient | 11,30 × 109/л | 3,85 × 109/л | 126 г/л | 215 × 109/л | 37 мм/ч |
Референсные Referenced | 3,80–8,76 | 4,54–6,00 | 120–147 | 173–360 | 2–8 |
Таблица 4. Лейкоцитарная формула на 2-е сутки пребывания в стационаре
Table 4. Leukocyte formula on the 2nd day of hospital stay
Показатели Parameter | Нейтрофилы Neutrophils | Лимфоциты Lymphocytes | Моноциты Monocytes | Эозинофилы Eosinophils |
У пациентки In patient | 9,83 × 109/л | 0,79 × 109/л | 0,57 × 109/л | 0,11 × 109/л |
Референсные Referenced | 1,50–5,00 | 11,05–2,87 | 0,22–0,63 | 0,03–0,27 |
Биохимический анализ крови: мочевина: 15,1 ммоль/л, креатинфосфокиназа — МВ: 40,0 Ед/л, креатинин: 187,0 мкмоль/л, С-реактивный белок: 64 мг/л, ферритин: 469,8 нг/мл, лактатдегидрогеназа: 552,0 Ед/л.
Коагулограмма: протромбиновый индекс: 89,4%, фибриноген: 32,3 г/л, МНО: 1,15, АЧТВ: 20,3 с, протромбиновое время: 12,3 с, D-димер: 663.
Общий анализ мочи: рН — 5.0, лейкоциты — 386, эритроциты — 289. Скорость клубочковой фильтрации (CKD-EPI): 28 мл/мин/м2.
Ультразвуковое исследование (УЗИ) органов брюшной полости и почек: печень размерами 30 × 17 × 13 × 10 × 9 см. В правой доле отмечаются множественные бугорки (кистозные полости) в диаметре от 0,5 до 4 см, выявляется незначительный перипортальный фиброз. Размеры почек: правая 14 × 10 × 8 см, левая 18 × 10 × 8 см. В почечной паренхиме располагаются округлые образования (кисты), размерами до 2 см. Толщина слоя паренхимы составляет 30 мм.
ЭхоКГ: аорта 35 мм, левое предсердие 43 мм, толщина межжелудочковой перегородки 10 мм, толщина задней стенки 10 мм, конечно-систолический размер 30 мм, конечно-диастолический размер 50 мм, фракция выброса 70%, индекс массы миокарда левого желудочка 127,7 г/м2.
Электрокардиография: а) отклонение электрической оси влево (от 00 до –900); б) RI > 10 мм; в) S (Q) avr > 14 мм; г) Tavr > 0 при S (Q) ≥ Ravr; д) Rv5, v6 > 16 мм; е) Ravl > 7 мм; ж) Tv5, v6 ≤ 1 мм; при Rv5, v6 > 10 мм и Tv1-v4 > 0.
Проводилось комплексное лечение (согласно клиническим рекомендациям): противовирусные, антагонисты рецепторов IL-6, антикоагулянты, ГКС. Состояние больной прогрессивно ухудшалось, нарастали явления сердечно-легочной и почечной недостаточности. Реанимационные мероприятия проводились в течение 30 мин, без эффекта. Кожные покровы стали цианотичными, самостоятельное дыхание, сознание отсутствовало, арефлексия, атония, пульс на магистральных сосудах не пальпировался, по данным ЭКГ — асистолия. Констатирована смерть.
Выставлен заключительный клинический диагноз. Основное заболевание: Коронавирусная инфекция COVID-19, вирус идентифицирован (U07.1). Конкурирующее заболевание: Поликистоз почек, взрослый тип. ХБП 4 стадия. Сопутствующее заболевание: Гипертоническая болезнь II cт, АГ III ст. ГЛЖ. Риск III. Осложнения основного заболевания: Двусторонний диффузный вирусный COVID-ассоциированный пневмонит, альвеолит. КТ-3, процент поражения 75%. ОРДС тяжелой степени, ОССН.
В связи с констатацией смерти направлена на патологоанатомическое исследование.
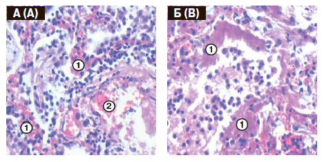
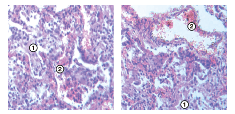
При секционном исследовании верхних дыхательных путей: слизистые оболочки трахеи, бронхов отечные, розовые, с мелкими точечными кровоизлияниями. В плевральных полостях по 200 мл розовой прозрачной жидкости. Легкие тяжелые, отмечается их резкое полнокровие и диффузное уплотнение. При гистологическом исследовании преобладают участки дистелектаза в виде обширных полей, альвеолы неравномерно расправлены, оголенные базальные мембраны, в просвете альвеол серозно-фибринозный экссудат, слущенные альвеолоциты и макрофаги (рис. 1, вклейка, с. II), на местах оголенной базальной мембраны наложения гомогенных розовых масс в виде «полулуний» по типу гиалиновых мембран (рис. 2А, вклейка, с. II). Выявлялось неравномерное скопление эритроцитов в просветах альвеол: от небольшого числа до полного их заполнения (рис. 2Б, вклейка, с. II). Отмечался интраальвеолярный отек; десквамация альвеолярного (в виде отдельных клеток и их пластов) и бронхиолярного эпителия; появление крупных, неправильной формы альвеоцитов II типа, с увеличенными ядрами с грубозернистым хроматином и отчетливыми ядрышками.
Рисунок 1. Микроскопическая картина вирусной пневмонии: просвет альвеол заполнен серозно-фибринозным экссудатом, слущенными альвеолоцитами (1), часть альвеол заполнена эритроцитами (2). Межальвеолярные перегородки утолщены за счет отека и кровоизлияний. Окраска гематоксилином и эозином, увеличение ×900
Рисунок 2. Микроскопическая картина вирусной пневмонии. А. Mежальвеолярные перегородки утолщены за счет кровоизлияний (1), просветы альвеол заполнены эритроцитами (2). Б. На стенках альвеол наложения гомогенных розовых масс в виде «полулуний» по типу гиалиновых мембран (1). Окраска гематоксилином и эозином, увеличение ×900
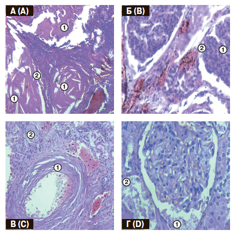
В полости перикарда небольшое количество прозрачной желтоватой жидкости, листки перикарда влажные, гладкие, под эпикардом умеренное отложение жировой клетчатки. Сердце размерами 12 × 10 × 7 см, массой 270 г. Венечные артерии магистрального типа, в просвете их жидкая кровь, стенки режутся с хрустом, на интиме липосклеротические наложения. В полостях сердца красные посмертные свертки и жидкая кровь, полости не расширены, эндокард влажный, гладкий. На клапанах сердца имеются атеросклеротические наложения, которые придают местами ригидность, подвижность клапанов сохранена, смыкаются плотно, сухожильные нити тонкие, гладкие. Миокард — дряблый, на разрезах красно-коричневый, с серо-белесоватыми периваскулярными прожилками. Толщина миокарда правого желудочка сердца — 0,3 см, левого — 1,6 см. При гистологическом исследовании: умеренный отек интерстиция, мышечные волокна неравномерно фрагментированы, дистрофические изменения кардиомиоцитов, вакуолизация цитоплазмы, волнообразная деформация кардиомиоцитов, смазанность поперечной исчерченности, кардиомиоциты незначительно гипертрофированы, отмечается мелкосетчатое разрастание соединительной ткани. Артерии с утолщенными склерозированными стенками (рис. 3, вклейка, с. II).
Рисунок 3. Микроскопическая картина изменений в сердце. А. Гипертрофированные кардиомиоциты (1), кардиосклероз, утолщение и ангиосклероз (2), признаки интерстициального отека (3). Б. Гипертрофия и фрагментация кардиомиоцитов (1), участки кардиосклероза (2), признаки интерстициального отека (3). Окраска гематоксилином и эозином, увеличение ×900
Паранефральная клетчатка выражена хорошо, почки бобовидной формы, размерами правая 14 × 10 × 8 см (масса — 280 г), левая 18 × 10 × 8 см (масса — 370 г). Фиброзная капсула снимается тяжело, поверхность почек бугристая. На разрезах анатомическое строение стерто, вещество почек представлено в виде множественных кистозных полостей в диаметре до 2 см, с мутноватым сероватого цвета содержимым, местами с сохранением почечной паренхимы. Слизистая чашек и лоханок серо-белесоватая с полнокровными сосудами, единичными мелкоточечными кровоизлияниями под слизистой. При гистологическом исследовании: капсула почек разрыхлено-набухшая, строма отечная, капилляры клубочков, стромы коры и мозгового слоя неравномерно полнокровные. Канальцы местами расширены, выполнены гомогенной розовой массой, эпителий в них с дистрофически-атрофическими, некротическими изменениями. В паренхиме почки имеются радиально расположенные расширенные собирательные канальцы, которые образуют почечные кисты диаметром до 2 см, между которыми выявляются сохраненные клубочки и канальцы, множественные мелкие кисты выстланы низким кубическим эпителием, содержащие жидкость (рис. 4А, III обложка). Определяется интерстициальный фиброз паренхимы почек, клубочки и канальцы очагово атрофированы, склерозированы (рис. 4Б, III обложка).
Стенки артерий циркулярно склеротически утолщены (рис. 4В, III обложка), стенки артериол циркулярно гиалинизированы. Выявляются участки фибриноидного и, местами, мукоидного набухания с феноменом метахромазии в стенках сосудов. В просвете капсулы клубочка определяются белковые массы (рис. 4Г, III обложка). Определяется диффузное повреждение проксимальных канальцев нефрона с признаками вакуольной дегенерации эпителиоцитов, участками кортикального и проксимального некронефроза.
Рисунок 4. Микроскопическая картина изменений в почках. А. В паренхиме почки — крупные кисты (1), выстланные низким кубическим эпителием (2). Б. Субатрофические изменения сохраненных клубочков (1), белковые массы в просвете капсулы клубочка (2). В. Склероз и утолщение стенки артериолы (1), склероз клубочка (2). Г. Белковые массы в просвете капсулы (1), эпителий канальца с кариолизисом (2). Окраска гематоксилином и эозином, А, Б, Г — увеличение ×900, В – увеличение ×400
Мягкие ткани живота отечные, умеренно полнокровные. В брюшной полости следы прозрачной желтоватой жидкости. Печень размерами 30 × 17 × 13 × 10 × 9 см, нижний край закруглен, на 3 см ниже уровня края реберной дуги. В правой доле отмечаются множественные бугорки, на разрезах представляют из себя кистозные полости в диаметре от 0,5 до 4 см. Вещество печени на разрезах желто-красного цвета, полнокровное. При гистологическом исследовании: зернистая и умеренно выраженная диффузно-очаговая жировая дистрофия гепатоцитов, портальные тракты не расширены, с умеренной круглоклеточной инфильтрацией. Имеются множественные билиарные кисты, местами окруженные зоной склероза (рис. 5, III обложка).
Рисунок 5. Микроскопическая картина изменений в печени. А. Дискомплектация печеночных балок (1) с наличием расширенных полостей по типу кист, местами окруженных зоной склероза (2). Б. Стенка кисты, выстланная однослойным эпителием (1), нарушение балочного строения (2), лимфомакрофагальная инфильтрация (3). Окраска гематоксилином и эозином, увеличение ×400
Результат вирусологического исследования биоматериала: обнаружена РНК SARS-CoV-2. Результат вирусологического исследования секционного материала в лаборатории вирусологических исследований и диагностики особо опасных инфекций: РНК коронавируса SARS-CoV-2 обнаружена в легком, почках.
Выставлен патологоанатомический диагноз. Основное заболевание: Новая коронавирусная инфекция COVID-19 (результат вирусологического исследования биоматериала: РНК SARS-CoV-2 обнаружена. Результат вирусологического исследования секционного материала («Лаборатория вирусологических исследований и диагностики особо опасных инфекций»): РНК коронавируса SARS-CoV-2 обнаружена в ткани легкого, почки. Фоновое заболевание: Двусторонний поликистоз почек, взрослый тип. Нефрогенная гипертензивная болезнь: концентрическая гипертрофия миокарда (масса сердца 270 г, толщина стенки левого желудочка — 1,6 см, правого — 0,3 см), артериолосклероз, гломерулосклероз. Осложнения основного заболевания: Отек легких. Двусторонний диффузный вирусный COVID-ассоциированный пневмонит, альвеолит. Острый респираторный дистресс синдром взрослых. Хроническая почечная недостаточность с участками острого некронефроза: ангиосклероз, гломерулосклероз, нефросклероз, очаговый кортикальный и канальцевый некронефроз (биохимия крови: Мочевина: 15,1 ммоль/л, Креатинин: 187,0 мкмоль/л). Двусторонний гидроторакс. Асцит. Анасарка. Дистрофия паренхиматозных органов. Сопутствующее заболевание: Поликистоз правой доли печени, гистологический вариант: серозная киста.
Обсуждение
Морфологическим субстратом почечной патологии у пациентов, умерших от COVID-19 с признаками нефроангиосклероза, в подавляющем большинстве случаев является острое повреждение канальцевого эпителия, которое способствует развитию тяжелой хронической почечной недостаточности и нефрогенного отека легких [6].
Исход лечения нефрогенного отека легких зависит от нескольких факторов: от возраста больного, характера основного заболевания, сопутствующей патологии и ведущего патогенетического механизма. Наиболее тяжело протекает и поддается купированию отек легких, связанный с повышенной проницаемостью легочных капилляров и снижением онкотического давления плазмы крови. Наличие фонового заболевания почек у пациентки, такого как кистозная болезнь, привело к развитию нефрогенной гипертензии, изменениям со стороны сердечно-сосудистой системы, что усугубило течение COVID-19. Известно, что развитие тяжелого острого канальцевого некроза с явлениями кариолизиса и отслойкой тубулоцитов от тубулярной базальной мембраны отмечается в 60% случаев у пациентов с ОПП и 31% случаев при отсутствии сопутствующей патологии почек. Дистрофия канальцевого эпителия по типу неизометрической вакуолизации, выраженное венозное полнокровие со стазами крови в перитубулярных капиллярах и венулах, полнокровие клубочков и образованием в них эритроцитарных сладжей и стазов крови без явлений тромбоза и фибриноидного некроза приводит к изменению биохимических показателей, повышению креатинина, мочевины, снижению уровня альбуминов в крови [13]. В представленном случае у пациентки с нефрогенной гипертензивной болезнью и поликистозом почек, инфицированной SARS-CoV-2, помимо острого канальцевого некроза отмечался двусторонний некроз коркового слоя почек при сохранности интермедиарной зоны и пирамид; выявлялись умеренные признаки венозного полнокровия с эритроцитарными стазами, определялись участки фибриноидного и, местами, мукоидного набухания с феноменом метахромазии в стенках сосудов. Выявлялись признаки сердечной недостаточности, морфологически проявляющиеся отеком интерстиция, фрагментацией мышечных волокон, дистрофическими изменениями кардиомиоцитов, вакуолизацией цитоплазмы, волнообразной деформацией кардиомиоцитов, смазанностью поперечной исчерченности.
В легких определялись диффузные клеточные инфильтраты в сочетании с изменениями со стороны альвеолярного аппарата с развитием ОРДС и нефрогенного отека легких. Сочетание вирусного воспаления COVID-19, снижения легочных объемов, повышения гидростатического давления в сосудах микроциркуляторного русла и снижение онкотического давления привело к раннему развитию ОРДС и отеку легких.
Заключение
Пациенты с ранее существовавшим заболеванием почек или хронической болезнью почек (ХБП) имеют повышенный риск неблагоприятного исхода инфекции COVID-19. Причиной смерти пациентки 45 лет явилось тяжелое течение двустороннего COVID-ассоциированного пневмонита, альвеолита, способствовавшего развитию ренальной медуллярной гипоксии и кардио-ренальному синдрому 1 типа, которые привели к раннему нефрогенному отеку легких.
About the authors
Olga V. Vorobeva
Chuvash State University after I.N. Ulyanova
Author for correspondence.
Email: olavorobeva@mail.ru
PhD (Medicine), Associate Professor, Department of General and Clinical Morphology and Forensic Medicine
Россия, CheboksaryNatalya E. Gimaldinova
Chuvash State University after I.N. Ulyanova
Email: olavorobeva@mail.ru
PhD (Medicine), Associate Professor, Department of General and Clinical Morphology and Forensic Medicine
Россия, CheboksaryL. P. Romanova
Chuvash State University after I.N. Ulyanova
Email: olavorobeva@mail.ru
PhD (Biology), Associate Professor, Department of Dermatovenerology and Hygiene
Россия, CheboksaryReferences
- Бикбов Б.Т., Томилина Н.А. Состояние заместительной терапии больных с хронической почечной недостаточностью в Российской Федерации в 1998–2007 г. (аналитический отчет по данным Российского регистра заместительной почечной терапии) // Нефрология и диализ. 2009. Т. 11, № 3. С. 144–233. [Bikbov B.T., Tomilina N.A. Status of renal replacement therapy in ESRD patients of Russian Federation in 1998–2007 (analytic report of Russian RRT Register). Nefrologiya i dializ = Nephrology and Dialysis, 2009, vol. 11, no. 3, pp. 144–233. (In Russ.)]
- Воробьева О.В., Ласточкин А.В. Изменения в головном мозге, легких и сердце при СOVID-19 на фоне цереброваскулярной патологии // Профилактическая медицина. 2020. Т. 23, № 7. С. 43–46. [Vorobeva O.V., Lastochkin A.V. Changes in the brain, lungs and heart with COVID-19 against the background of cerebrovascular pathology. Profilakticheskaya Meditsina = The Russian Journal of Preventive Medicine, 2020, vol. 23, no. 7, pp. 43–46. (In Russ.)] doi: 10.17116/profmed20202307143
- Воробьева О.В., Ласточкин А.В. Острый инфаркт миокарда и коронавирусная инфекция (COVID-19) // Инфекционные болезни: новости, мнения, обучение. 2021. Т. 10, № 1. С. 93–97. [Vorobeva O.V., Lastochkin A.V. Acute myocardial infarction and coronavirus infection (COVID-19). Infektsionnye bolezni: novosti, mneniya, obuchenie = Infectious Diseases: News, Opinions, Training, 2021, vol. 10, no. 1, pp. 93–97. (In Russ.)] doi: 10.33029/2305-3496-2021-10-1-93-97
- Временные методические рекомендации. Профилактика, диагностика и лечение новой коронавирусной инфекции (COVID-19). Версия 15 от 22.02.2022. М., 2022. 233 с. [Interim guidelines. Prevention, diagnosis and treatment of new coronavirus infection (COVID-19). Version 15 dated 22.02.2022. Moscow, 2022. 233 p. (In Russ.)]
- Клинические рекомендации. Хроническая болезнь почек (ХБП). Кодирование по Международной статистической классификации болезней и проблем, связанных со здоровьем: N18.1/N18.2/N18.3/N18.4/N18.5/N18.9 с кодами осложнений и ассоциированных состояний (при наличии) Z49.0/Z49.1/Z49.2/D63.8*/E87.2/E87.5/E21.1/Е83.3/E83.5/Е83.8/N25.0/E89.2 Возрастная группа: взрослые. Год утверждения: 2021 (пересмотр каждые 3 года). Разработчик клинической рекомендации: Ассоциация нефрологов. 231 с. [Clinical guidelines. Chronic kidney disease (CKD). International Statistical Classification of Diseases and Related Health Problems coding: N18.1/N18.2/N18.3/N18.4/N18.5/N18.9 with codes for complications and associated conditions (if any) Z49.0/Z49.1/Z49.2/D63.8*/E87.2/E87.5/E21.1/Е83.3/E83.5/Е83.8/N25.0/E89.2 Age group: adults Approved year: 2021 (revised every 3 years). Clinical guideline developer: Association of Nephrologists. 231 p. (In Russ.)]
- Патологическая анатомия легких при COVID-19: атлас / Под ред. О.В. Зайратьянца. Рязань: Рязанская областная типография, 2020. 57 с. [Pathological anatomy of the lungs in COVID-19: atlas. Ed. by O.V. Zayrat’yants. Ryazan’: Ryazanskaya oblastnaya tipografiya, 2020. 57 p. (In Russ.)]
- Столяревич Е.С., Фролова Н.Ф., Артюхина Л.Ю., Варясин В.В. Поражение почек при COVID-19: клинические и морфологические проявления почечной патологии у 220 пациентов, умерших от COVID-19 // Нефрология и диализ. 2020. Т. 22 (Спецвыпуск). С. 46–55. [Stolyarevich E.S., Frolova N.F., Artyukhina L.Yu., Varyasin V.V. Kidney damage in COVID-19: clinical and morphological manifestations of renal pathology in 220 patients who died from COVID-19. Nefrologiya i dializ = Nephrology and Dialysis, 2020, vol. 22 (special iss.), pp. 46–55. (In Russ.)] doi: 10.28996/2618-9801-2020-Special_Issue-46-55
- Халирахманов А.Ф., Гатиятуллина Г.Д., Гайфуллина Р.Ф., Ризванов А.А., Мухаметшина Э.И. Повреждение миокарда у пациентов с COVID-19 // Практическая медицина. 2020. Т. 18, № 1. С. 60–64. [Khalirakhmanov A.F., Gatuyatullina G.D., Gaifullina R.F., Rizvanov A.A., Mukhametshina E.I., Sharafutdinov B.M., Zinchenko S.V. Myocardial injury in patients with COVID-19. Prakticheskaya meditsina = Practical Medicine, 2020, vol. 18, no. 1, pp. 60–64. (In Russ.)] doi: 10.32000/2072-1757-2020-1-60-6
- Chen L., Li X., Chen M., Feng Y., Xiong C. The ACE2 expression in human heart indicates new potential mechanism of heart injury among patients infected with SARS-CoV-2. Cardiovasc. Res., 2020, vol. 116, no. 6, pp. 1097–1100. doi: 10.1093/cvr/cvaa078
- Cheng H., Wang Y., Wang G.Q. Organ-protective effect of angiotensin-converting enzyme 2 and its effect on the prognosis of COVID-19. J. Med. Virol., 2020, vol. 92, no. 7, pp. 726–730. doi: 10.1002/jmv.25785
- Herrera-Gómez F., Chimeno M.M., Martín-García D., Lizaraso-Soto F., Maurtua-Briseño-Meiggs Á., Grande-Villoria J., Bustamante-Munguira J., Alamartine E., Vilardell M., Ochoa-Sangrador C., Álvarez F.J. Cholesterol-lowering treatment in chronic kidney disease: multistage pairwise and network meta-analyses. Sci. Rep., 2019, vol. 9, no. 1: 8951. doi: 10.1038/s41598-019-45431-5
- Palmer S.C., Navaneethan S.D., Craig J.C., Johnson D.W., Perkovic V., Hegbrant J., Strippoli G.F. HMG CoA reductase inhibitors (statins) forpeople with chronic kidney disease not requiring dialysis. Cochrane Database Syst. Rev., 2014, no. 5: CD007784. doi: 10.1002/14651858.CD007784.pub2
- Varga Z., Flammer A.J., Steiger P., Haberecker M., Andermatt R., Zinkernagel A.S., Mehra M.R., Schuepbach R.A., Ruschitzka F., Moch H. Endothelial cell infection and endotheliitis in COVID-19. Lancet, 2020, vol. 395, no. 10234, pp. 1417–1418. doi: 10.1016/S0140-6736(20)30937-5
- Zhang X., Xiang C., Zhou Y.H., Jiang A., Qin Y.Y., He J. Effect of statins on cardiovascular events in patients with mild to moderate chronic kidney disease: a systematic review and meta-analysis of randomized clinical trials. BMC Cardiovasc. Disord., 2014, vol. 14: 19. doi: 10.1186/1471-2261-14-19
Supplementary files









