Serotonin-related immunomodulatory effect in a model of a contaminated wound in warm-blooded animals
- Authors: Chibirova T.T.1,2, Skupnevskii S.V.1, Saveljev R.V.1, Kokaev R.I.2
-
Affiliations:
- North Ossetian State University named after K.L. Khetagurov
- Vladikavkaz Scientific Center of the RAS
- Issue: Vol 15, No 4 (2025)
- Pages: 689-695
- Section: ORIGINAL ARTICLES
- Submitted: 24.02.2025
- Accepted: 09.06.2025
- Published: 06.11.2025
- URL: https://iimmun.ru/iimm/article/view/17863
- DOI: https://doi.org/10.15789/2220-7619-SRI-17863
- ID: 17863
Cite item
Full Text
Abstract
Introduction. The treatment of contaminated wounds remains a significant challenge, and the solution to this problem may lie in the realm of pathogenetic therapy. The aim of this study was to investigate serotonin-related immunoregulatory effects in a contaminated wound model in experimental animals.
Materials and methods. Wistar rats underwent surgical skin incisions in the epigastric region along the abdominal white line. Control animals received intraperitoneal saline (1st group) injections. Experimental animals were administered serotonin (days 0–5) at a dosage of 1.43 mg/kg b.w. intraperitoneally (2nd group); a serotonin pulse therapy (1.43; 1.43; 3.58; 7.15; 14.30 mg/kg) regimen was also administered (3rd group). After 5 days, the animals were euthanized, and microbiological, immunological, and histological analyses were performed. Results. Upon serotonin treatment, total microbial wound and peri-wound contamination (both hemolytic and non-hemolytic) decreased by 27% compared to control group (p > 0.05). The number of yeast-like and mold-like fungi also decreased significantly in experimental groups, by 4 times in the low dose group (1.43 mg/kg/day) and 4.6 times after pulse therapy. At the same time, an immunomodulatory effect was noted presented as increased neutrophil phagocytic activity, IL-6 levels, and activation of granulocyte lineage in the hematopoietic system. Histological analysis revealed accelerated skin regeneration in groups of treated animals.
Conclusion. Serotonin administration has an immunomodulatory effect in a model of contaminated wounds in animals, leading to reduced bacterial contamination and accelerated wound healing.
Full Text
Введение
Контаминированные раны являются широко распространенным типом нарушения целостности кожных покровов как при операционных вмешательствах, так и при случайных обстоятельствах (в быту, на производстве, в бою, криминальные и пр.). Основным способом лечения ран остается санация антисептическими средствами с последующей антибиотикотерапией, в зависимости от локализации, степени и тенденции к заживлению [10]. Однако длительное применение антибиотиков и антисептиков может привести к антибикорезестентеости и/или аллергии, что может значительно усложнить местное лечение и потребовать более дорогостоящего комплексного подхода [11]. В этой связи для повышения эффективности лечения необходимо дальнейшее совершенствование патогенетической терапии, основанной в первую очередь на механизмах иммунорегуляции.
Прогноз и сроки выздоровления пациентов с дефектами кожи и слизистых определяет выраженность местных защитных реакций, сопровождающихся воспалением, на модификацию которого необходимо делать особенный акцент при разработке новых подходов в лечении. В спектре потенциальных иммуномодуляторов могут находиться биогенные амины, обладающие большим потенциалом биологической активности, включая регуляцию синтеза белков, гормонов, нуклеиновых кислот, поддержание роста и пролиферации клеток, влияние на стабильность мембран, процессы старения и реакции на стресс [15]. К числу перспективных биогенных аминов можно отнести серотонин (5-гидрокситриптамин, 5-HT), выполняющий множество важных функций в организме в качестве нейромедиатора и гормона. Тот факт, что серотонин как гормон вырабатывается энтерохромаффинными клетками желудка и участвует в регуляции функций желудочно-кишечного тракта — места максимального скопления микрофлоры, определяет особый интерес к более углубленному изучению его эффектов на иммуноциты [3].
Целью исследования было изучение иммунорегуляторного действия серотонина в модели контаминированной раны у экспериментальных животных.
Материалы и методы
Эксперимент проводился на 30 самках крыс линии Wistar, разделенных на три равные группы. В работе с лабораторными животными придерживались правил и этических норм содержания и ухода, описанных в руководстве National Research Council, 2011 г., и ГОСТ Р53434-2009 «Принципы надлежащей лабораторной практики».
На вентральной стороне тела под рауш-наркозом в краниальном направлении в эпигастральной области проводили продольное рассечение кожи и подкожно-жировой клетчатки длиной 15 мм, глубиной 1,5–2,0 мм, не задевая апоневроза мышц живота. Ушивание осуществляли стерильной нитью викрил (Vicril, Eticon, 2–0), помещая животных в чистые нестерильные клетки для содержания. Животным первой — контрольной группы на протяжении 5 дней, начиная со дня механического повреждения кожи, вводили растворитель — физиологический раствор, эквиобъемно с крысами экспериментальных групп. Вторая — экспериментальная: введение серотонина адипината (раствор для внутривенного и внутримышечного введения 10 мг/мл, ООО “ЛОРР+К”, Россия) начиная со дня хирургического повреждения кожи и ежедневно в течение 5 дней в дозировке 1,43 мг/кг внутрибрюшинно (в/б). Третья — экспериментальная: введение серотонина адипината в режиме пульс-терапии 1,43; 1,43; 3,58; 7,15; 14,30 мг/кг в/б в течение 5 дней. Через 24 часа после последней манипуляции (введения растворов) животных усыпляли в СО2 боксе и стерильным тупфером делали смыв со струпа (Зона I (З. I)) и непосредственно прилегающей к нему области (З. II) в 2 мл стерильного физиологического раствора. Состояние раны фотографировали, после чего из сердца отбирали кровь для определения гематологических (лейкограмма) и иммунологических (фагоцитарная активность нейтрофилов, IL-6) параметров. Лоскут кожи вокруг струпа иссекали и помещали в 10% забуференный раствор формалина на период не менее 72 ч. Общий анализ крови проводили микроскопией мазка; IL-6 определяли, используя стандартные коммерческие наборы для иммуноферментного анализа.
Для определения фагоцитарной активности образцы крови, стабилизированные гепарином (50 МЕ/мл), подогревали до 37°С и смешивали в соотношении 10:1 с суспензией туши, разведенной 1:1000 физиологическим раствором и инкубировали в термостате в течение 30 минут при 38°С. После инкубации кровь тщательно перемешивали и делали мазки на семплере «V-Sampler» (Австрия). Микропрепараты высушивали при комнатной температуре и фиксировали 25 мин при 37°С в парах формалина. Окрашивали 0,5% раствором метиленового синего в течение 2–3 минут. Анализировали с помощью микроскопа «Минимед-2» по 100 клеток на крысу, рассчитывая фагоцитарный индекс (ФИ, количество клеток, вступивших в фагоцитоз) и фагоцитарное число (ФЧ, среднее количество частиц, поглощенных клетками), а также фагоцитарный интегральный индекс (ФИИ, количество частиц, поглощенных на 100 нейтрофилов).
Микробиологическое исследование проводили путем инокуляции полученными смывами в объеме 50 мкл на среды: мясопептонный агар (МПА) — для определения общей бактериальной обсемененности и кровяной агар — определение доли гемолитических микроорганизмов (инкубация при 37±0,2°С в течение 24 ч); агар Сабуро — для оценки микологического загрязнения раны (инкубация при 25±0,2°С в течение 5 сут.). Подсчитывали КОЕ и рассчитывали обсемененность раны на 1 см2 по следующей формуле — Ро:
где Р — количество колоний; 10n — степень разведения исходной пробы (n = 1); V (исх. пробы) — объем исходной пробы; S (участок отбора) — площадь участка отбора пробы; V (аликвоты) — объем вносимого инокулята на чашку Петри.
Срезы для морфологических исследований окрашивали гематоксилин-эозином и анализировали на световом микроскопе «Zeiss» при увеличении ×40 и ×100, изучая преимущественно участки хирургического иссечения.
Статистическая обработка результатов гематологических и иммунологических исследований осуществлялась расчетом медианы (Ме), верхнего и нижнего квартилей (C25–C75), сравнение гипотез проводилось по U-критерию Манна–Уитни; для микробиологических исследований рассчитывали среднее значение (М), стандартное отклонение (SD), а сравнение гипотез проводили по Т-критерию Уэлча, используя онлайн-калькулятор (https://www.statskingdom.com/170median_mann_whitney.html; https://www. statskingdom.com/150MeanT2uneq.html). Статистически значимыми считали различия при p < 0,05.
Результаты
Итог заживления раневой поверхности после хирургического рассечения кожи у крыс представлен на рис. 1.
Риcунок 1. Фотографии поверхности резаной раны у крыс на 5-е сутки: А — контроль; Б — серотонин в дозировке 1,43 мг/кг/сут.; В — серотонин в режиме пульс-терапии (1,43; 1,43; 3,58; 7,15; 14,30 мг/кг/сут.)
Figure 1. Photographs of the surface of the incised wound in rats on the 5th day: A — control; B — serotonin at a dosage of 1.43 mg/kg/day; C — serotonin in pulse therapy mode (1,43; 1,43; 3,58; 7,15; 14,30 mg/kg/day
Из рис. 1 видно, что на фоне введения серотонина процессы восстановления поврежденной кожи и раневой контракции протекали более эффективно по сравнению с контрольной группой животных. На снимках отчетливо видно, что у животных, где применялся серотонина адипинат — как в дозировке 1,43 мг/кг, так и в режиме пульс-терапии — кожные покровы были в выраженной стадии заживления, без очагов воспаления и отечности. У животных контрольной группы такой выраженной положительной динамики отмечено не было. Визуальное сравнение эпителизации в экспериментальных группах показало, что в случае применения действующего вещества в режиме 1,43 мг/кг/сут. регенерация была более выраженной, чем на фоне пульс-терапии.
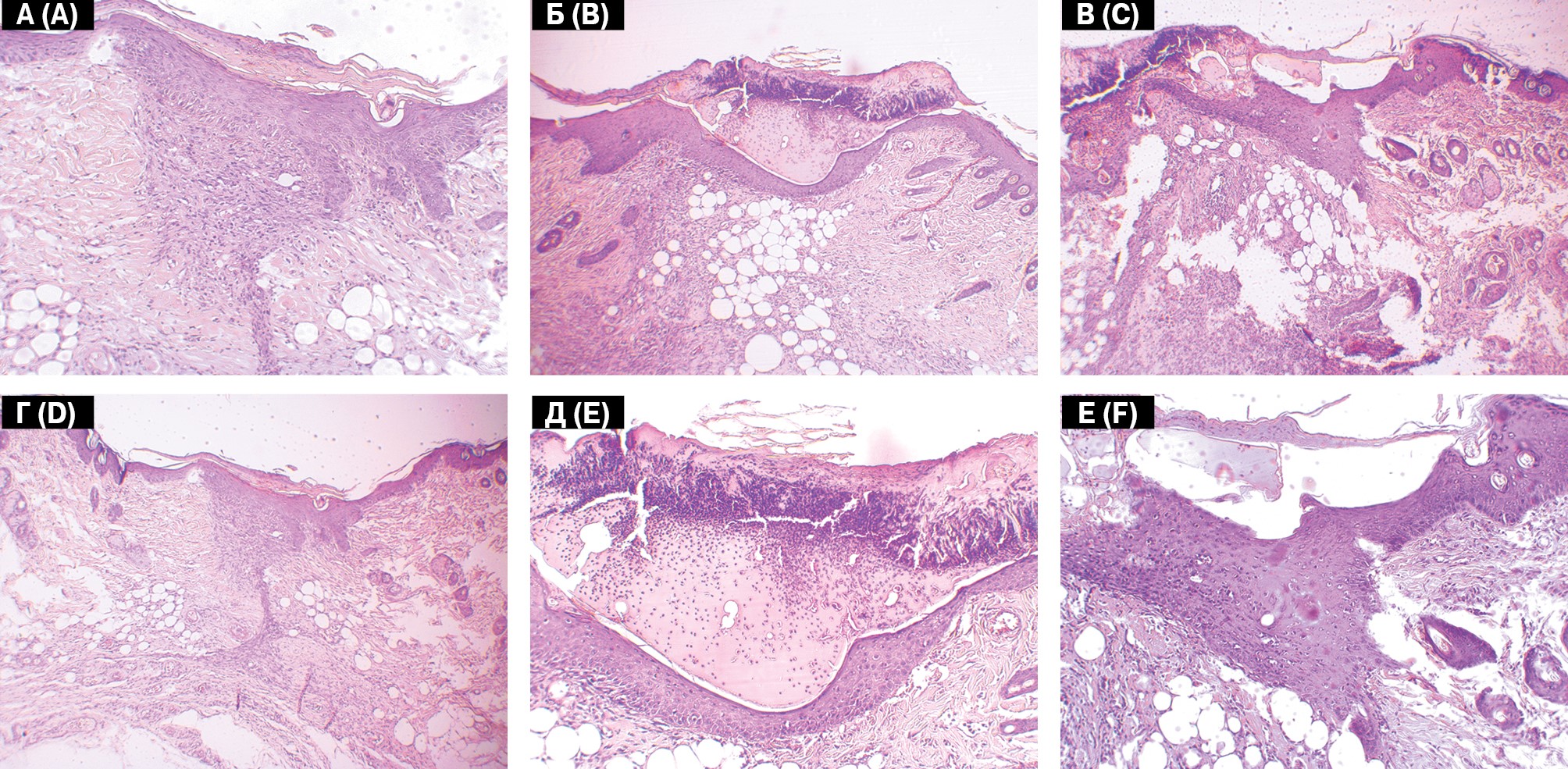
Морфологическая картина кожи в зоне рассечения представлена на рис. 2.
Рисунок 2. Морфология кожи крыс в зоне рассечения: А, Г — контроль; Б, Д — серотонин в дозировке 1,43 мг/кг/сут.; В, Е — серотонин в режиме пульс-терапии (1,43; 1,43; 3,58; 7,15; 14,30 мг/кг/сут.); А–В – ув. ×40; Г–Е — ув. ×100
Figure 2. Morphological picture of the skin in the dissection area: A, D — control; B, E — serotonin at a dosage of 1.43 mg/kg/day; C, F — serotonin in pulse therapy mode (1.43; 1.43; 3.58; 7.15; 14.30 mg/kg/day); A–C — ×40 magnification; D–F — ×100 magnification
На всех анализируемых микропрепаратах образцы кожи представлены эпидермисом, дермой и гиподермой. У животных контрольной группы выявляются выраженные изменения воспалительно-деструктивного характера, затрагивающие дерму и гиподерму. В ряде случаев к окончанию эксперимента полного восстановления эпидермиса в области дефекта не наблюдалось (рис. 2А, Г). В подлежащей дерме выявляются очаги некроза жировой и соединительной ткани, сопровождаемые инфильтрацией лимфоцитами, плазматическими клетками и макрофагами, преимущественно в виде демаркационного вала. По периферии раневого дефекта в окружающих тканях отмечается отек, периваскулярные кровоизлияния, маргинация лейкоцитов в просвете мелких артерий.
Дефект кожного покрова у животных из группы с серотонином в дозировке 1,43 мг/кг/сут. оказался либо полностью эпителизирован, либо в единичных случаях с сохранением микроскопических участков нарушения целостности эпидермиса (рис. 2Б, Д). Раневой канал заполнен плотными фибриновыми массами, отечность по его периферии носит умеренный характер. Отмечена редукция признаков активного (экссудативного) воспаления по сравнению с контрольной группой.
Отличительной чертой животных на пульс-терапии серотонином является активация фибропластических процессов и формирование рыхлой волокнистой соединительной ткани в дермальном и гиподермальном слоях. В отдельных случаях (2 из 10) под лейкоцитарно-фибринозным струпом полного срастания эпидермальных пластов не происходило (рис. 2В, Е), а сам раневой канал четко визуализировался на всю глубину среза. На фоне выраженной отечности воспалительная инфильтрация представлена преимущественно лимфоцитами и плазматическими клетками с очагами скопления сегментоядерных и палочкоядерных нейтрофилов.
Результаты изучения микробного пейзажа послеоперационной раны животных представлены в табл. 1.
Таблица 1. Результаты бактериологического исследования зоны струпа у крыс
Table 1. Results of bacteriological examination of the scab area in rats
Параметр Parameter | Контроль Control | Серотонин 1,43 мг/кг/сут. Serotonin 1,43 mg/kg/day | Серотонин пульс-терапия Serotonin pulse therapy | |||
З. I Z. I | З. II Z. II | З. I Z. I | З. II Z. II | З. I Z. I | З. II Z. II | |
Общая обсемененность, 37°С (КОЕ/см2) Total number of microorganisms, 37°С (CFU/cm2) | 986,7±500 | 2631,1±1120,1 | 720,0±546 | 1635,6±450 | 720,0±233 | 1564,4±358 |
Общая обсемененность, 25°С (КОЕ/см2) Total number of microorganisms, 25°С (CFU/cm2) | 666,7±312 | 1831,1±485,2 | 480,0±360 | 453,3±85** | 373,3±252 | 400,0±129** |
Общая обсемененность, гем.+ (КОЕ/см2) Total number of microorganisms, Hem+ (CFU/cm2) | 1120,0±593 | 2400,0±1586,0 | 640,0±357 | 853,3±276 | 666,7±365 | 773,3±357 |
Гем+ (%) | Hem+ (%) | 113,5 | 91,5 | 88,9 | 52,2 | 92,6 | 49,4 |
Гем α+ (%) | Hem α+ (%) | 38,7 | 5,0 | 35,1 | 38,9 | 10,4 | 15,0 |
Гем β+ (%) | Hem β+ (%) | 17,3 | 59,7 | 8,9 | 13,2 | 14,7 | 20,7 |
Гем γ+ (%) | Hem γ+ (%) | 44,0 | 35,3 | 56,0 | 47,9 | 74,9 | 64,3 |
Примечание. Результаты представлены в виде M±SD; ** — p < 0,01.
Note. The results are presented as M±SD; ** — p < 0.01.
Из табл. 1 видно, что на фоне введения серотонина общая обсемененность раны и околораневой поверхности снижается относительно контрольной группы: на 27,0% при 37°С и 28,0–44,1% при 25°С (в области над струпом, зона I). В околораневой зоне количество микроорганизмов, растущих на среде Сабуро, в экспериментальных группах снизилось статистически значимо — в 4,0 раза в схеме 1,43 мг/кг/сут. серотонина (р = 0,003) и в 4,6 раза в режиме пульс-терапии (р = 0,002). Схожая закономерность выявлена и для общей обсемененности гемолитической микрофлорой, численность которой на единицу поверхности струпа в опытных группах оказалась сниженной.
Оценка фагоцитоза нейтрофилов и содержание IL-6 представлено в табл. 2.
Таблица 2. Результаты определения фагоцитарной активности нейтрофилов и концентрации IL-6 в крови у крыс
Table 2. The results of the determination of the phagocytic activity of neutrophils and the concentration of IL-6 in the blood of rats
Параметр Parameter | Контроль Control | Серотонин 1,43 мг/кг/сут. Serotonin 1,43 mg/kg/day | Серотонин пульс-терапия Serotonin pulse therapy |
Фагоцитарный индекс, % Phagocytic index, % | 48,0 (44,8–48,0) | 49,5 (46,9–49,5) | 22,3 (16,9–22,3) |
Фагоцитарное число, у.е. Phagocytic number, s.u. | 1,6 (1,6–1,6) | 1,9 (1,7–1,9) | 1,6 (1,4–1,6) |
Фагоцитарный интегральный индекс, у.е. Phagocytic integral index, s.u. | 0,8 (0,7–0,8) | 0,9 (0,9–0,9) | 0,4 (0,3–0,4) |
IL-6, пг/мл IL-6, pg/ml | 0,5 (0,2–0,6) | 3,4 (3,0–3,5) | 0,1 (0,1–0,2) |
Из табл. 2 видно, что на фоне пульс-терапии происходит значительное снижение фагоцитарной активности нейтрофилов — в 2,2 раза (р = 0,000), а снижение фагоцитарного интегрального индекса в 2 раза дополнительно выявляет снижение поглотительной функции иммуноцитов на фоне высоких концентраций биогенного амина. Серотонин, вводимый в дозировке 1,43 мг/кг/сут., повышает фагоцитарный индекс и приводит к модуляции воспалительного ответа за счет увеличения в крови IL-6 в 6,8 раз (р = 0,008), способного оказывать как про-, так и противовоспалительное действие, а также стимулировать миелопоэз, о чем свидетельствуют результаты гематологических исследований, представленные в табл. 3.
Таблица 3. Результаты гематологического анализа
Table 3. Results of hematological analysis
Параметр Parameter | Статистические показатели Statistical indicators | Контроль Control | Серотонин 1,43 мг/кг/сут Serotonin 1,43 mg/kg/day | Серотонин пульс-терапия Serotonin pulse therapy |
WBC, 109/л | Ме (C25–C75) | 12,95 (11,37–14,77) | 13,27 (11,27–16,16) | 17,11 (14,92–20,01) |
LYM, % | Ме (C25–C75) | 72 (67,46–19,28) | 66,22 (64,86–70,08) | 60,23 (58,99–69,91) |
NEU (п), % | Ме (C25–C75) | 2,87 (1,93–3,85) | 3,63 (2,97–3,65) | 3,68 (2,76–3,70) |
NEU (с), % | Ме (C25–C75) | 18,85 (16,13–22,42) | 17,12 (13,42–20,50) | 24,85 (15,51–27,36 |
MON, % | Ме (C25–C75) | 2,88 (2,13–2,93) | 2,27 (1,80–3,60) | 1,89 (1,84–2,78) |
Метамиелоциты + миелоциты, % Metamyelocytes + myelocytes, % | Ме (C25–C75) | 2,88 (2,87–3,35) | 7,00 (6,54–7,53) | 5,56 (5,52–6,29) |
Индекс Рейса Reis index | Ме (C25–C75) | 0,33 (0,28–0,44) | 0,45 (0,34–0,50) | 0,61 (0,37–0,64) |
Из табл. 3 видно, что показатели крови в контрольной группе и опытной с серотонином в дозировке 1,43 мг/кг/сут. полностью соответствуют нормативным значениям [6]. В условиях пульс-терапии отмечен лейкоцитоз относительно контрольной группы на 32,1% (р = 0,045). В опытных группах происходит активация миелопоэза и выход в кровь юных форм гранулоцитов — особенно значимо в первой опытной группе (р = 0,001). Изменение лейкоцитарного индекса Б.А. Рейса в 1,8 раза относительно контрольной группы выявляет острый характер воспалительного процесса, протекающего на фоне введения высоких доз серотонина в режиме пульс-терапии.
Обсуждение
Согласно результатам проведенных исследований, серотонин в дозировке 1,43 мг/кг/сут. проявляет выраженное иммуномодулирующее действие, следствием которого является значительное улучшение показателя общей обсемененности ран. Такие эффекты серотонина могут быть связаны в первую очередь со стимуляцией фагоцитоза нейтрофилами [8], которые также участвуют в активации макрофагов [1], определяя их про- или противовоспалительный профиль [5]. Дополнительно активируемые через серотониновые рецепторы (5-HT2AR) тромбоциты [12] могут вносить значительный вклад в терапевтическое действие не только высокой удельной поверхностью, где адсорбируются антигены и патогены [7], но и способностью образовывать тромбоцитарно-лейкоцитарные комплексы, благодаря которым облегчается процесс рекрутирования иммунных клеток в очаг воспаления [4]. В работе С.П. Свиридова и соавт. [2] установлено: тромбоциты могут усиливать или ослаблять продукцию лейкоцитарных цитокинов, а также стимулировать фагоцитоз, что согласуется с результатами определения фагоцитарного числа и фагоцитарного интегрального индекса (табл. 2). Локальное выделение тромбоцитарных факторов роста (PDGF) [13] может также способствовать ускорению регенерации и эпителизации дефекта.
При этом стоит отметить, что выраженное антиоксидантное действие серотонина, превосходящее по своему потенциалу даже мелатонин [14], может вносить существенный вклад в процессы восстановления поврежденной ткани, поскольку купирование окислительного стресса напрямую связано с модификацией воспалительного процесса [9] и активацией факторов естественной защиты организма от патогенов.
Снижение бактериальной обсемененности ран в режиме пульс-терапии серотонином, выявленное на фоне ингибирующего воздействия повышенных дозировок биогенного амина на фагоцитоз нейтрофилов, позволяет предположить дополнительные механизмы иммуностимулирующего действия, возможно, за счет активации антибактериальных факторов кожи, что требует дальнейших исследований.
Заключение
Серотонин оказывает иммуномодулирующее действие в модели контаминированной раны у животных, что приводит к снижению бактериальной загрязненности поверхности ран и ускорению процессов регенерации. Наиболее эффективной является дозировка 1,43 мг/кг/сут. при которой происходит увеличение фагоцитарного числа нейтрофилов и отмечается лучшая эпителизация дефекта.
About the authors
Tamara T. Chibirova
North Ossetian State University named after K.L. Khetagurov; Vladikavkaz Scientific Center of the RAS
Author for correspondence.
Email: tamaramerdenova@mail.ru
Junior Researcher, Laboratory of Subcellular Structures, Institute of Biomedical Research, Junior Researcher, Laboratory of Systemic Environmental Analysis
Россия, Vladikavkaz; VladikavkazS. V. Skupnevskii
North Ossetian State University named after K.L. Khetagurov
Email: tamaramerdenova@mail.ru
DSc (Biology), Head of the Laboratory of Systemic Environmental Analysis
Россия, VladikavkazR. V. Saveljev
North Ossetian State University named after K.L. Khetagurov
Email: tamaramerdenova@mail.ru
Laboratory Assistant, Laboratory of Systemic Environmental Analysis
Россия, VladikavkazR. I. Kokaev
Vladikavkaz Scientific Center of the RAS
Email: tamaramerdenova@mail.ru
PhD (Medicine), Head of the Laboratory of Cell Technologies , Institute of Biomedical Research
Россия, VladikavkazReferences
- Долгушин И.И., Мезенцева Е.А., Савочкина А.Ю., Кузнецова Е.К. Нейтрофил как «многофункциональное устройство» иммунной системы // Инфекция и иммунитет. 2019. Т. 9, № 1. С. 9–38. [Dolgushin I.I., Mezentseva E.A., Savochkina A.Yu., Kuznetsova E.K. Neutrophil as a multifunctional relay in immune system. Infektsiya i immunitet = Russian Journal of Infection and Immunity, 2019, vol. 9, no. 1, pp. 9–38. (In Russ.)] doi: 10.15789/2220-7619-2019-1-9-38
- Свиридова С.П., Сомонова О.В., Кашия Ш.Р., Обухова О.А., Сотников А.В. Роль тромбоцитов в воспалении и иммунитете // Исследования и практика в медицине. 2018. Т. 5, № 3. C. 40–52. [Sviridova S.P., Somonova O.V., Kashia S.R., Obukhova O.A., Sotnikov A.V. The role of platelets in inflammation and immunity. Issledovaniya i praktika v meditsine = Research and Practical Medicine Journal, 2018, vol. 5, no. 3. pp. 40–52. (In Russ.)] doi: 10.17709/2409-2231-2018-5-3-4
- Carandini T., Cercignani M., Galimberti D., Scarpini E., Bozzali M. The distinct roles of monoamines in multiple sclerosis: a bridge between the immune and nervous systems? Brain Behav. Immun., 2021, vol. 94, pp. 381–391. doi: 10.1016/j.bbi.2021.02.030
- Finsterbusch M., Schrottmaier W.C., Kral-Pointner J.B., Salzmann M., Assinger A. Measuring and interpreting platelet-leukocyte aggregates. Platelets, 2018, vol. 29, no. 7, pp. 677–685. doi: 10.1080/09537104.2018.1430358
- Franco R., Rivas-Santisteban R., Lillo J., Camps J., Navarro G., Reyes-Resina I. 5-Hydroxytryptamin, Glutamate, and ATP: Much More Than Neurotransmitters. Front. Cell Dev. Biol., 2021, vol. 15, no. 9: 667815. doi: 10.3389/fcell.2021.667815
- Jacob Filho W., Lima C.C., Paunksnis M.R.R., Silva A.A., Perilhão M.S., Caldeira M., Bocalini D., de Souza R.R. Reference database of hematological parameters for growing and aging rats. Aging Male, 2018, vol. 21, no. 2, pp. 145–148. doi: 10.1080/13685538.2017.1350156
- Jenne C.N., Urrutia R., Kubes P. Platelets: bridging hemostasis, inflammation, and immunity. Int. J. Lab. Hematol., 2013, vol. 35, no. 3, pp. 254–261. doi: 10.1111/ijlh.12084
- Herr N., Bode C., Duerschmied D. The Effects of Serotonin in Immune Cells. Front. Cardiovasc. Med., 2017, vol. 4: 48. doi: 10.3389/fcvm.2017.00048
- Iddir M., Brito A., Dingeo G., Fernandez Del Campo S.S., Samouda H., La Frano M.R., Bohn T. Strengthening the Immune System and Reducing Inflammation and Oxidative Stress through Diet and Nutrition: Considerations during the COVID-19 Crisis. Nutrients, 2020, vol. 12, no. 6: 1562. doi: 10.3390/nu12061562
- Kaiser P., Wächter J., Windbergs M. Therapy of infected wounds: overcoming clinical challenges by advanced drug delivery systems. Drug Deliv. Transl. Res., 2021, vol. 11, no. 4, pp. 1545–1567. doi: 10.1007/s13346-021-00932-7
- Salam M.A., Al-Amin M.Y., Salam M.T., Pawar J.S., Akhter N., Rabaan A.A., Alqumber M.A.A. Antimicrobial Resistance: A Growing Serious Threat for Global Public Health. Healthcare (Basel), 2023, vol. 5, no. 11: 1946. doi: 10.3390/healthcare11131946
- Schoenichen C., Bode C., Duerschmied D. Role of platelet serotonin in innate immune cell recruitment. Front. Biosci. (Landmark Ed.), 2019, vol. 24, pp. 514–526. doi: 10.2741/4732
- Scopelliti F., Cattani C., Dimartino V., Mirisola C., Cavani A. Platelet Derivatives and the Immunomodulation of Wound Healing. Int. J. Mol. Sci., 2022, vol. 23, no. 15: 8370. doi: 10.3390/ijms23158370
- Vašíček O., Lojek A., Číž M. Serotonin and its metabolites reduce oxidative stress in murine RAW264.7 macrophages and prevent inflammation. J. Physiol. Biochem., 2020, vol. 76, no. 1, pp. 49–60. doi: 10.1007/s13105-019-00714-3
- Wójcik W., Łukasiewicz M., Puppel K. Biogenic amines: formation, action and toxicity — a review. J. Sci. Food Agric., 2021, vol. 101, no. 7, pp. 2634–2640. doi: 10.1002/jsfa.10928
Supplementary files






