Humoral immune response to shiga toxin 2 (Stx2) in children with escherichiosis with hemolytic-uremic syndrome
- Authors: Shkuratova M.A.1, Khlyntseva A.E.1, Kalmantaeva O.V.1, Kartsev N.N.1, Muzurov A.L.2,3, Firstova V.V.1
-
Affiliations:
- State Research Center for Applied Microbiology and Biotechnology, Rospotrebnadzor
- Moscow Clinical Municipal Children Hospital St. Vladimir
- Russian Medical Academy of Continuous Professional Education of the Ministry of Health
- Issue: Vol 14, No 3 (2024)
- Pages: 557-563
- Section: SHORT COMMUNICATIONS
- Submitted: 26.07.2024
- Accepted: 26.07.2024
- Published: 28.07.2024
- URL: https://iimmun.ru/iimm/article/view/17736
- DOI: https://doi.org/10.15789/2220-7619-HIR-16859
- ID: 17736
Cite item
Full Text
Abstract
Shiga toxin-producing Escherichia coli (STEC) causes acute intestinal infections and also causes acute renal failure, especially in children. Shiga toxins (Stx) occupy a central place in the pathogenesis of hemolytic uremic syndrome (HUS) in Escherichiosis. The presented work analyzes the effectiveness of laboratory diagnostics of enterohemorrhagic escherichiosis in patients at the stage of manifestation of HUS and/or acute renal failure using microbiological, immunological research methods and PCR analysis. The study used clinical material from 30 patients in the pediatric intensive care unit of the St. Vladimir Children’s City Clinical Hospital in Moscow with symptoms of HUS aged from 8 months to 5 years. Blood sera from 20 healthy donors were used as control. As a result of PCR analysis, stx2 DNA was detected in 23.3% of cases. Bacteriological research made it possible to sow a pure culture of Escherichia coli O157:H7 in only 3.3% of cases. Since the development of HUS begins in patients with acute intestinal infection caused by Shiga toxin-producing microorganisms starting from the 5th day of the disease, when antibiotic therapy is already carried out, the bacteria can be completely destroyed, which makes it difficult to identify them by bacteriological methods, as well as to detect genes encoding Shiga toxin in PCR analysis. Typically, patients with HUS are admitted to the intensive care unit 5–7 days after the onset of the disease, when class G immunoglobulins specific to the pathogen are already beginning to circulate in the blood. In this regard, the use of immunological tests can be effective to confirm the diagnosis of STEC infection. In our studies, enzyme immunoassay allowed us to detect antibodies to Stx2A in 63.3% and to Stx2B in 43.3% of patients. Using immunoblotting, antibodies to Stx2A were detected in all sera obtained from patients and in 66.7% of cases to Stx2B. Immunoblot analysis was characterized by higher sensitivity for detecting antibodies to Stx2, however, due to the presence of an immunological layer among healthy people, it is preferable to use ELISA analysis. In healthy donors with antibodies to Stx2, the antibody titer was significantly lower than in patients. Laboratory confirmation of the diagnosis of STEC infection is difficult when conducting microbiological and molecular genetic studies, which is confirmed in this work. The effectiveness of laboratory diagnostics can be expanded by performing an ELISA aimed at detecting antibodies to Stx2A.
Full Text
Введение
Прогрессирование кишечной инфекции, вызванной продуцирующими шига-токсин штаммами Escherichia coli (STEC) — эшерихиоза, может приводить к тяжелым для жизни осложнениям, таким как гемолитико-уремический синдром (ГУС), который представляет собой тромботическую микроангиопатию, характеризующуюся острой почечной недостаточнос тью, тромбоцитопенией и гемолитической анемией [4].
Во всем мире на долю STEC-инфекций ежегодно приходится 2,8 млн острых заболеваний, из которых 3890 случаев сопровождается развитием ГУС [6, 8, 10]. Ассоциированный со STEC-штаммами ГУС составляет до 90% случаев ГУС у детей и является самой частой причиной острой почечной недостаточности в детском возрасте. В России вспышки STEC-ГУС и спорадические случаи регистрируются в Московском, Поволжском регионах, Омске, Иваново, Оренбурге. Наиболее часто встречающимся серотипом, вызывающим серьезные вспышки и спорадические случаи типичного ГУС, является штамм E. coli O157:H7 (реже O111, O103, O121 и др.) [3].
Патогенность STEC-штаммов обусловлена продукцией шига-токсинов (Stx), вызывающих гибель клеток вследствие инактивации рибосом и прекращения синтеза белка. Семейство Stx включает два типа белков (Stx1 и Stx2) [8]. Известно, что при заболеваниях, вызванных штаммами, продуцирующими Stx2, ГУС развивается в 6,8 раз чаще, чем при инфекциях, вызванных штаммами, продуцирующими Stx1 или одновременно Stx1 и Stx2 [3]. Данные белки имеют структуру АВ5 и состоят из одной ферментативно-активной субъединицы A (32 kDa), связанной с пентамером субъединиц B (8 kDa). Шига-токсины вырабатываются во время колонизации бактериями E. coli слизистой оболочки кишечника, где проникают в кровоток [11]. Защитный иммунитет к инфекции STEC, вероятно, обеспечивается антителами, которые ингибируют колонизацию кишечника, и антителами, которые нейтрализуют Stx [9].
«Золотым» стандартом диагностики энтерогеморрагического эшерихиоза является микробиологический высев чистой культуры шига-токсин продуцирующего штамма E. coli. Однако в связи с широким использованием антибиотиков, а также с поздним поступлением в ряде случаев больного в стационар это не всегда осуществимо. Еще одним подходом к диагностике является использование метода амплификации нуклеиновых кислот для выявления генетических маркеров энтерогеморрагических E. coli (EHEC) O157, stx1, stx2, eae. В результате STEC-инфекции в организме формируются антитела, которые можно выявить в ИФА или иммуноблоте.
Цель настоящего исследования — провести микробиологические, иммунологические исследования и ПЦР-анализ клинического материала, выделенного от больных детей с ГУС, развившемся на фоне острой кишечной инфекции (ОКИ), для обнаружения шига-токсин продуцирующего штамма Escherichia coli, антител к Stx2 и/или генов stx2.
Материалы и методы
Исследуемые образцы. Клинический материал был получен от 30 пациентов в возрасте от 8 месяцев до 5 лет с типичными симптомами ГУС, в острой фазе кишечной инфекции. У всех пациентов ГУС развился после гастроэнтерита с продромальным периодом диареи в среднем 7,5 дней. Образцы клинического материала (фекалии, сыворотка крови) были получены в педиатрическом отделении интенсивной терапии города Москвы (ГБУЗ «Детская городская клиническая больница святого Владимира») в 2023 г. В качестве контроля использовали образцы сыворотки 20 здоровых доноров без признаков инфекционного заболевания или симптомов желудочно-кишечных расстройств, по крайней мере, в течение предшествующих 30 дней. До проведения экспериментов образцы сохранялись в условиях низкотемпературной заморозки (–68...–70°С). Родители дали информированное согласие на участие своих детей в исследовании.
Рекомбинантные субъединицы А и В шига-токсина 2 типа (Stx2А и Stx2В) были получены ранее в нашей лаборатории [2].
Иммуноблоттинг. Для постановки иммуноблоттинга (ИБ) проводили электрофорез рекомбинантных субъединиц шига-токсина 2 типа в 15% полиакриламидном геле по методу Леммли, на дорожку вносили 3 мкг/лунку каждого белка в невосстанавливающих условиях. Переносили гель на нитроцеллюлозную мембрану с помощью полуэлектридной ячейки для переноса TransBlot SD SemiDry (Bio-Rad) по стандартному протоколу. После блокировки мембран в 1% молоке, инкубировали их с сыворотками в разведении 1:200 в течение 2 ч. В качестве положительного контроля использовали ПАТ против А- и В-субъединицы шига-токина 2 типа; отрицательным контролем выступала сыворотка здорового человека. Второе антитело для детекции поликлональных антител было козьим антимышиным, связанным с пероксидазой хрена (Sigma-Aldrich, США), и использовалось в разведении 1:5000, во всех остальных случаях — козьим против гамма-цепи иммуноглобулина G человека, связанным с пероксидазой хрена (Sigma-Aldrich, США), и использовалось в разведении 1:5000. Для визуализации использовали в качестве субстрата 3,3-диаминобензидин тетрагидрохлорид (ДАБ, Sigma).
Иммуноферментный анализ. Для тестирования использовали 96-луночные планшеты (Costar, США), сенсибилизированные рекомбинантными белками Stx2A и Stx2B в концентрации 10 мкг/мл. Для анализа использовали двукратные разведения образцов сыворотки в диапазоне от 1:20 до 1:2560. В качестве отрицательного контроля были взяты сыворотки крови здоровых доноров. В рабочем разведении применяли конъюгат человеческих иммуноглобулинов с пероксидазой хрена (Sigma-Aldrich, США). Реакцию проявляли раствором субстрата — 3,3’,5,5’-тетраметилбензидина (TMB, Sigma). Оптическую плотность измеряли на фотометре Multiskan (Labsistems, США) при длине волны 450 нм (ОП450). Каждый образец сыворотки тестировали минимум дважды и определяли среднюю ОП.
Микробиологический анализ. Бактерио логическое исследование образцов проводили с использованием среды обогащения (бульон, Мак-Конки) с последующим высевом на содержащие сорбитол среды.
ПЦР-анализ. Идентификацию генов stx2 осуществляли в соответствии с методиками референс-лаборатории Европейского Союза (EU-RL VTEC_Method_02_Rev 0 и EU-RL VTEC_ Method_006_Rev 1, EU Reference Laboratory VTEC, Рим, Италия).
Статистический анализ. В ходе обработки результатов, полученных методом ИФА, определяли пороговое значение для данных с учетом максимальной чувствительности и специ фичности, а также с использованием кривой рабочей характеристики приемника (ROC).
Результаты и обсуждение
ПЦР-анализ испражнений, выделенных у детей с типичными симптомами ГУС, в острой фазе кишечной инфекции, позволил выявить гены stx2 в 23,3% случаев. Бактериологические исследования позволили высеять чистую культуру E. coli O157:H7 только в 1 образце (3,3%). Данные результаты могут быть обусловлены, прежде всего, активной антибиотикотерапией, приводящей к быстрому уничтожению патогена и выведению его из организма.
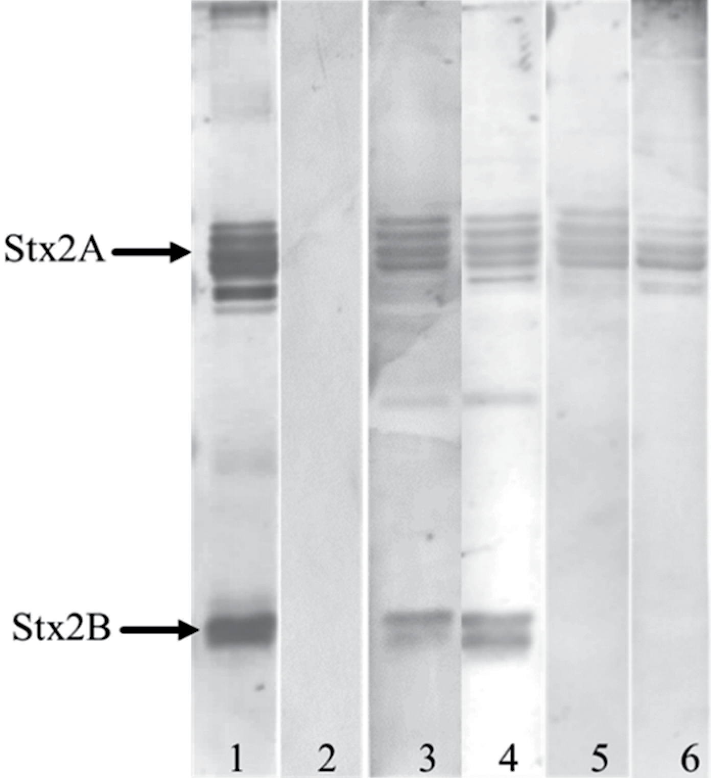
Результаты иммуноблота выявили наличие антител одновременно к обеим субъединицам шига-токина 2 в сыворотке крови у 66,7% пациентов с ГУС. Однако у 20% здоровых доноров также были выявлены антитела одновременно к обеим субъединицам шига-токина 2. В 100% случаев у больных были обнаружены антитела к субъединице А и у 50% здоровых доноров были обнаружены антитела к А-субъединице Stx2. Антитела, реагирующие только с субъединицей В (без наличия антител к А субъединице), не были обнаружены в сыворотках крови доноров. Репрезентативный ответ IgG на Stx2, обнаруженный с помощью ИБ в сыворотке пациентов с ГУС и доноров контрольной группы, показан на рис. 1.
Рисунок 1. Примеры результатов выявления методом иммуноблот-анализа IgG антител к Stx2A и Stx2B в сыворотках крови больных с типичными симптомами ГУС, в острой фазе кишечной инфекции
Figure 1. Examples of the results of detection of IgG antibodies to Stx2A and Stx2B by immunoblot analysis in the blood sera of patients with typical symptoms of HUS, in the acute phase of intestinal infection
Примечание. Дорожка 1 — положительный контроль, мышиные поликлональные антитела; дорожка 2 — отрицательный контроль — здоровый донор; дорожки 3–6 — больные с типичными симптомами ГУС, в острой фазе кишечной инфекции (образцы № 2, 3, 19, 30 соответственно; данные по другим образцам не представлены)
Note. Lane 1 — positive control, mouse polyclonal antibodies; lane 2 — negative control — healthy donor; lanes 3–6 — patients with typical symptoms of HUS, in the acute phase of intestinal infection (samples No. 2, 3, 19, 30, respectively; data on other samples are not presented)
Шестнадцать пациентов с ГУС (53,3%), у которых по данным ИБ были обнаружены антитела к субъединицам A или AB, также были положительными в ИФА. У 7 здоровых доноров (35%), у которых по данным ИБ были выявлены IgG к субъединицам А или AВ Stx2, были положительными и по данным ИФА. Сравнение данных оптической плотности, полученных в результате ИФА с сыворотками крови к Stx2А и Stx2В у пациентов с ГУС и здоровых доноров представлены на рис. 2.
Рисунок 2. Значения оптической плотности, отражающие наличие и уровень IgG к субъединицам Stx2 у больных с типичными симптомами ГУС, в острой фазе кишечной инфекции
Figure 2. Optical density values reflecting the presence and level of IgG to Stx2 subunits in patients with typical symptoms of HUS in the acute phase of intestinal infection
Примечание. Сравнение данных оптической плотности, полученных в результате ИФА с сыворотками крови к Stx2А (А) и Stx2В (Б) у пациентов с ГУС и здоровых доноров (контроль). Значения оптической плотности, представляющие уровень IgG против Stx2, показаны индивидуально и соответствуют средней ОП двух независимых анализов, выполненных в двух лунках. Горизонтальная линия (OП = 1,498) представляет пороговое значение, определенное с помощью кривой ошибок.
Note. Comparison of optical density data obtained as a result of ELISA with blood sera to Stx2A (A) and Stx2B (B) in patients with HUS and healthy donors (control). Optical density values representing anti-Stx2 IgG levels are shown individually and correspond to the average OD of two independent assays performed in two wells. The horizontal line (OP = 1.498) represents the threshold value determined using the error curve.
По данным ИФА у 60% пациентов с типичными симптомами ГУС, в острой фазе кишечной инфекции, были выявлены антитела к А-субъединице Stx2. Среди здоровых доноров антитела к Stx2 А-субъединице были обнаружены у 35% исследуемых, уровень оптической плотности не превышал значения 2,2. В группе больных показатели оптической плотности колебались в районе 2,3–3, то есть титры антител к Stx2 А-субъединице были выше. В 43,3% случаев у больных в сыворотке крови были выявлены титры к субъединице В Stx2 и только в 10% — у здоровых доноров с низким уровнем оптической плотности детектировались антитела к субъединице В Stx2. Среднее значение ОП было в группе больных составило 1,80 для Stx2А и 1,51 — для Stx2В, в группе контроля 1,091 для Stx2А и 0,65 для Stx2В.
Наличие антител к Stx снижают риск ГУС. Подтверждением того, что эти антитела к Stx играют роль в защитном иммунитете, основано на экспериментальных и клинических данных [9]. Ряд исследований выявили увеличение вероятности обнаружения антител к Stx у людей старшего возраста, которые устойчивы к ГУС-индуцирующим эшерихиозам [5, 9]. Кроме того, иммунизация лабораторных животных субъ единицей B Stx и слитыми белками индуцирует нейтрализующие антитела, которые защищают мышей от заражения E. coli O157:H7 или токсинов [7].
Несмотря на высокую частоту выявления антител IgG против Stx2 среди здоровых доноров в настоящем исследовании, мы заметили, что среднее значение оптической плотности, полученное с помощью ИФА, было выше у больных доноров. Наличие антител к Stx2 у некоторых здоровых доноров указывает на его недавний контакт с патогенными E. coli, но благодаря иммунологической памяти развития инфекционного процесса не произошло. Наличие антител IgG к Stx2, среди здоровых доноров может быть обусловлено предшествующей инфекцией других шигатоксин-продуцирующих патогенов [1]. Высокие титры антител (увеличение оптической плотности в ИФА) у больных отражают развитие инфекционного процесса и формирование защитного иммунного ответа.
Сравнение информативности ПЦР-анализа и бактериологического, а также иммунологичес ких исследований представлены в табл.
Таблица. Сравнение информативности методов исследований для подтверждения STEC-инфекции у пациентов с острой кишечной инфекцией (ОКИ) на стадии развития ГУС
Table. Comparison of the information content of research methods for confirming STEC infection in patients with acute intestinal infection (AIE) at the stage of HUS development
Примечание. — процент позитивных результатов; — процент отрицательных результатов.
Note. — percentage of positive results; — percentage of negative results.
Таким образом, мы провели микробиологические, иммунологические исследования и ПЦР-анализ клинического материала, выделенного от детей больных ОКИ с ГУС, для обнаружения шига-токсин продуцирующего штамма Escherichia coli, антител к Stx2 и/или генов stx2. В результате постановки ИБ и проведения ИФА были выявлены антитела IgG к Stx2 в сыворотках детей больных острой кишечной инфекцией с ГУС. В настоящем исследовании было показано, что у всех больных детей к 7–8 дню от начала заболевания выявлялись антитела IgG к субъединице А Stx2. Антитела сывороток пациентов с ГУС и доноров из контрольной группы реагировали преимущественно с субъединицей А Stx2. При этом было также обнаружено, что в сыворотке крови могут находиться антитела только к субъединице А Stx2 или к обеим субъединицам (А и В) Stx2 одновременно, но не было выявлено ни одной сыворотки в которой содержались бы только антитела к субъединице В Stx2. Это позволяет предположить более важную роль антител к субъединице А Stx2 в формировании протективного иммунитета против STEC-инфекций.
Между результатами ИБ и ИФА наблюдалась средняя корреляция (0,53) по шкале Чеддока. Иммуноблот является более чувствительной реакцией по сравнению с ИФА, однако наличие иммунной прослойки людей затрудняет постановку диагноза STEC-инфекции на основании данных ИБ.
ГУС формируется как осложнение острой кишечной инфекции и, как правило, к моменту поступления пациента в отделение интенсивной терапии уже ведется активное лечение антибиотиками. В связи с этим бактериологичес кие высев из клинического материала для получения чистой культуры патогена малоэффективен. То же самое относится к эффективности применения ПЦР-анализа для подтверждения STEC-инфекции, который также на 7–8 день от начала проявления острого кишечного заболевания становится малоинформативным. Для подтверждения диагноза STEC-инфекции, важно проводить комплексный анализ, в том числе с использованием иммунологических методов, которые могут способствовать выявлению причины заболевания при отсутствии бактерий и/или генов патогенных микроорганизмов в клиническом материале.
Заключение
Представлены результаты исследования клинических образцов на наличие маркеров STEC-штаммов. Иммунологические анализы, направленные на выявление специфических антител к Stx2, являются высокоинформативными для подтверждения диагноза у пациентов с острой кишечной инфекцией на стадии развития ГУС. Иммуноблот-анализ характеризовался более высокой чувствительностью для выявления антител к Stx2, однако в связи с наличием иммунологической прослойки среди здоровых людей предпочтительно использовать ИФА-анализ. У здоровых доноров при наличии антител к Stx2 титр антител был достоверно ниже, чем у больных.
Лабораторное подтверждение диагноза STEC-инфекции затруднено при проведении микробиологических и молекулярно-генетических исследований, что подтверждается в данной работе. Расширить эффективность лабораторной диагностики может постановка ИФА, направленного на выявление антител к Stx2А.
Авторы заявляют об отсутствии конфликта интересов.
About the authors
Maria A. Shkuratova
State Research Center for Applied Microbiology and Biotechnology, Rospotrebnadzor
Author for correspondence.
Email: shkuratova@obolensk.org
Junior Researcher, Laboratory of Molecular Biology
Russian Federation, 142279, Moscow Region, Serpukhov District, Obolensk, Territory "Quarter A", 24A. E. Khlyntseva
State Research Center for Applied Microbiology and Biotechnology, Rospotrebnadzor
Email: shkuratova@obolensk.org
PhD (Biology), Researcher, Laboratory of Molecular Biology
Russian Federation, 142279, Moscow Region, Serpukhov District, Obolensk, Territory "Quarter A", 24O. V. Kalmantaeva
State Research Center for Applied Microbiology and Biotechnology, Rospotrebnadzor
Email: shkuratova@obolensk.org
PhD (Biology), Researcher, Laboratory of Molecular Biology
Russian Federation, 142279, Moscow Region, Serpukhov District, Obolensk, Territory "Quarter A", 24N. N. Kartsev
State Research Center for Applied Microbiology and Biotechnology, Rospotrebnadzor
Email: shkuratova@obolensk.org
PhD (Medicine), Senior Researcher, Antimicrobial Agents Laboratory, Molecular Microbiology Department
Russian Federation, 142279, Moscow Region, Serpukhov District, Obolensk, Territory "Quarter A", 24A. L. Muzurov
Moscow Clinical Municipal Children Hospital St. Vladimir; Russian Medical Academy of Continuous Professional Education of the Ministry of Health
Email: shkuratova@obolensk.org
PhD (Medicine), Head of Department of Center of Gravitational Blood Surgery and Hemodialysis, Associate Professor, Department of Pediatric Anesthesiology, Critical Care Medicine and Toxicology
Russian Federation, Moscow; MoscowV. V. Firstova
State Research Center for Applied Microbiology and Biotechnology, Rospotrebnadzor
Email: shkuratova@obolensk.org
DSc (Biology), Head Researcher, Laboratory of Molecular Biology
Russian Federation, 142279, Moscow Region, Serpukhov District, Obolensk, Territory "Quarter A", 24References
- Малов В.А., Малеев В.В., Козловская Н.Л., Цветкова Н.А., Сметанина С.В., Горобченко А.Н., Серова В.В., Ченцов В.Б., Волков А.Г., Фаллер А.П. Трудности диагностики гемолитико-уремического синдрома, ассоциированного с диареей, у взрослых // Терапевтический архив. 2017. Т. 89, № 11. С. 69–78. [Malov V.A., Maleev V.V., Kozlovskaya N.L., Tsvetkova N.A., Smetanina S.V., Gorobchenko A.N., Serova V.V., Chentsov V.B., Volkov A.G., Faller A.P. Difficulties in the diagnosis of diarrhea-associated hemolytic uremic syndrome in adults. Terapevticheskii arkhiv = Therapeutic Archive, 2017, vol. 89, no. 11, pp. 69–78 (In Russ.)] doi: 10.17116/terarkh2017891169-78
- Шкуратова М.А., Марьин М.А., Рогозин М.М., Сурин А.К., Коломбет Л.В., Фирстова В.В. Получение и масс-спектрометрическая характеристика рекомбинантных субъединиц шига-токсинов первого и второго типов (Stx1 и Stx2) Escherichia сoli // Бактериология. 2021. Т. 6, № 4. С. 30–38. [Shkuratova M.A., Maryin M.A., Rogozin M.M., Surin A.K., Kolombet L.V., Firstova V.V. Preparation and mass-spectrometric characteristics of recombinant shiga-toxin units of the first and second types (Stx1 and Stx2) Escherichia coli. Bacteriologiya = Bacteriology, 2021. vol. 6, no. 4, pp. 30–38. (In Russ.)] doi: 10.20953/2500-1027-2021-4-30-38
- Эмирова Х.М., Толстова Е.М., Каган М.Ю., Орлова О.М., Абасеева Т.Ю., Панкратенко Т.Е., Шпикалова И.Ю. Гемолитико-уремический синдром, ассоциированный с шига-токсин-продуцирующей Escherichia coli // Нефрология. 2016. Т. 20, № 2. С. 18–32. [Emirova Kh., Tolstova E.M., Kagan O.M., Orlova M.Yu., Abaseeva T., Pancratenko T.E., Shpikalova I.Yu. Hemolytic uremic syndrome associated with shiga-toxin-producing Esherichia coli. Nefrologiya = Nephrology (Saint-Petersburg), 2016, vol. 20, no. 2, pp. 18–32. (In Russ.)]
- Ariceta G. Hemolytic uremic syndrome. Curr. Treat. Options Pediatr., 2020, vol. 6, no. 4, pp. 252–262. doi: 10.1007/s40746-020-00216-1
- Barrett T.J., Green J.H., Griffin P.M., Pavia A.T., Ostroff S.M., Wachsmuth L.K. Enzyme linked immunosorbent assays for detecting antibodies to Shiga-like toxin I, Shiga-like toxin II, and Escherichia coli O157:H7 lipopolysaccharide in human serum. Curr. Microbiol., 1991, vol. 23, pp. 189–195. doi: 10.1007/BF02092278
- Bruyand M., Mariani-Kurkdjian P., Le Hello S., King L.A., Van Cauteren D., Lefevre S., Gouali M., Jourdan-da Silva N., Mailles A., Donguy M.P., Loukiadis E., Sergentet-Thevenot D., Loirat C., Bonacorsi S., Weill F.X., De Valk H.; Réseau Français Hospitalier de Surveillance du Shu Pédiatrique. Paediatric haemolytic uraemic syndrome related to Shiga toxin-producing Escherichia coli, an overview of 10 years of surveillance in France, 2007 to 2016. Euro Surveill., 2019, vol. 24, no. 8: 1800068. doi: 10.2807/1560-7917.ES.2019.24.8.1800068
- Cai K., Gao X., Li T., Wang Q., Hou X., Tu W., Xiao L., Tian M., Liu Y., Wang H. Enhanced immunogenicity of a novel Stx2Am-Stx1B fusion protein in a mice model of enterohemorrhagic Escherichia coli O157:H7 infection. Vaccine, 2010, vol. 29, no. 5, pp. 946–952. doi: 10.1016/j.vaccine.2010.11.035
- Joseph A., Cointe A., Mariani Kurkdjian P., Rafat C., Hertig A. Shiga Toxin-Associated Hemolytic Uremic Syndrome: A Narrative Review. Toxins (Basel), 2020, vol. 12, no. 2, pp. 67. doi: 10.3390/toxins12020067
- Karmali M.A., Mascarenhas M., Petric M., Dutil L., Rahn K., Ludwig K., Arbus G.S., Michel P., Sherman P.M., Wilson J., Johnson R., Kaper J.B. Age-specific frequencies of antibodies to Escherichia coli verocytotoxins (Shiga toxins) 1 and 2 among urban and rural populations in southern Ontario. J. Infect. Dis., 2003, vol. 188, no. 11, pp. 1724–1729. doi: 10.10⁸6/379726
- Majowicz S.E., Scallan E., Jones-Bitton A., Sargeant J.M., Stapleton J., Angulo F.J., Yeung D.H., Kirk M.D. Global incidence of human Shiga toxin-producing Escherichia coli infections and deaths: a systematic review and knowledge synthesis. Foodborne Pathog. Dis., 2014, vol. 11, no. 6, pp. 447–455. doi: 10.10⁸9/fpd.2013.1704
- O’Brien A.D., Tesh V.L., Donohue-Rolfe A., Jackson M.P., Olsnes S., Sandvig K., Lindberg A.A., Keusch G.T. Shiga toxin: biochemistry, genetics, mode of action, and role in pathogenesis. Curr. Top. Microbiol. Immunol., 1992, vol. 180, pp. 65–94 doi: 10.1007/978-3-642-77238-2_4
Supplementary files
















