Preparation of monoclonal antibodies for detection of recombinant flagellin C from Pseudomonas Aeruginosa
- Authors: Zherebtsov A.P.1, Yakovleva I.V.1, Gavrilova N.F.1, Mikhailova N.A.1
-
Affiliations:
- I. Mechnikov Research Institute of Vaccines and Sera
- Issue: Vol 14, No 3 (2024)
- Pages: 551-556
- Section: SHORT COMMUNICATIONS
- Submitted: 26.07.2024
- Accepted: 26.07.2024
- Published: 28.07.2024
- URL: https://iimmun.ru/iimm/article/view/17735
- DOI: https://doi.org/10.15789/2220-7619-POM-16865
- ID: 17735
Cite item
Full Text
Abstract
An important virulence factor in the pathogenesis of infections caused by Pseudomonas aeruginosa is flagellin: it serves as the main structural component of the bacterial flagellum and an acceptor for the TLR5 receptor of the innate immune system. Toll-like receptor 5 is able to bind bacterial flagellin and activate the anti-inflammatory transcription factor NF-kB through the adapter protein MyD88, which induces the production of anti-inflammatory cytokines. The inclusion of flagellin in recombinant proteins increased the ability to stimulate the production of anti-inflammatory cytokines and activate antigen-presenting cells. A number of experiments have shown that the use of flagellin as a molecular adjuvant in vaccines increases the expression of CD80, CD83, CD86 and MHC II molecules on the surface of dendritic cells, and also leads to an increase in the secretion of IFNγ and α-defensins by dendritic and NK cells; T cell proliferation and activation of antigen-specific cytotoxic T lymphocytes, as well as increased induction of antigen-specific IgG and IgA antibodies. Due to the natural and acquired resistance of P. aeruginosa to antibiotics, the available choice of antipseudomonas drugs is decreasing, and therefore the problem of developing effective therapeutic drugs to protect against this infection is of high medical and social importance. For this purpose, it seems promising to study the immunobiological properties of P. aeruginosa flagellin as a possible vaccine component. Based on this, in the Laboratory of Protective Antigens of the I. Mechnikov Research Institute of Vaccines and Sera, recombinant flagellin C (FliC) of P. aeruginosa was obtained, and its immunogenicity and protective properties were proven. However, the question of standardizing methods for screening and monitoring the resulting recombinant FliC protein remains open. To solve this issue, hybridomas producing monoclonal antibodies (mAb) of a given specificity were obtained, the basic immunochemical properties of mAbs were studied, and the possibility of using them as reagents in constructing a test system for identifying and standardizing the recombinant FliC protein upon its production was assessed. Purpose of the work: to obtain monoclonal antibodies to the recombinant flagellin C protein of P. aeruginosa; to study their basic immunochemical properties and to evaluate the possibility of using the recombinant FliC protein for screening and control.
Full Text
Введение
Pseudomonas aeruginosa является одним из наиболее распространенных источников внутрибольничных инфекций и может вызывать серьезные заболевания у пациентов с ослабленным иммунитетом, такие как вентилятор-ассоциированная пневмония (ВАП) и первичные инфекции кровотока [13]. Синегнойная палочка в высоком проценте случаев является причиной внутрибольничных пневмоний, первичных бактериемий, инфекций мочеполовой системы, гнойных послеоперационных и ожоговых инфекций. Данные заболевания сопровождаются тяжелыми осложнениями и связаны с высокой летальностью [8].
Важным фактором вирулентности в патогенезе инфекций, вызванных P. aeruginosa, является флагеллин: он служит главным структурным компонентом жгутика бактерии и акцептором для TLR5 рецептора врожденной иммунной системы [11]. Толл-подобный рецептор 5 связывает флагеллин бактерий и активирует противовоспалительный фактор транскрипции NF-kB через адаптерный белок MyD88, который вызывает продукцию противовоспалительных цитокинов. Из-за способности вызывать иммунные реакции флагеллины играют роль адъювантов при разработке вакцин [3, 6, 9]. Показано, что введение флагеллина S. typhimurium мышам оказывает защитный эффект в отношении токсических воздействий бактерий, вирусов и радиаций [10], свойства же флагеллина С P. aeruginosa остаются до конца не изученными.
Разработанная Жоржем Келлером и Цезарем Мильштейном технология получения гибридом, продуцирующих моноклональные антитела заданной специфичности, открыла новые пути в методах иммунологических исследований [1]. Клеточные гибриды на основе клеток миеломы и антителопродуцируюцих лимфоцитов мышей линии BALB/c используются для получения моноклоналыных антител к различным антигенам, включая антигены вирусов, бактерий, паразитов, клеток крови, а также к различным классам иммуноглобулинов. Гибридомы являются стабильным продуцентом антител строго определенной специфичности, одного изотипа, направленных к одному эпитопу антигена. В связи с этим к антигену с несколькими эпитопами можно получить столько МКА, сколько имеется антигенных детерминант, и в дальнейшем отобрать клоны лимфоцитов, которые будут продуцировать антитела нужной специфичности.
В литературе имеются данные о получении моноклональных антител к флагеллину P. aeruginosa. Мышиные моноклональные антитела к флагеллину синегнойной палочки способны заметно повышать выживаемость мышей, инфицированных P. aeruginosa, в экспериментальной модели ожоговой инфекции [7]. Также широко известно применение моноклональных антител в диагностических целях. Применение моноклональных антител для выявления рекомбинантного флагеллина С P. aeruginosa позволит разработать методы контроля и стандартизации препаратов для защиты от синегнойной инфекции.
Целью настоящей работы явилось получение моноклональных антител к флагеллину С P. aeruginosa, изучение их иммунохимических свойств и оценка возможности их использования в качестве реагентов при конструировании тест-системы для выявления и стандартизации рекомбинантного белка FliC при его получении.
Материалы и методы
В работе использованы традиционные методы гибридомной технологии, иммунохимические, биохимические и микробиологические методы исследования.
Для получения иммунных спленоцитов использовали самок мышей линии BALB/c массой 15–18 г. Мышей получали из питомника «Филиал Андреевка ФГБУН НЦБМТ ФМБА России», Московской области. Животных выводили из эксперимента под эфирным наркозом. Протокол исследования с использованием лабораторных животных был одобрен Локальным советом по Этике при ФГБНУ НИИВС им. И.И. Мечникова (протокол Учреждения № 7 от 29.09.2022).
Для получения рекомбинантного флагеллина С P. aeruginosa последовательность гена fliC была встроена в плазмидный вектор pQE-30 под контроль регуляторных участков для экспрессии в клетках Escherichia coli штамма М15 (Qiagen). Отбор клонов проводили при помощи рестриктного анализа и секвенирования. В результате культивирования штамма-продуцента с экспрессией гена fliC, индукция которой осуществлялась добавлением изопропил-β-D-1-тиогалактопиранозида, происходил синтез рекомбинантного белка FliC с молекулярной массой 40,7 kDa, что соответствовало расчетным данным [4].
Очистку рекомбинантного флагеллина С P. aeruginosa проводили в несколько этапов: выделение телец включения и их последующее растворение в буферных растворах, содержащих мочевину и гуанидин гидрохлорид, и дальнейший диализ против 50 мМ Tris-HCl, pH 9,0 [5].
Схема иммунизации мышей включала в себя трехкратное внутрибрюшинное введение рекомбинантного FliC в дозе 50 мкг на мышь с двухнедельными интервалами. Последнюю иммунизацию проводили за 3 дня до гибридизации.
В качестве злокачественного партнера для гибридизации использовали клетки линии Р3 Х63 Ag8.653, дефектную по активности фермента ГГФРТ–, и, вследствие этого, не растущую на среде, содержащей гипоксантин, аминоптерин, тимидин (НАТ). Миеломные и гибридные клетки культивировали в среде RPMI-1640 (ПанЭко, Россия), содержащей 10% эмбриональной телячьей сыворотки (HyClone, США); селекцию гибридом проводили на среде с добавлением НАТ и переходной к обычной среде НТ. В качестве фидера в опыте и при клонировании культур использовали клетки перитонеального смыва мышей. Культивирование проводили в СО2-инкубаторе (Sanyo, Япония) в атмосфере 5% СО2 при 37°С.
Гибридизацию клеток, последующее культивирование, первичный скрининг, массовое культивирование гибридом-продуцентов in vitro, криоконсервацию клеток, а также очистку МКА с помощью насыщенного раствора сульфата аммония проводили принятыми в лаборатории методами [2].
Контроль роста гибридных культур осуществляли визуально при помощи инвертированного микроскопа (Leitz, Германия). Антитела-продуцирующие гибридомы отбирали по результатам непрямого твердофазного иммуноферментного анализа (ИФА), проводимого на планшетах фирмы Costar Medium (США) в соответствии с общепринятыми принципами. Планшеты сенсибилизировали рекомбинантным FliC в концентрации 10 мкг/мл 0,05 М карбонатно-бикарбонатного буфера рН 9,6 в течение ночи при 4°С. После каждого этапа планшеты трехкратно отмывали от непрореагировавших компонентов раствором 0,15 М фосфатно-солевого буфера рН 7,2, содержащего 0,05% твин-20 (ФСБ-твин). После инкубации планшетов с образцами исследуемых МКА в течение часа при 37°С в лунки планшетов вносили конъюгат антител кролика к иммуноглобулинам мыши с пероксидазой в рекомендуемом разведении 1:5000 (ИМТЕК, Россия) в ФСБ-твин и также инкубировали в течение часа при 37°С. Реакцию проявляли однокомпонентным раствором тетраметилбензидина (Amresco, США). Отрицательным контролем служила среда культивирования не секретирующей иммуноглобулины линии клеток NP. В качестве положительного контроля использовали сыворотку крови взятой в опыт имммунизированной мыши.
Через 10 минут реакцию останавливали 0,5 М раствором серной кислоты. Результаты реакции оценивали по оптической плотности на спектрофотометре Thermo Fisher Scientific Multiskan FC (США) при длине волны 450 нм.
При первичном скрининге в ИФА образцы супернатантов культур тестировали в разведении 1:5. Культуры для последующей работы отбирали по значениям оптической плотности, равным или превышающим 1,0 ед. Для определения активности антителопродукции отобранных данным образом культур образцы супернатантов титровали двукратным шагом по горизонтальному ряду планшета, начиная с 1:10. За титр антител принимали предельное разведение образца, оптическая плотность которого в лунке планшета превышала значение ОП отрицательного контроля на 0,1 ед.
Для последующих исследований отбирались наиболее активные (титр антител не ниже 1:640) и стабильные (сохранение антителопродукции на всем сроке культивирования) продуценты.
Клонирование гибридом проводили методом предельных разведений в возможно ранние сроки для стабилизации свойства антитело образования. Все гибридные культуры, продуцирующие специфические антитела, подлежали криоконсервированию.
Гибридомы-продуценты моноклональных антител культивировали in vitro. По мере роста в питательной среде культуры пересевали с меньших объемов на большие. Во время всего процесса культивирования отбирали пробы на тестирование с целью определения стабильности антителопродукции.
Изучение иммунохимических свойств МКА проводили с использованием препаратов очищенных антител — γ-глобулиновых фракций, полученных из среды культивирования гиб ридом-продуцентов путем осаждения насыщенным раствором сульфата аммония. Концентрацию белка в препаратах глобулиновых фракций МКА определяли на спектрофотометре (Genesis, CША) при 260–280 нм.
Определение изотипа МКА проводили методом ИФА. В качестве вторичных антител использовали меченые пероксидазой хрена козьи антитела к IgA, IgM, IgG, IgG1, IgG2a, IgG2b, Ig3 мыши (Thermo Fisher Sc., США) в предложенных разведениях.
Изучение специфичности полученных МКА к рекомбинантному FliC проводили методом иммуноблоттинга. Электрофоретическое разделение рекомбинантного FliC осуществляли в тонком слое 10% полиакриламидного геля в присутствии додецилсульфата натрия по методу Лэммли (1970) [12]. После переноса белка на нитроцеллюлозную мембрану проводили иммуноблоттинг с полученными моноклональными антителами к рекомбинантному FliC.
Для установления специфической направленности МКА к одному или разным эпитопам рекомбинантного FliC был применен ИФА, при котором в лунки с сорбированным на твердой фазе антигеном вносили на 1 час одни антитела в насыщающей концентрации, а после отмывки планшета — другие. Контролем служили лунки с внесенными антителами одного клона. Подбор условий для проведения данного варианта ИФА проводили, применяя метод шахматного титрования антигена и антител, направленного на определение минимальной концентрации антигена на твердой фазе и максимальной концентрации антител, специфически перекрывающих антигенные детерминанты. Оценку оптической плотности выполняли на спектрофотометре Thermo Fisher Scientific Multiskan FC (США) при длине волны 450 нм. Увеличение оптической плотности в лунках, содержащих смесь МКА, по отношению к контролю свидетельствовало о направленности МКА к разным эпитопам антигена.
Результаты и обсуждение
Для получения первичных гибридных культур мышей линии BALB/c иммунизировали рекомбинантным белком FliC P. aeruginosa. Оптимальная схема иммунизации включала в себя трехкратное внутрибрюшинное введение препарата в дозе 50 мкг в 0,5 мл физиологического раствора на мышь с двухнедельным интервалом, при этом титр специфических антител in vivo в ИФА составлял 1:512 000 — 1:1 024 000.
В результате гибридизации иммунных спленоцитов мышей и клеток миеломы по итогам первичного тестирования из 288 засеянных лунок были отобраны 32 культуры с наиболее высокими титрами антител (1:640–1:2560) к рекомбинантному белку FliC P. aeruginosa. При дальнейшем культивировании часть культур утратила способность к продукции антител, часть не отличалась устойчивой пролиферацией; такие культуры были выведены из эксперимента. На основании данных последующих тестирований и наблюдения за ростом культур для наработки МКА в препаративных количествах и дальнейшего исследования их иммунохимических свойств были отобраны три наиболее активных и стабильных антителопродуцента к рекомбинантному FliC P. aeruginosa: МКА-1, МКА-2 и МКА-3. Титр антител в ИФА составлял не менее 1:1280 на протяжении всего процесса культивирования гибридом.
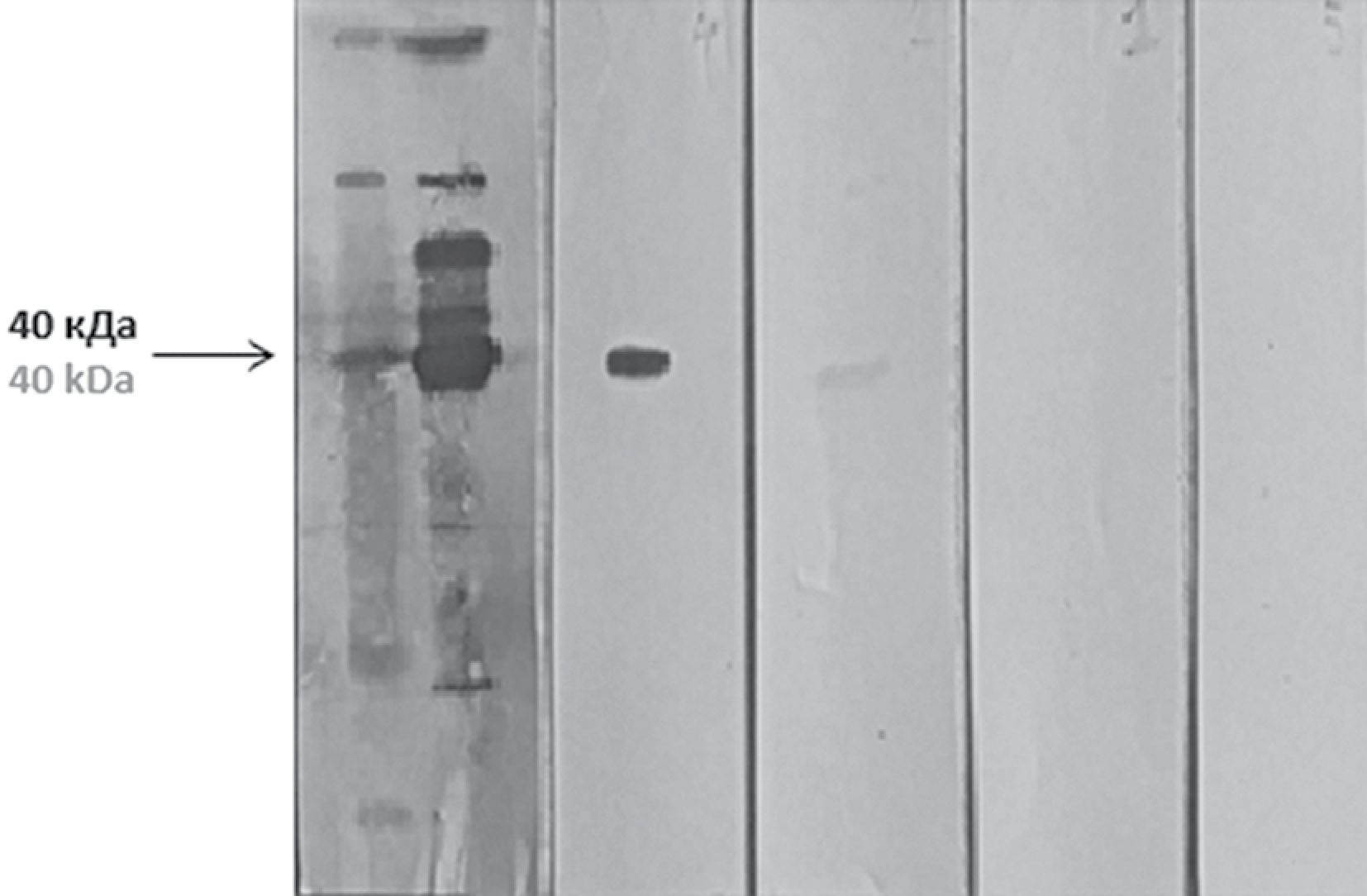
Рисунок 1. Исследование специфичности полученных МКА в иммуноблоттинге
Figure 1. Study of the specificity of the obtained mAbs in immunoblotting
Изучение иммунохимических свойств МКА проводили с использованием γ-глобулиновых фракций, полученных из среды культивирования гибридом-продуцентов.
При определении изотипов продуцируемых гибридомами МКА установлено, что МКА-1 относятся к подклассу IgG1, а МКА-2 и МКА-3 — к подклассу IgG2b мыши.
Исследование взаимодействия полученных МКА с рекомбинантным FlicC в иммуноблоттинге показало, что МКА-1 (трек 3) и МКА-2 (трек 4) с абсолютной специфичностью взаимодействовали с рекомбинантным FliC. МКА-3 (трек 5) не выявлял FliC в данном типе анализа, что, возможно, связанно с конформационными особенностями антигена (рис. 1). В качестве положительного контроля использовали сыворотку мышей, иммунизированных рекомбинантным FliC (трек 2), а в качестве отрицательного контроля — МКА к белку F наружной мембраны (OprF) P. aeruginosa (трек 6).
При установлении эпитопной направленности МКА в ИФА было продемонстрировано увеличение сигнала оптической плотности в лунках, где представлены оба варианта антител по сравнению с пробами, представленными одними антителами (рис. 2).
Отсутствие конкуренции между антителами за места связывания свидетельствовало о направленности МКА к пространственно удаленным эпитопам рекомбинантного белка FliC.
Рисунок 2. Определение эпитопной направленности полученных МКА
Figure 2. Determination of the epitope targeting of the obtained mAbs
Примечание. Треки: 1 — белковый маркер (молекулярные массы фрагментов маркера: 20, 30, 40, 50, 60, 70 kDa), 2 — сыворотка мышей иммунизированных рекомбинантным FliC, 3 — МКА-1, 4 — МКА-2, 5 — МКА-3, 6 — МКА к белку F наружной мембраны (OprF) P. aeruginosa.
Note. Track: 1 — protein marker (molecular masses of marker fragments: 20, 30, 40, 50, 60, 70 kDA), 2 — serum of mice immunized with recombinant FliC, 3 — mAb-1, 4 — mAb-2, 5 — mAb-3, 6 — mAb to the outer membrane protein F (OprF) of P. aeruginosa.
Определение сорбционных свойств МКА в прямом варианте ИФА при разных условиях (0,05 М карбонатно-бикарбонатный буфер рН 9,6 и 0,15 М фосфатно-солевой буфер рН 7,2) выявило высокую сорбционную активность МКА-2 независимо от состава буферного раствора и значений рН; МКА-1 и МКА-3 не связывались с твердой фазой при данных условиях. Полученные результаты свидетельствуют о возможности использования МКА-2 в качестве распознающих, а МКА-1 и МКА-3 в качестве детектирующих антител при конструировании сэндвич-варианта ИФА для выявления рекомбинантного белка FliC.
Заключение
В ходе экспериментов получено 3 штамма гибридом, продуцирующих моноклональные антитела к разным антигенным детерминантам рекомбинантного белка FliC. Проведена наработка необходимых для проведения дальнейших исследований препаративных количеств моноклональных антител и изучены их основные иммунохимические свойства; показана возможность использования полученной панели МКА в качестве реагентов при конструировании тест-системы для выявления и контроля рекомбинантного белка FliC.
About the authors
Anton P. Zherebtsov
I. Mechnikov Research Institute of Vaccines and Sera
Author for correspondence.
Email: antonzherebtsov@yandex.ru
Researcher, Laboratory of the Protective Antigens
Russian Federation, 105064, Moscow, Maly Kazenny lane, 5aI. V. Yakovleva
I. Mechnikov Research Institute of Vaccines and Sera
Email: antonzherebtsov@yandex.ru
PhD (Biology), Leading Researcher, Laboratory of Therapeutic Vaccines
Russian Federation, 105064, Moscow, Maly Kazenny lane, 5aN. F. Gavrilova
I. Mechnikov Research Institute of Vaccines and Sera
Email: antonzherebtsov@yandex.ru
PhD (Biology), Senior Researcher, Laboratory of Therapeutic Vaccines
Russian Federation, 105064, Moscow, Maly Kazenny lane, 5aN. A. Mikhailova
I. Mechnikov Research Institute of Vaccines and Sera
Email: antonzherebtsov@yandex.ru
DSc (Medicine), Professor, Head of the Laboratory of the Protective Antigens
Russian Federation, 105064, Moscow, Maly Kazenny lane, 5aReferences
- Бурчанов Ю.И. Моноклональные антитела: от создания до клинического применения // Клиническая онкогемато логия, фундаментальные исследования и клиническая практика. 2016. Т. 9, № 3. С. 237–244. [Burchanov Yu.I. Monoclonal antibodies: from creation to clinical use. Klinicheskaya onkogematologiya, fundamental’nye issledovaniya i klinicheskaya praktika = Clinical Oncohematology, Fundamental Research and Clinical Practice, 2016, vol. 9, no. 3, pp. 237–244. (In Russ.)] doi: 10.21320/2500-2139-2016-9-3-237-244
- Волкова Н.П. Физико-химические свойства белков и методы их выделения / Биохимия: учебник; под ред. Е.С. Северина. 5-е изд., испр. и доп. М.: ГЭОТАР-Медиа, 2019. С. 66–72. [Volkova N.P. Physico-chemical properties of proteins and methods of their isolation. In: Biochemistry: textbook. 5th ed. Moscow: GEOTAR-Media, 2019, pp. 66–72. (In Russ.)]
- Духовлинов И.В., Богомолова Е.Г., Федорова Е.А., Симбирцев А.С. Исследование протективной активности кандидатной вакцины против ротавирусной инфекции на основе рекомбинантного белка FliCVP6VP8 // Медицинская иммунология. 2016. Т. 18, № 5. С. 417–424. [Dukhovlinov I.V., Bogomolova E.G., Fedorova E.A., Simbirtsev A.S. Protective activity study of a candidate vaccine against rotavirus infection based on recombinant protein FliCVP6VP8. Meditsinskaya Immunologiya = Medical Immunology (Russia), 2016, vol. 18, no. 5, pp. 417–424. (In Russ.)] doi: 10.15789/1563-0625-2016-5-417-424
- Жеребцов А.П., Калошин А.А., Михайлова Н.А. Получение рекомбинантного флагеллина C Pseudomonas aeruginosa и изучение его иммунобиологических свойств // БИОпрепараты. Профилактика, диагностика, лечение. 2024. Т. 24, № 1. С. 91–102. [Zherebtsov A.P., Kaloshin A.A., Mikhailova N.A. Production and immunological characterisation of recombinant flagellin C of Pseudomonas aeruginosa. Biopreparaty. Profilaktika, diagnostika, lechenie = Biopreparations. Prevention, Diagnosis, Treatment, 2024, vol. 24, no. 1, pp. 91–102. (In Russ.)] doi: 10.30895/2221-996X-2024-24-1-91-102
- Патент № 2793753 Российская Федерация, МПК C12N 1/21 (2006.01), C12N 15/31 (2006.01), C12N 15/70 (2006.01). Рекомбинантная плазмидная ДНК pPA-FlicC, кодирующая синтез рекомбинантного флагеллина-С Pseudomonas aeruginosa, штамм Escherichia coli PA-FlicC — продуцент гибридного рекомбинантного белка и способ получения указанного белка: № 2022123813; заявлено 07.09.2022: опубликовано 05.04.2023 / Калошин А.А., Жеребцов А.П., Михайлова Н.А. Патентообладатель: ФГБНУ НИИВС им. И.И. Мечникова. 18 с. [Patent No. 2793753 Russian Federation, Int. Cl. C12N 1/21 (2006.01), C12N 15/31 (2006.01), C12N 15/70 (2006.01). Recombinant plasmid DNA pPA-FlicCencoding synthesis ofrecombinant flagellinc pseudomonas aeruginosa, strain Escherichia coli PA-FlicC — producer of the hybrid recombinant protein and a method for producing said protein. No. 2022123813; application: 07.09.2022: date of publication 05.04.2023 / Kaloshin A.A., Zherebtsov A.P., Mikhailova N.A. Proprietors: Federalnoe gosudarstvennoe byudzhetnoe nauchnoe uchrezhdenie «Nauchno-issledovatelskij institut vaktsin i syvorotok im. I.I. Mechnikova» (FGBNU NIIVS im. I.I. Mechnikova). 18 p.]
- Софронов Г.А., Мурзина Е.В., Болехан В.Н., Веселова О.М., Симбирцев А.С. Перспективные направления использования препаратов на основе рекомбинантного флагеллина // Медицинский академический журнал. 2017. Т. 17, № 2. C. 7–20. [Sofronov G.A., Murzina E.V., Bolekhan V.N., Veselova O.M., Simbirtsev A.S. Perspective direction of using flagellin based drugs. Meditsinskii akademicheskii zhurnal = Medical Academic Journal, 2017, vol. 17, no. 2, pp. 7–20. (In Russ.)] doi: 10.17816/MAJ1727-20
- Barnea Y., Carmeli Y., Neville L.F., Kahel-Reifer H., Eren R., Dagan S., Navon-Venezia S. Therapy with anti-flagellin A monoclonal antibody limits Pseudomonas aeruginosa invasiveness in a mouse burn wound sepsis model. Burns, 2009, vol. 35, no. 3, pp. 390–396. doi: 10.1016/j.burns.2008.08.014
- Chiang H.-Y., Chen T.-C., Lin C.-C., Ho L.-C., Kuo C.-C., Chi C.-Y. Trend and predictors of short-term mortality of adult bacteremia at emergency departments: a 14-year cohort study of 14625 patients. Open Forum Infect. Dis., 2021, vol. 8, no. 11: ofab485. doi: 10.1093/ofid/ofab485
- Cui B., Liu X., Fang Y., Zhou P., Zhang Y., Wang Y. Flagellin as a vaccine adjuvant. Expert Rev. Vaccines, 2018, vol. 17, no. 4, pp. 335–349. doi: 10.10⁸0/14760584.2018.1457443
- Felgner S., Spöring I. The immunogenic potential of bacterial flagella for Salmonella-mediated tumor therapy. Int. J. Cancer, 2020, vol. 147, no. 2, pp. 448–460. doi: 10.1002/ijc.32807
- Hajam I.A., Dar P.A., Shahnawaz I., Jaume J.C., Lee J.H. Bacterial flagellin-a potent immunomodulatory agent. Exp. Mol. Med., 2017, vol. 49, no. 9: e373. doi: 10.1038/emm.2017.172
- Laemmli U.K. Cleavage of structural proteins during the assembly of head of bacteriophage T4. Nature, 1970, vol. 227, pp. 680–685. doi: 10.1038/227680a0
- Spagnolo A.M., Sartini M., Cristina M.L. Pseudomonas aeruginosa in the healthcare facility setting. Rev. Med. Microbiol., 2021, vol. 32, no. 3, pp. 169–175. doi: 10.1097/MRM.0000000000000271





