Comparative morphological characteristics for stable and progressive pulmonary tuberculoma
- Authors: Gimaldinova N.E.1, Lyubovtseva L.A.1, Sergeev A.V.1,2
-
Affiliations:
- Chuvash State University named after I.N. Ulyanov
- Republican Bureau of Forensic Medical Examination of the Ministry of Health of Chuvashia
- Issue: Vol 15, No 1 (2025)
- Pages: 143-151
- Section: ORIGINAL ARTICLES
- Submitted: 11.04.2024
- Accepted: 13.08.2024
- Published: 30.04.2025
- URL: https://iimmun.ru/iimm/article/view/17638
- DOI: https://doi.org/10.15789/2220-7619-CMC-17638
- ID: 17638
Cite item
Full Text
Abstract
The objective of the study was to identify a leading link in local and lung neuroendocrine immune during tuberculoma. Materials and methods. 60 cases of stable and progressive tuberculoma were studied. The study was conducted in 2 anatomical zones: tuberculoma capsule and adjacent areas. A comparison (apparently healthy) group contained resected samples of the upper lobes in the right lung collected from 10 men died in an accident lacking tuberculosis over lifespan. An immunohistochemistry with monoclonal antibodies against CD8 and CD4 markers was used to assess local immune response. Lung catecholamine level was analyzed by the Falk–Hillarp luminescent histochemical method. Results. When assessing localized lung expression of the studied markers in “apparently healthy” group, the number of CD4+ and CD8+ cells was observed mainly in the interstitial space: the former prevailed over the latter. In stable tuberculoma, higher lymphocyte number in the capsule was revealed that dominated by T-killers vs T-helpers. In the perifocal zone of stable tuberculoma vs apparently healthy group, the number of immune cells decreased, but at the same time zones where CD4+ lymphocytes form contacts with interstitial macrophages were detected. In the capsule of progressive tuberculoma, the number of CD4+ and CD8+ cells increased, containing more T-killers than T-helpers. In the perifocal zone, there is a decrease in CD4+ T lymphocyte number paralleled with increase in CD8+ cells. The number of intraalveolar and interstitial macrophages sometimes contacting CD4+ lymphocytes increases. Cytotoxic lymphocytes concentrate around blood vessels. When studying catecholamine level, it was found to increase in mast cells in all studied areas during stable and progressive tuberculoma. In macrophages, the catecholamine level decreases in stable disease, and increases sharply in progressive progressive course. Conclusion. The regulation of the phases of tuberculous inflammation course is carried out by various cellular interactions, depends on mycobacteria load in lung tissue and macrophage catecholamine level.
Full Text
Введение
Как известно, туберкулез до сих пор является заболеванием, требующим особого подхода к лечению [11]. Туберкулема — это одна из клинических форм вторичного туберкулеза, которая представляет собой продуктивный очаг казеозного некроза, диаметром более 1 см, ограниченный от окружающей легочной ткани соединительнотканной капсулой. Из литературных данных известно, что большинство туберкулем легкого образуются в результате эволюции таких форм туберкулеза, как инфильтративная, очаговая, диссеминированная, кавернозная [8]. Но иногда она может формироваться из первичного туберкулезного комплекса. Несмотря на то что основные вопросы патогенеза, клиники и диагностики туберкулем на сегодняшний день изучены довольно подробно, в последнее время отмечается рост показателей заболеваемости данной формой туберкулеза. Так, по статистике от общего числа больных туберкулезом органов дыхания пациенты с туберкулемами составляют до 10%. Являясь формой хронического специфического воспаления, туберкулемы в своем развитии могут иметь как стадии прогрессирования, так и заживления. В морфологическом аспекте различают два пути прогрессирования этой формы туберкулеза. К первому относится перифокальное обострение в виде аппозиционного роста, развитие дочерних бронхолобулярных очагов у границ казеозного некроза в результате лимфогенного, лимфобронхогенного, бронхогенного попадания инфекции в легочную дольку. Второй и основной путь прогрессирования туберкулем, помимо перифокальной вспышки, — это размягчение, расплавление казеоза с кавернизацией и истинная бронхогенная диссеминация. Активность специфического процесса в туберкулемах можно определить по интерпретации состояния ее капсулы, которая имеет два слоя: наружный, состоящий из коллагеновых волокон, и внутренний, образованный грануляционной тканью с макрофагами, эпителиоидными клетками и клетками Пирогова–Лангханса [2]. Если преобладает наружный слой, образованный из компактно уложенных коллагеновых волокон, скудно инфильтрированных лимфоцитами, на фоне уменьшения грануляционного слоя или даже с его полным исчезновением в туберкулемах без деструкции казеоза, можно говорить о заживлении инфекционного процесса. Однако преобладание грануляционного слоя в капсуле, отсутствие волокон коллагена либо их хаотичное расположение на фоне выраженной лимфоидной инфильтрации свидетельствует о высокой активности туберкулеза и возможности дальнейшего прогрессирования заболевания [7, 9].
Процессы заживления несомненно связаны с состоянием иммунной и нейроэндокринной систем организма. Механизмы иммунологической защиты легких обеспечиваются несколькими различными типами иммунокомпетентных клеток. Среди них наиболее важными являются лимфоциты, альвеолярные макрофаги и нейтрофилы [10, 13]. На мембранах иммунокомпетентных клеток присутствуют дофаминовые и адренорецепторы, посредством которых нейротрансмиттеры, например, катехоламины (КА), участвуют в регуляции иммунных реакций, воздействуя на пролиферацию и дифференцировку лимфоцитов и макрофагов, изменяют их реактивность, а также модулируют продукцию лимфокинов и цитокинов [1]. Однако данные, представленные в литературе, до сих пор достаточно противоречивы, так как действие моноаминов (КА) зависит от их концентрации в момент восприятия антигенной информации.
Таким образом, изучение клеточного состава в капсуле туберкулемы и участках легкого без признаков специфического воспаления с целью определения ведущего звена реагирования местной иммунной и нейроэндокринной систем является актуальной проблемой для прогнозтрования течения и курабельности болезни. В связи с этим целью данного исследования стало определение ведущего звена реагирования местной иммунной и нейроэндокринной систем в аутопсийном материале легких, пораженных туберкулемой. Задачами исследования были:
- Определение локализации, числа и соотношения CD4 и CD8 в структурах туберкулем.
- Выявление локализации и содержания моноаминов в структурах разных видов туберкулем.
- Выявление предполагаемой корреляционной связи между численностью иммунокомпетентных клеток и содержанием моноаминов при стабильном и прогрессирующем течении туберкулем.
Материалы и методы
Исследование проведено на базе БУ «Бюро судебно-медицинской экспертизы» Минздрава ЧР. Изучали аутопсийный материал верхних долей правого легкого, взятый у 60 мужчин, больных туберкулемой со стабильным (30 случаев) и прогрессирующим (30 случаев) течением. Отбор случаев осуществлялся на основе изучения сопроводительной медицинской документации с целью определения локализации, степени выраженности и активности туберкулезного процесса, анализа заключений рентгенологического исследования органов грудной клетки, а также результатов бактериологического исследования мокроты. Исследование проводили в 2 зонах: капсуле туберкулемы и прилежащих к ней областях. Группой сравнения служили резецированные участки верхних долей правого легкого, взятые у 10 мужчин, погибших в ДТП, не болевших туберкулезом. Это группа была названа «условно здоровые».
Исследование проведено согласно нормативно-правовым документам (Федеральный закон № 323 от 21.11.2011 г. «Об основах охраны здоровья граждан в РФ») и одобрено Этическим комитетом медицинского факультета Чувашского государственного университета имени И.Н. Ульянова (протокол № 3/4 от 31.01.17).
Методы исследования:
- Общая окраска гематоксилин-эозином применялась для выявления морфологических изменений в ткани легких и дифференцировки участков пораженных и непораженных микобактериями туберкулеза [12].
- Для оценки иммунного ответа использовали иммуногистохимический метод с использованием моноклональных антител к CD8 и CD4 в готовом разведении (RTU) (Leica, Германия). Cрезы докрашивались железным гематоксилином. Число CD8+- и CD4+-клеток подсчитывали с использованием светового микроскопа «Сarl Zeiss Primo Star» в 10 полях зрения при увеличении ×400.
- Вычисление иммунорегуляторного индекса (ИРИ) применяли для оценки состояния клеточного иммунитета. ИРИ вычисляется как отношение CD4+/CD8+. Показатель ИРИ оценивали следующим образом: значение 1,5–2,1 — нормальный иммунный ответ, более 2,2 — избыточный иммунный ответ, менее 1,0 — иммунодефицит [4, 5, 6].
- Для избирательного выявления аминосодержащих структур легких и адренергических нервных волокон применялся люминесцентно-гистохимический метод Фалька–Хилларпа в модификации Е.М. Крохиной [14].
- Количественно концентрацию КА в аминосодержащих структурах легких в условных единицах (у.е.) цитоспектрофлуориметрией с помощью прибора ФМЭЛ 1(А).
Статистическую обработку данных проводили с использованием программного обеспечения Statistica 10.0, Microsoft Excel 2010. Взаимосвязи между макрофагами и тучными клетками по количественному содержанию катехоламинов оценивались с применением непараметрического рангового корреляционного анализа Спирмена. Достоверными считали отличия при р < 0,05. В работе приводятся следующие показатели: М — средняя арифметическая величина; m — средняя ошибка средней арифметической величины. Статистическую достоверность определяли критерием Манна–Уитни (t).
Результаты и обсуждение
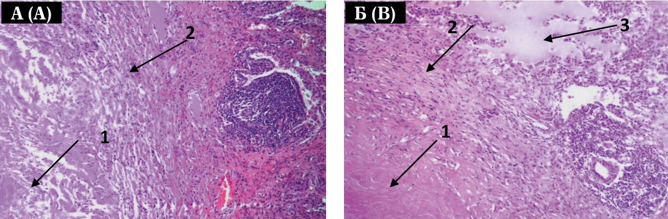
При окрашивании гематоксилином-эозином препаратов группы со стабильной туберкулемой выявлялись очаги казеозного некроза, окруженные соединительнотканной капсулой и без признаков перифокального воспаления, среднего диаметра 15±1,3 мкм (рис. 1А).
Рисунок 1. Микроскопическая картина туберкулемы легких. Примечание. А — стабильная туберкулема легких: 1) очаг казеозного некроза; 2) соединительнотканная капсула; Б — прогрессирующая туберкулема легких: 1) очаг казеозного некроза; 2) соединительнотканная капсула; 3) серозный экссудат в альвеолах. Окраска гематоксилин-эозин. Микроскоп Сarl Zeiss Primo Star. Увеличение ×400.
При исследовании аутопсийного материала в группе больных прогрессирующей туберкулемой вокруг зоны казеозного некроза определялась соединительнотканная капсула, окруженная перифокальным воспалением в виде серозного экссудата в альвеолах, с очагами отсевов в виде воспалительных клеточных инфильтратов (рис. 1Б).
При оценке локализации экспрессии изучаемых маркеров в легких в группе «условно здоровые» основная масса CD4+-и CD8+-клеток определялась преимущественно в интерстициальном пространстве, и единичные — около кровеносных сосудов и в собственной пластинке слизистой оболочки бронхов. В данной исследуемой группе CD4+-клетки количественно преобладали над CD8+-клетками (табл. 1).
Таблица 1. ИРИ и число CD4+- и CD8+-клеток в разных исследуемых зонах легких
Table 1. IRI and the number of CD4+ and CD8+ cells in different studied lung areas
Условно здоровые Apparently healthy | Стабильная туберкулема Stable tuberculoma | Прогрессирующая туберкулема Progressive tuberculoma | |||
капсула tuberculoma capsule | вне капсулы outside tuberculoma capsule | капсула tuberculoma capsule | вне капсулы outside tuberculoma capsule | ||
CD4+ | 9,15±0,45 | 21±0,02 | 6±0,08 | 17,6±0,03 | 6±0,06 |
CD8+ | 5,72±0,46 | 35±0,06 | 3,5±0,06 | 34,6±0,02 | 7,3±0,01 |
ИРИ/IRI | 1,16 | 0,6 | 1,7 | 0,5 | 0,8 |
Примечание. Курсивом обозначено понижение числа клеток по сравнению с группой «условно здоровые», жирным — повышение. Материал представлен как M±σ. Различия статистически значимы при p < 0,05.
Note. Decrease and increase in cell number compared to “apparently healthy” group depicted in italic and bold respectively. The data are presented as M±σ. The significance level is set at p < 0,05.
При изучении CD4+- и CD8+-клеток в стабильной туберкулеме было выявлено увеличение их числа в капсуле с преобладанием Т-киллеров в 1,7 раза над Т-хелперами (рис. 2А, 2В). При этом показатель ИРИ был снижен в 1,9 раза по сравнению с нормой (табл. 1). В перифокальной зоне число CD4+ и CD8+ Т-лимфоцитов было меньшим, чем в группе «условно здоровые», при этом количество Т-хелперов в 1,7 раза превышало содержание Т-киллеров (рис. 2Б, 2Г). Кроме того, следует отметить, что определялись зоны, где CD4+-лимфоциты образовывали контакты с интерстициальными макрофагами (ИМ) (рис. 2Б). Значение ИРИ соответствовало нормальному иммунному ответу (табл. 1).
Рисунок 2. Иммуногистохимическое исследование CD4+- и CD8+-клеток в стабильной туберкулеме. Примечание. А — образование групповых очагов скопления CD4+-клеток в капсуле стабильной туберкулемы. Б — CD4+-клетки в перифокальной зоне стабильной туберкулемы. В — локализация компактных групп CD8+-клеток вокруг зоны казеозного некроза в стабильной туберкулеме. Г — единичные CD8+-клетки в перифокальной зоне стабильной туберкулемы. Микроскоп Сarl Zeiss Primo Star. Увеличение ×400.
В капсуле прогрессирующей туберкулемы определялись сходные со стабильной туберкулемой проявления, то есть число CD4+- и CD8+-клеток также было увеличено по сравнению с группой «условно здоровые». При этом количество Т-киллеров было в 2 раза больше, чем Т-хелперов (рис. 3А, 4А). В перифокальной зоне отмечалось снижение числа CD4+ Т-лимфоцитов, при одновременном увеличении CD8+-клеток в 1,3 раза по сравнению с условной нормой и в 1,2 раза по сравнению с количеством Т-хелперов (табл. 1, рис. 4Б). Кроме того, увеличивалось число внутриальвеолярных и интерстициальных макрофагов, которые местами образовывали контакты с CD4+-лимфоцитами (рис. 3Б, 3В). Также следует отметить скопление CD8 лимфоцитов вокруг кровеносных сосудов до 20±0,3 в поле зрения (рис. 4В). Значение ИРИ во всех исследуемых зонах прогрессирующей туберкулемы соответствовало иммунодефициту.
Рисунок 3. Иммуногистохимическое исследование CD4+-клеток в прогрессирующей туберкулеме. Примечание. А — образование групповых очагов скопления CD4+ клеток в капсуле прогрессирующей туберкулемы. Б — увеличение числа внутриальвеолярных макрофагов. Увеличение ×400 (1 — макрофаги, 2 — лимфоциты). В — увеличение числа интерстициальных макрофагов. Микроскоп Сarl Zeiss Primo Star. Увеличение ×400.
Рисунок 4. Иммуногистохимическое исследование CD8+-клеток в прогрессирующей туберкулеме. Примечание. А — образование групповых очагов скопления CD8+ клеток в капсуле. Б — CD8+ клетки в перифокальной зоне. В — увеличение числа лимфоцитов вокруг кровеносного сосуда (1 — лимфоциты, 2 — сосуд). Микроскоп Сarl Zeiss Primo Star. Увеличение ×400.
Методом Фалька–Хилларпа в группе «условно здоровые» нами были выявлены катехоламин-содержащие тучные клетки, альвеолярные и интерстициальные макрофаги. Так, внутриальвеолярные макрофаги (ВАМ) присутствовали в просвете альвеол и бронхов в виде отдельных клеток или их скоплений. ВАМ содержали четкие гранулы с желтой люминесценцией и имели размеры от 15 до 23 мкм (рис. 5А). Содержание КА в них составило 15,3±0,5 у.е. (табл. 2).
Рисунок 5. Катехоламин-содержащие макрофаги и тучные клетки в легких. Примечание. А — наличие моноаминов в структурах здоровой части легких: 1 — альвеола, 2 — тучные клетки; 3 — интерстициальные макрофаги, 4 — внутриальвеолярные макрофаги, 5 — адренергические нервные волокна. Б — наличие моноаминов в прогрессирующих туберкулемах: 1 — альвеола, 2 — интерстициальное пространство, 3 — интерстициальные макрофаги, 4 — тучная клетка, Метод Фалька с соавт. Микроскоп: Люмам 6. Увеличение ×100.
Таблица 2. Содержание катехоламинов в биоаминсодержащих структурах легких
Table 2. The content of catecholamines in bioamine-containing structures of the lungs
Структуры Structures | Условно здоровые Apparently healthy | Стабильная туберкулема Stable tuberculoma | Прогрессирующая туберкулема Progressive tuberculoma | ||
капсула tuberculoma capsule | вне капсулы outside tuberculoma capsule | капсула tuberculoma capsule | вне капсулы outside tuberculoma capsule | ||
ВАМ/IAM | 15,3±0,5 | 11,3±0,05 | 35,7±0,02 | ||
ИМ/IM | 17,6±0,6 | 9,2±0,01 | 36,5±0,05 | ||
ВКМ/ICM | 11,7±0,03 | 48,8±0,01 | |||
ТК/Mast cells | 18,6±0,1 | 56,7±0,02 | 36,8±0,02 | 51,1±0,02 | 27,8±0,05 |
Фон/Background | 7,9±0,4 | 6,8±0,01 | – | 57,2±0,01 | – |
Примечание. Цифровые данные приведены в условных единицах. Курсивом обозначено понижение числа клеток по сравнению с группой «условно здоровые», жирным — повышение. Материал представлен как M±σ. Различия статистически значимы при p < 0,05. ВАМ — внутри альвеолярный макрофаг, ИМ — интерстециальный макрофаг, ВКМ — внутри капсулярный макрофаг, ТК — тучные клетки.
Note. The numerical data are presented in arbitrary units. Decrease and increase in cell number compared to “apparently healthy” group depicted in italic and bold respectively. The data are presented as M±σ. The significance level is set at p < 0.05. IAM — intra-alveolar macrophage, IM — interstitial macrophage, ICM — intra-capsular macrophage, MC — mast cells.
Интерстициальные макрофаги располагались в интерстициальной ткани легких в виде скоплений (рис. 5А). При спектральном анализе в их гранулах также определялись моноамины до 17,6±0,6 у.е. В полостях альвеол легких группы «условно-здоровые» свободные моноамины не определялись. В группе сравнения в интерстициальной ткани были определены от 2 до 3 ТК в поле зрения с содержанием КА до 18,6±0,1 у.е.
При исследовании туберкулем легких определяли содержание КА непосредственно в зоне капсулы и перифокальных участках.
Так, при окрашивании прогрессирующих туберкулем по методу Фалька на КА наибольшая люминесценция выявлялась в фоновом свечении в области капсулы и составляла 57,2±0,12 у.е. Наиболее отчетливые сдвиги в содержании КА определялись во всех исследуемых зонах и клеточных структурах легкого. Так, в капсуле туберкулемы содержание КА в ТК преобладало над таковым в макрофагах, а в перифокальной зоне отмечалась обратная тенденция (рис. 5Б). Кроме того, в этой зоне выявлено увеличение в 1,5 раза числа ИМ и ВАМ по сравнению с группой «условно здоровые». Вероятнее всего данная реакция была связана с локализацией возбудителя туберкулеза как в капсуле, так и за ее пределами. Следует отметить, что у 60% больных из этой группы отмечалось появление инфильтративной дорожки из люминесцирующих лимфоцитов. Данный факт подтверждал активность течения туберкулезного воспаления [3].
В стабильной туберкулеме содержание КА увеличивалось в ТК при одновременном снижении их в макрофагах. В ТК капсулы туберкулемы свечение данного нейроамина было в 1,5 раза выше, чем в ТК перифокальной зоны (табл. 2).
Таким образом, в прогрессирующей туберкулеме содержание КА увеличивалось во всех исследуемых структурах, как в капсуле, так и в перифокальной зоне. Напротив, в туберкулеме стабильного течения содержание изучаемого нейроамина был повышено только в ТК.
При изучении корреляционных взаимодействий между КА-содержащими структурами в группе «условно здоровые» определялись сильные положительные связи между ВАМ и ИМ, а также между макрофагами и ТК по содержанию в них КА (табл. 3).
Таблица 3. Корреляционные сопряжения между биоаминсодержащими структурами легких по содержанию КА при туберкулемах легких
Table 3. Correlations between CA-containing lung areas in pulmonary tuberculoma
Структуры Lung structures | Условно здоровые Apparently healthy | Стабильная туберкулема Stable tuberculoma | Прогрессирующая туберкулема Progressive tuberculoma | ||
капсула tuberculoma capsule | вне капсулы outside tuberculoma capsule | капсула tuberculoma capsule | вне капсулы outside tuberculoma capsule | ||
ВАМ/ИМ | IAM/IM | 0,86 | – | –0,8 | – | 0,9 |
ВАМ/ТК | IAM/mast cells | 0,82 | 0,2 | 0,3 | 0,9 | –0,7 |
ИМ/ТК | IM/mast cells | 0,94 | 0,3 | –0,7 | ||
МФ/туберкулема | MF/tuberculoma | –0,5 | – | 0,8 | – | |
ТК/туберкулема | Mast cells/tuberculoma | –0,1 | – | 0,8 | – | |
Примечание. ВАМ — внутриальвеолярный макрофаг. ИМ — интерстициальный макрофаг. МФ — макрофаги. ТК — тучные клетки. Жирным начертанием отмечены сильные положительные корреляционные связи, курсивом — сильные отрицательные.
Note. IAM — intra-alveolar macrophage. IM — interstitial macrophage. MF — macrophages. MC — mast cells. Strong positive and negative correlations are depicted in bold and italic, respectively.
В капсуле и перифокальной зоне стабильной туберкулемы корреляционные связи по количественному содержанию КА между ТК и макрофагами ослабевали, а между перифокальными ВАМ и ИМ становились отрицательными. Можно предположить, что ослабление или разрыв корреляционных связей между содержанием изучаемых веществ в этих клетках свидетельствовали о наступлении фазы ремиссии.
В соединительнотканной капсуле прогрессирующей туберкулемы сильная положительная связь определялась между макрофагами и ТК. В перифокальной области она сохранялась только между макрофагами.
Возможно, что появление сильных связей между разными катехоламин-содержащими клетками в активную фазу воспаления может зависеть от концентрации микобактерий в изучаемых зонах. В участках легких с повышенным числом микобактерий воспалительная реакция связана как с ТК, так и макрофагами. В зонах с меньшей концентрацией возбудителя экссудативная фаза регулируется преимущественно макрофагами.
Из литературных данных известно, что туберкулез относится к гранулематозным болезням [9]. В основе данной группы заболеваний лежит гранулема — ассоциация клеточных элементов, возникающая в ответ на инфекционное вторжение микобактерий. Численная популяция клеточных элементов гранулемы, их соотношение, процессы образования коллагена фибробластами могут свидетельствовать либо о прогрессировании специфического процесса, либо его остановке — заживлении [9]. Существование такой формы туберкулезного процесса как туберкулема, возможность гистологического изучения ее клеточного состава, позволяет рассматривать эту форму туберкулеза как очаг латентной инфекции с возможностью к прогрессированию и с развитием в дальнейшем более тяжелой формы туберкулеза [3]. Различные типы иммунокомпетентных клеток, включая Т-лимфоциты, альвеолярные и интерстициальные макрофаги, а также тучные клетки принимают участие в развитии и регулировании адаптивного иммунного ответа. С одной стороны, CD4+ Т-лимфоциты секретируют цитокины, активируют цитотоксические Т-лимфоциты и макрофаги, образуя прямые контакты с клетками-мишенями. CD8+ Т-клетки в процессе иммунного ответа функционируют как единая субпопуляция, осуществляющая антигенспецифическое, FAS- или гранзим-, перфорин- и гранулизин-опосредованное уничтожение инфицированных клеток. С другой стороны, известно, что КА оказывают выраженное влияние на разные этапы иммунного ответа путем увеличения лимфопролиферативных реакций, стимулируют дифференцировку Т-хелперов и цитотоксических лимфоцитов, регулируют цитокиновые реакции (повышая уровень провоспалительных и снижая содержание противовоспалительных цитокинов), тем самым воздействуя на степень активности воспаления [5, 10, 13].
При изучении туберкулем стабильного и прогрессирующего течения нами были обнаружены разные вариации клеточных взаимодействий в капсуле и перифокальной зоне. Так, в капсуле стабильной туберкулемы определялось увеличение числа CD4+ и CD8+ Т-лимфоцитов с преобладанием последних. При этом повышение содержание КА определялось только в ТК, а в альвеолярных и интерстициальных макрофагах свечение этого биогенного амина было снижено в 1,5 раза по сравнению с нормой. Корреляционные связи между тучными клетками и макрофагами были резко ослаблены. Возможно, в этой зоне нарушен синтез и захват КА макрофагами вследствие их поражения микобактериями [4].
В капсуле туберкулемы прогрессирующего течения число изучаемых иммунных клеток, так же как и в капсуле стабильной туберкулемы, был больше показателей нормы. Но при этом повышенное содержание катехоламинов определялось во всех изучаемых клетках в несколько раз, с максимальными значениями фонового свечения. Сохранение корреляционных связей между тучными клетками и макрофагами, увеличение числа лимфоцитов, указывает на активность специфического туберкулезного процесса в этой зоне, и целенаправленное действие клеток на уничтожение возбудителя.
Таким образом, несмотря на сходную иммунологическую реакцию со стороны CD4- и CD8-лимфоцитов в капсулах двух изучаемых видов туберкулем, механизмы регуляции туберкулезного воспаления будут связаны с разным содержанием КА в макрофагах и концентрацией возбудителя в легочной ткани.
В перифокальных зонах туберкулем стабильного течения было выявлено снижение числа изучаемых лимфоцитов, с преобладанием Т-хелперов. Появление контактов между ними и интерстициальными макрофагами, возможно, является одним из звеньев в механизме регуляции фазы ремиссии специфического туберкулезного воспаления. Напротив, в легочной ткани вокруг капсулы прогрессирующей туберкулемы, отмечалось увеличение CD8+ лимфоцитов и повышенное содержание КА в макрофагах. Более того, в этой зоне обнаруживались сильные корреляционные межмакрофагальные связи, контактное взаимодействие ВАМ и ИМ с CD4+-лимфоцитами и увеличение числа Т-киллеров вокруг кровеносных сосудов.
Исходя из полученных нами данных, можно предположить, что регулирование фаз течения туберкулезного воспаления осуществляется разными клеточными взаимодействиями. Наступление фазы ремиссии может быть связано с ослаблением или полным разрывом связей между всеми описанными структурами, и преимущественным влиянием интерстициальных макрофагов. В свою очередь, одновременное повышение содержания нейроамина и образование сильных связей между разными катехоламин-содержащими клетками в активную фазу воспаления может зависеть от концентрации микобактерий в изучаемых зонах. В участках легких с повышенным числом микобактерий воспалительная реакция, возможно, связана как с ТК, так и макрофагами. В зонах с меньшей концентрацией возбудителя экссудативная фаза регулируется преимущественно макрофагами.
Таким образом, можно предположить, что иммунно-клеточный механизм регуляции туберкулезного воспаления при стабильном течении больше зависит от числа хелперов (CD4), а при прогрессирующем — одновременно от хелперов и киллеров. При прогрессирующем течение туберкулемы отмечается увеличение катехоламин-содержащих макрофагов, образующих контакты с Т-лимфоцитами хелперами.
About the authors
Natalia E. Gimaldinova
Chuvash State University named after I.N. Ulyanov
Author for correspondence.
Email: ngimaldinova@yandex.ru
PhD (Medicine), Associate Professor of the Department of General and Clinical Morphology and Forensic Medicine
Россия, CheboksaryL. A. Lyubovtseva
Chuvash State University named after I.N. Ulyanov
Email: ngimaldinova@yandex.ru
DSc (Biology), RANH Corresponding Member, Professor of the Department of General and Clinical Morphology and Forensic Medicine
Россия, CheboksaryA. V. Sergeev
Chuvash State University named after I.N. Ulyanov; Republican Bureau of Forensic Medical Examination of the Ministry of Health of Chuvashia
Email: ngimaldinova@yandex.ru
PhD (Medicine), Associate Professor, Deputy Head
Россия, Cheboksary; CheboksaryReferences
- Абрамов В.В., Абрамова Т.Я., Козлов В.А. Принципы вегетативной регуляции функций иммунокомпетентных клеток: фундаментальное и прикладное значение // Успехи современной биологии. 2006. Т. 126, № 4. С. 379–387. [Abramov V.V., Abramova T.Ya., Kozlov V.A. Principles of vegetative regulation of immunocompetent cell functions: fundamental and applied significance. Uspekhi sovremennoi biologii = The Successes of Modern Biology, 2006, vol. 126, no. 4, pp. 379–387. (In Russ.)]
- Бердюгина О.В., Ершова А.В. Количественная и функциональная оценка состояния Т-лимфоцитов при туберкулемах легкого // Современные проблемы науки и образования. 2016. № 1. [Berdyugina O.V., Ershova A.V. Quantitative and functional assessment of the state of T-lymphocytes in pulmonary tuberculosis. Sovremennye problemy nauki i obrazovaniya = Modern Problems of Science and Education, 2016, no. 1. (In Russ.)] URL: https://science-education.ru/ru/article/view?id=24128
- Гималдинова Н.Е., Любовцева Л.А., Любовцева Е.В. Уровень нейротрансмиттеров в нейроаминсодержащих структурах легких при разных формах туберкулеза // Инфекция и иммунитет. 2021. Т. 11, № 6. C. 1067–1074. [Gimaldinova N.E., Lybovtseva L.A., Lybovtseva E.V. Neurotransmitter level in neuroamin-containing lung structures in different forms of tuberculosis. Infektsiya i immunitet = Russian Journal of Infection and Immunity, 2021, vol. 11, no. 6, pp. 1067–1074. (In Russ.)] doi: 10.15789/2220- 7619-DON-1632
- Елипашев А.А, Никольский В.О., Шпрыков А.С. Зависимость активности туберкулезного воспаления (по морфологическим данным) от различной давности заболевания у пациентов с ограниченным лекарственно устойчивым туберкулезом легких // Вестник новых медицинских технологий. 2016. № 1. C. 54–59. [Elipashev A.A., Nikolsky V.O., Shprykov A.S. Dependence of the activity of tuberculous inflammation (according to morphological data) on the different duration of the disease in patients with limited drug-resistant pulmonary tuberculosis. Vestnik novykh meditsinskikh tekhnologii = Herald of New Medical Technologies, 2016, no. 1, pp. 54–59. (In Russ.)] doi: 10.12737/18556
- Кравцов А.Л., Кожевников В.А., Клюева С.Н., Кудрявцева О.М., Щуковская Т.Н., Микшис Н.И., Бугоркова С.А. Характеристика показателей клеточного иммунитета у вакцинированных против чумы лиц, проживающих на территории Прикаспийского песчаного природного очага чумы // Эпидемиология и вакцинопрофилактика. 2019. Т. 18, № 3. С. 67–74. [Kravtsov A.L., Kozhevnikov V.A., Klyueva S.N., Kudryavtseva O.M., Shchukovskaya T.N., Mikshis N.I., Bugorkova S.A. Characteristics of cellular immunity indicators in people vaccinated against plague living on the territory of the Caspian sandy natural plague outbreak. Epidemiologiya i vaktsinoprofilaktika = Epidemiology and Vaccine Prophylaxis, 2019, vol. 18, no. 3, pp. 67–74. (In Russ.)] doi: 10.31631/2073-3046-2019-18-4-67-74
- Новиков Д.К., Новикова В.И. Оценка иммунного статуса, Витебск–Москва, 1996. 286 с. [Novikov D.K., Novikova V.I. Assessment of the immune status. Vitebsk–Moscow, 1996: 286 p. (In Russ.)]
- Холодок О.А., Григоренко А.А., Черемкин М.И. Клиническое наблюдение течения туберкулем легкого с морфологической интерпретацией их активности // Бюллетень физиологии и патологии дыхания. 2014. № 51. С. 137–140. [Kholodok O.A., Grigorenko A.A., Cheremkin M.I. Clinical observation of the course of pulmonary tuberculosis with morphological interpretation of their activity. Byulleten’ fiziologii i patologii dykhaniya = Bulletin of Physiology and Pathology of Respiration, 2014, no. 51. pp. 137–140. (In Russ.)]
- Холодок О.А., Григоренко А.А., Черемкин М.И. Туберкулема легкого как форма туберкулезного процесса // Бюллетень физиологии и патологии дыхания. 2014. № 53. С. 126–131. [Kholodok O.A., Grigorenko A.A., Cheremkin M.I. Pulmonary tuberculosis as a form of tuberculosis process. Byulleten’ fiziologii i patologii dykhaniya = Bulletin of Physiology and Pathology of Respiration, 2014, no. 53, pp. 126–131. (In Russ.)]
- Холодок О.А., Черемкин М.И. Морфологические аспекты активности туберкулем легкого // Бюллетень физиологии и патологии дыхания. 2013. № 49. С. 51–54. [Kholodok O.A., Cheremkin M.I. Morphological aspects of pulmonary tuberculosis activity. Byulleten’ fiziologii i patologii dykhaniya = Bulletin of Physiology and Pathology of Respiration, 2013, no. 49, pp. 51–54. (In Russ.)]
- Agostini C., Chilosi M., Zambello R., Trentin L., Semenzato G. Pulmonary immune cells in health and disease: lymphocytes. Eur. Respir. J., 1993, vol. 6, no. 9, pp. 1378–1401.
- Bloom B.R., Atun R., Cohen T., Dye C., Fraser H., Gomez G.B., Knight G., Murray M., Nardell E., Rubin E., Salomon J., Vassall A., Volchenkov G., White R., Wilson D., Yadav P. Tuberculosis. In: Major Infectious Diseases. Eds: Holmes K.K., Bertozzi S., Bloom B.R., Jha P.; 3rd ed. Washington (DC): The International Bank for Reconstruction and Development, 2017. Chapter 11.
- Lynch M.J., Raphael S.S., Mellor L.D., Spare P.D., Inwood M.J. Medical laboratory technology and clinical pathology; 2nd ed. WB Saunders Co., Philadelphia London Toronto, 1969. 1359 p.
- Semenzato G., Bortolin M., Facco M., Tassinari C., Sancetta R., Agostini C. Lung lymphocytes: origin, biological functions, and laboratory techniques for their study in immune-mediated pulmonary disorders. Crit. Rev. Clin. Lab. Sci., 1996, vol. 33, no. 5, pp. 423–455. doi: 10.3109/10408369609084692
- Falck B., Hillarp N.A., Thieme G., Torp A. Fluorescence of catechol amines and related compounds condensed with formaldehyde. Brain Res. Bull., 1982, vol. 9, no. 1–6, pp. xi–xv. doi: 10.1016/0361-9230(82)90113-7
Supplementary files









