The clinical case: COVID-19 in a child with chronic kidney disease
- Authors: Ermolaeva Y.A.1, Samoilova Y.G.1, Oleynik O.A.1, Kudlay D.A.2
-
Affiliations:
- Siberian State Medical University of the Ministry of Health of the Russian Federation
- National Research Center — Institute of Immunology Federal Medical-Biological Agency of Russia
- Issue: Vol 12, No 3 (2022)
- Pages: 585-590
- Section: FOR THE PRACTICAL PHYSICIANS
- Submitted: 18.05.2021
- Accepted: 27.03.2022
- Published: 04.07.2022
- URL: https://iimmun.ru/iimm/article/view/1732
- DOI: https://doi.org/10.15789/2220-7619-TCC-1732
- ID: 1732
Cite item
Full Text
Abstract
Since the spread of the novel coronavirus infection, most researchers have noted a low proportion of sick children in general pediatric cohort compared to adults, who had a mild disease course and rare complications. The most frequent clinical manifestations of the disease are respiratory and, some less frequently diarrheal syndromes. The disease has predominantly mild or asymptomatic course. The risk of adverse outcomes in children, similar to adults, clearly correlate with the presence of background chronic pathology. The need for respiratory support prevails in children with a severe premorbid burden. Here, a clinical case of ongoing novel coronavirus infection in adolescent patient comorbid with chronic kidney pathology is described. In adolescence, the patient was diagnosed with mesangioproliferative glomerulonephritis (IgA-nephropathy), and further registered at the dispensary receiving a combination therapy with angiotensin converting enzyme inhibitors and disaggregation drugs. The epidemiological history contained no established contacts with infectious patients. The clinical manifestations of COVID-19 in the patient are represented by catarrhal and diarrheal syndromes, transient renal dysfunction in the acute period of the disease. The onset of coronavirus infection was clinically characterized by symptoms of damaged gastrointestinal tract and was considered as acute gastroenteritis of infectious etiology. Empirically prescribed antibacterial therapy in combination with antiplatelet agents and symptomatic drugs had no effect. The diagnosis of the novel coronavirus infection was verified only on day 4 of hospitalization, clinical and laboratory signs of lung damage emerged. The inflammatory process developed in the patient lungs was secondary to the main pathology. The severity of the patient’s condition was determined by the presence of respiratory and renal insufficiency. Lung damage with minimal severity complaints and clinical data had a bimodal pattern and required respiratory support. A comprehensive approach to treatment, including respiratory, antiviral, enterosorption, anticoagulation, anti-inflammatory, antihypertensive, hepatoprotective, symptomatic therapy with change in antibacterial drugs allowed to achieve positive dynamics. On day 12 of the illness, the patient required no respiratory support. The presence of symptoms of gastrointestinal tract damage in COVID-19 necessitates the mandatory inclusion of PCR assay for SARS-CoV-2 into diagnostic protocol in patients with diarrheal syndrome to perform etiological disease interpretation.
Full Text
В начале пандемии COVID-19 высказывались предположения о невосприимчивости детей к SARS-CoV-2 [2, 3]. С момента старта распространения новой коронавирусной инфекции большинство исследователей отмечали низкий удельный вес детей среди заболевших по сравнению с взрослыми, легкое течение болезни и редкие осложнения в детской популяции [1]. Наиболее частыми клиническими проявлениями, по данным доступной литературы, являются респираторный и несколько реже диарейный синдромы. Течение заболевания имеет преимущественно легкий или бессимптомный характер. Риски неблагоприятных исходов у детей, как и у взрослых, четко коррелируют с наличием фоновой хронической патологии. Необходимость респираторной поддержки превалирует у детей с тяжелым преморбидным фоном.
В данной статье рассмотрен клинический случай течения новой коронавирусной инфекции у подростка на фоне хронической патологии почек.
Больной П., 17 лет. Из анамнеза жизни известно, что ребенок рос и развивался по возрасту, вакцинация проведена в соответствии с Национальным календарем профилактических прививок. Наследственность не отягощена. ОРЗ болел 2–3 раза в год. Из детских инфекций перенес ветряную оспу. С 2017 г. по анализам мочи выявлена микрогематурия. В 2019 г. обследован в отделении нефрологии, диагноз: «Хронический нефритический синдром», ребенок поставлен на диспансерный учет у нефролога. В сентябре 2019 г. проведена нефробиопсия, морфологический диагноз: «Мезангиопролиферативный гломерулонефрит (IgA-нефропатия)», в качестве терапии назначены инбиторы ангиотензинпревращающего фермента (эналаприл 5 мг 2 р/день), антиагреганты курсами (дипиридамол).
Контакт с больными COVID-19 отрицал. Ребенок учится в школе, в 11 классе, карантина нет. В течение последнего месяца из г. Томска не выезжал.
Из анамнеза заболевания известно, что заболел остро 03.11.2020 с появления слабости, тошноты, рвоты, жидкого стула (1 раз). На 2-й день болезни появилась фебрильная температура, рвота участилась, сохранялся жидкий стул (1 раз). За медицинской помощью не обращался, принимал жаропонижающие per os, анальгин внутримышечно. На 3-й день болезни отмечены двукратный жидкий стул, рвота, постоянные позывы на рвоту, боли в животе, головокружение, слабость, гипертермия. Вызвана бригада скорой медицинской помощи, доставлен в ОГАУЗ Детская больница № 1, госпитализирован в инфекционное отделение с диагнозом: «Острый инфекционный гастроэнтерит неуточненной этиологии средней степени тяжести». Сопутствующий диагноз: «Хронический нефритический синдром».
При поступлении больной предъявлял жалобы на рвоту 1–2 раза в сутки, жидкий стул 3 раза в день, повышение температуры до 39°C, слабость, недомогание, головокружение, появление кашля.
При объективном осмотре состояние больного было расценено как близкое к тяжелому за счет интоксикации, гастрита. Температура тела 37,1°С, ЧД 20/мин, ЧСС 80/мин, АД = 142/91 мм рт.ст., SpO2 98%. Менингиальные симптомы отрицательные. Постоянные позывы на рвоту. Сознание ясное. Больной предпочитал лежать, отмечалась резкая слабость и головокружение. Одышки не было. Катаральных проявлений не наблюдалось. Отеков, пастозности не выявлено. Тоны сердца ритмичные, тахикардия. Живот вздут, урчание по ходу тонкого кишечника, безболезненный. Кишечник пальпаторно не изменен. Печень, селезенка не увеличены. Стул с утра двукратно кашицеобразный, без патологических примесей, среднего объема.
В лечении при поступлении назначено: цефотаксим 1,5 г 2 раза в день в/м, аципол 1 кап 3 р/день, тримебутин 200 мг 3 р/день, эналаприл по 5 мг 2 р/день, инфузионная терапия глюкозо-солевыми растворами.
При проведении лабораторно-инструментального обследования получены следующие результаты.
В общеклиническом анализе крови от 05.11.2020 выявлены незначительные изменения, свидетельствующие о наличии бактериальной инфекции: WBC — 11,02 × 109/л, RBC 5,1 × 1012/л, HCT 143 г/л, PLT 181 × 109/л, нейтрофилы — 84%, лимфоциты — 11%, моноциты — 5%, СОЭ — 29 мм/ч.
Мочевой синдром по результатам общего анализа мочи от 06.11.2020 был представлен протеинурией, макрогематурией и гипостенурией: моча мутная, удельный вес 1010, белок 2,69 г/л, кетоны и глюкоза не обнаружены, цвет желтый, pH — 6,0; микроскопия: эритроциты — сплошь покрывают поле зрения, лейкоциты — единичные в поле зрения, соли — в небольшом количестве. В анализе мочи по Аддису–Каковскому от 06.11.2020: лейкоциты 3 150 000 000 кл/сут, эритроциты 198 000 000 кл/сут, белок 2,08 г/л.
В биохимическом анализе крови 06.11.2020 выявлены нарушения азотистого обмена, острофазная реакция воспаления: общий белок 63,1 г/л, глюкоза 6,0 мкмоль/л, общий билирубин 8 мкмоль/л, прямой 0,6 мкмоль/л, АЛТ 17,7 Ед/л, АСТ 24,9 Ед/л, хлор 101,1 ммоль/л, калий 4,05 ммоль/л, натрий 133,3 ммоль/л, кальций 2,08 ммоль/л, креатинин 195 мкмоль/л, мочевина 13,8 ммоль/л, альфа-амилаза 39 Ед/л, СРБ 161,1 мг/л.
Положительный результат проведенного анализа кала на скрытую кровь 09.11.2020 свидетельствовал о вовлечении в патологический процесс кишечной стенки.
С учетом жалоб ребенка на кашель и тяжестью состояния назначено рентгенологическое исследование органов грудной клетки для исключения воспаления легких. Рентгенография 06.11.2020: форма грудной клетки цилиндрическая. Легочной рисунок с обеих сторон усилен в прикорневых зонах. На этом фоне слева, в прикорневой зоне, на уровне среднего и нижнего легочных полей отмечается снижение пневматизации из-за локального сгущения легочного рисунка за счет перибронхиальных инфильтративных изменений. Корни легких: правый — структурен, не расширен, левый — умеренно расширен, малоструктурен за счет перибронхиальных изменений. Купола диафрагмы справа и слева с четкими ровными контурами. Боковые диафрагмальные синусы свободные. Сердечно-сосудистая тень расположена срединно, в поперечнике не расширена. Аорта — без особенностей. Заключение: рентгенографические признаки левосторонней полисегментарной (S4, S5 верхней доли? в S9, S10 нижней доли?) пневмонии. Рекомендован контроль в прямой и боковой проекции через 3–5 дней лечения.
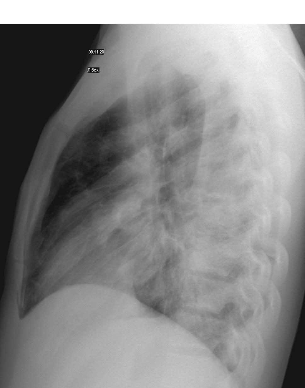
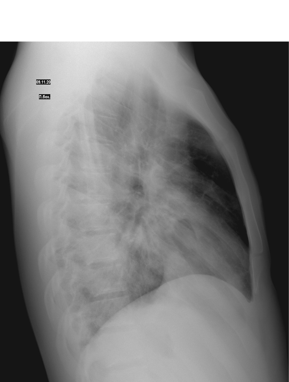
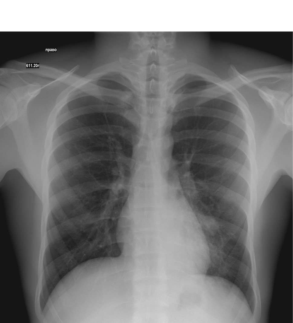
На фоне проводимой терапии у пациента в клинике сохранялись диарейный синдром, интоксикация, гипертермия. Состояние ребенка ухудшилось за счет появления признаков дыхательной недостаточности (затруднения дыхания, одышки, падения сатурации). В динамике выполнена контрольная рентгенография органов грудной клетки 09.11.2020: по сравнению с предыдущей обзорной рентгенограммой № 5189 от 06.11.2020 — отрицательная динамика в виде появления новых очагов слева и справа; двусторонняя очагово-сливная пневмония: справа — S4, S5 средней доли и S8, S9 нижней доли, слева — S4, S5 верхней доли S8, S9, S10 нижней доли (рис. 1, 2, 3).
Рисунок 1. Рентгенологическое исследование легких в прямой проекции
Рисунок 2. Рентгенологическое исследование легких в правой боковой проекции
Рисунок 3. Рентгенологическое исследование легких в левой боковой проекции
С учетом отрицательной динамики, ухудшения состояния больному на 4-й день госпитализации проведена коррекция лечения со сменой антибиотика на цефтриаксон и азитромицин (доза рассчитана по скорости клубочковой фильтрации), назначением ингибиторов протеаз (апротинин), антиагрегантов (дипиридамол), гормонотерапии (дексаметазон 24 мг/сут внутривенно, будесонид 3000 мг/сут ингаляционно).
Согласно разработанным рекомендациям по обследованию больных с пневмонией в период пандемии COVID-19 ребенку проведено обследование на наличие SARS-CoV-2. 09.11.2020 получен положительный результат. Эффект от проводимой терапии не достигнут, состояние ухудшилось за счет появления и нарастания признаков дыхательной недостаточности. На 7-й день заболевания пациент был переведен в отделение реанимации и интенсивной терапии респираторного госпиталя ОГБУЗ Детская инфекционная больница им. Г.Е Сибирцева с диагнозом: «Новая коронавирусная инфекция COVID-19 (ПЦР+ от 09.11.2020) тяжелой степени. Острая внебольничная двухсторонняя очагово-сливная пневмония, ДН 1 степени. Острое поражение почек». Сопутствующий диагноз: «Хронический гломерулонефрит».
На момент перевода больной предъявлял жалобы на сухой кашель, затрудненное дыхание, повышение температуры до 39°С, рвоту, тошноту, жидкий стул. Объективно: температура тела 39,1°С, ЧД 30/мин, ЧСС 128/мин, при минимальной физнагрузке до 164/мин, АД 110/70 мм рт.ст. в покое, при нагрузке — 144/81 мм рт.ст., SpO2 95–96%. Состояние тяжелое за счет интоксикации, пневмонии, дыхательной и почечной недостаточности. Одышка смешанного характера, сухой приступообразный кашель. В легких ослабление дыхания, непостоянные мелкопузырчатые хрипы. Тоны сердца ритмичные, тахикардия. Живот мягкий, безболезненный. Кишечник пальпаторно не изменен. Печень, селезенка не увеличены. Стул 3 раза, жидкий.
Результаты параклинических исследований (общий анализ крови от 10.11.20): WBC 20,12 × 109/л, HGB 139 г/л, PLT 295 × 109/л, сегментоядерные нейтрофилы — 87%, палочкоядерные — 4%, юные — 2%, лимфоциты — 3%, моноциты — 4%, СОЭ — 37 мм, шизоциты — 0%, ретикулоциты — 0,3%. Данные показатели свидетельствовали о наличии бактериальной инфекции, что потребовало пересмотра антибактериальной терапии.
Существенных изменений на фоне проводимой терапии в системе гемостаза не выявлено, о чем свидетельствовали данные коагулограммы от 10.11.20: АЧТВ 35 с, ПТВ 16,5 с, ПТИ 97%, фибриноген 6,1 г/л.
Показатели биохимического анализа при поступлении были идентичны ранее проведенным, выраженная динамика с появлением синдрома цитолиза отмечена на 8-й день болезни. Биохимический анализ крови от 11.11.2020: общий белок 54,0 г/л, глюкоза 5,86 мкмоль/л, общий билирубин 8,5 мкмоль/л, прямой 0 мкмоль/л, АЛТ 177 Ед/л, АСТ 156 Ед/л, хлор 102 ммоль/л, калий 4,54 ммоль/л, натрий 136,5 ммоль/л, кальций 2,35 ммоль/л, креатинин 141 мкмоль/л, мочевина 14,5 ммоль/л, альфа-амилаза 15 Е/л, СРБ 24 мг/л, тимоловая проба 0,5 ЕД, ферритин 404,4 мг/л, тропонин 2,6 пг/мл.
С целью установления этиологического фактора поражения печени выполнено обследование на возможные причинные инфекционные агенты: ИФА на ВЭБ VCA IgM отриц., ЦМВИ IgM отриц., токсокароз IgG отриц., ВГА IgM отриц., HBs-Ag отриц., суммарные антитела на ВГС отриц. Отсутствие положительных результатов лабораторного исследования позволяет предположить токсический генез цитолиза.
Положительная динамика по восстановлению показателей азотистого обмена отмечена на 18-й день болезни. Биохимический анализ крови от 20.11.2020: общий белок 64,0 г/л, общий билирубин 7,2 мкмоль/л, прямой 0 мкмоль/л, АЛТ 135 Е/л, АСТ 40 Е/л, калий 4,44 ммоль/л, натрий 132,1 ммоль/л, креатинин 119 мкмоль/л, мочевина 9,2 ммоль/л, тимоловая проба 1,7 ЕД.
Отрицательные результаты ПЦР-диагностики на выявление ДНК/РНК респираторных вирусов (парагриппа, аденовирусов, РС, коронавирусов сезонных, метапневмовирусов, бокавирусов, риновирусов), бакпосева мазка из зева на микрофлору, бакпосева кала на дизгруппу и условно-патогенную флору исключают другие инфекционные агенты в качестве причинного фактора респираторного заболевания у данного пациента.
На фоне лечения увлажненным кислородом через назальные катетеры в течение 3-х дней, антибактериальной (азитромицин 5 дней, цефепим 1,0 г/сут 10 дней), противовирусной (умифеновир, интерферон-альфа-2b интраназально), энтеросорбционной (смекта), антикоагуляционной (эноксапарин натрия), противовоспалительной (дексаметазон), гипотензивной (эналаприл 10 мг/сут), гепатопротективной (фосфолипиды) и симптоматической терапии отмечена положительная динамика. На 12-й день болезни пациент не нуждался в респираторной поддержке.
Контрольный анализ — ПЦР мазка из зева и носа на SARS-CoV-2 от 18.11.2020 — дал отрицательный результат.
На рентгенограмме органов грудной клетки в динамике от 16.11.2020 отмечена положительная динамика с признаками уменьшения инфильтрации легочной ткани.
На 21-й день болезни и 15-й день госпитализации больной переведен в нефрологическое отделение ОГАУЗ Детская больница № 1 для дальнейшего обследования и лечения по поводу патологии почек с заключительным диагнозом: «Острая внебольничная двухсторонняя очагово-сливная пневмония, S4, S5 средней доли и S8, S9 нижней доли справа, S4,S5 верхней доли S8, S9, S10 нижней доли слева, ДН I степени. Осложнение: «Острое поражение почек». Сопутствующий диагноз: «Новая коронавирусная инфекция COVID-19 (ПЦР+ от 09.11.2020) тяжелой степени. Хронический гломерулонефрит. Гепатит неуточненной этиологии (токсический?)».
При переводе больного клинически жалоб не было, сохранялся мочевой синдром в виде протеинурии и микрогематурии, умеренной гипертензии, а также незначительные нарушения азотистого обмена. После проведенного курса обследований и лечения в нефрологическом отделении в течении двух недель у больного нормализовались показатели артериального давления по результатам суточного мониторирования, восстановлена азотвыделительная функция почек, сохранились слабовыраженный мочевой синдром (протеинурия — 0,23 г/л, микрогематурия 4–8 в п/зр) и сниженная концентрационная способность почек.
Представленая выше история болезни наглядно демонстрирует многообразие клинических проявлений новой коронавирусной инфекции с преимущественным развитием респираторного и диарейного синдромов в детской популяции. У данного пациента дебют болезни проявился клиникой острой кишечной инфекции с последующим вовлечением дыхательной системы. Тяжесть течения заболевания определялась преморбидным фоном пациента. Признаки почечной недостаточности, появившиеся в первые дни болезни, были обусловлены сниженными компенсаторными возможностями пораженного органа и имели обратимый характер. Наличие симптомов поражения желудочно-кишечного тракта при COVID-19 обуславливает необходимость обязательного включения ПЦР-теста на SARS-CoV-2 в стандарт диагностических мероприятий у пациентов с диарейным синдромом для этиологической расшифровки заболеваний.
About the authors
Yuliya A. Ermolaeva
Siberian State Medical University of the Ministry of Health of the Russian Federation
Author for correspondence.
Email: euassmu@yandex.ru
ORCID iD: 0000-0003-3043-9121
PhD (Medicine), Assistant Professor, Department of Children’s Diseases
Russian Federation, TomskYu. G. Samoilova
Siberian State Medical University of the Ministry of Health of the Russian Federation
Email: samoilova_y@inbox.ru
ORCID iD: 0000-0002-2667-4842
SPIN-code: 8644-8043
MD, PhD, Professor, Head of the Department of Children’s Diseases
Russian Federation, TomskO. A. Oleynik
Siberian State Medical University of the Ministry of Health of the Russian Federation
Email: oleynikoa@mail.ru
ORCID iD: 0000-0002-2915-384X
PhD (Medicine), Associate Professor, Department of Children’s Diseases, Expert of the Center for Clinical Research
Russian Federation, TomskD. A. Kudlay
National Research Center — Institute of Immunology Federal Medical-Biological Agency of Russia
Email: D624254@gmail.com
ORCID iD: 0000-0003-1878-4467
PhD, MD (Medicine), Leading Researcher, Laboratory of Personalized Medicine and Molecular Immunology
Russian Federation, MoscowReferences
- ВОЗ. Технические руководящие указания. Наименование заболевания, вызванного коронавирусом (COVID-19), и вирусного возбудителя. [WHO. Technical guidelines. Name of disease caused by coronavirus (COVID-19) and viral agent]. URL: https://www.who.int/ru/emergencies/diseases/novel-coronavirus-2019/technical-guidance/naming-the-coronavirus-disease-(covid-2019)-and-the-virus-that-causes-it Lu X., Zhang L., Du H., Zhang J., Li Y.Y., Qu J., Zhang W., Wang Y., Bao S., Li Y., Wu C., Liu H., Liu D., Shao J., Peng X., Yang Y., Liu Z., Xiang Y., Zhang F., Silva R.M., Pinkerton K.E., Shen K., Xiao H., Xu S., Wong G.W.K.; Chinese Pediatric Novel Coronavirus Study Team. SARS-CoV-2 infection in children. N. Engl. J. Med., 2020, vol. 382, no. 17, pp. 1663–1665. doi: 10.1056/NEJMc2005073
- Заплатников A.Л., Свинцицкая В.И. COVID-19 и дети // Русский медицинский журнал. 2020. № 6. С. 20–22. [Zaplatnikov A.L., Svintsitskaya V.I. COVID-19 and children. Russkij medicinskij zhurnal = Russian Medical Journal, 2020, no. 6, pp. 20–22. (In Russ.)]
- Особенности клинических проявлении и лечение заболевания, вызванного новой коронавирусной инфекцией (COVID-19) у детей: методические рекомендации. Версия 2 (03.07.2020). Министерство здравоохранения Российской Федерации. 73 с. [Features of clinical manifestations and treatment of the disease caused by a new coronavirus infection (COVID-19) in children: guidelines. Version 2 (07.03.2020). Ministry of Health of the Russian Federation. 73 p. (In Russ.)]. URL: https://static-0.minzdrav.gov.ru/system/attachments/attaches/000/050/914/original/03062020_%D0%B4%D0%B5%D1%82%D0%B8_COVID-19_v2.pdf
Supplementary files






