A case of abscessed pneumonia due to COVID-19 infection in a young patient
- Authors: Vorobeva O.V.1, Romanova L.P.1
-
Affiliations:
- I.N. Ulyanov Chuvash State University
- Issue: Vol 12, No 4 (2022)
- Pages: 779-783
- Section: SHORT COMMUNICATIONS
- Submitted: 12.08.2020
- Accepted: 15.05.2022
- Published: 15.11.2022
- URL: https://iimmun.ru/iimm/article/view/1582
- DOI: https://doi.org/10.15789/2220-7619-ACO-1582
- ID: 1582
Cite item
Full Text
Abstract
Viral infections are the first ranked conditions among infectious diseases causing 5–15% of all community-acquired pneumonia. The aim of the study was to describe a case of COVID-19 infection, proceeding with acquired bacterial infection and developing abscess pneumonia in a young patient.
Material and methods. The accompanying medical documentation was examined, clinical and morphological analysis was carried out for assessing macro- and micropreparations.
Results. Patient A.E., 31 years old, within 5 hours 10 minutes was at in-hospital treatment with a diagnosis of Coronavirus infection, severe course. Community-acquired bilateral polysegmental pneumonia. The patient admitted with complaints of respiratory difficulty, shortness of breath, weakness, fever up to febrile level, severe pain in the right groin area, both lower extremities, swelling in hands and feet. However, despite initiated treatment, the patient’s condition worsened and biological death was verified. The postmortem examination revealed signs of total bilateral hemorrhagic pneumonia. Histological examination showed areas of necrosis in the alveolar epithelium and signs of marked edema with a hemorrhagic component; hemolyzed erythrocytes were found in alveolar lumen. Focal hemorrhages were visualized in the pulmonary parenchyma, sometimes merging along with lung tissue with forming microabscesses. a well-defined shaft consisting of granular leukocytes and congested vessels with erythrocyte sludge was noted on the periphery of necrosis area. In the alveoli located closer to the abscesses, fibrinous and serous exudate was detected. Signs of edema were observed in the brain; histological examination revealed perivascular, pericellular optical voids with vascular congestion, erythrocyte sludge and minor hemorrhages. SARS-CoV-2-caused pneumonia and acquired bacterial infection, in this case due to staphylococcus, led to abscess pneumonia and severe respiratory failure with developing acute distress syndrome. Obviously, the high frequency of destructive processes in staphylococcal pneumonia is due to the pathogenic staphylococci characterized by production of high-level proteolytic enzymes destroying body tissues. Thus, the current case of COVID-19 infection in a young patient is of particular importance and relevance, because it demonstrates an unfavorable disease outcome despite patient young age and lack of concomitant pathology.
Full Text
Введение
Вирусные инфекции занимают первое место среди инфекционных заболеваний и являются причиной 5–15% всех внебольничных пневмоний [1, 5, 7]. Уникальная антигенная изменчивость вируса приводит к возникновению эпидемий, развитию тяжелых осложнений и летальных исходов [1, 2, 3, 6]. Одним из видов вирусных инфекций является COVID-19, вызываемый коронавирусом SARS-CoV-2, при котором на ранних стадиях заболевания в легких преобладают явления пневмонии, интерстициального отека, ателектазы, в поздний период присоединяются очаги пневмонии с абсцедированием и процессы фиброза [2]. Очевидно, если все защитные реакции организма угнетены высокой вирулентностью и патогенностью микроорганизма, наблюдается подавление лейкоцитарной и пролиферативной реакции в очагах воспаления, происходит накопление большого количества микроорганизмов и наступает ранний некроз альвеолярных перегородок. В литературе отсутствуют описания случаев возникновения микроабсцессов в легких на фоне коронаровирусной инфекции. В связи с актуальностью проблемы, цель исследования — описание случая инфицирования COVID-19, протекающего с присоединением бактериальной инфекции и развитием абсцедирующей пневмонии у молодой пациентки.
Материалы и методы
Изучена сопроводительная медицинская документация (амбулаторная карта пациента, история болезни). Проведен клинико-морфологический анализ с помощью описания макро- и микропрепаратов, использован гистологический метод окраски.
Результаты
Больная А.Е., 31 год, в течение 5 ч 10 мин 31.07.2020 г. находилась на стационарном лечении с диагнозом: «Коронавирусная инфекция, тяжелое течение. Внебольничная двусторонняя полисегментарная пневмония». Поступила с жалобами на затруднение дыхания, одышку, слабость, повышение температуры тела до фебрильных цифр, выраженные боли в правой паховой области, в обеих нижних конечностях, пастозность рук и ног. Боли в паховой области появились с 22.07.2020 г., возникновение болей пациентка ни с чем не связывала; позже присоединилась болезненность обеих нижних конечностей, преимущественно на уровне бедер, затем появились боли в верхних конечностях, пастозность рук и ног. 30.07.2020 г. обратилась к участковому терапевту, была осмотрена сосудистым хирургом. Больной была проведена процедура ультразвуковой допплерографии артерий и вен нижних конечностей (патологии выявлено не было), затем — МРТ тазобедренных суставов. Данных о наличии патологических изменений тазобедренных суставов также получено не было. Выявлялись признаки распространенного миозита средней и малой ягодичной мышц справа с наличием воспалительного инфильтрата в межмышечном пространстве ягодичных мышц с затеком в межфасциальные пространства передней группы мышц бедра. Была выполнена компьютерная томография органов грудной клетки, обнаружены признаки тяжелой двусторонней полисегментарной пневмонии с внутригрудной лимфоаденопатией, двусторонней очаговой и милиарной диссеминацией. В связи с этим пациентка была направлена на госпитализацию. В общем анализе крови отмечались признаки острого воспаления: лейкоциты — 29,4 × 109/л, СОЭ — 49 мм/ч, и признаки анемии: эритроциты — 3,72 × 1012/л, гемоглобин — 108 г/л.
Было начато комплексное лечение, включающее антибактериальные, отхаркивающие средства, назначены препараты для профилактики тромбоэмболии легочной артерии, начата оксигенация и поддерживающая терапия, однако состояние пациентки ухудшилось, периферическое капиллярное насыщение кислородом снизилось до 34,3%, а частота сердечных сокращений — до 34 уд/мин. В 18 ч констатирована биологическая смерть пациентки.
Выставлен посмертный клинический диагноз. Основное заболевание: «Коронавирусная инфекция, тяжелое течение». Осложнения основного заболевания: «Внебольничная двусторонняя полисегментарная пневмония. Отек головного мозга. Отек легких. Острая дыхательная недостаточность. Острая сердечно-сосудистая недостаточность». Сопутствующее заболевание: «Анемия средней степени тяжести».
При патогистологическом исследовании секционного материала в трахее и бронхах был выявлен некроз слизистой оболочки с дегенерацией и десквамацией эпителиальных клеток, выраженный отек, полнокровие сосудов и мононуклеарная инфильтрация подслизистого слоя с кровоизлияниями (рис. 1, вклейка, с. II).
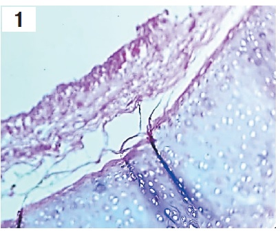
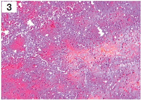
В легких были выявлены признаки двусторонней тотальной геморрагической пневмонии. При макроскопическом исследовании: легкие с двух сторон плотной консистенции, тяжелые, безвоздушные, отечные, синюшного цвета. При гистологическом исследовании определялись неравномерно расправленные альвеолы с утолщенными межальвеолярными перегородками за счет отека и полнокровия, признаки пролиферации эндотелиоцитов капилляров, десквамация альвеолярного эпителия, отек, мононуклеарная инфильтрация, в альвеолах и альвеолярных ходах наблюдались гиалиновые мембраны. Также выявлялись участки некроза альвеолярного эпителия с обнажением базальной мембраны и признаками выраженного отека с геморрагическим компонентом, в просвете альвеол встречались гемолизированные эритроциты, гемосидерин, гемосидерофаги. Визуализировались очаговые кровоизлияния в легочной паренхиме, местами сливающиеся, с выходом форменных элементов крови в просвет альвеол и участки некроза легочной ткани с формированием «гнойников» (микроабсцессов), в зонах некроза встречались микробные колонии. В окружности участка некроза отмечался хорошо выраженный вал из зернистых лейкоцитов. В альвеолах, расположенных ближе к гнойникам, определялся фибринозный и серозный экссудат (рис. 2 и 3, вклейка, с. II).
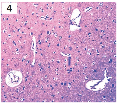
В головном мозге наблюдались признаки отека, что гистологически указывало на наличие выраженных периваскулярных, перицеллюлярных оптических пустот с полнокровием сосудов, эритроцитарными сладжами и мелкими кровоизлияниями (рис. 4, вклейка, с. II).
По результатам вирусологического исследования секционного материала: РНК SARS-CoV-2 была обнаружена в легком. По результатам микробиологического исследования был выявлен обильный рост Staphylococcus аureus.
Согласно макро- и микроскопического описания был выставлен патологоанатомический диагноз. Основное заболевание: «Острая двусторонняя тотальная бактериальная пневмония» (при гистологическом исследовании выявлялись участки некроза легочной ткани с формированием «гнойников» [микроабсцессов]), вызванная Staphylococcus aureus, с участками микроабсцедирования. Осложнения основного заболевания: «Отек легких. Отек головного мозга. Острый респираторный дистресс взрослого. Острая респираторная недостаточность». Сопутствующие заболевания: «Анемия средней степени тяжести».
Заключение
Представленный случай инфицирования COVID-19 у молодой пациентки имеет особую актуальность, так как демонстрирует неблагоприятный исход заболевания в связи с особенностями возбудителя инфекции. Несмотря на молодой возраст и отсутствие сопутствующей патологии, мы наблюдали поражение не только верхних, но и нижних дыхательных путей за счет возникновения отека альвеолярно-капиллярной мембраны, появления тяжелого острого дистресс-синдрома и присоединением в финале бактериальной инфекции, что привело к образованию микроабсцессов. Таким образом, вирусная пневмония, вызванная коронавирусом и присоединением бактериальной инфекции, в нашем случае стафилококка, может привести к тяжелой дыхательной недостаточности с развитием острого дистресс-синдрома, обусловливающей высокую летальность, в том числе и у пациентов без сопутствующей патологии. Очевидно, что высокая частота деструктивных процессов при стафилококковой пневмонии объясняется тем, что для патогенных стафилококков характерна выработка большого количества протеолитических ферментов, таких как: плазмокоагулаза — защищает микроорганизмы от фагоцитоза, гиалуронидаза — способствует распространению стафилококка за пределы сосудистой стенки в ткань, фибринолизин — растворяет фибриновые нити и пленки и, наконец, некротоксин — вещество, способствующее развитию некротических процессов.
На основании приведенного случая можно отметить, что микроабсцессы в легких возникли вследствие особенностей возбудителя, несвоевременной диагностики пневмонии, неадекватного лечения в амбулаторных условиях, что привело к осложнениям. Диагностические критерии и благоприятный исход возможен при полном клиническом обследовании с использованием современных методов диагностики, с обязательным бактериологическим посевом мокроты и определения чувствительности к антибактериальным препаратам и своевременного комплексного лечения, что позволило бы снизить риск возникновения осложнений.
Иллюстрации к статье «Случай абсцедирующей пневмонии при инфицировании COVID-19 у молодой пациентки» (авторы: О.В. Воробьева, Л.П. Романова) (с. 779–782)
Illustrations for the article “A case of abscessed pneumonia due to COVID-19 infection in a young patient” (authors: Vorobeva O.V., Romanova L.P.) (pp. 779–782)
Рисунок 1. Микроскопическая картина некротических изменений слизистой оболочки трахеи с дегенерацией и десквамацией эпителиальных клеток, выраженным отеком, мононуклеарной инфильтрацией подслизистого слоя. Окраска гематоксилином и эозином (×900) / Figure 1. Microscopic picture of necrotic changes in the tracheal mucosa with epithelial cell degeneration and desquamation, severe edema. Stained with hematoxylin and eosin, ×900
Рисунок 2. Микроскопическая картина микроабсцесса в легочной ткани: некротические очаги, сформировавшие микроабсцесс с пиогенной мембраной и лейкоцитарным валом по периферии. В окружении микроабсцесса определяются спавшиеся альвеолы с некротически измененными стенками. Окраска гематоксилином и эозином (×900) / Figure 2. Microscopic picture of necrotic foci with a pyogenic membrane and a leukocyte shaft on the periphery. Surrounded by a microabscess, collapsed alveoli with necrotically modified walls are detected. Stained with hematoxylin and eosin, ×900
Рисунок 3. Микроскопическая картина тотальной абсцедирующей пневмонии: некротические участки с расплавлением альвеолярной ткани, множественными кровоизлияниями, в альвеолах определяется геморрагический и серозный экссудат с инфильтрацией мононуклеарными лейкоцитами. Окраска гематоксилином и эозином (×900) / Figure 3. Microscopic picture of multiple hemorrhages in the alveoli with mononuclear leukocyte infiltration. Stained with hematoxylin and eosin, ×900
Рисунок 4. Микроскопическая картина отека головного мозга с перицеллюлярным и периваскулярным отеком, в сосудах эритроцитарные сладжи с мелкими кровоизлияниями. Окраска гематоксилином и эозином (×900) / Figure 4. Microscopic picture of cerebral edema with pericellularly and perivascularly accumulated transudate. Stained with hematoxylin and eosin, ×900
About the authors
Olga V. Vorobeva
I.N. Ulyanov Chuvash State University
Author for correspondence.
Email: olavorobeva@mail.ru
ORCID iD: 0000-0003-3259-3691
PhD (Medicine), Associate Professor, Department of General and Clinical Morphology and Forensic Medicine
Россия, 15, Moskovskii pr., Cheboksary, 428045L. P. Romanova
I.N. Ulyanov Chuvash State University
Email: samung2008@yandex.ru
ORCID iD: 0000-0003-0556-8490
PhD (Biology), Associate Professor, Department of Dermatovenerology and Hygiene
Россия, CheboksaryReferences
- Воробьева О.В. Изменения в органах при инфицировании COVID-19 с развитием септикопиемии // Профилактическая медицина. 2021. Т. 24, № 10. С. 89–93. [Vorobyeva O.V. Сhanges in organs in COVID-19 infection with septicopyemia. Profilakticheskaya meditsina = The Russian Journal of Preventive Medicine, 2021, vol. 24, no. 10, рр. 89–93. (In Russ.)] doi: 10.17116/profmed20212410189
- Воробьева О.В., Ласточкин А.В. Патоморфологические изменения в органах при COVID-19 // Инфекция и иммунитет. 2020. Т. 10, № 3. С. 587–590. [Vorobeva O.V., Lastochkin A.V. Organ-specific pathomorphological changes during COVID-19. Infektsiya i immunitet = Russian Journal of Infection and Immunity, 2020, vol. 10, no. 3, pp. 587–590. (In Russ.)] doi: 10.15789/2220-7619-PCI-1483
- Alsaad K.O., Hajeer A.H., Al Balwi M., Al Moaiqel M., Al Oudah N., Al Ajlan A., AlJohani S., Alsolamy S., Gmati G.E., Balkhy H., Al-Jahdali H.H., Baharoon S.A., Arabi Y.M. Histopathology of Middle East respiratory syndrome coronovirus (MERS-CoV) infection — clinicopathological and ultrastructural study. Histopathology, 2018, vol. 72, no. 3, pp. 516–524. doi: 10.1111/his.13379
- Hwang D.M., Chamberlain D.W., Poutanen S.M., Low D.E., Asa S.L., Butany J. Pulmonary pathology of severe acute respiratory syndrome in Toronto. Mod. Pathol., 2005, vol. 18, no. 1, pp. 1–10. doi: 10.1038/modpathol.3800247
- Liu J., Zheng X., Tong Q., Li W., Wang B., Sutter K., Trilling M., Lu M., Dittmer U., Yang D. Overlapping and discrete aspects of the pathology and pathogenesis of the emerging human pathogenic coronaviruses SARS-CoV, MERS-CoV, and 2019-nCoV. J. Med. Virol., 2020, vol. 92, no. 5, pp. 491–494. doi: 10.1002/jmv.25709
- Zhang H., Zhou P., Wei Y., Yue H., Wang Y., Hu M., Zhang S., Cao T., Yang C., Li M., Guo G., Chen X., Chen Y., Lei M., Liu H., Zhao J., Peng P., Wang C.Y., Du R. Histopathologic changes and SARS-CoV-2 immunostaining in the lung of a patient with COVID-19. Ann. Intern. Med., 2020, vol. 172, no. 9, pp. 629–632. doi: 10.7326/M20-0533
- Zhou P., Yang X.L., Wang X.G., Hu B., Zhang L., Zhang W., Si H.R., Zhu Y., Li B., Huang C.L., Chen H.D., Chen J., Luo Y., Guo H., Jiang R.D., Liu M.Q., Chen Y., Shen X.R., Wang X., Zheng X.S., Zhao K., Chen Q.J., Deng F., Liu L.L., Yan B., Zhan F.X., Wang Y.Y., Xiao G.F., Shi Z.L. A pneumonia outbreak associated with a new coronavirus of probable bat origin. Nature, 2020, vol. 579, no. 7798, pp. 270–273. doi: 10.1038/s41586-020-2012-7
Supplementary files








