Designing structure and E. coli strain-producer bearing SARS-CoV-2 N, S, M, E protein-related sequence antigen
- Authors: Kopat V.V.1, Riabchenkova A.A.1, Chirak E.L.1, Chirak E.R.1, Saenko A.I.1, Kolmakov N.N.2, Simbirtsev A.S.3, Dukhovlinov I.V.1, Totolian A.A.3
-
Affiliations:
- LLC “ATG Service Gene”
- Institute of Experimental Medicine
- Saint Petersburg Pasteur Institute
- Issue: Vol 13, No 4 (2023)
- Pages: 653-662
- Section: ORIGINAL ARTICLES
- Submitted: 11.08.2023
- Accepted: 13.08.2023
- Published: 24.10.2023
- URL: https://iimmun.ru/iimm/article/view/15624
- DOI: https://doi.org/10.15789/2220-7619-DSA-15624
- ID: 15624
Cite item
Full Text
Abstract
T-cell immune response is extremely important in protecting human body from diverse viral infections. It is known that it can ensure viral clearance and complete recovery in patients with humoral immunodeficiency. COVID-19 patients were found to have T-cell response primarily directed against SARS-CoV-2 structural S, M, N, E proteins, with nucleocapsid protein being most conserved. To assess patients’ immunity against coronavirus infection and evaluate an effectiveness of vaccine candidates, it is necessary to develop an optimal diagnostic antigen to evaluate arising T-cell response against SARS-CoV-2 antigenic determinants. A diagnostic test to determine host specific susceptibility to SARS-CoV-2 infection should target conserved regions of global SARS-CoV-2 variants. The study was aimed to develop a structure of an antigen bearing conserved and immunogenic sequences derived from SARS-CoV-2 structural proteins and to obtain an Escherichia coli producer strain containing a recombinant protein to be subsequently used for assessing antiviral T-cell immunity. Developing of the antigen was performed in silico: TepiTool and NetMHCIIpan were used to predict and identify high affinity epitopes spanning SARS-CoV-2 E, M, N, S proteins and MHC II binding. Several variants of recombinant antigen proteins were constructed, from which one was selected based on its physicochemical properties: isoelectric point, hydrophobicity index and aliphatic index, as well as 3D representation built by using the I-TASSER. The sequence was synthesized and cloned into the pET24a(+) vector. The resulting plasmid pCorD_PS was transformed into E. coli DH5α followed by Rosetta (DE3). The strain-producer of the recombinant E. coli protein CorD_PS was assessed for the presence and stability of IPTG-induced antigen protein expression and elimination of recombinant coronavirus antigen-bearing plasmid. Based on the study data, an antigen was developed consisting of conserved regions from SARS-CoV-2 S, M, N, E proteins. A 53 kDa recombinant protein was predicted to be stable in aqueous solutions with isoelectric point of 9.56 potentially allowing to simplify protein purification from E. coli cells. Plasmid DNA pCorD_PS (6695 bp) encoding final recombinant coronavirus antigen cloned into pET24a(+) vector was obtained. A stable, productive E. coli CorD_PS strain was obtained. The obtained strain-producer resulting in recombinant E. coli CorD_PS antigen is stable allowing to move on to design antigen purification technique and further develop SARS-CoV-2-specific diagnostic test system.
Keywords
Full Text
Введение
Т-клеточный иммунный ответ играет критическую роль в защите хозяина от многих вирусных инфекций. Внутриклеточная вирусная инфекция стимулирует презентацию вирусных пептидов либо белками HLA класса I CD8+ Т-клеткам (цитотоксические Т-клетки), либо белками HLA класса II CD4+ Т-клеткам [11]. Активация CD4+ и CD8+ Т-клеток зависит от связывания между антигеном, присутствующим на главном комплексе гистосовместимости (MHC) антигенпрезентирующих клеток, и Т-клеточным рецептором на Т-клетке [30]. В частности, MHC I распознается CD8+ T-клетками, а MHC II — CD4+ T-клетками. Оба типа Т-лимфоцитов важны для борьбы с коронавирусами, но в моделях инфицирования SARS-CoV-2 показано, что степень защиты в большей степени зависит от CD4+ Т-клеток. Именно их экспериментальное удаление приводило к блокировке выхода всех типов лимфоцитов в ткань легких, снижению синтеза нейтрализующих антител и цитокинов и значительно снижало вирусный клиренс [5]. Известно, что Т-клеточный иммунный ответ может обеспечить вирусный клиренс и полное выздоровление у пациентов с гуморальным иммунодефицитом [2, 10, 32].
Также было показано, что для инфекционного процесса, вызванного SARS-CoV-2, характерны: гиперактивация Th17 и нарушения их субпопуляционного состава; изменения в соотношении «регуляторных» и «провоспалительных» Т-фолликулярных клеток-хелперов [1]; измененный состав подмножества B-клеток, что может быть связано с изменениями в функциональной активности Т-фолликулярных клеток-хелперов [14]; долговременные нарушения в процессах созревания и дифференцировки NK-клеток и цитотоксических Т-лимфоцитов, что может быть связано как с эффективной генерацией подмножества эффекторных клеток, так и с нарушением дифференциации цитотоксических Т-клеток в тимусе [15].
Выявляемый реактивный Т-клеточный ответ у пациентов с COVID-19, ответственный за элиминацию вируса, имеет широкую вариабельную специфичность к различным белкам SARS-CoV-2. Наиболее доминирующие реактивные Т-клетки, включая CD4+, CD8+, CD4+CD154+CD137+ и CD154+CD137+, обнаруженные у выздоровевших пациентов с COVID-19, были специфичны для структурных белков SARS-CoV-2 [5, 10, 11]. В состав вируса SARS-CoV-2 входят четыре белка: E (оболочка), M (мембрана), N (нуклеокапсид) и S (шип) [8]. Из них наиболее консервативным и стабильным является N-белок: большинство эпитопов, специфичных для Т-клеток, сохраняют функциональность в защите от инфекций, вызываемых мутированными вариантами SARS-CoV-2 [20, 30]. Предполагается, что наличие перекрестно-реактивных Т-клеток обеспечивает гетерологичный иммунитет при контакте с неидентичным патогеном [7, 33]. Недавние исследования экспериментально продемонстрировали наличие перекрестно-реактивных Т-клеток при SARS-CoV-2 и SARS-CoV, что указывает на важность гетерологичного иммунитета при инфекции SARS-CoV-2 [9, 19].
Поскольку Т-клеточный иммунитет может обеспечить вирусный клиренс и задействован в механизме иммунной защиты от COVID-19, существует необходимость оценки его функциональности с помощью диагностических систем [21, 28].
В настоящем исследовании мы разработали рекомбинантный коронавирусный антиген на основе полноразмерного белка нуклеокапсида SARS-CoV-2, дополнительно содержащего Т-клеточные антигенные детерминанты структурных белков (S, E, M) для качественного определения Т-клеточного иммунитета. Данный антиген может стать эффективным инструментом для определения Т-клеточных реакций у пациентов с COVID-19 с различной степенью тяжести заболевания и/или оценки иммуногенности кандидатных вакцин в их клинических испытаниях.
Материалы и методы
Предсказание/поиск CD4+ Т-клеточных иммуногенных эпитопов SARS-CoV-2 in silico. Поиск иммуногенных эпитопов проводили в последовательностях структурных белков S, N, M и E SARS-CoV-2 (изолят Wuhan-Hu-1, номер доступа NCBI NC_045512.2) [38]. Выравнивание белковых последовательностей проводили с использованием алгоритма BLAST [3]. TepiTool [24] и NetMHCIIpan [27] использовали для прогнозирования и идентификации высокоаффинных эпитопов, охватывающих белки E, M, N, S SARS-CoV-2 и связывающих MHC II, на основе «панели из 27 наиболее частых аллелей A и B» с включением аллелей HLA-DR, HLA-DP и HLA-DQ. В «методе прогнозирования» — IEDB, выбирали «умеренное количество пептидов», длина эпитопа по умолчанию составляла 15 АК. Пептиды предсказали на основе порогового значения IC50, меньшего или равного 1000 нМ. В NetMHCIIpan также предсказали связывание 15 АК пептидов с 27 аллелями MHC II. Были выбраны 0,5%-ные частотные эпитопы на основе прогноза наиболее сильного связывания. Для всех 15 АК пептидов была предсказана их аффинность связывания с 27 молекулами MHC класса II, на долю которых приходится 97% аллельных вариантов HLA-A и HLA-B у большинства этнических групп [29].
Поиск предсказанных эпитопов SARS-CoV-2 среди экспериментально определенных эпитопов и предсказание связывания отобранных эпитопов с Т-клеточным рецептором. Отобранные в этом исследовании CD4+ Т-клеточные эпитопы были найдены в базе данных ViPR (https://www.viprbrc.org) путем выбора таких параметров, как семейство Coronaviridae, человек-хозяин и экспериментально определенные T-клеточные эпитопы. Для моделирования связывания Т-клеточных рецепторов с отобранными эпитопами и формирования комплекса эпитоп–MHC II использовали ERGO, который применим как для CD4+, так и для CD8+ Т-клеточных эпитопов [31].
Анализ физико-химических свойств сконструированных рекомбинантных белков. Предварительно мы разработали несколько вариантов рекомбинантных коронавирусных антигенов на основе полноразмерного N-белка SARS-CoV-2, ориентируясь на его консервативность и иммуногенность, дополнительно добавив к нему подобранные CD4+ Т-клеточные антигенные детерминанты структурных белков (S, E, M). Структуру сконструированных рекомбинантных белков моделировали с использованием I-TASSER и проверили на сервере RAMPAGE [26]. Физико-химические параметры белков проанализировали с использованием ProtParam [35], изоэлектрическую точку дополнительно просчитывали с помощью Protein isoelectric point calculator (http://isoelectric.org) [13].
Проводили выравнивание последовательностей, содержащих наиболее иммуногенные участки структурных белков SARS-CoV-2, с помощью BLAST [3] против белков человека, чтобы убедиться в отсутствии сходства полученной гибридной последовательности с последовательностями белков человека и избежать возникновения аутоиммунных реакций при введении антигена.
Конструирование плазмиды pCorD_PS. Последовательность гена, кодирующего химерный белок, синтезировали и клонировали в вектор pET24a(+) по сайтам рестрикции: 5' — NdeI, 3' — XhoI. Перед 6×His-меткой дополнительно ввели стоп-кодон. Полученную плазмиду секвенировали на приборе «ABI PRISM 310 GeneticAnalyzer» (Applied Biosystems, США) с использованием набора ABI PRISM BigDye Terminators Cycle Sequencing Kit.
Создание штамма-продуцента плазмиды pCorD_PS. Трансформацию компетентных клеток E. coli DH5α осуществляли методом электропорации с помощью электропоратора «GenePulser Xcell» (Bio-Rad, США). 1 мкл элюированной с мембранного носителя плазмидной ДНК добавляли к 35 мкл компетентных клеток, перемешивали пипетированием и переносили в стерильные кюветы для электропорации (Bio-Rad, США) объемом 100 мкл, щель 1 мм. Трансформирование производили при электрическом импульсе напряженностью 1,8 кВ длительностью 5 мс. После трансформации клетки помещали в 1 мл cреды SОС и инкубировали в течение 40 мин при 37°С в твердотельном термостате «Термит» (ДНК-Технология), после чего шпателем втирали клетки в чашки Петри с LB-агаром (Gibko BRL, США) и инкубировали в течение ночи в суховоздушном термостате при 37°С (BioSan). Далее клетки высевали на твердую среду LB-M-агар с добавлением канамицина (50 мкг/мл) и инкубировали при 37°С в течение ночи.
Для проверки выросших клонов их пересевали в 50 мл среды LB-M с добавлением канамицина (50 мкг/мл) и инкубировали в роторном шейкере-инкубаторе при 180 об/мин и 37°С в течение ночи. Из 2 мл «ночной» культуры выделяли плазмидную ДНК набором MiniPrep (Евроген) по протоколу производителя.
Полученную ДНК рестрицировали эндонуклеазами NdeI и XhoI (NEB, США) согласно протоколу производителя. Дополнительно подлинность плазмиды проверяли путем секвенирования по Сэнгеру. Оценку наличия плазмиды и длины рестрицированных фрагментов проводили путем электрофореза в 1% агарозном геле с бромистым этидием.
Конструирование штамма-продуцента Escherichia coli CorD_PS. Полученную плазмидную ДНК pCorD_PS разводили в 200 раз деионизированной водой и трансформировали ею компетентные клетки E. coli Rosetta (DE3) при аналогичных условиях. В результате получили штамм E. coli CorD_PS, содержащий плазмиду pCorD_PS. Для хранения клеток смешивали 1 мл ночной культуры и 1 мл стерильного 50% глицерина, переносили в криопробирки и замораживали при –80°С.
Проводили оценку способности синтезировать химерный белок клетками E. coli отдельных клонов, содержащих плазмиду pCorD_PS. Ночную культуру клеток клонов выращивали на среде LB-М с добавлением канамицина (50 мкг/мл) в роторном шейкере-инкубаторе при 37°C и 180 об/мин.
К 50 мл свежей среды LB-М с добавлением канамицина (50 мкг/мл) добавляли 1 мл «ночной» культуры, инкубировали в роторном шейкере-инкубаторе при 180 об/мин и 37°С в течение 2 ч. Далее отбирали 1 мл культуры без индукции, добавляли изопропил-β-d-тиогалактозид (ИПТГ) до конечной концентрации 1 мМ, и продолжали индукцию в течение 4 ч.
Оценку экспрессии антигена коронавирусного рекомбинантного анализировали методом электрофореза в 12% полиакриламидном геле (SDS-PAGE) по методу Лэммли в редуцирующих условиях [17]. Подготовку образцов для электрофореза проводили следующим образом: 1 мл культуры центрифугировали 5 мин при 5000g, супернатант удаляли, клеточный осадок ресуспендировали в 100 мкл 8М мочевины, 50 мМ Tris-HCl рН 8,0, добавляли 30 мкл 4х буфера для образцов (Thermo Fisher Scientific, США), прогревали 10 мин при 99°С, охлаждали и наносили в лунки геля. Полиакриламидный гель окрашивали Кумасси (Coomassie Brilliant Blue R250).
Оценка стабильности штамма-продуцента E. coli CorD_PS. Для доказательства стабильности штамма-продуцента E. coli CorD_PS провели серию из 9 последовательных пересевов (пассажей) штамма и серию последовательных индукций, в качестве ночной культуры для каждой из которых использовали клетки после 1, 3, 5, 7 и 9 пассажей.
Для проведения индукции экспрессии из замороженных образцов с культурой штамма-продуцента E. coli CorD_PS из каждого соответствующего пассажа отбирали по 50 мкл клеточной суспензии и переносили в 50 мл среды LB-М с добавлением канамицина (50 мкг/мл). Клетки растили в роторном шейкере-инкубаторе при 37°C и 180 об/мин в течение. К 50 мл свежей среды LB-М с добавлением канамицина (50 мкг/мл) добавляли 1 мл ночной культуры, инкубировали в шейкере-инкубаторе при 180 об/мин и 37°С в течение 2 ч. Далее отбирали 1 мл культуры без индукции, добавляли ИПТГ до конечной концентрации 1 мМ и продолжали индукцию в течение 4 ч. Оценку экспрессии антигена коронавирусного рекомбинантного анализировали методом электрофореза в 12% полиакриламидном геле аналогичным образом.
Для оценки элиминирования кодирующей плазмиды из 2 мл «ночной» культуры выделяли плазмидную ДНК набором «MiniPrep» (Евроген) по протоколу производителя. Полученную плазмидную ДНК рестрицировали (линеаризовали) эндонуклеазой XhoI (NEB) согласно протоколу производителя. Дополнительно подлинность плазмиды проверяли путем ее секвенирования по Сэнгеру. Оценку наличия плазмиды и длины рестрицированных фрагментов проводили путем электрофореза в 1% агарозном геле с бромистым этидием.
Результаты
Разработка кодирующей химерной последовательности антигена
Среди предсказанных in silico CD4+ Т-клеточных иммуногенных эпитопов белков E, M, N, S вируса SARS-CoV-2 были отобраны высокоаффинные эпитопы с экспериментальным подтверждением (согласно базе данных ViPR). Далее шел отбор по физико-химическим свойствам. Были отобраны эпитопы с таким суммарным зарядом, чтобы общий заряд химерного белка на основе N-белка SARS-CoV-2 изменялся незначительно при их добавлении. Этот шаг обоснован тем фактом, что теоретически рассчитанная изоэлектрическая точка N-белка SARS-CoV-2 составляет 9,55, что положительно сказывается на отделении рекомбинантного белка от большинства белков штамма-продуцента в ходе очистки. Структура химерного белка, полученная с помощью SnapGene (http://www.snapgene.com), представлена на рис. 1.
Рисунок 1. Линейная структура химерного белка
Figure 1. Linear structure of the chimeric protein
Примечание. АК 1–419 — полноразмерный N-белок; АК 420–434 — участок Е-белка (АК 6–20); AK 435–449 — участок М-белка (АК 129–143); АК 450–465 — участок S-белка (АК 345–360); AK 466–486 — участок S-белка (AK 500–520).
Note. AA 1–419 — full-length N-protein; AA 420–434 — region of the E-protein (AA 6–20); AA 435–449 — M-protein region (AA 129–143); AA 450–465 — S-protein region (AA 345–360); AA 466–486 — S-protein region (AA 500–520).
Отобранные участки структурных белков включают восококонсервативные эпитопы внутри мутированных штаммов, вызывающих наибольшую обеспокоенность: варианты B.1.1.7, B.1.351, P.1, B.1.429, B.1.526, B.1.617, B.1.617.1, B.1.617.2, AY.1, B.1.618, C.37, B.1.621 и B.1.1.52; включенные эпитопы S-белка соответствуют RBD домену [34]. Соответственно, разрабатываемый диагностикум потенциально универсален.
Разработанный химерный белок состоит из 486 аминокислот и имеет массу 53 059 Da; изоэлектрическую точку pI 9,56; индекс гидрофобности (GRAVY) –0,785; алифатический индекс 61,91; коэффициент экстинкции 53 860 (1 мг/мл раствора белка имеет оптическую плотность 1,02 при длине волны 280 нм). 3D модель белка представлена на рис. 2 (III обложка).
Рисунок 2. Смоделированная структура антигена коронавирусного рекомбинантного (3D модель белка), визуализированная с помощью I-TASSER [31]
Figure 2. Modeled structure of the recombinant coronavirus antigen (3D protein model) rendered with I-TASSER [31]
Структура плазмиды pCorD_PS
Рисунок 3. Схематическое изображение конструкции рекомбинантного вектора pCorD_PS
Figure 3. Schematic representation of the pCorD_PS recombinant vector construct
Примечание. Модифицированная версия pET-24a (+), в которой последовательность, кодирующая коронавирусный антиген, клонирована по сайтам NdeI/XhoI.
Note. Modified version of pET-24a (+) in which the coronavirus antigen coding sequence is cloned at the NdeI/XhoI sites.
Плазмидный вектор pCorD_PS (рис. 3, III обложка) представляет собой вектор pET24a(+), в который по сайтам рестрикции NdeI и XhoI вставлен синтетический фрагмент ДНК размером 1461 п.н., включающий оптимизированную кодирующую часть гена антигена коронавирусного рекомбинантного. При оптимизации гена из последовательности удалили внутренние сайты рекомбинации, сайты связывания рибосомы, AT- и GC-богатые последовательности, повторы и потенциальные вторичные структуры мРНК. Кодонный состав гена адаптировали для E. coli.
В результате конструирования рекомбинантного вектора длина плазмиды pCorD_PS составила 6695 п.н. Теоретически ожидаемые длины фрагментов при обработке эндонуклеазами рестрикции NdeI и XhoI должны составлять 1463 и 5232 п.н. Практически получены фрагменты, соответствующие ожидаемым (рис. 4).
Рисунок 4. Электрофореграмма рестрицированного вектора pCorD_PS в 1% агрозном геле
Figure 4. Electropherogram of the restricted vector pCorD_PS in 1% agarose gel
Примечание. 1 — pCorD_PS нерестрицированная; 2 — pCorD_PS рестрицированная по сайтам NdeI и XhoI; М — Маркер молекулярного веса ДНК (500–10 000 bp DNA Ladder).
Note.1 — Unrestricted pCorD_PS; 2 — pCorD_PS restricted at the NdeI and XhoI sites; M — DNA Molecular Weight Marker (500–10 000 bp DNA Ladder).
Конструирование штамма-продуцента Escherichia coli CorD_PS
В результате трансформации компетентных клеток E. coli Rosetta (DE3) плазмидой pCorD_PS получили штамм E. coli CorD_PS. Для хранения клеток смешивали 1 мл «ночной» культуры и 1 мл стерильного 50% глицерина, переносили в криопробирки и замораживали при –80°С.
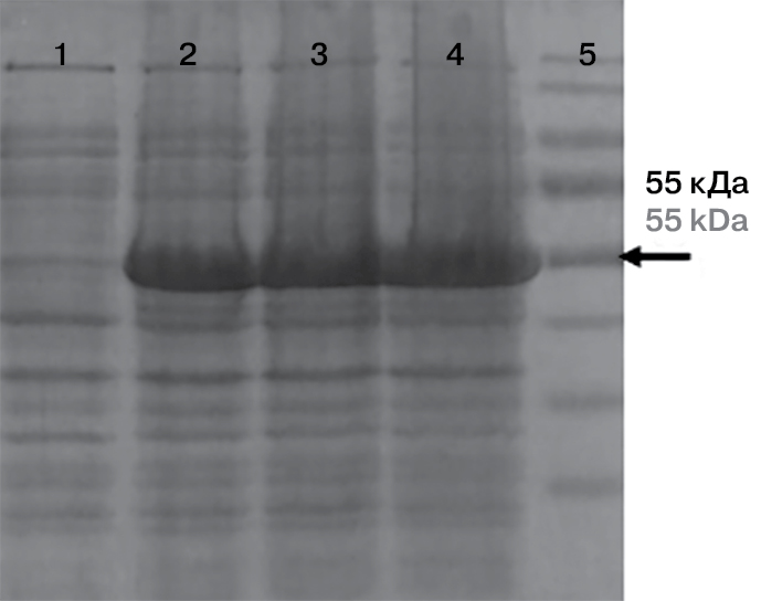
Экспрессию белка в культурах 3 клонов, индуцированную добавлением 1 мМ ИПТГ, проанализировали в 12% полиакриламидном геле. Во всех проанализированных клонах после 4 ч индукции обнаружили экспрессию белка, масса которого соответствует теоретически ожидаемой в 53 kDa (рис. 5). Для дальнейшей работы мы выбрали клон № 3.
Рисунок 5. Экспрессия антигена в культурах 3 клонов, индуцированная добавлением 1 мМ ИПТГ, в 12% полиакриламидном геле в денатурирующих условиях
Figure 5. Antigen expression in cultures of 3 clones induced with the addition of 1 mM IPTG in 12% polyacrylamide gel under denaturing conditions
Примечание. 1 — pCorD_PS — отрицательный контроль (до индукции); 2 — pCorD_PS клон 1; 3 — pCorD_PS клон 2; 4 — pCorD_PS клон 3; 5 — Маркер молекулярного веса белков PageRuler™ Prestained Protein Ladder, 10 to 180 kDa (Thermo Scientific, кат. ном.26616).
Note. 1 — pCorD_PS — negative control (before induction); 2 — pCorD_PS clone 1; 3 — pCorD_PS clone 2; 4 — pCorD_PS clone 3; 5 — PageRuler™ Prestained Protein Ladder, 10 to 180 kDa (Thermo Scientific, cat. no. 26616).
Стабильность штамма-продуцента E. coli CorD_PS
Продуктивность штамма E. сoli CorD_PS в течение проведенных 9 пассажей остается неизменной (рис. 6).
Рисунок 6. Электрофореграмма экспрессии антигена коронавирусного рекомбинантного после 1–9 пассажей
Figure 6. Electropherogram of recombinant coronavirus antigen expression after 1–9 passages
Примечание. 1 — смесь маркерных белков для электрофореза (Thermo Scientific, кат. ном. 26616), 2 — лизат индукции после 1 пассажа; 3 — лизат индукции после 3 пассажа; 4 — лизат индукции после 5 пассажа; 5 — лизат индукции после 7 пассажа; 6 — лизат индукции после 9 пассажа.
Note. 1 — electrophoresis marker protein mix (Thermo Scientific, cat. no. 26616), 2 — induction lysate after 1 passage; 3 — induction lysate after passage 3; 4 — induction lysate after passage 5; 5 — induction lysate after passage 7; 6 — induction lysate after passage 9.
Интенсивность полос в исследуемых образцах, значение молекулярных весов которых соответствует аллергену коронавирусному рекомбинантному, одинакова для всех пассажей, следовательно, производительность штамма-продуцента в течение 1–9 пассажей остается постоянной.
Плазмида, выделенная из культур после первого, пятого, седьмого, девятого пассажей не имеет различий в молекулярных массах (рис. 7).
Рисунок 7. Электрофореграмма плазмидных ДНК после последовательных пассажей
Figure 7. Electropherogram of plasmid DNA after successive passages
Примечание. 1 — смесь маркерных фрагментов ДНК 1 kb DNA Ladder (Евроген, кат. ном. NL001); 2 — плазмида, выделенная из 1 пассажа; 3 — плазмида, выделенная из 3 пассажа; 4 — плазмида, выделенная из 5 пассажа; 5 — плазмида, выделенная из 7 пассажа; 6 — плазмида, выделенная из 9 пассажа.
Note. 1 — mixture of marker DNA fragments 1 kb DNA Ladder (Evrogen, cat. no. NL001); 2 — plasmid isolated from passage 1; 3 — plasmid isolated from passage 3; 4 — plasmid isolated from passage 5; 5 — plasmid isolated from passage 7; 6 — plasmid isolated from passage 9.
Молекулярные массы XhoI рестриктов плазмид, выделенных из штамма продуцента после первого, пятого, седьмого и девятого пассажей, полностью соответствуют молекулярной массе XhoI рестрикта плазмиды рCorD_PS и соответствует теоретически ожидаемой (рис. 8).
Рисунок 8. Электрофореграмма рестриктов плазмидных ДНК после последовательных пассажей
Figure 8. Electropherogram of plasmid DNA restriction after successive passages
Примечание. 1 — Смесь маркерных фрагментов ДНК 1 kb DNA Ladder (Евроген, кат. ном. NL001); 2 — XhoI рестрикт плазмиды, выделенной из 1 пассажа; 3 — XhoI рестрикт плазмиды, выделенной из 3 пассажа; 4 — XhoI рестрикт плазмиды, выделенной из 5 пассажа; 5 — XhoI рестрикт плазмиды, выделенной из 7 пассажа; 6 — XhoI рестрикт плазмиды, выделенной из 9 пассажа.
Note. 1 — A mixture of marker DNA fragments 1 kb DNA Ladder (Evrogen, Cat. No. NL001); 2 — XhoI restriction plasmid isolated from passage 1; 3 — XhoI restriction plasmid isolated from passage 3; 4 — XhoI restriction plasmid isolated from passage 5; 5 — XhoI restriction plasmid isolated from passage 7; 6 — XhoI restriction plasmid isolated from passage 9.
Анализ приведенных данных позволяет утверждать, что штамм E. coli CorD_PS стабилен. В течение всего процесса ферментации штамма E. coli CorD_PS элиминирования плазмиды рCorD_PS, кодирующей синтез аллергена коронавирусного рекомбинантного, не происходит.
Для выделенных плазмид была определена первичная нуклеотидная последовательность. Анализ показал, что все нуклеотидные последовательности ДНК плазмид pCorD_PS, выделенных из культур штамма E. coli CorD_PS, полностью соответствуют нуклеотидной последовательности антигена коронавирусного рекомбинантного, следовательно, структура плазмиды при пассажах клеток остается стабильной.
Обсуждение
Показано, что специфичный для Уханьского варианта SARS-CoV-2 ответ CD4+ Т-клеток более консервативен против мутированных штаммов, потому что мутации в основном происходят в Т-клеточных эпитопах, отличных от CD4+ [23, 22]. Несмотря на то что мутации происходят в 3% CD8+ Т-клеточных эпитопах, они имеют огромное значение, поскольку даже одной мутации в одном из эпитопов CD8+ T-клеток HLA достаточно для того, чтобы нарушить и поставить под угрозу распознавание эпитопов HLA, тем самым подавляя активацию, функциональность и цитотоксическую активность Т-клеток CD8+, которые значительно ингибируют разрушение инфицированных клеток-хозяев [9, 25] и в целом влияют на общую эффективность реакции Т-клеток [18, 36]. Т-клеточный иммунный ответ может сохраняться у выздоровевших пациентов в течение длительного времени, что может обеспечить ускоренный клиренс в случае вторичной инфекции SARS-CoV-2. Поэтому в данном исследовании мы сосредоточились на CD4+ Т-клеточных эпитопах.
Было сконструировано несколько вариантов рекомбинантных белков-антигенов, из которых выбрали один на основании его физико-химических свойств. В разработанную в рамках этого исследования многоэпитопную конструкцию мы включили MHC II связывающие эпитопы структурных белков S, M, E SARS-CoV-2 и полноразмерный белок нуклеокапсида как наиболее консервативный внутри семейства Coronaviridae и один из наиболее иммуногенных [4].
Отсутствие участков сходства с белками человека потенциально исключает возможные аутоиммунные/аллергические реакции. Алифатический индекс (61,91) свидетельствует о высокой термостабильности глобулярного белка в широком диапазоне температур [12]. Отрицательное значение индекса гидрофобности (–0,785) говорит о гидрофильных свойствах белка [16]. Высокая изоэлектрическая точка полученного химерного белка (9,56) позволяет потенциально упростить процесс хроматографической очистки, так как целевой белок будет иметь заряд, отличный от большей части белков штамма-продуцента E. coli. Трехмерная структура белка демонстрирует возможность архитектурной реализации и оптимального сворачивания и самоорганизации молекулы рекомбинантного антигена. Таким образом, наш белок потенциально стабилен в водных растворах.
Мы показали наличие экспрессии сконструированного антигена в клетках E. coli при индукции добавлением ИПТГ. Экспрессия остается стабильной при пассировании штамма в жидкой среде (до 9 пассажей) и после заморозки. Неизменной остается и исходная последовательность плазмидной ДНК, кодирующей целевой белок. Полученные результаты свидетельствуют о высокой стабильности штамма-продуцента рекомбинантного белка.
Использование химерной формы антигена (наличие различных иммуногенных участков всех структурных белков коронавируса SARS-CoV-2) расширяет возможности диагностической тест-системы: возможность оценки Т-клеточного иммунного ответа после вакцинации, в том числе теми вакцинами, которые не содержат или не кодируют фрагменты белков коронавируса, на которые формируются оцениваемые существующими диагностикумами на IgG- и IgM-антитела (к примеру, это вакцины, не содержащие полноразмерный S-белок или его RBD-домен).
В результате текущего исследования была разработана генетическая конструкция плазмидной ДНК pCorD_PS (6695 п.о.), кодирующая антиген коронавирусный рекомбинантный, для создания диагностической тест-системы в отношении коронавирусной инфекции. Получен стабильный, продуктивный по коронавирусному рекомбинантному антигену, штамм-продуцент E. coli CorD_PS.
Разработанный химерный белок, содержащий иммуногенные CD4+ Т-клеточные эпитопы S, E, M и N структурных белков SARS-CoV-2, может использоваться как диагностикум для качественной оценки специфической иммунной защиты против коронавирусной инфекции и/или оценки иммуногенности кандидатных вакцин в их клинических испытаниях.
На следующих этапах исследований планируется разработать технологию получения очищенного антигена и протестировать использование сконструированного рекомбинантного белка в качестве диагностикума для оценки Т-клеточного противовирусного иммунитета.
About the authors
Vladimir V. Kopat
LLC “ATG Service Gene”
Email: kopat@service-gene.ru
ORCID iD: 0000-0002-6573-6743
Development Director
Russian Federation, 199178, St. Petersburg, int. ter. municipal district Vasilyevsky, Maly pr. V.O., 57, build. 4, letter Zh, room 5-N, office 1.2.5Anastasia A. Riabchenkova
LLC “ATG Service Gene”
Author for correspondence.
Email: riabchenkova@service-gene.ru
ORCID iD: 0000-0002-9973-0753
Researcher
Russian Federation, 199178, St. Petersburg, int. ter. municipal district Vasilyevsky, Maly pr. V.O., 57, build. 4, letter Zh, room 5-N, office 1.2.5Evgenii L. Chirak
LLC “ATG Service Gene”
Email: chirak.evgenii@service-gene.ru
ORCID iD: 0000-0001-9167-5000
Researcher
Russian Federation, 199178, St. Petersburg, int. ter. municipal district Vasilyevsky, Maly pr. V.O., 57, build. 4, letter Zh, room 5-N, office 1.2.5Elizaveta R. Chirak
LLC “ATG Service Gene”
Email: chirak.elizaveta@service-gene.ru
ORCID iD: 0000-0002-1610-8935
Researcher
Russian Federation, 199178, St. Petersburg, int. ter. municipal district Vasilyevsky, Maly pr. V.O., 57, build. 4, letter Zh, room 5-N, office 1.2.5Anna I. Saenko
LLC “ATG Service Gene”
Email: anna.saenko@gmail.com
ORCID iD: 0009-0003-1059-1991
Chief Process Engineer
Russian Federation, 199178, St. Petersburg, int. ter. municipal district Vasilyevsky, Maly pr. V.O., 57, build. 4, letter Zh, room 5-N, office 1.2.5Nikolai N. Kolmakov
Institute of Experimental Medicine
Email: kolmakov@service-gene.ru
ORCID iD: 0000-0002-4672-6208
Researcher, Department of Molecular Genetics
Russian Federation, Saint PetersburgAndrey S. Simbirtsev
Saint Petersburg Pasteur Institute
Email: simbas@mail.ru
ORCID iD: 0000-0002-8228-4240
RAS Corresponding Member, DSc (Medicine), Professor, Head of the Laboratory of Medical Biotechnology
Russian Federation, 197101, Saint Petersburg , st. Mira, 14Ilya V. Dukhovlinov
LLC “ATG Service Gene”
Email: atg@service-gene.ru
ORCID iD: 0000-0002-5268-9802
PhD (Biology), Director of Science
Russian Federation, 199178, St. Petersburg, int. ter. municipal district Vasilyevsky, Maly pr. V.O., 57, build. 4, letter Zh, room 5-N, office 1.2.5Areg A. Totolian
Saint Petersburg Pasteur Institute
Email: totolian@spbraaci.ru
ORCID iD: 0000-0003-4571-8799
RAS Full Member, DSc (Medicine), Professor, Director
Russian Federation, 197101, Saint Petersburg , st. Mira, 14References
- Кудрявцев И.В., Головкин А.С., Тотолян А.А. Т-хелперы и их клетки-мишени при COVID-19 // Инфекция и иммунитет. 2022. Т. 12, № 3. C. 409–426. [Kudryavtsev I.V., Golovkin A.S., Totolian A.A. T helper cell subsets and related target cells in acute COVID-19. Russian Journal of Infection and Immunity, 2022, vol. 12, no. 3, pp. 409–426. (In Russ.)] doi: 10.15789/2220-7619-THC-1882
- Bange E.M., Han N.A., Wileyto P., Kim J.Y., Gouma S., Robinson J., Greenplate A.R., Hwee M.A., Porterfield F., Owoyemi O., Naik K., Zheng C., Galantino M., Weisman A.R., Ittner C.A.G., Kugler E.M., Baxter A.E., Oniyide O., Agyekum R.S., Dunn T.G., Jones T.K., Giannini H.M., Weirick M.E., McAllister C.M., Babady N.E., Kumar A., Widman A.J., DeWolf S., Boutemine S.R., Roberts C., Budzik K.R., Tollett S., Wright C., Perloff T., Sun L., Mathew D., Giles J.R., Oldridge D.A., Wu J.E., Alanio C., Adamski S., Garfall A.L., Vella L.A., Kerr S.J., Cohen J.V., Oyer R.A., Massa R., Maillard I.P., Maxwell K.N., Reilly J.P., Maslak P.G., Vonderheide R.H., Wolchok J.D., Hensley S.E., Wherry E.J., Meyer N.J., DeMichele A.M., Vardhana S.A., Mamtani R., Huang A.C. CD8+ T cells contribute to survival in patients with COVID-19 and hematologic cancer. Nat. Med., 2021, vol. 27, no. 7, pp. 1280–1289. doi: 10.1038/s41591-021-01386-7
- Boratyn G.M., Thierry-Mieg J., Thierry-Mieg D., Busby B., Madden T.L. Magic-BLAST, an accurate RNA-seq aligner for long and short reads. BMC Bioinformatics, 2019, vol. 20, no. 1, pp. 1–19. doi: 10.1186/s12859-019-2996-x
- Chang C.K., Hou M.H., Chang C.F., Hsiao C.D., Huang T.H. The SARS coronavirus nucleocapsid protein — forms and functions. Antiviral Res., 2014, vol. 103, pp. 39–50. doi: 10.1016/j.antiviral.2013.12.009
- Chen J., Lau Y.F., Lamirande E.W., Paddock C.D., Bartlett J.H., Zaki S.R., Subbarao K. Cellular immune responses to severe acute respiratory syndrome coronavirus (SARS-CoV) infection in senescent BALB/c mice: CD4+ T cells are important in control of SARS-CoV infection. J. Virol., 2010, vol. 84, no. 3, pp. 1289–1301. doi: 10.1128/jvi.01281-09
- DiPiazza A.T., Graham B.S., Ruckwardt T.J. T cell immunity to SARS-CoV-2 following natural infection and vaccination. Biochem. Biophys. Res. Commun., 2021, vol. 538, pp. 211–217. doi: 10.1016/j.bbrc.2020.10.060
- Friberg H., Burns L., Woda M., Kalayanarooj S., Endy T.P., Stephens H.A., Green S., Rothman A.L., Mathew A. Memory CD8+ T cells from naturally acquired primary dengue virus infection are highly cross-reactive. Immunol. Cell Biol., 2011, vol. 89, no. 1, pp. 122–129. doi: 10.1038/icb.2010.61
- Gordon D.E., Jang G.M., Bouhaddou M., Xu J., Obernier K., White K.M., O’Meara M.J., Rezelj V.V., Guo J.Z., Swaney D.L., Tummino T.A., Hüttenhain R., Kaake R.M., Richards A.L., Tutuncuoglu B., Foussard H., Batra J., Haas K., Modak M., Kim M., Haas P., Polacco B.J., Braberg H., Fabius J.M., Eckhardt M., Soucheray M., Bennett M.J., Cakir M., McGregor M.J., Li Q., Meyer B., Roesch F., Vallet T., Mac Kain A., Miorin L., Moreno E., Naing Z.Z.C., Zhou Y., Peng S., Shi Y., Zhang Z., Shen W., Kirby I.T., Melnyk J.E., Chorba J.S., Lou K., Dai S.A., Barrio-Hernandez I., Memon D., Hernandez-Armenta C., Lyu J., Mathy C.J.P., Perica T., Pilla K.B., Ganesan S.J., Saltzberg D.J., Rakesh R., Liu X., Rosenthal S.B., Calviello L., Venkataramanan S., Liboy-Lugo J., Lin Y., Huang X.P., Liu Y., Wankowicz S.A., Bohn M., Safari M., Ugur F.S., Koh C., Savar N.S., Tran Q.D., Shengjuler D., Fletcher S.J., O’Neal M.C., Cai Y., Chang J.C.J., Broadhurst D.J., Klippsten S., Sharp P.P., Wenzell N.A., Kuzuoglu-Ozturk D., Wang H.Y., Trenker R., Young J.M., Cavero D.A., Hiatt J., Roth T.L., Rathore U., Subramanian A., Noack J., Hubert M., Stroud R.M., Frankel A.D., Rosenberg O.S., Verba K.A., Agard D.A., Ott M., Emerman M., Jura N., von Zastrow M., Verdin E., Ashworth A., Schwartz O., d’Enfert C., Mukherjee S., Jacobson M., Malik H.S., Fujimori D.G., Ideker T., Craik C.S., Floor S.N., Fraser J.S., Gross J.D., Sali A., Roth B.L., Ruggero D., Taunton J., Kortemme T., Beltrao P., Vignuzzi M., García-Sastre A., Shokat K.M., Shoichet B.K., Krogan N.J. A SARS-CoV-2 protein interaction map reveals targets for drug repurposing. Nature, 2020, vol. 583, no. 7816, pp. 459–468. doi: 10.1038/s41586-020-2286-9
- Grifoni A., Weiskopf D., Ramirez S.I., Mateus J., Dan J.M., Moderbacher C.R., Rawlings S.A., Sutherland A., Premkumar L., Jadi R.S., Marrama D., de Silva A.M., Frazier A., Carlin A.F., Greenbaum J.A., Peters B., Krammer F., Smith D.M., Crotty S., Sette A. Targets of T cell responses to SARS-CoV-2 coronavirus in humans with COVID-19 disease and unexposed individuals. Cell, 2020, vol. 181, no. 7, pp. 1489–1501. doi: 10.1016/j.cell.2020.05.015
- Gupta S., Su H., Narsai T., Agrawal S. SARS-CoV-2-associated T-cell responses in the presence of humoral immunodeficiency. Int. Arch. Allergy Immunol., 2021, vol. 182, no. 3, pp. 195–209. doi: 10.1159/000514193
- Huang S., He Q., Zhou L. T cell responses in respiratory viral infections and chronic obstructive pulmonary disease. Chin. Med. J. (Engl.), 2021, vol. 134, no. 13, pp. 1522–1534. doi: 10.1097/CM9.0000000000001388
- Ikai A. Thermostability and aliphatic index of globular proteins. J. Biochem., 1980, vol. 88, no. 6, pp. 1895–1898. doi: 10.1093/oxfordjournals.jbchem.a133168
- Kozlowski L.P. IPC — isoelectric point calculator. Biology Direct, 2016, vol. 11, no. 1, pp. 1–16. doi: 10.1186/s13062-016-0159-9
- Kudryavtsev I.V., Arsentieva N.A., Batsunov O.K., Korobova Z.R., Khamitova I.V., Isakov D.V., Kuznetsova R.N., Rubinstein A.A., Stanevich O.V., Lebedeva A.A., Vorobyov E.A., Vorobyova S.V., Kulikov A.N., Sharapova M.A., Pevtcov D.E., Totolian A.A. Alterations in B cell and follicular T-helper cell subsets in patients with acute COVID-19 and COVID-19 convalescents. Curr. Issues Mol. Biol., 2021, vol. 44, no. 1, pp. 194–205. doi: 10.3390/cimb44010014
- Kudryavtsev I.V., Arsentieva N.A., Korobova Z.R., Isakov D.V., Rubinstein A.A., Batsunov O.K., Khamitova I.V., Kuznetsova R.N., Savin T.V., Akisheva T.V., Stanevich O.V., Lebedeva A.A., Vorobyov E.A., Vorobyova S.V., Kulikov A.N., Sharapova M.A., Pevtsov D.E., Totolian A.A. Heterogenous CD8+ T cell maturation and ‘polarization’ in acute and convalescent COVID-19 patients. Viruses, 2022, vol. 14, no. 9: 1906. doi: 10.3390/v14091906
- Kyte J., Doolittle R.F. A simple method for displaying the hydropathic character of a protein. J. Mol. Biol., 1982, vol. 157, no. 1, pp. 105–132. doi: 10.1016/0022-2836(82)90515-0
- Laemmli U.K. Cleavage of structural proteins during the assembly of the head of bacteriophage T4. Nature, 1970, vol. 227, no. 5259, pp. 680–685. doi: 10.1038/227680a0
- Lan L., Xu D., Ye G., Xia C., Wang S., Li Y., Xu H. Positive RT-PCR test results in patients recovered from COVID-19. JAMA, 2020, vol. 323, no. 15, pp. 1502–1503. doi: 10.1001/jama.2020.2783
- Le Bert N., Tan A.T., Kunasegaran K., Tham CYL, Hafezi M., Chia A., Chng MHY, Lin M., Tan N., Linster M., Chia W.N., Chen M.I., Wang L.F., Ooi E.E., Kalimuddin S., Tambyah P.A., Low J.G., Tan Y.J., Bertoletti A.. SARS-CoV-2-specific T cell immunity in cases of COVID-19 and SARS, and uninfected controls. Nature, 2020, vol. 584, no. 7821, pp. 457–462. doi: 10.1038/s41586-020-2550-z
- Matchett W.E., Joag V., Stolley J.M., Shepherd F.K., Quarnstrom C.F., Mickelson C.K., Wijeyesinghe S., Soerens A.G., Becker S., Thiede J.M., Weyu E., O’Flanagan S., Walter J.A., Vu M.N., Menachery V.D., Bold T.D., Vezys V., Jenkins M.K., Langlois R.A., Masopust D. Nucleocapsid vaccine elicits spike-independent SARS-CoV-2 protective immunity. J. Immunol., 2021, vol. 207, no. 2, pp. 376–379. doi: 10.4049/jimmunol.2100421
- Meckiff B.J., Ramírez-Suástegui C., Fajardo V., Chee S.J., Kusnadi A., Simon H., Eschweiler S., Grifoni A., Pelosi E., Weiskopf D., Sette A., Ay F., Seumois G., Ottensmeier C.H., Vijayanand P. Imbalance of regulatory and cytotoxic SARS-CoV-2-reactive CD4+ T cells in COVID-19. Cell, 2020, vol. 183, no. 5, pp. 1340–1353. doi: 10.1016/j.cell.2020.10.001
- Moss P. The T cell immune response against SARS-CoV-2. Nat. Immunol., 2022, vol. 23, no. 2, pp. 186–193. doi: 10.1038/s41590-021-01122-w
- O Murchu E., Byrne P., Carty P.G., De Gascun C., Keogan M., O’Neill M., Harrington P., Ryan M. Quantifying the risk of SARS-CoV-2 reinfection over time. Rev. Med. Virol., 2022, vol. 32, no. 1: e2260. doi: 10.1002/rmv.2260
- Paul S., Sidney J., Sette A., Peters B. TepiTool: a pipeline for computational prediction of T cell epitope candidates. Curr. Protoc. Immunol., 2016, vol. 114, no. 1, pp. 18.19.1–18.19.24. doi: 10.1002/cpim.12
- Qiu C., Xiao C., Wang Z., Zhu G., Mao L., Chen X., Gao L., Deng J., Su J., Su H., Fang E.F., Zhang Z.J., Zhang J., Xie C., Yuan J., Luo O.J., Huang L.A., Wang P., Chen G. CD8+ T-cell epitope variations suggest a potential antigen HLA-A2 binding deficiency for spike protein of SARS-CoV-2. Front. Immunol., 2022, vol. 12: 764949. doi: 10.3389/fimmu.2021.764949
- Ramachandran Gn., Ramakrishnan C., Sasisekharan V. Stereochemistry of polypeptide chain configurations. J. Mol. Biol, 1963, vol. 7, pp. 95–99. doi: 10.1016/s0022-2836(63)80023-6
- Reynisson B., Barra C., Kaabinejadian S., Hildebrand W.H., Peters B., Nielsen M. Improved prediction of MHC II antigen presentation through integration and motif deconvolution of mass spectrometry MHC eluted ligand data. J. Proteome Res., 2020, vol. 19, no. 6, pp. 2304–2315. doi: 10.1021/acs.jproteome.9b00874
- Sauer K., Harris T. An effective COVID-19 vaccine needs to engage T cells. Front. Immunol., 2020, vol. 11: 581807. doi: 10.3389/fimmu.2020.581807
- Sette A., Sidney J. Nine major HLA class I supertypes account for the vast preponderance of HLA-A and-B polymorphism. Immunogenetics, 1999, vol. 50, no. 3–4, pp. 201–212. doi: 10.1007/s002510050594
- Smith-Garvin J.E., Koretzky G.A., Jordan M.S. T cell activation. Ann. Rev. Immunol., 2009, vol. 27, pp. 591–619. doi: 10.1146/annurev.immunol.021908.132706
- Springer I., Besser H., Tickotsky-Moskovitz N., Dvorkin S., Louzoun Y. Prediction of specific TCR-peptide binding from large dictionaries of TCR-peptide pairs. Front. Immunol., 2020, vol. 11: 1803. doi: 10.3389/fimmu.2020.01803
- Steiner S., Schwarz T., Corman V.M., Sotzny F., Bauer S., Drosten C., Volk H.D., Scheibenbogen C., Hanitsch L.G. Reactive T cells in convalescent COVID-19 patients with negative SARS-CoV-2 antibody serology. Front. Immunol., 2021, vol. 12: 2557. doi: 10.3389/fimmu.2021.687449
- Su L.F., Kidd B.A., Han A., Kotzin J.J., Davis M.M. Virus-specific CD4+ memory-phenotype T cells are abundant in unexposed adults. Immunity, 2013, vol. 38, no. 2, pp. 373–383. doi: 10.1016/j.immuni.2012.10.021
- Teng I.T., Nazzari A.F., Choe M., Liu T., Oliveira de Souza M., Petrova Y., Tsybovsky Y., Wang S., Zhang B., Artamonov M., Madan B., Huang A, Lopez Acevedo S.N., Pan X., Ruckwardt T.J., DeKosky B.J., Mascola J.R., Misasi J., Sullivan N.J., Zhou T., Kwong P.D. Molecular probes of spike ectodomain and its subdomains for SARS-CoV-2 variants, Alpha through Omicron. PLoS One, 2022, vol. 17, no. 5: e0268767. doi: 10.1371/journal.pone.0268767
- The proteomics protocols handbook. Ed. by Walker J.M. Humana Press, 2005. 576 p. URL: https://link.springer.com/content/pdf/10.1385/1592598900.pdf (10.07.23)
- Wu Y., Guo C., Tang L., Hong Z., Zhou J., Dong X., Yin H., Xiao Q., Tang Y., Qu X., Kuang L., Fang X., Mishra N., Lu J., Shan H., Jiang G., Huang X. Prolonged presence of SARS-CoV-2 viral RNA in faecal samples. Lancet Gastroenterol. Hepatol., 2020, vol. 5, no. 5, pp. 434–435. doi: 10.1016/S2468-1253(20)30083-2
- Zhang Y. I-TASSER server for protein 3D structure prediction. BMC Bioinformatics, 2008, vol. 9, pp. 1–8. doi: 10.1186/1471-2105-9-40
- Zhou P., Yang X.L., Wang X.G., Hu B., Zhang L., Zhang W., Si H.R., Zhu Y., Li B., Huang C.L., Chen H.D., Chen J., Luo Y., Guo H., Jiang R.D., Liu M.Q., Chen Y., Shen X.R., Wang X., Zheng X.S., Zhao K., Chen Q.J., Deng F., Liu L.L., Yan B., Zhan F.X., Wang Y.Y., Xiao G.F., Shi Z.L. A pneumonia outbreak associated with a new coronavirus of probable bat origin. Nature, 2020, vol. 579, no. 7798, pp. 270–273. doi: 10.1038/s41586-020-2012-7
Supplementary files











