A clinical case of posttraumatic osteomyelitis associated with kytococcus schroeteri and enterococcus faecalis
- Authors: Borisov S.D.1, Karimov I.F.1, Plotnikov A.O.1,2, Inchagova K.S.2, Pankov A.S.1, Danshin D.P.3
-
Affiliations:
- Orenburg State Medical University of the Ministry of Health of Russia
- Institute for Cellular and Intracellular Symbiosis of the Ural Branch of the Russian Academy of Sciences, Orenburg Federal Research Center of the UrB RAS
- Orenburg Regional Clinical Specialized Center of Traumatology and Orthopedics
- Issue: Vol 13, No 5 (2023)
- Pages: 985-994
- Section: FOR THE PRACTICAL PHYSICIANS
- Submitted: 10.08.2023
- Accepted: 28.08.2023
- Published: 30.11.2023
- URL: https://iimmun.ru/iimm/article/view/15623
- DOI: https://doi.org/10.15789/2220-7619-ACC-15623
- ID: 15623
Cite item
Full Text
Abstract
Introduction. In most cases, osteomyelitis is the monomicrobial disease caused by various Gram-positive bacteria. However, previous injury may contribute to formation of a microbial association. Presence of two or more pathogens in the infectious focus can markedly complicate the disease clinical picture. Kytococcus schroeteri is one of the rarest pathogens found in clinical samples. Slightly more than twenty described cases related to such infection have been recorded globally. The aim of the research was to analyse the first identified clinical case of post-traumatic osteomyelitis associated with Kytococcus schroeteri and Enterococcus faecalis. Materials and methods. The bacterial cultures were obtained from the wound discharge of the patient’s shin by the cultural method. Identification of the bacterial cultures was performed using a VITEK MS mass spectrometer followed by 16S rRNA gene sequencing. The morphological, tinctorial and biochemical features of the cultures obtained were established, and their antibacterial resistance was also determined. Results. The clinical case was associated with the diagnosis “Chronic post-traumatic osteomyelitis of the left shin”. Two types of microorganisms were isolated from the wound discharge, and identified as Kytococcus schroeteri and Enterococcus faecalis using the MALDI-ToF mass spectrometry method. 16S rRNA gene sequencing from the isolated bacterial cultures confirmed the MALDI-ToF mass spectrometry data. Antimicrobial susceptibility for this microorganism was determined according to the criteria for the staphylococcal group according to the clinical guide “Determination of sensitivity to antimicrobial drugs (rev. 2021)”. Conclusion. For the first time, the mixed infection caused by two Gram-positive bacteria K. schroeteri and E. faecalis has been described. Such associations can enhance the pathogenic effects of each other bacterium, which may contribute to transition of the infection to a chronic form with a low probability of positive cultural test. K. schroeteri is a representative of the normal skin microbiota, but this microorganism is able to cause various infections. The K. schroeteri species should be differentiated from other representatives of the order Micrococcales. At cultural examination, resistance to oxacillin is a suspicious sign indicating that the bacterial culture might be potentially assigned to K. schroeteri species. Due to the unavailability of current biochemical tests for differentiation K. schroeteri from related taxa, reliable identification of this species is recommended using MALDI-ToF mass spectrometry or 16S rRNA gene sequencing.
Full Text
Введение
Остеомиелит представляет собой заболевание, различное по своему патогенезу, клиническим проявлениям и микробной этиологии. Наиболее типичными возбудителями инфекций подобного типа являются Staphylococcus aureus, выделяющийся более чем в 40% случаев, а также Staphylococcus epidermidis и Streptococcus spp. [11]. Реже обнаруживаются культуры грамотрицательных микроорганизмов, в частности, Pseudomonas aeruginosa и представители семейства Enterobacteriaceae, и лишь в отдельных случаях — виды Enterococcus faecalis и Enterococcus faecium [9]. Кроме того, выявляются возбудители, нетипичные для остеомиелита, например, Bartonella henselae, Pasteurella multocida, Brucella spp. и другие [7]. Также следует отметить, что зачастую остеомиелит представляет собой мономикробный инфекционный процесс, однако остеомиелиты, связанные с травмой или переломами, в 20–30% случаев являются полимикробными [12].
Вид Kytococcus schroeteri впервые был описан в 2002 г. и представляет собой аэробные неподвижные грамположительные кокки, не образующие капсулу [5]. Сложности в идентификации данного вида не позволяли раньше точно определять его при выделении бактериальной культуры возбудителя инфекций. Ситуация коренным образом изменилась с внедрением в клиническую микробиологию метода MALDI-ToF масс-спектрометрии, открывшего возможности ускоренного и более точного определения таксономической принадлежности микроорганизма вплоть до вида [4]. K. schroeteri является одним из наиболее редко встречающихся в клиническом материале возбудителей. Число описанных случаев заболеваний, вызванных данным микроорганизмом, в мире насчитывает немногим более двух десятков. Инфекции, вызванные данным видом, имеют некоторое сходство с инфекциями, вызванными коагулазонегативными стафилококками, и часто ассоциированы с хирургическим вмешательством или повреждениями, связанными с кожными покровами. В большинстве своем K. schroeteri был обнаружен при эндокардите, дисците и остеомиелите на фоне протезирований [2]. Стоит отметить, что впервые описанный случай остеомиелита, ассоциированный с данным микроорганизмом, был зарегистрирован у пациента с силиконовым имплантом левого плеча, страдающего рецидивирующей инфекцией, этиология которой впервые была установлена как стафилококковая, затем как микрококковая, и наконец, как китококковая [8]. Однако во всех случаях описанных инфекций K. schroeteri по-видимому являлся единственным этиологическим агентом, поскольку о наличии других возбудителей в исследуемом материале не упоминается.
Тем не менее наличие двух и более патогенов в инфекционном очаге может сильно усложнять клиническую картину течения заболевания вследствие межвидовых взаимодействий и изменения активности сосуществующих микроорганизмов. На примере Enterococcus faecalis показано, что, с одной стороны, данные бактерии могут выступать в качестве соколонизаторов, ускоряя процесс заселения биотопа [10], либо угнетать активность иммунной системы, что дает возможность активироваться оппортунистам [21]. С другой стороны, между разными видами в одном локусе возможны антагонистические взаимоотношения, ведущие, в частности, к нарушению структуры биопленок, образованных грамотрицательными бактериями [3, 20].
В связи с актуальностью выявления новых и редких возбудителей инфекций, в особенности — их ассоциаций, цель исследования заключалась в анализе впервые выявленного клинического случая посттравматического остеомиелита, вызванного ассоциацией Kytococcus schroeteri и Enterococcus faecalis.
Материалы и методы
Пациент С., мужского пола, 1983 г. рождения, в сентябре 2022 г. травма в быту, в результате падения с высоты собственного роста на левой голени сформировалась рана, которую лечил самостоятельно. Примерно за неделю до обращения в области раны появился свищевой ход с гнойным отделяемым. 11.10.2022 пациент обратился в ГАУЗ «Городская клиническая больница № 4» города Оренбурга (позже переименовано в ГАУЗ «Оренбургский областной клинический специализированный центр травматологии и ортопедии»), госпитализирован в отделение экстренной травматологии, где находился на лечении с 11.10.2022 по 18.10.2022.
Взятие материала осуществляли 14.10.2022 г. с помощью стерильных тупферов (Rustech, Россия), в стерильные пробирки с 2 мл транспортной среды Стюарта (Oxoid, Великобритания) согласно методическим указаниям МУ 4.2.2039-05 [1]. Материал транспортировали в микробиологическую лабораторию научно-исследовательского центра ФГБОУ ВО Оренбургский государственный медицинский университет Минздрава России (зав. лабораторией — к.м.н. С.Д. Борисов), где проводили выделение культур микроорганимов и их идентификацию по морфологическим, культуральным и биохимическим свойствам, а также по белковым спектрам, оцениваемым методом MALDI-ToF. Посев материала осуществляли секторным методом на чашки, содержащие колумбийский агар с 5% дефибринированной бараньей кровью (Средофф, Россия), после чего материал инкубировали при 37°C и просматривали колонии после 24 и 48 ч роста. Из отдельных колоний готовили мазки, окрашивали по Граму с использованием набора для окраски «Микро-Грам-НИЦФ» (ООО «НИЦФ», Россия) и просматривали при увеличении ×1000 в микроскопе «Primo Star» (Carl Zeiss, Германия). Культуры идентифицировали с помощью метода MALDI-ToF на масс-спектрометре «VITEK MS» (bioMerieux, Франция). Биохимические свойства изучали с использованием биохимических тест-систем «STAPHYtest 16» (Erba Lachema s.r.o., Чехия) и API STAPH (bioMerieux, Франция) согласно инструкции изготовителя. Тест на цитохромоксидазу осуществляли с использованием тест-полос «OXI-test» и реактива для оксидазы (Erba Lachema s.r.o., Чехия). Тест на пирролидонилариламидазу осуществляли с использованием тест-полос «PYRA-test» и реактива для «PYRA-test» (Erba Lachema s.r.o., Чехия). Продукцию ацетоина оценивали с использованием тест-полос «VP-test» и реактивов VPT-I и VPT-II (Erba Lachema s.r.o., Чехия). Дополнительно ростовые свойства оценивали на лактозо-цистиновом агаре с пониженным содержанием электролитов (Oxoid, Великобритания) и солевом агаре (ФБУН ГНЦ ПМБ, Россия) в течение 48 ч при 37°C. Рост в анаэробных условиях оценивался на колумбийском агаре с 5% дефебринированной бараньей кровью (Средофф, Россия) при инкубации в анаэростате (Thermo Fisher Scientific, США) с использованием газогенерирующих пакетов «Анаэрогаз» (ООО «ИНКО», Россия). Чувствительность к антибиотикам определяли согласно методике, описанной в клинических рекомендациях «Определение чувствительности к антимикробным препаратам (ред. 2021 г.)», диско-диффузионным методом на агаре Мюллера–Хинтон (ФБУН ГНЦ ПМБ, Россия) с использованием дисков с антибиотиками производства «ООО НИЦФ» (Россия) и Erba Lachema s.r.o. (Чехия).
Для идентификации по последовательности гена 16S рРНК выделенные культуры были переданы в Институт клеточного и внутриклеточного симбиоза Уральского отделения Российской академии наук (ИКВС УрО РАН) — обособленное структурное подразделение ФГБУН Оренбургского федерального исследовательского центра УрО РАН. Получение ампликонов гена 16S рРНК проводили в ЦКП «Персистенция микроорганизмов» ИКВС УрО РАН (зав. ЦКП — к.м.н. А.О. Плотников). Ампликоны гена 16S рРНК получали методом ПЦР с праймерами 27F (AGAGTTTGATCCTGGCTCAG) и 1492R (GGTTACCTTGTTACGACTT) (ЗАО Евроген, Россия) и высокоточной Q5 ДНК-полимеразой (New England Biolabs Inc., США). Параметры ПЦР: 1) начальная денатурация при 98°С 30 с; 2) 35 циклов: денатурация при 98°С 10 с; отжиг праймеров при 63°С 30 с; элонгация при 72°С 45 с; 3) завершающий этап элонгации при 72°С 5 мин. Секвенирование полученных ампликонов проводили в ЗАО «Евроген» (Россия) на генетическом анализаторе «Applied Biosystems 3500xL» (Thermo Scientific, США).
Последовательности гена 16S рРНК выделенных культур Enterococcus faecalis и Kytococcus schroeteri депонированы в GenBank (NCBI) под номерами OQ685952.1 и OQ692569.1 соответственно. Данные штаммы микроорганизмов депонированы в Сетевую коллекцию симбионтных микроорганизмов ИКВС УрО РАН с названиями Enterococcus faecalis ICIS11 и Kytococcus schroeteri ICIS13 и доступны по запросу (https://ikvs.info/biobank).
Результаты
При госпитализации пациента в ходе осмотра установлено наличие свищевой раны 0,5 × 0,5 см со скудным гнойным отделяемым на передней поверхности средней трети левой голени, края раны гиперемированы, грануляции скудные, дном раны является надкостница. В области раны определяется свищевой ход со скудным серозно-гнойным отделяемым. Из анамнеза: в 2000 г. получил перелом обеих костей левой голени в автодорожной травме, после чего осуществлялся остеосинтез костей левой голени аппаратом внешней фиксации до полной консолидации перелома. Через шесть месяцев после демонтажа аппарата появилась гематома на левой голени, что потребовало вскрытия и дренирования. В сентябре 2022 г. получил бытовую травму левой голени, за медицинской помощью не обращался, лечился самостоятельно, через три недели появился свищевой ход с гнойным отделяемым. Диагноз по МКБ-10: «M86.6 Другой хронический остеомиелит, Хронический посттравматический остеомиелит левой голени. Гнойный свищ левой голени. Ожирение 3 ст.». При поступлении в общеклиническом анализе крови показатели в пределах нормы: лейкоциты — 5,00 × 109/л; эритроциты — 5,13 × 1012/л; гемоглобин — 150,00 г/л; гематокрит — 42,00%; тромбоциты — 193,00 × 109/л; гранулоциты — 53,00%; средние лейкоциты (Mid) — 7,30%; лимфоциты — 39,70%. В биохимическом анализе крови все показатели в пределах нормы: калий — 4,4 ммоль/л; натрий — 143,0 ммоль/л; холестерин — 4,1 ммоль/л; глюкоза — 5,8 ммоль/л; креатинин — 89,0 мкмоль/л; мочевина — 7,2 ммоль/л; общий белок — 88,0 г/л. На рентгенограмме левой голени: отломки переломов на уровне средней трети диафиза большеберцовой кости и нижней трети диафиза малоберцовой кости плотно консолидированы, на уровне верхней трети диафиза малоберцовой кости отломки стоят с диастазом, смежные поверхности с краевым склерозом — ложный сустав. По данным фистулографии контраст образует скопление на уровне мягких тканей по переднему контуру левой голени.
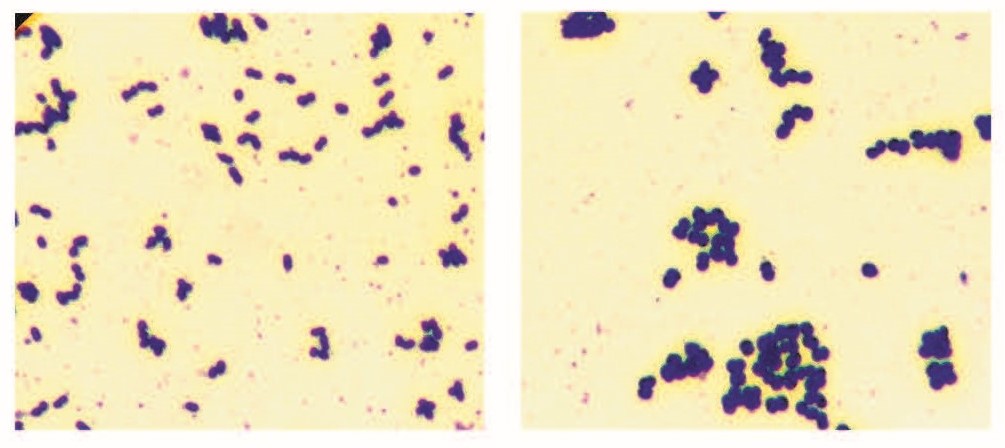
В ходе микробиологического исследования раневого отделяемого на колумбийском агаре с 5% дефибринированной бараньей кровью обнаружены два типа колоний в диагностическом количестве. Первый тип — белые колонии с полупрозрачным краем средних размеров, количество около 106 КОЕ/мл, по данным световой микроскопии — грамположительные кокки овоидной формы, расположенные чаще попарно, реже — одиночно. Второй тип — белые мелкие колонии, количество около 105 КОЕ/мл, по данным световой микроскопии — грамположительные крупные овоидные кокки в парах, тетрадах или цепочках (рис. 1, III обложка). На вторые сутки инкубации колонии второго типа приобрели бежевую пигментацию.
Рисунок 1. Микроскопия культур Enterococcus faecalis (слева) и Kytococcus schroeteri (справа). Окраска по Граму, увеличение ×1000
Figure 1. Microscopy imaging of Enterococcus faecalis (left) and Kytococcus schroeteri (right) cultures. Gram stainining, ×1000 magnification
С использованием MALDI-ToF масс-спектрометра «VITEK MS» (bioMerieux, Франция) культуры первого и второго типа были идентифицированы с уровнем сходства 99,9% по клинической базе микроорганизмов как Enterococcus faecalis и Kytococcus schroeteri соответственно.
Установлено, что культура K. schroeteri не обладает оксидазной и пирролидонилариламидазной активностью, не образует ацетоин в реакции Фогеса–Проскауера, но обладает каталазной активностью. Использование биохимических тест-систем «STAPHYtest 16» (Erba Lachema s.r.o., Чехия) и «API STAPH» (bioMerieux, Франция) выявило низкую сахаролитическую активность исследуемого штамма и позволило идентифицировать его только как представителя родов Micrococcus или Dermatococcus. Таким образом, биохимические тест-системы, используемые в клинической микробиологии для идентификации бактерий, не позволяют корректно идентифицировать вид K. schroeteri.
Выявлены особенности роста на различных типах питательных сред, в частности рост на колумбийском агаре с бараньей кровью обильный, колонии округлые, выпуклые с ровным краем, при этом бежевая пигментация более отчетливо проявляется после 48 ч инкубации при 37°C. На лактозо-цистиновом агаре с пониженным содержанием электролитов (CLED) рост хороший, формируются округлые колонии молочного цвета, а на желточно-солевом агаре — рост очень слабый.
При инкубации в анаэростате (Thermo Fisher Scientific, США) с использованием газогенерирующих пакетов «Анаэрогаз» (ООО «ИНКО», Россия) в течение 72 ч роста культуры K. schroeteri не наблюдалось, что свидетельствует о принадлежности исследуемой культуры к облигатным аэробам. Чувствительность к антибиотикам была определена по критериям для группы стафилококков согласно клиническим рекомендациям «Определение чувствительности к антимикробным препаратам (ред. 2021 г.)» с использованием дисков (табл. 1). Культура показала резистентность к бензилпенициллину, ампициллину, оксациллину, цефиксиму, цефотаксиму, бацитрацину. Для E. faecalis чувствительность к антибиотикам определяли по критериям для группы энтерококков (табл. 2), культура оказалась устойчивой к имипенему.
Таблица 1. Результаты антибиотикограммы выделенной культуры Kytococcus schroeteri ICIS13
Table 1. Antibacterial resistance in Kytococcus schroeteri ICIS13 culture
Группа Group | Антибиотик Antibiotic | Доза (мкг) Dose (µg) | Резистентность/чувствительность Resistance/sensitivity |
Пенициллины Penicillins | Бензилпенициллин Benzylpenicillin | 1 Ед/Unit | устойчив resistant |
Пенициллины Penicillins | Ампициллин Ampicillin | 2 | устойчив resistant |
Пенициллины Penicillins | Тикарциллин Ticarcillin | 75 | чувствителен sensitive |
Пенициллины Penicillins | Оксациллин Oxacillin | 1 | устойчив resistant |
Цефалоспорины Cephalosporins | Цефокситин Cefoxitin | 30 | чувствителен sensitive |
Цефалоспорины Cephalosporins | Цефиксим Cefixime | 5 | устойчив resistant |
Цефалоспорины Cephalosporins | Цефотаксим Cefotaxime | 5 | устойчив resistant |
Тетрациклины Tetracyclines | Тетрациклин Tetracycline | 30 | чувствителен sensitive |
Аминогликозиды Aminoglycosides | Гентамицин Gentamicin | 10 | чувствителен sensitive |
Макролиды Macrolides | Эритромицин Erythromycin | 15 | чувствителен sensitive |
Линкозамиды Lincosamides | Клиндамицин Clindamycin | 2 | чувствителен sensitive |
Фторхинолоны Fluoroquinolones | Ципрофлоксацин Ciprofloxacin | 5 | чувствителен при увеличенной экспозиции sensitive at long exposition |
Сульфаниламиды Sulfonamides | Триметоприм/Сульфометоксазол Trimethoprim/Sulfomethoxazole | 1,25/23,75 | чувствителен sensitive |
Амфениколы Amphenicols | Левомицетин Levomycetin | 30 | чувствителен sensitive |
Стероидные Steroids | Фузидовая кислота Fusidic acid | 10 | чувствителен sensitive |
Ансамицины Ansamycins | Рифампицин Rifampicin | 5 | чувствителен sensitive |
Полипептиды Polypeptides | Бацитрацин Bacitracin | 0,04 Ед/Unit | устойчив resistant |
Гликопептиды Glycopeptides | Ванкомицин Vancomycin | 5 | чувствителен sensitive |
Оксазолидиноны Oxazolidinones | Линезолид Linezolid | 10 | чувствителен sensitive |
Таблица 2. Результаты антибиотикограммы выделенной культуры Enterococcus faecalis ICIS11
Table 2. Antibacterial resistance in Enterococcus faecalis ICIS11 culture
Группа Group | Антибиотик Antibiotic | Доза (мкг) Dose (µg) | Резистентность/чувствительность Resistance/sensitivity |
Пенициллины Penicillins | Ампициллин Ampicillin | 2 | чувствителен sensitive |
Карбапенемы Carbapenems | Имипенем Imipenem | 10 | устойчив resistant |
Фторхинолоны Fluoroquinolones | Ципрофлоксацин Ciprofloxacin | 5 | чувствителен sensitive |
Гликопептиды Glycopeptides | Ванкомицин Vancomycin | 5 | чувствителен sensitive |
Аминогликозиды Aminoglycosides | Гентамицин Gentamicin | 30 | чувствителен sensitive |
Оксазолидиноны Oxazolidinones | Линезолид Linezolid | 10 | чувствителен sensitive |
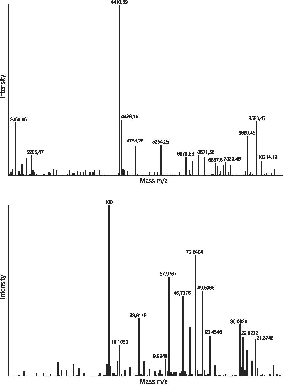
Детальное изучение спектра белков выделенных культур с использованием программного пакета SARAMIS (bioMerieux, Франция) позволило установить, что для культуры E. faecalis характерно 174 пика, профиль которых на 99,9% соответствует профилю суперспектра E. faecalis 14, основанного на исследовании штамма DSM 20478 и ряда других изолятов. Для полученной нами культуры K. schroeteri характерно наличие 153 пиков, что на 99,9% совпадает с профилем суперспектра Kytococcus schroeteri 1, собранного на образце I1_V2P2A_K (рис. 2).
Рисунок 2. Масс-спектры культур Enterococcus faecalis ICIS11 (вверху) и Kytococcus schroeteri ICIS13 (внизу)
Figure 2. Mass spectra of Enterococcus faecalis ICIS11 (top) and Kytococcus schroeteri ICIS13 (bottom) cultures
Секвенирование гена 16S рРНК выделенных культур бактерий полностью подтвердило результаты MALDI-ToF масс-спектрометрии. Поиск гомологичных последовательностей гена 16S рРНК в базе данных rRNA/ITS (NCBI) с помощью инструмента BLAST на дату 19.06.2023 г. показал следующие результаты. Последовательность гена 16S рРНК длиной 1443 н.п. выделенного штамма E. faecalis оказалась на 100% идентичной последовательности гена E. faecalis CC-11 (accession No. GenBank: MW175600.1), депонированной автором из Великобритании (Королевский колледж Лондона). Последовательность гена 16S рРНК длиной 1404 н.п. выделенного штамма K. schroeteri показала 99,72% сходства с последовательностью гена K. schroeteri isolate CSUR-FIRM1 (accession No. GenBank: DQ358755.1), выделенного из крови пациента с бактериальным эндокардитом (Renvoise и соавт., 2008). Сравниваемые последовательности отличались лишь по 4 нуклеотидам и объединялись на филогенетическом древе в общий кластер из 15-ти последовательностей гена 16S рРНК культур K. schroeteri, депонированных в GenBank (NCBI) (рис. 3).
Рисунок 3. Филогенетическое древо, построенное с помощью инструмента BLAST (NCBI) по последовательностям гена 16S рРНК методом Fast Minimum Evolution, демонстрирующее кластер Kytococcus schroeteri (в рамке) из 15 последовательностей, включая ген выделенного штамма K. schroeteri ICIS13
Figure 3. Phylogenetic tree built using the BLAST tool (NCBI) based on the 16S rRNA gene sequences analyzed by Fast Minimum Evolution method showing the Kytococcus schroeteri cluster (in frame) composed of 15 sequences including the gene of isolated Kytococcus schroeteri strain ICIS13
12.10.2022 пациенту выполнено оперативное вмешательство: хирургическая обработка гнойного очага левой голени. При ревизии раны обнаружен небольшой участок сухой девитализированной большеберцовой кости. Выполнена декортикация участка, ультразвуковая кавитация ран. Рана обильно промыта перекисью водорода, стерильным 0,9% раствором хлорида натрия, осушена. Рана частично ушита отдельными узловыми швами. До и после операции пациент получал анальгетическую, сосудистую терапию. В качестве антимикробной терапии назначен гентамицин внутримышечно с режимом дозировки по 160 мг дважды в сутки в течение семи дней. В результате лечения отмечено улучшение общего состояния пациента, температура тела снизилась до нормальной, рана очистилась и начала эпителизироваться, бактерии из раны не высеваются. Перед выпиской по данным осмотра левой голени: края раны эпителизированы, без признаков воспаления, дно раны — надкостница, отделяемого из раны нет, швы состоятельны. Рана заживает вторичным натяжением. Полного заживления раневой поверхности следует ожидать в течение двух недель. Рекомендовано наблюдение у травматолога по месту жительства, перевязки с антисептиками ежедневно, снятие швов через 14 дней. После выписки пациент повторно в данное медицинское учреждение не обращался.
Обсуждение
Род Kytococcus (семейство Kytococcaceae, порядок Micrococcales, класс Actinomycetes, фила Actinomycetota) впервые был выделен в качестве самостоятельного таксона из рода Micrococcus в 1995 г. [19] и согласно базе данных LPSN — List of Prokaryotic names with Standing in Nomenclature (https://lpsn.dsmz.de) включает в себя три вида: K. aerolatus, K. schroeteri, K. sedentarius. Тем не менее на данный момент не сформированы критерии оценки чувствительности к антибиотикам, а большинство исследователей использует критерии устойчивости/чувствительности, разработанные для стафилококков [2, 18]. K. schroeteri обычно характеризуется устойчивостью к пенициллину и цефалоспоринам, что не типично для рода Micrococcus [14].
Несмотря на то что K. schroeteri является одним из представителей нормальной микробиоты кожи, данный микроорганизм способен вызывать различные заболевания, включая эндокардит протезных клапанов, инфекцию вентрикулоперитонеального шунта, протезный дисцит на фоне диабета второго типа, пневмонию и бактериемию на фоне астмы или лейкемии, а также инфекции после операций по протезированию сухожилий и костей [17]. Одной из проблем определения этиологии заболеваний, вызванных K. schroeteri, является относительно слабая известность данного вида, который был впервые описан лишь в 2002 г. [5], а также отсутствие тест-систем, в том числе биохимических, для надежной культуральной идентификации, в связи с чем достоверная идентификация до недавнего времени была возможна лишь с помощью риботипирования. В настоящее время в диагностических лабораториях по-прежнему невозможно бактериологическими методами надежно выделять и идентифицировать бактерии вида Kytococcus schroeteri. Данная ситуация объясняет скудное количество информации об этом таксоне — около двух десятков клинических случаев описано в международных журналах, при этом ни одной публикации российских авторов, и всего 15 последовательностей гена 16S рРНК из культур K. schroeteri депонировано в крупнейшей мировой базе данных GenBank (NCBI). В нашей работе удалось идентифицировать культуру K. schroeteri, выделенную в ассоциации с другим видом бактерий, только с помощью MALDI-ToF масс-спектрометрии. Достоверность идентификации подтверждена секвенированием гена 16S рРНК. Стоит отметить, что вид K. schroeteri был добавлен в базу микроорганизмов «VITEK MS — клиническое применение» только начиная с версии 3.2.
В нашем исследовании впервые описан вариант микст-инфекции, вызванной двумя грамположительными бактериями: K. schroeteri и E. faecalis. Подобные ассоциации могут усиливать патогенетические эффекты друг друга. Одной из причин такого эффекта является образование биопленки в раневой области [15], в которой один вид бактерий способствует адгезии и колонизации другого вида. Как следствие, раневая инфекция может переходить в хроническую форму с низкой вероятностью положительного высева при проведении микробиологического исследования [6]. Обнаружение энтерококков, чаще всего именно E. faecalis, как в нашем исследовании, в составе ассоциаций возбудителей инфекции, способствует передаче и распространению генов резистентности к антибиотикам [13], но в то же время может препятствовать колонизации раны грамотрицательными бактериями за счет антагонизма [20].
Таким образом, следует дифференцировать представителей вида K. schroeteri от других представителей порядка Micrococcales. При бактериологическом исследовании подозрительным признаком, указывающим на возможную принадлежность культуры K. schroeteri, является устойчивость к оксациллину. В связи с невозможностью использования имеющихся биохимических тест-систем, не нацеленных на дифференциацию K. schroeteri от родственных таксонов, надежная идентификация данного вида пока возможна лишь с применением метода MALDI-ToF масс-спектрометрии или секвенирования гена 16S рРНК. Для более полного представления о биологии бактерий рода Kytococcus требуется более тщательное исследование, которое позволило бы охарактеризовать частоту встречаемости этих бактерий в клиническом материале, фенотипические особенности штаммов, в том числе сахаролитическую и протеолитическую активности, факторы патогенности, персистентный потенциал, механизмы и гены устойчивости к антибиотикам, особенности структуры генома. Дальнейшие исследования различных типов бактериальных ассоциаций помогут выявить закономерности патогенеза при смешанных инфекциях, что позволит разработать более эффективные средства этиотропной терапии этих заболеваний.
Благодарности
Авторы выражают благодарность д.т.н., в.н.с. ЦКП «Персистенция микроорганизмов» ИКВС УрО РАН (г. Оренбург) Ю.А. Хлопко за депонирование последовательностей ДНК в GenBank (NCBI).
About the authors
Sergey D. Borisov
Orenburg State Medical University of the Ministry of Health of Russia
Email: sdborisov56@mail.ru
PhD (Medicine), Honored Worker of Science of the Russian Federation, Head and Bacteriologist of the Microbiological Laboratory, Science Research Center
Россия, OrenburgIlshat F. Karimov
Orenburg State Medical University of the Ministry of Health of Russia
Email: ifkarimov@yandex.ru
PhD (Biology), Associate Professor of the Department of Microbiology, Virology, Immunology; Biologist of the Microbiological Laboratory, Science Research Center
Россия, OrenburgAndrey O. Plotnikov
Orenburg State Medical University of the Ministry of Health of Russia; Institute for Cellular and Intracellular Symbiosis of the Ural Branch of the Russian Academy of Sciences, Orenburg Federal Research Center of the UrB RAS
Author for correspondence.
Email: protoz@mail.ru
ORCID iD: 0000-0001-6830-4068
SPIN-code: 9543-0734
Scopus Author ID: 7101750076
ResearcherId: C-2198-2013
https://ikvs.info/institut/staff/plotnikov-andrej-olegovich/
PhD (Medicine), Associate Professor, Director, Institute for Cellular and Intracellular Symbiosis; Associate Professor, Department of Preventive Medicine
Россия, Orenburg; OrenburgKsenia S. Inchagova
Institute for Cellular and Intracellular Symbiosis of the Ural Branch of the Russian Academy of Sciences, Orenburg Federal Research Center of the UrB RAS
Email: ksenia.inchagova@mail.ru
PhD (Biology), Senior Researcher, Science Resource Center “Persistence of microorganisms”
Россия, OrenburgAlexandr S. Pankov
Orenburg State Medical University of the Ministry of Health of Russia
Email: nic@orgma.ru
DSc (Medicine), Associate Professor, Head of the Department of Epidemiology and Infectious Diseases, Director of the Science Research Center
Россия, OrenburgDmitry P. Danshin
Orenburg Regional Clinical Specialized Center of Traumatology and Orthopedics
Email: sdborisov56@mail.ru
Traumatologist
Россия, OrenburgReferences
- Техника сбора и транспортирования биоматериалов в микробиологические лаборатории: Методические указания (МУ 4.2.2039-05). М.: Федеральный центр гигиены и эпидемиологии Роспотребнадзора, 2006. 126 с. [Technique for collecting and transporting biomaterials to microbiological laboratories: Guidelines (MU 4.2.2039-05). Moscow: Federal Center for Hygiene and Epidemiology of Rospotrebnadzor, 2006. 126 p. (In Russ.)]
- Bagelman S., Zvigule-Neidere G. Insight into Kytococcus schroeteri infection management: a case report and review. Infect. Dis. Rep., 2021, vol. 13, no. 1, pp. 230–238. doi: 10.3390/idr13010026
- Ballén V., Ratia C., Cepas V., Soto S.M. Enterococcus faecalis inhibits Klebsiella pneumoniae growth in polymicrobial biofilms in a glucose-enriched medium. Biofouling, 2020, vol. 36, no. 7, pp. 846–861. doi: 10.1080/08927014.2020.1824272
- Bayraktar B., Dalgic N., Duman N., Petmezci E. First case of bacteremia caused by Kytococcus schroeteri in a child with congenital adrenal hyperplasia. Pediatr. Infect. Dis. J., 2018, vol. 37, no. 12, pp. 304–305. doi: 10.1097/INF.0000000000002014
- Becker K., Schumann P., Wüllenweber J., Schulte M., Weil H.-P., Stackebrandt E., Peters G., Von Eiff C. Kytococcus schroeteri sp. nov., a novel Gram-positive actinobacterium isolated from a human clinical source. Int. J. Syst. Evol. Microbiol., 2002, vol. 52, pp. 1609–1614. doi: 10.1099/00207713-52-5-1609
- Black C.E., Costerton J.W. Current concepts regarding the effect of wound microbial ecology and biofilms on wound healing. Surg. Clin. North. Am., 2010, vol. 90, no. 6, pp. 1147–1160. doi: 10.1016/j.suc.2010.08.009
- Carek P.J., Dickerson L.M., Sack J.L. Diagnosis and management of osteomyelitis. Am. Fam. Physician., 2001, vol. 63, no. 12, pp. 2413–2420.
- Chan J.F., Wong S.S., Leung S.S., Fan R.Y., Ngan A.H., To K.K., Lau S.K., Yuen K.Y., Woo P.C. First report of chronic implant-related septic arthritis and osteomyelitis due to Kytococcus schroeteri and a review of human K. schroeteri infections. Infection, 2012, vol. 40, no. 5, pp. 567–573. doi: 10.1007/s15010-012-0250-9
- García Del Pozo E., Collazos J., Cartón J.A., Camporro D., Asensi V. Bacterial osteomyelitis: microbiological, clinical, therapeutic, and evolutive characteristics of 344 episodes. Rev. Esp. Quimioter., 2018, vol. 31, no. 3, pp. 217–225
- Gaston J.R., Andersen M.J., Johnson A.O., Bair K.L., Sullivan C.M., Guterman L.B., White A.N., Brauer A.L., Learman B.S., Flores-Mireles A.L., Armbruster C.E. Enterococcus faecalis polymicrobial interactions facilitate biofilm formation, antibiotic recalcitrance, and persistent colonization of the catheterized urinary tract. Pathogens, 2020, vol. 9, no. 10: 835. doi: 10.3390/pathogens9100835
- Kremers H.M., Nwojo M.E., Ransom J.E., Wood-Wentz C.M., Melton L.J. 3rd, Huddleston P.M. 3rd. Trends in the epidemiology of osteomyelitis: a population-based study, 1969 to 2009. J. Bone Joint Surg. Am., 2015, vol. 97, no. 10, pp. 837–845. doi: 10.2106/JBJS.N.01350
- Masters E.A., Ricciardi B.F., Bentley K.L.M., Moriarty T.F., Schwarz E.M., Muthukrishnan G. Skeletal infections: microbial pathogenesis, immunity and clinical management. Nat. Rev. Microbiol., 2022, vol. 20, no. 7, pp. 385–400. doi: 10.1038/s41579-022-00686-0
- Mundy L.M., Sahm D.F., Gilmore M. Relationships between enterococcal virulence and antimicrobial resistance. Clin. Microbiol. Rev., 2000, vol. 13, no. 4, pp. 513–522. doi: 10.1128/cmr.13.4.513-522.2000
- Noguchi K., Nishimura R., Ikawa Y., Mase S., Matsuda Y., Fujiki T., Kuroda R., Araki R., Maeba H., Yachie A. Half of Micrococcus spp. cases identified by conventional methods are revealed as other life-threatening bacteria with different drug susceptibility patterns by 16S ribosomal RNA gene sequencing. J. Infect. Chemother., 2020, vol. 26, no. 3, pp. 318–319. doi: 10.1016/j.jiac.2019.10.019
- Percival S.L., Hill K.E., Williams D.W., Hooper S.J., Thomas D.W., Costerton J.W. A review of the scientific evidence for biofilms in wounds. Wound Repair Regen., 2012, vol. 20, no. 5, pp. 647–657. doi: 10.1111/j.1524-475X.2012.00836.x
- Renvoise A., Roux V., Casalta J.P., Thuny F., Riberi A. Kytococcus schroeteri, a rare agent of endocarditis. Int. J. Infect. Dis., 2008, vol. 12, no. 2, pp. 223–227. doi: 10.1016/j.ijid.2007.06.011
- Shah A.S., Vijayvargiya P., Jung S., Wilson J.W. Postoperative hardware-related infection from Kytococcus schroeteri: its association with prosthetic material and hematological malignancies — a report of a case and review of existing literature. Case Rep. Infect. Dis., 2019: 6936472. doi: 10.1155/2019/6936472
- Shah S., Thakkar P., Poojary S., Singhal T. A case of Kytococcus schroeteri prosthetic valve endocarditis in a patient with COVID-19 infection. Indian J. Med. Microbiol., 2023, vol. 42, pp. 89–91. doi: 10.1016/j.ijmmb.2022.09.001
- Stackebrandt E., Koch C., Gvozdiak O., Schumann P. Taxonomic dissection of the genus Micrococcus: Kocuria gen. nov., Nesterenkonia gen. nov., Kytococcus gen. nov., Dermacoccus gen. nov., and Micrococcus Cohn 1872 gen. emend. Int. J. Syst. Bacteriol., 1995, vol. 45, no. 4, pp. 682–692. doi: 10.1099/00207713-45-4-682
- Tan C.A.Z., Lam L.N., Biukovic G., Soh E.Y., Toh X.W., Lemos J.A., Kline K.A. Enterococcus faecalis antagonizes Pseudomonas aeruginosa growth in mixed-species interactions. J. Bacteriol., 2022, vol. 204, no. 7: e0061521. doi: 10.1128/jb.00615-21
- Tien B.Y.Q., Goh H.M.S., Chong K.K.L., Bhaduri-Tagore S., Holec S., Dress R., Ginhoux F., Ingersoll M.A., Williams R.B.H., Kline K.A. Enterococcus faecalis promotes innate immune suppression and polymicrobial catheter-associated urinary tract infection. Infect. Immun., 2017, vol. 85, no. 12: e00378-17. doi: 10.1128/iai.00378-17
Supplementary files







