Methodological approaches to differential detection of EBV1/EBV2 and HHV6A/HHV6B in saliva
- Authors: Popkova M.I.1, Utkin O.V.1, Bryzgalova D.A.1, Senatskaia A.O.1, Soboleva E.A.2, Sakharnov N.A.1, Filatova E.N.1, Kulova E.A.3
-
Affiliations:
- Academician I.N. Blokhina Nizhny Novgorod Scientific Research Institute of Epidemiology and Microbiology
- Privolzhsky Research Medical University of the Ministry of Health of the Russian Federation
- Tonus Krokha and Family Dentistry Clinic LLC
- Issue: Vol 12, No 3 (2022)
- Pages: 461-474
- Section: ORIGINAL ARTICLES
- Submitted: 28.10.2021
- Accepted: 25.12.2021
- Published: 04.07.2022
- URL: https://iimmun.ru/iimm/article/view/1807
- DOI: https://doi.org/10.15789/2220-7619-MAT-1807
- ID: 1807
Cite item
Full Text
Abstract
Epstein–Barr virus (EBV) and human herpesviruses 6A and 6B (HHV6A and HHV6B) are ubiquitous, infecting representatives of all social groups, starting from early childhood. Currently, information on the genetic heterogeneity of EBV, even at the level of the main types (EBV1 and EBV2), as well as HHV6A and HHV6B, their prevalence and clinical significance are limited mainly by foreign data. In Russia, there are not so many publications devoted to this issue. In this case, the objects of study are mainly plasma and leukocytes of peripheral blood, scrapings or swabs from the oropharynx are used much less often. Saliva is the main factor in the transmission and spread of EBV and HHV6A/B infections. Saliva testing is an affordable, inexpensive, and non-invasive method for detecting viral DNA. The purpose of this work is to improve the methodological base for differential detection of HHV6A/HHV6B and the main types of EBV in saliva. The material for the study was unstimulated mixed saliva of children aged 1–17 years with acute infectious mononucleosis (n = 22) and no clinical symptoms of this disease (n = 26), as well as conditionally healthy adults (n = 9). Samples were collected once and dynamically (daily for 14 days). The detection and quantification of EBV DNA and HHV6A/B DNA was performed using real-time PCR. For the differential determination of EBV1/EBV2 and HHV6A/HHV6B, an optimized one-round PCR variant with electrophoretic detection of amplification products in an agarose gel was used. Statistical data processing was carried out using the R programming language and the RStudio environment. According to the results of our own research, the frequency of detection of EBV, HHV6A/B and EBV+HHV6A/B DNA in acute infectious mononucleosis was 95, 91 and 86%, and among conventionally healthy children — 69, 85 and 61.5%, respectively. It was found that among the examined children of the Nizhny Novgorod Region, EBV1 and HHV6B prevail in the viral population, which is consistent with existing ideas about their geographical distribution in the adjacent territories. EBV2 and HHV6A were not detected in any of the examined saliva samples. According to the results of 14-day dynamic monitoring of saliva virus secretion in healthy virus carriers (adults and children), it was shown that a single EBV DNA study does not allow to reliably assess the infection of individuals or the intensity of EBV secretion. In this case, HHV6A/B is characterized by a more constant and uniform release. The methodological approach optimized in this work makes it possible to separately detect EBV1/EBV2 and HHV6A/HHV6B according to a single laboratory protocol, and in combination with an additional stage of saliva sample preparation increases the diagnostic sensitivity of PCR analysis, minimizes the proportion of discordant and false negative results. Such an integrated approach can be applied for diagnostic, epidemiological and research purposes.
Keywords
Full Text
Введение
Вирус Эпштейна–Барр (ВЭБ) и вирусы герпеса человека 6А и 6В (ВГЧ-6А и ВГЧ-6В) убиквитарны, инфицируют представителей всех социальных групп, начиная с раннего детского возраста. Они характеризуются выраженной лимфотропностью, способностью к хромосомной интеграции генома, модуляции иммунного ответа организма хозяина, онкогенным потенциалом. ВЭБ общеизвестен как самый частый возбудитель инфекционного мононуклеоза (ИМ) (76,6% случаев) [4], ВГЧ-6В является этиологическим агентом внезапной экзантемы, реже ИМ, в то время как специфическая форма ВГЧ-6А- инфекции еще не определена [10]. Спектр ВЭБ- и ВГЧ-6А/В-ассоциированных заболеваний у детей и взрослых постоянно расширяется и уточняется. Специфические средства их лечения и профилактики до настоящего времени не разработаны.
ВЭБ характеризуется генетической гетерогенностью. Первой и общепринятой классификацией генетического разнообразия ВЭБ является деление на два основных типа — ВЭБ-1 и ВЭБ-2 [20]. Патогенетическая роль каждого из них до конца не изучена, доказательств о связи генотипов с развитием различных заболеваний недостаточно. ВГЧ-6А и ВГЧ-6В были официально ратифицированы в 2012 г. Международным комитетом по таксономии вирусов (ICTV) как два разных вида, заменив ВГЧ-6 [13]. Обобщающее название «ВГЧ-6» или «ВГЧ-6А/В» встречается в исследованиях, не предусматривающих видовую дифференциацию [21]. Эксперты призывают ученых и врачей четко различать ВГЧ-6А и ВГЧ-6В для их клинической и эпидемиологической стратификации [13].
Существующие серологические методы не позволяют раздельно определять ВГЧ-6А, ВГЧ-6В и основные типы ВЭБ. Для их дифференциальной детекции применяют методы, основанные на полимеразной цепной реакции (ПЦР), при этом основная часть исследований реализована с помощью «гнездовой» ПЦР [12, 42]. Зарегистрированных тест-систем для типирования ВЭБ-1/ВЭБ-2 и ВГЧ-6А/ВГЧ-6В в России нет, что ограничивает возможности их применения в клинической практике.
В публикациях отечественных авторов дифференциальная детекция ВГЧ-6А/ВГЧ-6В и основных типов ВЭБ носит эпизодический и противоречивый характер [6, 8, 12]. Объектами исследования преимущественно являются плазма и лейкоциты периферической крови, значительно реже используются соскобы или смывы из ротоглотки. В то же время в зарубежных публикациях показана принципиальная возможность исследования с этой целью слюны. При этом только единичные работы посвящены одновременной дифференциальной детекции ВЭБ-1/ВЭБ-2 и ВГЧ-6А/ВГЧ-6В [27].
Слюна — основной фактор передачи и распространения ВЭБ- и ВГЧ-6А/В-инфекции. Исследование слюны представляет собой доступный, недорогой и неинвазивный способ обнаружения вирусной ДНК [16, 31, 40]. Известно, что разные штаммы одного и того же вируса доминируют в разных биосубстратах (лейкоциты крови, плазма, слюна, опухолевые ткани), могут мигрировать между ними в ходе жизненного цикла или замещаться на новые в результате повторного инфицирования [28, 39, 40]. В целом характеристика генетических особенностей циркулирующих вирусов лежит в основе изучения патогенеза, целевой разработки методов лабораторной диагностики, вакцин, средств специфической терапии, а также совершенствования системы эпидемиологического надзора за инфекциями.
Целью данной работы явилось совершенствование методической базы для дифференциальной детекции ВГЧ-6А/ВГЧ-6B и основных типов ВЭБ в слюне.
Материалы и методы
Обследованию подлежали дети в возрасте 1–17 лет (медиана 6 [3; 10] лет), госпитализированные в ГБУЗ НО «Детская инфекционная больница № 8 г. Нижнего Новгорода» с клиническим диагнозом «Острый инфекционный мононуклеоз» (ОИМ) (n = 22). Группа сравнения сформирована из клинически здоровых детей сопоставимого пола и возраста (n = 26), проходивших диспансеризацию в ООО «Тонус Кроха и семейная стоматология» (г. Нижний Новгород). Взрослые условно здоровые доноры были привлечены для отработки методов и динамического наблюдения выделения вирусов со слюной (n = 9).
Материалом для исследования послужила нестимулированная смешанная слюна (далее — слюна). Образцы собирали однократно и в динамике. Однократный забор материала проводили: 1) у пациентов с ОИМ в первые 3–10 дней от начала клинических проявлений; 2) у здоровых волонтеров в день обследования. Для исследования динамики выделения ВЭБ и ВГЧ-6А/В со слюной у шести клинически здоровых вирусоносителей (5 взрослых 25–40 лет и 1 ребенок 3 лет) материал собирали ежедневно в течение 14 дней.
Информированное согласие родителей или опекунов на проведение исследовательской работы в соответствии с положениями Хельсинкской декларации (2013) было получено лечащими врачами медицинских организаций.
Сбор материала. Сбор материала проводили утром после сна натощак до проведения гигиенических процедур полости рта. Применяли традиционную методику накопления слюны в ротовой полости и сплевывания ее в контейнер для сбора биоматериала. Использовали пластиковые одноразовые емкости с крышкой. Образцы слюны доставляли в лабораторию в течение 2 часов, аликвотировали в микропробирки объемом 1,5 мл по 100 мкл для реализации способа 1, 300 мкл для реализации способа 2, дополнительно по 500 и 1000 мкл для отработки способа 2. Пробы хранили при –80°С до момента исследования. Допускалось только однократное замораживание–оттаивание биоматериала.
Пробоподготовка. Способ 1. Предварительная обработка проб слюны не требуется [3].
Способ 2. Пробы цельной слюны в объеме 300 мкл предварительно обрабатывали путем центрифугирования при 13 000 об/мин в течение 5 мин. На этапе отработки метода на биоматериале взрослых здоровых волонтеров таким же образом обрабатывали пробы по 500 мкл и 1000 мкл. Полученную надосадочную жидкость удаляли (на этапе отработки метода ее использовали для ПЦР-анализа). К осадку добавляли до 100 мкл деионизированной воды I типа и тщательно ресуспендировали. Полученную суспензию осадка использовали для выделения нуклеиновых кислот.
Выделение ДНК. Экстракцию тотальной ДНК проводили с помощью комплекта реагентов для выделения РНК/ДНК из клинического материала «РИБО-преп» (ФБУН ЦНИИЭ Роспотребнадзора, Россия).
Способ 1. При работе с цельной слюной и надосадочной жидкостью точно следовали инструкции производителя. Для выделения вирусной ДНК использовали 100 мкл пробы.
Способ 2. Материалом для выделения нуклеиновых кислот послужили 100 мкл предварительно подготовленной суспензии осадка слюны. В ходе выделения проводили дополнительный этап: смесь осадка слюны и лизирующего раствора после прогревания (65°С, 5 мин) центрифугировали при 13 000 об/мин в течение 5 мин. Полученный супернатант полностью отбирали и переносили в чистую пробирку объемом 1,5 мл, сразу добавляли к нему раствор для преципитации, продолжая процедуру выделения согласно инструкции.
Концентрацию и чистоту выделенной тотальной ДНК измеряли с помощью спектрофотометра BioPhotometer Plus (Eppendorf, Германия).
Количественное определение ДНК ВЭБ и ДНК ВГЧ-6А/В. Выявление и количественное определение ДНК вирусов выполняли с помощью ПЦР в реальном времени (ПЦР-РВ) с применением коммерческих наборов «АмплиСенс® EBV-cкрин/монитор-FL» и «АмплиСенс® HHV6- cкрин-титр-FL» (ФБУН ЦНИИЭ Роспотребнадзора, Россия) на амплификаторе Rotor-Gene Q 5plex HRM (Qiagen, Германия). Лабораторный протокол для ПЦР-РВ соблюдался согласно инструкции производителя. Результаты выражали в количественном формате — в количестве копий ДНК на мл образца цельной слюны, а при сравнительном анализе двух способов пробоподготовки — в копиях ДНК в пробе.
Дифференциальная детекция ВЭБ-1/ВЭБ-2 и ВГЧ-6А/ВГЧ-6В. Для раздельной детекции основных типов ВЭБ (ВЭБ-1 и ВЭБ-2) применен модифицированный нами вариант описанной ранее двухраундовой «гнездовой» ПЦР [42]. ПЦР проводили в один раунд в разных пробирках с использованием специфических пар праймеров, ранее использовавшихся для второго раунда: Ap1 (5′-TCT TGA TAG GGA TCC GCT AGG ATA-3′) и Ap2 (5′-ACC GTG GTT CTG GAC TAT CTG GAT C-3′), амплифицирующих фрагмент 497 п.н. (англоязычная аббревиатура — bp), и Bp1 (5′-CAT GGT AGC CTT AGG ACA TA-3′) и Bp2 (5′-AGA CTT AGT TGA TGC CCT AG-3′), амплифицирующих фрагмент 150 п.н., которые детектируют ВЭБ-1 и ВЭБ-2 соответственно [42].
Для раздельной детекции ВГЧ-6А и ВГЧ-6В применен метод, описанный в статье S. Reddy и P. Manna [41]. Одностадийный вариант ПЦР проводили в одной пробирке, используя праймеры, специфичные к немедленно раннему гену (IE) вируса: forward (CTC ATA AGG TGC TGA GTG ATC AGT T) и reverse (CCT CAG TGA CAG ATC TGG GC) [41]. В данном случае используется одна пара праймеров, которые в реакции амплификации дают два разных по размеру фрагмента — 206 п.н. и 431 п.н., соответствующих ВГЧ-6А и ВГЧ-6В.
Дифференциальный ПЦР-анализ проводили в отдельных пробирках (для ВЭБ-1, ВЭБ-2 и ВГЧ-6А/ВГЧ-6В). Состав реакционной смеси общим объемом 25 мкл включал следующие реагенты: праймеры (5 пкМ в реакцию) (ДНК-синтез, Россия); 5-кратный Taq Red буфер 12,5 мМ Mg2+ (Евроген, Россия); 5 е.а. HS Taq ДНК-полимеразы (Евроген, Россия); смесь дезоксинуклеозидтрифосфатов (до конечной концентрации 0,1 мМ) (Евроген, Россия); деионизированную воду I типа (Milli-Q Integral 3, Франция). В качестве матрицы использовали выделенную ДНК в объеме 5 мкл на реакцию. В данном исследовании для дифференциальной детекции ВЭБ-1/ВЭБ-2 и ВГЧ-6А/ВГЧ-6В нами применялся оптимизированный единый лабораторный протокол приготовления реакционной смеси и температурного профиля ПЦР-анализа. Условия для проведения амплификации в работе не приведены, так как оптимизированный вариант является объектом патентной защиты. Амплификацию специфичных фрагментов проводили на амплификаторе MaxyGene Gradient (Axygen, США).
В качестве контрольных материалов при дифференциальной ПЦР использованы положительный контроль (К+) — ДНК ВЭБ-1, ДНК ВЭБ-2, ДНК ВГЧ-6В, полученная нами в предыдущих исследованиях из лейкоцитов периферической крови пациентов с ОИМ ВЭБ- или ВГЧ6-этиологии, а также отрицательный контроль (К–) — деионизированная вода I типа.
Продукты ПЦР-амплификации анализировали с помощью электрофореза в 1,8% агарозном геле, содержащем бромид этидия (0,02% по объему). В качестве стандарта для определения длины двуцепочечных молекул ДНК в интервале 100–1500 п.н. использовали маркер длин ДНК (М) 100+ bp DNA Ladder (Евроген, Россия). Результаты детектировали на трансиллюминаторе InGenius 3 с использованием программного обеспечения GeneSys (Syngene, Великобритания). Полученные данные выражали в качественном формате — положительный или отрицательный.
Статистическая обработка данных проводилась с использованием языка программирования R версии 4.0.0 (The R Foundation for Statistical Computing, Inc) 1 и среды RStudio версия 1.4.1106 (RStudio, PBC) 2. Принадлежность выборок к нормальному распределению определяли с помощью критерия Шапиро–Уилка и графиков квантилей. Для попарного сравнения независимых выборок использован критерий Манна–Уитни и коэффициент ранговой корреляции Спирмена. Для поиска различий способов 1 и 2 использовали тест Уилкоксона для зависимых выборок. Рассчитанные значения р корректировали с применением поправки Холма–Бонферрони для множественных сравнений. Различия считали статистически значимыми при скорректированном р < 0,05. Полученные концентрации вирусной ДНК представляли в виде Me [Q1; Q3] (где Ме — медиана, Q1, Q3 — первый и третий квартили).
Результаты
На первом этапе исследования нами проведено тестирование проб вирусной ДНК, выделенной из цельной слюны без предварительной пробоподготовки (способ 1).
Количественное определение ДНК ВЭБ и ДНК ВГЧ-6А/В. Все образцы цельной слюны были исследованы на наличие ДНК ВЭБ и ДНК ВГЧ-6А/В методом количественной ПЦР-РВ. Среди детей с ОИМ ДНК ВЭБ обнаружена в 95% случаев (21/22), а ее концентрация составляла 730 455 [118 994; 5 053 700] копий/мл. Только у одного ребенка в слюне ДНК ВЭБ не детектировалась, при этом выявлялась ДНК ВГЧ-6А/В в концентрации 4866 копий/мл. В целом ДНК ВГЧ-6А/В обнаружена у 82% (18/22) обследованных пациентов при значениях концентрации ДНК вируса 15 [0; 5680] копий/мл (только у троих детей она была выше третьего квартиля).
В группе здоровых детей положительными на ДНК ВЭБ были 50% (13/26) проб слюны, ДНК ВГЧ-6А/В — 81% (21/26). При этом концентрация ДНК ВЭБ была значительно ниже, чем в группе ОИМ, — 447 [85; 2925] копий/мл (р < 0,001). Следует отметить, что на фоне отсутствия клинических симптомов у троих детей уровни ДНК ВЭБ отличались наиболее высокими значениями в данной группе обследованных (143 972–828 020 копий/мл) и были сопоставимы с показателями пациентов с ОИМ. Концентрация ДНК ВГЧ-6А/В у здоровых детей составила 27 800 [3742; 53 437] копий/мл, что статистически значимо превысило ее значение в группе детей с ОИМ (р = 0,009). При этом результаты измерения тотальной ДНК в группах сравнения не различались (р = 0,359).
Микст-инфекция (ВЭБ+ВГЧ-6А/В) по результатам исследования слюны в группе детей с ОИМ выявлялась у 82% (18/22), а в группе здоровых детей — у 46% (12/26) обследованных.
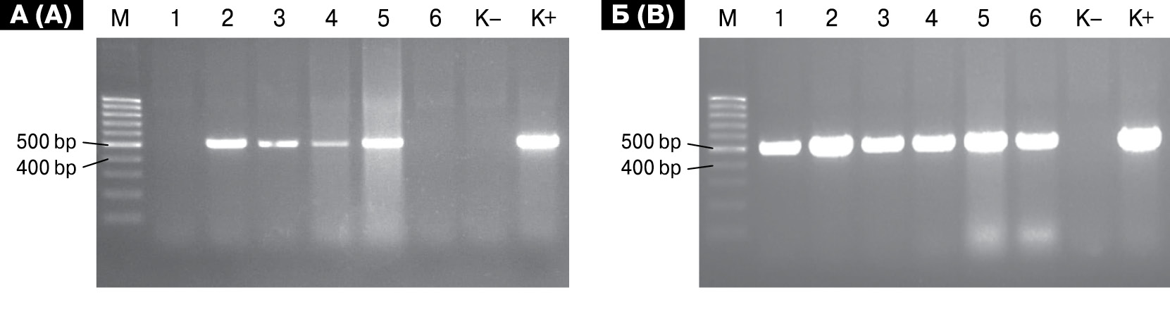
Дифференциальная детекция ВЭБ-1/ВЭБ-2. На этапе генотипирования ВЭБ дифференциальная детекция ВЭБ-1 и ВЭБ-2 проводилась не в формате двухраундовой «гнездовой» ПЦР, описанной в статье [42], а в оптимизированном нами однораундовом варианте, который ранее применялся для дифференциальной детекции ВЭБ-1 и ВЭБ-2 в лейкоцитах периферической крови и отличался проведением амплификации в один раунд с использованием праймеров, приведенных в разделе «Материалы и методы» (исходно использовались во втором раунде ПЦР). ПЦР-анализ выполнялся для каждой пробы в двух отдельных пробирках и позволил выявлять ВЭБ-1 (497 п.н.) и ВЭБ-2 (150 п.н.) (рис. 1).
Рисунок 1. Результаты оптимизированной однораундовой ПЦР для дифференциальной детекции ВЭБ-1 и ВЭБ-2 в пробах цельной слюны пациентов с острым ВЭБ-инфекционным мононуклеозом
В ходе тестирования проб цельной слюны детей с ОИМ был выявлен только ВЭБ-1. Установлено, что у здоровых вирусоносителей в слюне также доминировал ВЭБ-1. При типировании ВЭБ в однораундовой ПЦР был получен отрицательный результат в одной ВЭБ-положительной пробе по результатам ПЦР-РВ.
Раздельная детекция ВГЧ-6А/ВГЧ-6В. Определение ВГЧ-6А и ВГЧ-6В проводилось в ходе однораундовой ПЦР в одной пробирке [41]. При обследовании пациентов с ОИМ в цельной слюне выявлялся только ВГЧ-6В. Дискордантность результатов увеличилась: 4 ВГЧ-6А/В- позитивные пробы (по результатам ПЦР-РВ) прошли как отрицательные. В группе здоровых детей также единственным выявленным видом стал ВГЧ-6В. При исследовании материала в данной группе расхождения результатов не наблюдалось.
Проанализировав ситуацию с дискордантными результатами, мы установили, что в одном случае концентрация ДНК ВГЧ-6А/В составляла 5,8 копий в пробе, а в остальных количество вирусной ДНК было ≤ 1 копии в пробе. Следует отметить, что среди других пациентов и в группе здоровых детей при этих же концентрациях регистрировались и положительные результаты.
На следующем этапе для оптимизации дифференциальной детекции ВЭБ-1/ВЭБ-2 и ВГЧ-6А/ВГЧ-6В работа проводилась по двум направлениям: а) обогащение матрицы для ПЦР-анализа на основе оптимизации этапа пробоподготовки слюны; б) проведение второго раунда ПЦР с теми же праймерами, которые использовались в однораундовой ПЦР (реамплификация).
Оптимизация способа пробоподготовки слюны. На основе исследования слюны взрослых здоровых волонтеров выполнен сравнительный анализ трех ее фракций: цельная слюна без предварительной обработки (100 мкл), осадок и надосадочная жидкость, полученные из разных объемов того же образца слюны (300, 500 и 1000 мкл) после пробоподготовки путем центрифугирования при 13 000 об/мин в течение 5 минут. Этот же режим центрифугирования дополнительно применялся для последующего выделения вирусной ДНК из осадка слюны на этапе между лизированием проб и преципитацией.
На рис. 2 показано, что в образце одного и того же донора вирусная ДНК в пробах надосадочной жидкости не выявлялась ни при количественном, ни при качественном однораундовом варианте ПЦР-анализа. Отметим, что при отработке метода в отдельных случаях, когда концентрация ДНК ВЭБ в цельной слюне превышала 1000 копий в пробе, в надосадочной жидкости выявлялась вирусная ДНК в количестве 1–2 копии в пробе.
Рисунок 2. Сравнение результатов определения ВЭБ-1 и ВГЧ-6В во фракциях слюны, полученных из разных объемов образца одного донора
Примечание. Цельная слюна — проба S0 (100 мкл); осадок слюны — пробы S1 (300 мкл), S2 (500 мкл), S3 (1000 мкл); надосадочная жидкость — пробы S1*(300 мкл), S2*(500 мкл), S3*(1000 мкл).
В осадке слюны, наоборот, во всех случаях наблюдалось повышение количества копий вирусной ДНК по сравнению с цельной слюной, что также выражалось в улучшении визуализации ПЦР-фрагментов на электрофореграмме. При этом значения концентрации вирусной ДНК в осадке слюны увеличивались непропорционально объему использованного для анализа образца цельной слюны. Количество копий вирусной ДНК в пробах осадка, полученных из 1000 мкл слюны, было меньше, чем количество копий, полученных из 300 мкл. В процессе отработки метода было установлено, что объем образца более 300 мкл значительно изменял качественные характеристики большинства проб осадка слюны. В этом случае отмечалось снижение специфичности и воспроизводимости выявления вирусной ДНК в триплетах на этапе дифференциального ПЦР-анализа (появление шмеров на электрофореграммах и отсутствие специфических фрагментов в повторах).
На основе полученных результатов в ходе дальнейших исследований нами применялся оптимизированный методический подход, основанный на ПЦР-анализе вирусной ДНК, выделенной модифицированным способом из осадка слюны, полученного путем центрифугирования 300 мкл образца (способ 2).
Результаты сравнения способа 1 и способа 2. Способ 2 был применен к тому же набору образцов слюны детей, что и способ 1. При попарном сравнении результатов количественной ПЦР-РВ, как суммарно среди всех обследованных, так и отдельно по группам детей с ОИМ и без клинических признаков данного заболевания, после применения способа 2 по сравнению со способом 1 в пробах получено статистически значимое повышение концентрации ДНК ВЭБ (р < 0,001; р < 0,001; p = 0,012), ДНК ВГЧ-6А/В (р < 0,001; р = 0,021; р < 0,001) и тотальной ДНК (р < 0,001 для всех вариантов межгруппового сравнения). Корреляция между концентрацией вирусной и тотальной ДНК не установлена.
Способ 2 дополнительно позволил выявить ДНК ВЭБ в пяти ранее отрицательных образцах, принадлежащих условно здоровым детям. Аналогичные изменения наблюдались и для ДНК ВГЧ-6А/В у двух пациентов с ОИМ и одного здорового ребенка. Как следствие, в группе пациентов с ОИМ повысилась частота обнаружения ДНК ВГЧ-6А/В с 82 до 91% (20/22), ВЭБ+ВГЧ-6А/В с 81 до 86% (19/22). Среди условно здоровых детей доля ВЭБ-позитивных лиц увеличилась с 50 до 69% (18/26), ВГЧ-6А/В-позитивных индивидов с 81 до 85% (22/26), а сочетанные формы инфицирования (ВЭБ+ВГЧ-6А/В) возросли с 46 до 61,5% (16/26).
По результатам однораундового дифференциального ПЦР-анализа после выполнения процедуры дополнительной пробоподготовки слюны ранее дискордантные пробы стали положительными на ВЭБ-1 и ВГЧ-6В. Как общая тенденция отмечалось повышение качества визуализации специфических ПЦР-фрагментов на электрофореграмме по мере увеличения концентрации вирусной ДНК в пробах (рис. 3). На примере детекции ВЭБ-1 показано, что дополнительно выявленные после применения способа 2 ВЭБ-позитивные пробы могут быть дискордантными. Установлено, что в целом подобная картина отмечалась в 5 из 8 аналогичных проб в случае низкого содержания вирусной ДНК (≤ 1 копии в пробе).
Рисунок 3. Сравнение результатов детекции ВЭБ-1 и ВГЧ-6В в пробах слюны с разными концентрациями вирусной ДНК до и после применения способа 2
Примечание. Способ 1 — пробы 1, 2, 3, 4; способ 2 — пробы 1*, 2*, 3*, 4*.
На рис. 4А две пробы, содержащие ВЭБ-1, с целевыми для нас концентрациями менее 1 копии в пробе представлены в триплетах. Проведен анализ проб под номером 1* (0,6 копий в пробе) и номером 2 (0,4 копии в пробе), представленных ранее на рис. 3. Данные свидетельствуют о низкой сходимости результатов исследований при установленных предельных значениях чувствительности используемых методов. Обнаружение вирусной ДНК в этих образцах во многом может носить случайный характер независимо от применения способа 1 или способа 2.
Рисунок 4. Результаты детекции ВЭБ-1 в пробах с низкой концентрацией вирусной ДНК (≤ 1 копии в пробе)
Примечание. А) детекция в триплетах при концентрации ДНК 0,6 (линии 1, 2, 3) и 0,4 копии в пробе (линии 4, 5, 6); Б) реамплификация при концентрации ДНК 0,6 (линии 1, 2, 3) и 0,4 копии в пробе (линии 4, 5, 6).
Реамплификация, когда во втором раунде ПЦР используется матрица и праймеры, фигурирующие в первом раунде ПЦР, в пробах с низким содержанием вирусной ДНК (≤ 1 копии в пробе) позволяет повысить эффективность детекции результатов амплификации с помощью горизонтального электрофореза (рис. 4Б).
Таким образом, дифференциальная детекция ВЭБ-1/ВЭБ-2 и ВГЧ-6А/ВГЧ-6В в однораундовом варианте ПЦР в сочетании со способом 2 возможна в отношении образцов цельной слюны с минимальной концентрацией вирусной ДНК > 33 копий/мл.
Следует отметить, что ни в одном из исследуемых образцов слюны, в том числе после оптимизации, ВЭБ-2 и ВГЧ-6А обнаружены не были.
Исследование динамики выделения ВЭБ и ВГЧ-6А/В со слюной. Проведена динамическая оценка концентрации ДНК ВЭБ и ДНК ВГЧ-6А/В с помощью количественной ПЦР-РВ в серии образцов слюны, которые собирались ежедневно в течение 14 дней. На рис. 5 представлены результаты сравнительного исследования слюны условно здоровых доноров (взрослого и ребенка) с помощью способа 1 и способа 2.
Рисунок 5. Сравнение способа 1 и способа 2 в ходе динамического наблюдения за выделением ВЭБ и ВГЧ-6А/В со слюной
Примечание. N4 — взрослый донор, N6 — здоровый ребенок.
Независимо от возраста доноров после применения способа 1 в исследованных образцах за весь период наблюдения отмечались ежедневные колебания концентрации вирусной ДНК. При этом наиболее выраженный размах значений наблюдался в отношении ДНК ВЭБ: от недетектируемых уровней до 102–103 копий в пробе (или 104–105 копий/мл). В этих же пробах концентрация ДНК ВГЧ-6А/В изменялась только в 4–6 раз и характеризовалась более низким уровнем по сравнению с ВЭБ, бóльшим постоянством значений без резких перепадов и отрицательных результатов. Использование способа 2 позволило повысить концентрацию вирусной ДНК в каждой пробе и исключить период отсутствия детекции ДНК ВЭБ у взрослого донора в 11 и 12 дни наблюдения.
Сравнительный анализ результатов применения способа 2 к исследованию слюны у 6 условно здоровых доноров подтверждает, что профили кривых ежедневного выделения ВЭБ и ВГЧ-6А/В различаются и для каждого участника наблюдения индивидуальны (рис. 6).
Рисунок 6. Профиль ежедневного выделения ВЭБ и ВГЧ-6А/В со слюной у здоровых доноров в течение 14 дней наблюдения (применен способ 2)
Примечание. N1, N2, N3, N4, N5 — взрослые доноры, N6 — здоровый ребенок.
За период наблюдения пиковые концентрации ДНК ВЭБ достигали у разных доноров значений от 1475 до 54 627 копий в пробе, а концентрации ДНК ВГЧ-6А/В — от 72 до 2401 копий в пробе. В то время как у некоторых участников (N2, N3, N5) периоды непрерывного выделения ВЭБ сменялись периодами отсутствия его детекции в слюне, у других (N1, N4, N6) отмечалось обнаруживаемое выделение вируса в течение всего времени наблюдения. Результаты исследования свидетельствуют о том, что в зависимости от дня, на который приходился сбор биоматериала, участники N2, N3 и N5 могли рассматриваться либо как ВЭБ-позитивные лица, выделяющие вирус с разной степенью интенсивности, либо, наоборот, как ВЭБ-негативные индивиды. Для детекции ДНК ВГЧ-6А/В применение способа 2 полностью нивелировало данную проблему.
По результатам дифференциального ПЦР-анализа во всех образцах слюны взрослых волонтеров также были обнаружены только ВЭБ-1 и ВГЧ-6В.
Обсуждение
В настоящее время доказана основная роль воздушно-капельного пути передачи в распространении ВЭБ- и ВГЧ-6А/В-инфекций [19, 22, 34, 37]. При сравнительном анализе различных биосубстратов ротовой полости (цельная слюна, жидкость десневой щели, секрет отдельных слюнных желез, мазки ротовой полости) наибольшая частота обнаружения вирусной ДНК была установлена в цельной слюне [40, 43]. Кроме того, слюна является легкодоступным клиническим материалом, не требующим инвазивных вмешательств, что особенно актуально при обследовании детей. Именно поэтому в нашей работе биоматериалом для исследования послужила цельная слюна.
Обращает на себя внимание тот факт, что, по данным литературы, результаты ПЦР-исследований сильно контрастируют. Так, при ОИМ частота выявления ДНК ВЭБ в слюне у детей составляет у разных авторов от 69% [5] до 100% [11]. Несмотря на то что ИМ — полиэтиологичное заболевание, определение ВГЧ-6А/В в контексте этиологической расшифровки проводилось лишь в единичных работах, а данные о частоте обнаружения вируса варьировали от 31 до 52% случаев [1, 5]. Среди условно здоровых детей ДНК ВЭБ и ВГЧ-6А/В в слюне обнаруживалась, по данным одних авторов, у 28 и 35% обследованных [16], по данным других — у 90 [35] и 66% [13, 14] соответственно. Концентрация вирусной ДНК также значительно варьирует и составляет от < 2 до 9300 копий/мл ДНК ВЭБ в слюне здоровых детей [25, 30].
В числе возможных причин этих различий специалисты чаще всего отмечают популяционные особенности исследуемых групп из разных географических регионов, отсутствие стандартизированных лабораторных протоколов, представление количественных результатов в разных единицах измерения, наличие в слюне ингибиторов, которые мешают амплификации ДНК и обусловливают ложноотрицательные результаты [30, 31]. Еще одним важным аспектом данной проблемы, на который мало обращают внимание, является недостаточность информации об особенностях динамики выделения вируса со слюной. В зарубежных исследованиях сообщается о выраженном стохастическом характере обнаружения ДНК ВЭБ как в течение суток [24], так и ежедневно [17], еженедельно [33], ежемесячно [29]. В то время как одни авторы демонстрировали 30-кратную разницу между максимальным и минимальным количеством ВЭБ за один день [24], другие установили колебания его концентрации до 5 логарифмов в течение более длительного периода наблюдения, вплоть до перемежающихся отрицательных результатов детекции [23]. Мониторинг вирусной нагрузки ВГЧ-6А/В в слюне проводился преимущественно в проспективных исследованиях, посвященных изучению времени первичного инфицирования детей [22, 33, 34], реже при обследовании здоровых вирусоносителей [36]. Как правило, выделение ВГЧ-6А/В отличалось непрерывным характером и относительно низкой вирусной нагрузкой [33]. Механизмы, лежащие в основе регуляции выделения ВЭБ и ВГЧ-6А/В со слюной, остаются до конца не изученными [9, 23, 26].
Результаты наших собственных исследований подтверждают, что применение разных методических подходов при тестировании одних и тех же образцов генерирует отличающиеся по своей сути данные. Применение оптимизированного нами способа пробоподготовки слюны позволило повысить концентрацию вирусной и тотальной ДНК в пробах и, как следствие, частоту выявления ДНК ВЭБ на 19%, ДНК ВГЧ-6А/В на 4–9%, сочетанных форм инфекции на 15,5% (по результатам количественной ПЦР-РВ). Достигнутые преимущества отразились в том числе на эффективности обнаружения ДНК вирусов, минимизируя вероятность получения ложноотрицательных результатов при динамическом исследовании образцов слюны в течение 14 дней. На примере исследования образцов слюны вирусоносителей (детей и взрослых) показано, что для ВЭБ характерны резкие колебания вирусной нагрузки вплоть до недетектируемых уровней, а также более высокие пиковые концентрации в сравнении с ВГЧ-6А/В. Таким образом, инфицированность или интенсивность выделения ВЭБ у каждого человека не может быть достоверно определена из исследования единственного образца слюны. Однако в клинической и, в частности, педиатрической практике однократный забор биологического материала является наиболее распространенным диагностическим подходом. В то время как механизмы регуляции выделения ВЭБ со слюной являются отдельным направлением зарубежных исследований [23, 26], для ВГЧ-6А/В этот вопрос в литературе не освещен. Мы полагаем, что более постоянный и равномерный характер обнаружения ВГЧ-6А/В у здоровых волонтеров может быть следствием латенции вируса в эпителиальных клетках слюнных желез и/или ротоглотки в уникальной для него хромосомно-интегрированной форме.
Полученные нами данные о частоте обнаружения вирусной ДНК свидетельствуют о высокой доле здоровых вирусоносителей ВЭБ и ВГЧ-6А/В среди детей — жителей Нижегородского региона (69 и 85% соответственно). В более раннем исследовании нижегородских ученых распространенность ВЭБ составляла 52% [2], что согласуется с нашими данными (50%), полученными с помощью способа 1. Микст-инфекция детектировалась у 61,5% обследованных, в то время как более ранние наблюдения российских исследователей свидетельствуют о том, что у детей разного возраста инфицированность ВЭБ+ВГЧ-6А/В изменяется от 25 до 60% [7].
Установлено, что концентрация ДНК ВЭБ в группе детей с ОИМ достигала высоких значений — 730 455 [118 994; 5 053 700] копий/мл. В этой же группе концентрация ДНК ВГЧ-6А/В отличалась наименьшими, даже по сравнению с группой здоровых детей, показателями (15 [0; 5680] против 27 800 [3742; 53 437] копий/мл; р = 0,009). Следует отметить, что на этапе дизайна данного исследования был сделан выбор в пользу использования раздельных (ориентированных на конкретный вирус), а не мультиплексных тест-систем для количественной ПЦР. Именно поэтому можно предположить, что выявленные особенности отражают существующие механизмы конкурентного взаимодействия ВЭБ и ВГЧ-6А/В в организме человека при определенных условиях. Подобные наблюдения описаны ранее в публикациях, посвященных исследованиям ВГЧ-6 и ВИЧ [18], а также ВЭБ и вируса саркомы Капоши [38], и требуют дальнейшего изучения.
В России типирование ВЭБ и ВГЧ-6А/В в слюне до настоящего времени не проводилось. По результатам зарубежных исследований у детей и взрослых в слюне доминирующим типом ВЭБ во всем мире является ВЭБ-1 (70–90%) [28, 44]. В современных работах продемонстрирована принципиальная возможность обнаружения в слюне детей ВГЧ-6А и ВГЧ-6В [30, 32, 34, 36]. В основном преобладает ВГЧ-6В (96-100%), а ВГЧ-6А детектируется значительно реже. Однако встречаются публикации, согласно которым ВГЧ-6А выделяется со слюной у большей части детей в возрасте до 4 лет [32]. Открытым остается вопрос, обусловлена ли частота обнаружения преимущественно ВГЧ-6B какими-либо техническими и физиологическими детерминантами или является реальным отражением более активного участия данного вида вируса в развитии инфекционной патологии человека по сравнению с ВГЧ-6А [14].
Оптимизированный в данной работе методический подход позволяет раздельно детектировать ВГЧ-6А, ВГЧ-6В и основные типы ВЭБ по единому лабораторному протоколу, а в сочетании с предварительной пробоподготовкой слюны повышает диагностическую чувствительность ПЦР-анализа, минимизирует долю дискордантных и ложноотрицательных результатов.
Полученные нами результаты свидетельствуют о том, что у обследованных детей Нижегородского региона доминирует ВЭБ-1 и ВГЧ-6В, что согласуется с существующими представлениями об их географическом распределении на прилегающих территориях [8, 12]. ВЭБ-2 и ВГЧ-6А в слюне не были обнаружены ни в одной из исследуемых групп детей, а также у взрослых.
Для клинико-эпидемиологической характеристики ВГЧ-6А, ВГЧ-6В, а также типов ВЭБ-1/ВЭБ-2 требуются дальнейшие более масштабные исследования.
Заключение
На основе метода ПЦР оптимизированы методические подходы для дифференциальной детекции ВЭБ-1/ВЭБ-2 и ВГЧ-6А/ВГЧ-6В в слюне.
Впервые в России проведен раздельный анализ ВГЧ-6А, ВГЧ-6В и основных типов ВЭБ в слюне. Представлены первые результаты 14-дневного динамического мониторинга выделения вирусов со слюной у здоровых вирусоносителей (взрослых и детей). Установлено, что цельная слюна является доступным, неинвазивным клиническим материалом для выделения вирусной ДНК с целью изучения генетического разнообразия ВЭБ и ВГЧ-6А/В. Показано, что определение ДНК ВЭБ в единственном образце слюны не позволяет достоверно оценить инфицированность лиц или интенсивность выделения ВЭБ. ВГЧ-6А/В характеризуется более постоянным и равномерным выделением.
Оптимизация раздельной детекции основных типов ВЭБ, а также видов ВГЧ-6А и ВГЧ-6В основывалась на использовании комплексного подхода, включающего применение однораундового варианта ПЦР вместо двухраундового, а также единого лабораторного протокола исследования для разных вирусов, что существенно упрощает диагностический процесс и делает его экономически целесообразным. Другой аспект оптимизации направлен на концентрирование вирусной ДНК в образцах цельной слюны с целью обогащения матрицы для ПЦР-анализа, что особенно важно при низкой вирусной нагрузке и позволяет повысить чувствительность исследования, а также снизить долю ложноотрицательных результатов.
Среди пациентов с ОИМ и в контрольной группе установлено преобладание ВЭБ-1 и ВГЧ-6В. ВЭБ-2 и ВГЧ-6А не детектировались ни в одном из исследованных образцов слюны.
Описанный в рамках настоящего исследования методический подход может применяться в диагностических, эпидемиологических и научно-исследовательских целях.
1 https://www.R-project.org
About the authors
Mariia I. Popkova
Academician I.N. Blokhina Nizhny Novgorod Scientific Research Institute of Epidemiology and Microbiology
Author for correspondence.
Email: popmarig@mail.ru
ORCID iD: 0000-0001-5864-5862
SPIN-code: 4485-2459
PhD (Medicine), Leading Researcher, Laboratory of Molecular Biology and Biotechnology
Россия, Nizhniy NovgorodOleg V. Utkin
Academician I.N. Blokhina Nizhny Novgorod Scientific Research Institute of Epidemiology and Microbiology
Email: utkino2004@mail.ru
ORCID iD: 0000-0002-7571-525X
PhD (Biology), Head of Laboratory of Molecular Biology and Biotechnology
Россия, Nizhniy NovgorodDaria A. Bryzgalova
Academician I.N. Blokhina Nizhny Novgorod Scientific Research Institute of Epidemiology and Microbiology
Email: moskvinadara7@gmail.com
ORCID iD: 0000-0002-6663-8440
SPIN-code: 5626-3491
Junior Researcher, Laboratory of Molecular Biology and Biotechnology
Россия, Nizhniy NovgorodAnna O. Senatskaia
Academician I.N. Blokhina Nizhny Novgorod Scientific Research Institute of Epidemiology and Microbiology
Email: seanna@bk.ru
ORCID iD: 0000-0003-2024-4283
SPIN-code: 6891-2140
Junior Researcher, Laboratory of Molecular Biology and Biotechnology
Россия, Nizhniy NovgorodEvgeniya A. Soboleva
Privolzhsky Research Medical University of the Ministry of Health of the Russian Federation
Email: Fullofcarrot@pimunn.ru
ORCID iD: 0000-0003-3591-9618
Infectologist, Assistant Professor, Infectious Diseases Department
Россия, Nizhniy NovgorodNikolai A. Sakharnov
Academician I.N. Blokhina Nizhny Novgorod Scientific Research Institute of Epidemiology and Microbiology
Email: saharnov@nniiem.ru
ORCID iD: 0000-0003-3965-2033
SPIN-code: 8457-3501
Researcher, Laboratory of Molecular Biology and Biotechnology
Россия, Nizhniy NovgorodElena N. Filatova
Academician I.N. Blokhina Nizhny Novgorod Scientific Research Institute of Epidemiology and Microbiology
Email: filatova@nniiem.ru
ORCID iD: 0000-0002-6683-7191
SPIN-code: 1986-8147
PhD (Biology), Leading Researcher, Laboratory of Molecular Biology and Biotechnology
Россия, Nizhniy NovgorodEkaterina A. Kulova
Tonus Krokha and Family Dentistry Clinic LLC
Email: dr_kulova@mail.ru
ORCID iD: 0000-0002-5207-1164
SPIN-code: 4331-6958
PhD (Medicine), Infectologist, Allergologist and Immunologist
Россия, Nizhniy NovgorodReferences
- Бабаченко И.В., Шарипова Е.В., Мурина Е.А. Cовременные подходы к диагностике инфекционного мононуклеоза у детей // Клиническая больница. 2012. № 4 (03). C. 62–66. [Babachenko I.V., Sharipova E.V., Murina E.A. Contemporary approaches to the diagnosis of infectious mononucleosis in children. Klinicheskaya bolnitsa = The Hospital, 2012, no. 4 (03), pp. 62–66. (In Russ.)]
- Бруснигина Н.Ф., Сперанская Е.В., Черневская О.М., Махова М.А., Орлова К.А., Кленина Н.Н. Анализ распространенности вирусов семейства Herpesviridae среди детей Нижнего Новгорода // Медицинский альманах. 2013. № 2. С. 99–103. [Brusnigina N.F., Speranskaya E.V., Chernevskaya O.M., Makhova M.A., Orlova K.A., Klenina N.N. Analysis of the prevalence of viruses of the Herpesviridae family among children of Nizhny Novgorod. Meditsinskiy almanakh = Medical Almanac, 2013, no. 2, pp. 99–103. (In Russ.)]
- Взятие, транспортировка, хранение клинического материала для ПЦР-диагностики: методические рекомендации. М.: ФБУН ЦНИИ эпидемиологии Роспотребнадзора, 2012. 34 с. [Taking, transportation, storage of clinical material for PCR diagnostics: methodological recommendations. Мoscow: Central Research Institute of Epidemiology of the Rospotrebnadzor, 2012. 34 p. (In Russ.)]
- Демина О.И., Тихомиров Д.С., Чеботарева Т.А., Мазанкова Л.Н., Туполева Т.А. Клиническая значимость вирусологических методов верификации этиологии инфекционного мононуклеоза // Детские инфекции. 2020. Т. 19, № 2. С. 29–37. [Demina O.I., Tikhomirov D.S., Chebotareva T.A., Mazankova L.N., Tupoleva T.A. Clinical relevance of virological verification methods for the etiology of infectious mononucleosis. Detskie infektsii = Children Infections, 2020, vol. 19, no. 2, pp. 29–37. (In Russ.)] doi: 10.22627/2072-8107-2020-19-2-29-37
- Климова Р.Р., Сотников И.А., Чичев Е.В., Егорова Н.Ю., Околышева Н.В., Кистенева Л.Б., Учайкин В.Ф., Кущ А.А. Сравнительный анализ частоты встречаемости маркеров герпесвирусных инфекций в клинических материалах у детей с различными инфекционными патологиями // Эпидемиология и инфекционные болезни. Актуальные вопросы. 2014. № 4. С. 33–38. [Klimova R.R., Sotnikov I.A., Chichev E.V., Egorova N.Yu., Okolysheva N.V., Kisteneva L.B., Uchaikin V.F., Kushch A.A. Comparative analysis of the frequency of herpesvirus infection markers in clinical samples from children with various infectious diseases. Epidemiologiya i infektsionnye bolezni. Aktual'nye voprosy = Epidemiology and Infectious Diseases. Current Items, 2014, no. 4, pp. 33–38. (In Russ.)]
- Лысенкова М.Ю., Мелехина Е.В., Каражас Н.В., Свитич О.А., Веселовский П.А., Рыбалкина Т.Н., Бошьян Р.Е., Косенчук В.В., Музыка А.Д., Горелов А.В., Усенко Д.В., Иванова М.Ю. Клинико-эпидемиологические особенности ВГЧ-6А- и ВГЧ-6В-инфекции у детей г. Москвы // Детские инфекции. 2019. Т. 18, № 1. С. 11–16. [Lysenkova M.Yu., Melekhina E.V., Karazhas N.V., Svitich O.A., Veselovsky P.A., Rybalkina T.N., Boshyan R.E., Kosenchuk V.V., Muzyka A.D., Gorelov A.V., Usenko D.V., Ivanova M.Yu. The clinical and epidemiological features of HHV-6A and HHV-6B infections in children of Moscow. Detskie infektsii = Children Infections, 2019, vol. 18, no. 1, pp. 11–16. (In Russ.)] doi: 10.22627/2072-8107-2019-18-1-11-16
- Мелехина Е.В., Николаева С.В., Солдатова Е.Ю., Музыка А.Д., Горелов А.В. Место инфекции, вызванной вирусом герпеса человека 6А/В, в детской популяции // Русский медицинский журнал. 2019. № 10. С. 17–21. [Melehina E.V., Nikolaeva S.V., Soldatova E.Ju., Muzyka A.D., Gorelov A.V. Human herpesvirus 6 variant A/B infections in child population. Russkiy meditsinskiy zhurnal = Russian Medical Journal, 2019, no. 10, pp. 17–21. (In Russ.)]
- Никольский М.А., Вязовая А.А., Ведерников В.Е., Нарвская О.В., Лиознов Д.А., Смирнова Н.Н., Полунина А.В., Бурмистрова А.Г., Золотова М.А. Молекулярно-биологическая характеристика вируса герпеса человека 6-го типа у пациентов с различными вариантами течения заболевания // Педиатрия. 2019. Т. 98, № 1. C. 53–56. [Nikolsky M.A., Vyazovaya A.A., Vedernikov V.E., Narvskaya O.V., Lioznov D.A., Smirnova N.N., Polunina A.V., Burmistrova A.G., Zolotova M.A. Molecular and biological characteristics of human herpes virus type 6 in patients with different variants of the disease course. Pediatria = Pediatrics, 2019, vol. 98, no. 1, pp. 53–56. (In Russ.)] doi: 10.24110/0031-403X-2019-98-1-53-56
- Пермякова А.В., Сажин А.В., Мелехина Е.В., Горелов А.В. Возможности биологического и математического моделирования инфекции, вызванной вирусом Эпштейна–Барр // Педиатрия. 2020. Т. 99, № 6. С. 226–231. [Permyakova A.V., Sazhin A.V., Melekhina E.V., Gorelov A.V. Possibilities of biological and mathematical modeling of the infection caused by Epstein–Barr virus. Pediatria = Pediatrics, 2020, vol. 99, no. 6, pp. 226–231. (In Russ.)] doi: 10.24110/0031-403X-2020-99-6-226-231
- Попкова М.И., Уткин О.В., Брызгалова Д.А. Сравнительная характеристика бета-герпес-вирусов человека 6А и 6В. Современный взгляд на проблему // Журнал инфектологии. 2021. Т. 13, № 3. С. 5–18. [Popkova M.I., Utkin O.V., Bryzgalova D.A. Comparative characteristics of human betaherpesviruses 6A and 6B. A modern view on the problem. Zhurnal infektologii = Journal Infectology, 2021, vol. 13, no. 3, pp. 5–18. (In Russ.)] doi: 10.22625/2072-6732-2021-13-3-5-18
- Попова О.А., Хохлова З.А. Персистенция ДНК ВЭБ у детей, перенесших инфекционный мононуклеоз // Российский иммунологический журнал. 2018. T. 12, № 4. C. 728–730. [Popova O.A., Khokhlova Z.A. Persistence of VEB DNA in children after the infectious mononucleosis. Rossiyskiy immunologicheskiy zhurnal = Russian Journal of Immunology, 2018, vol. 12, no. 4, pp. 728–730. (In Russ.)] doi: 10.31857/S102872210002654-4
- Смирнова К.В., Сенюта Н.Б., Лубенская А.К., Душенькина Т.Е., Гурцевич В.Э. Древние варианты вируса Эпштейна–Барр (Herpesviridae, Lymphocryptovirus, HHV-4): гипотезы и факты // Вопросы вирусологии. 2020. Т. 65, № 2. C. 77–86. [Smirnova K.V., Senyuta N.B., Lubenskaya A.K., Dushenkina T.E., Gurtsevich V.E. Ancient variants of the Epstein–Barr virus (Herpesviridae, Lymphocryptovirus, HHV-4): hypotheses and facts. Voprosy virusologii = Problems of Virology, 2020, vol. 65, no. 2, pp. 77–86. (In Russ.)] doi: 10.36233/0507-4088-2020-65-2-77-86
- Ablashi D., Agut H., Alvarez-Lafuente R., Clark D.A., Dewhurst S., DiLuca D., Flamand L., Frenkel N., Gallo R., Gompels U.A., Höllsberg P., Jacobson S., Luppi M., Lusso P., Malnati M., Medveczky P., Mori Y., Pellett P.E., Pritchett J.C., Yamanishi K., Yoshikawa T. Classification of HHV-6A and HHV-6B as distinct viruses. Arch. Virol., 2014, vol. 159, pp. 863–870. doi: 10.1007/s00705-013-1902-5
- Agut H., Bonnafous P., Gautheret-Dejean A. Laboratory and clinical aspects of human herpesvirus 6 infections. Clin. Microbiol. Rev., 2015, vol. 28, no. 2, pp. 313–335. doi: 10.1128/CMR.00122-14
- Ahmadi M., Karimi A., Rafiei Tabatabaei S., Fallah F., Shiva F. Detection of 5 latent herpes viruses and Pneumocystis jirovecii in saliva of healthy children by PCR. Arch. Pediatr. Infect. Dis., 2014, vol. 2, no. 1, pp. 160–163. doi: 10.5812/pedinfect.11509
- Bartolini L., Piras E., Sullivan K., Gillen S., Bumbut A., Lin C.-T.M., Leibovitch E.C., Graves J.S., Waubant E.L., Chamberlain J.M., Gaillard W.D., Jacobson S. Detection of HHV-6 and EBV and cytokine levels in saliva from children with seizures: results of a multi-center cross-sectional study. Front. Neurol., 2018, vol. 9: 834. doi: 10.3389/fneur.2018.00834
- Byrne C.M., Johnston C., Orem J., Okuku F., Huang M.L., Rahman H., Wald A., Corey L., Schiffer J.T., Casper C., Coombs D., Gantt S. Examining the dynamics of Epstein–Barr virus shedding in the tonsils and the impact of HIV-1 coinfection on daily saliva viral loads. PLoS Comput. Biol., 2021, vol. 17, no. 6: e1009072. doi: 10.1371/journal.pcbi.1009072
- Catusse J., Parry C.M., Dewin D.R., Gompels U.A. Inhibition of HIV-1 infection by viral chemokine U83A via high-affinity CCR5 interactions that block human chemokine-induced leukocyte chemotaxis and receptor internalization. Blood, 2007, vol. 109, no. 9, pp. 3633–3639. doi: 10.1182/blood-2006-08-042622
- Cederberg L.E., Rabinovitch M.D., Grimm-Geris J.M., Schmeling D.O., Filtz E.A., Condon L.M., Balfour H.H. Jr. Epstein–Barr virus DNA in parental oral secretions: a potential source of infection for their young children. Clin. Infect. Dis., 2019, vol. 68, no. 2, pp. 306–312. doi: 10.1093/cid/ciy464
- Dambaugh T., Hennessy K., Chamnankit L., Kieff E. U2 region of Epstein–Barr virus DNA may encode Epstein–Barr nuclear antigen 2. Proc. Natl. Acad. Sci. USA, 1984, vol. 81, pp. 7632–7636. doi: 10.1073/pnas.81.23.7632
- Dunn N., Kharlamova N., Fogdell-Hahn A. The role of herpesvirus 6A and 6B in multiple sclerosis and epilepsy. Scand. J. Immunol., 2020, vol. 92, no. 6: e12984. doi: 10.1111/sji.12984
- Gantt S., Orem J., Krantz E.M., Morrow R.A., Selke S., Huang M.L., Schiffer J.T., Jerome K.R., Nakaganda A., Wald A., Casper C., Corey L. Prospective characterization of the risk factors for transmission and symptoms of primary human herpesvirus infections among ugandan infants. J. Infect. Dis., 2016, vol. 214, no. 1, pp. 36–44. doi: 10.1093/infdis/jiw076
- Hadinoto V., Shapiro M., Sun C.C., Thorley-Lawson D.A. The dynamics of EBV shedding implicate a central role for epithelial cells in amplifying viral output. PLoS Pathog., 2009, vol. 5, no. 7: e1000496. doi: 10.1371/journal.ppat.1000496
- Holden D.W., Gold J., Hawkes C.H., Giovannoni G., Saxton J.M., Carter A., Sharrack B. Epstein–Barr virus shedding in multiple sclerosis: similar frequencies of EBV in saliva across separate patient cohorts. Mult. Scler. Relat. Disord., 2018, vol. 25, pp. 197–199. doi: 10.1016/j.msard.2018.07.041
- Hug M., Dorner M., Fröhlich F.Z., Gysin C., Neuhaus D., Nadal D., Berger C. Pediatric Epstein–Barr virus carriers with or without tonsillar enlargement may substantially contribute to spreading of the virus. J. Infect. Dis., 2010, vol. 202, no. 8, pp. 1192–1199. doi: 10.1086/656335
- Huynh G.T., Rong L. Modeling the dynamics of virus shedding into the saliva of Epstein–Barr virus positive individuals. J. Theor. Biol., 2012, vol. 310, pp. 105–114. doi: 10.1016/j.jtbi.2012.05.032
- Kourieh A., Gheit T., Tommasino M., Dalstein V., Clifford G.M., Lacau St Guily J., Clavel C., Franceschi S., Combes J.D.; SPLIT Study Group. Prevalence of human herpesviruses infections in nonmalignant tonsils: The SPLIT study. J. Med. Virol., 2019, vol. 91, no. 4, pp. 687–697. doi: 10.1002/jmv.25338
- Kwok H., Chan K.W., Chan K.H., Chiang A.K. Distribution, persistence and interchange of Epstein–Barr virus strains among PBMC, plasma and saliva of primary infection subjects. PLoS One, 2015, vol. 10, no. 3: e0120710. doi: 10.1371/journal.pone.0120710
- Lee J.S., Lacerda E.M., Nacul L., Kingdon C.C., Norris J., O’Boyle S., Roberts C.H., Palla L., Riley E.M., Cliff J.M. Salivary DNA Loads for human herpesviruses 6 and 7 are correlated with disease phenotype in myalgic encephalomyelitis/chronic fatigue syndrome. Front. Med. (Lausanne), 2021, vol. 8: 656692. doi: 10.3389/fmed.2021.656692
- Leibovitch E.C., Lin C.M., Billioux B.J., Graves J., Waubant E., Jacobson S. Prevalence of salivary human herpesviruses in pediatric multiple sclerosis cases and controls. Mult. Scler., 2019, vol. 25, no. 5, pp. 644–652. doi: 10.1177/1352458518765654
- Magalhães I.M., Martins R.V., Cossatis J.J., Cavaliere R.M., Afonso L.A., Moysés N., Oliveira S.A., Cavalcanti S.M. Detection of human herpesvirus 6 and 7 DNA in saliva from healthy adults from Rio de Janeiro, Brazil. Mem. Inst. Oswaldo Cruz., 2010, vol. 105, no. 7, pp. 925–927. doi: 10.1590/s0074-02762010000700015
- Magalhães I.M., Martins R.V., Vianna R.O., Moysés N., Afonso L.A., Oliveira S.A., Cavalcanti S.M. Detection of human herpesvirus 7 infection in young children presenting with exanthema subitum. Mem. Inst. Oswaldo Cruz., 2011, vol. 106, no. 3, pp. 371–373. doi: 10.1590/s0074-02762011000300020
- Matrajt L., Gantt S., Mayer B.T., Krantz E.M., Orem J., Wald A., Corey L., Schiffer J.T., Casper C. Virus and host-specific differences in oral human herpesvirus shedding kinetics among Ugandan women and children. Sci. Rep., 2017, vol. 7, no. 1: 13105. doi: 10.1038/s41598-017-12994-0
- Mayer B.T., Krantz E.M., Wald A., Corey L., Casper C., Gantt S., Schiffer J.T. Estimating the Risk of human herpesvirus 6 and cytomegalovirus transmission to ugandan infants from viral shedding in saliva by household contacts. Viruses, 2020, vol. 12, no. 2: 171. doi: 10.3390/v12020171
- Mbulaiteye S.M., Walters M., Engels E.A., Bakaki P.M., Ndugwa C.M., Owor A.M., Goedert J.J., Whitby D., Biggar R.J. High levels of Epstein–Barr virus DNA in saliva and peripheral blood from Ugandan mother-child pairs. J. Infect. Dis., 2006, vol. 193, no. 3, pp. 422–426. doi: 10.1086/499277
- Miura H., Ihira M., Kozawa K., Kawamura Y., Higashimoto Y., Hattori F., Yoshikawa T. Effect of Lactococcus lactis strain plasma on HHV-6 and HHV-7 shedding in saliva: a prospective observational study. Microorganisms, 2021, vol. 9, no. 8: 1683. doi: 10.3390/microorganisms9081683
- Miyazaki Y., Namba H., Torigoe S., Watanabe M., Yamashita N., Ogawa H., Morishima T., Yamada M. Monitoring of human herpesviruses-6 and -7 DNA in saliva samples during the acute and convalescent phases of exanthem subitum. J. Med. Virol., 2017, vol. 89, no. 4, pp. 696–702. doi: 10.1002/jmv.24690
- Newton R., Labo N., Wakeham K., Marshall V., Roshan R., Nalwoga A., Sebina I., Muhangi L., Webb E.L., Miley W., Rochford R., Elliott A.M., Whitby D. Determinants of gammaherpesvirus shedding in saliva among ugandan children and their mothers. J. Infect. Dis., 2018, vol. 218, no. 6, pp. 892–900. doi: 10.1093/infdis/jiy262
- Palser A.L., Grayson N.E., White R.E., Corton C., Correia S., Ba Abdullah M.M., Watson S.J., Cotten M., Arrand J.R., Murray P.G., Allday M.J., Rickinson A.B., Young L.S., Farrell P.J., Kellam P. Genome diversity of Epstein–Barr virus from multiple tumor types and normal infection. J. Virol., 2015, vol. 89, no. 10, pp. 5222–5237. doi: 10.1128/JVI.03614-14
- Pereira C.M., Gasparetto P.F., Corrêa M.E., Costa F.F., de Almeida O.P., Barjas-Castro M.L. Human herpesvirus 6 in oral fluids from healthy individuals. Arch. Oral Biol., 2004, vol. 49, no. 12, pp. 1043–1046. doi: 10.1016/j.archoralbio.2004.06.002
- Reddy S., Manna P. Quantitative detection and differentiation of human herpesvirus 6 subtypes in bone marrow transplant patients by using a single real-time polymerase chain reaction assay. Biol. Blood Marrow Transplant., 2005, vol. 11, no. 7, pp. 530–541. doi: 10.1016/j.bbmt.2005.04.010
- Smatti M.K., Yassine H.M., Abu Odeh R., Al Marawani A., Taleb S.A., Althani A.A., Nasrallah G.K. Prevalence and molecular profiling of Epstein–Barr virus (EBV) among healthy blood donors from different nationalities in Qatar. PLoS One, 2017, vol. 12, no. 12: e0189033. doi: 10.1371/journal.pone.0189033
- Yap T., Khor S., Kim J.S., Kim J., Kim S.Y., Kern J.S., Martyres R., Varigos G., Chan H.T., McCullough M.J., Thomas M.L., Scardamaglia L. Intraoral human herpes viruses detectable by PCR in majority of patients. Oral Dis., 2021, vol. 27, no. 2, pp. 378–387. doi: 10.1111/odi.13523
- Yea C., Tellier R., Chong P., Westmacott G., Marrie R.A., Bar-Or A., Banwell B.; Canadian Pediatric Demyelinating Disease Network. Epstein–Barr virus in oral shedding of children with multiple sclerosis. Neurology, 2013, vol. 81, no. 16, pp. 1392–1399. doi: 10.1212/WNL.0b013e3182a841e4
Supplementary files
